카테고리: 라미네이트 이야기
태그: [Expert Report], Composite Resin, Porcelain Laminate Veneer, 레진, 라미네이트, 심미수복, 앞니치료, 재료비교, 변색, 내구성
서론:
앞니 심미 수복을 계획할 때 가장 먼저 비교 대상이 되는 두 가지 치료가 있다. 복합 레진 수복(Composite Resin Restoration)과 포세린 라미네이트 비니어(Porcelain Laminate Veneer)이다.
복합 레진은 치아색 복합 수지 재료를 치아에 직접 적용하여 형태를 만드는 직접 수복(Direct Restoration) 방식이고, 라미네이트는 세라믹으로 미리 제작한 얇은 쉘을 치아 표면에 접착하는 간접 수복(Indirect Restoration) 방식이다.
두 치료 모두 임상적으로 검증된 훌륭한 수복 방법이다. 그러나 재료 특성, 심미적 표현 범위, 장기 예후에서 근본적인 차이가 존재한다. 본 글에서는 20년간의 라미네이트 임상 경험을 바탕으로 두 치료의 차이를 객관적으로 비교 분석한다.

1. 재료 특성의 차이(Material Properties)
복합 레진(Composite Resin)은 유기 수지 매트릭스(Organic Resin Matrix)에 무기 충전재(Inorganic Filler)를 혼합한 플라스틱 계열 재료이다. 술자가 치아에 직접 적층하여 형태를 형성하며, 광중합(Light Curing)을 통해 경화시킨다. 당일 치료가 가능하고 비용이 상대적으로 저렴하다는 장점이 있다.
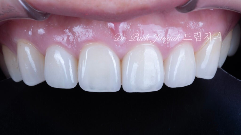
포세린 라미네이트 비니어는 치과용 세라믹(Dental Ceramic) 소재로, 기공소에서 정밀하게 제작한 후 접착 시멘트(Adhesive Cement)를 이용하여 치아 표면에 접착한다. 세라믹 고유의 광학적 특성(Optical Properties)으로 인해 자연치아와 거의 동일한 투명감(Translucency)과 질감을 재현할 수 있다.
두 재료의 가장 결정적인 차이는 경시변화(Aging)에서 나타난다. 복합 레진은 구강 환경에 노출되면서 표면 거칠기(Surface Roughness)가 증가하고, 흡수(Water Absorption)에 의한 변색이 진행된다. 통상 2~3년 후부터 육안으로 확인할 수 있는 수준의 색조 변화가 발생한다.
세라믹은 화학적 안정성이 높아 변색이 거의 발생하지 않는다. 표면 광택(Surface Gloss)도 장기간 유지된다. 10년 이상 경과 후에도 초기 시술 시의 색조를 유지하는 증례가 다수 보고되고 있다.

2. 심미적 표현 범위의 차이(Aesthetic Capability)
복합 레진 수복은 술자의 수기(Manual Technique)에 의존하여 형태를 형성한다. 단일 치아의 소규모 수복 — 소와열구 충치, 외상에 의한 파절 수복 등 — 에서는 효과적이다.
그러나 다수 치아의 형태, 색상, 투명감을 동시에 통일하는 데는 한계가 있다. 복합 레진은 단일 재료로 자연치아의 복잡한 광학적 층(법랑질, 상아질, 투명층)을 모두 재현해야 하기 때문이다. 다만 불가능한 것은 아니고 여러개 치아를 치료하기엔 적합하지 않다고 볼 수 있다.
포세린 라미네이트 비니어는 숙련된 기공사(Dental Ceramist)가 여러 층의 세라믹을 순차적으로 적층(Layering Technique)하여 제작한다. 자연치아의 법랑질(Enamel Layer), 상아질(Dentin Layer), 절단면 투명층(Incisal Translucency)을 각각 독립적으로 재현할 수 있다. 인접 치아와의 색조 조화(Shade Matching), 절단면의 투명감(Incisal Translucency)까지 세밀한 표현이 가능하다.
특히 상악 전치부 6~8개를 동시에 수복하는 경우 라미네이트의 심미적 장점이 극대화된다. 모든 치아가 하나의 조화(Harmony) 속에서 디자인되기 때문이다.

3. 수명 및 내구성 비교(Longevity and Durability)
복합 레진 수복의 평균 임상 수명은 약 3~7년으로 보고된다(Demarco et al., 2012; Opdam et al., 2014). 시간 경과에 따라 변색, 마모(Wear), 변연 부조화(Marginal Discrepancy)가 발생하며, 정기적인 재수복(Re-restoration)이 필요한 경우가 많다.
포세린 라미네이트 비니어의 평균 임상 수명은 10~20년 이상으로 보고된다(Beier et al., 2012; Gresnigt et al., 2019). 세라믹은 구강 내에서 화학적, 물리적으로 매우 안정적인 소재이다. 마모 저항성(Wear Resistance)과 착색 저항성(Stain Resistance)이 복합 레진 대비 현저히 우수하다.
물론 라미네이트도 영구적인 수복물은 아니다. 그러나 동일 기간 동안의 임상적 유지 상태를 비교하면 두 재료 간의 차이는 명확하다.
4. 복합 레진이 적합한 임상 상황(Indications for Composite Resin)
복합 레진 수복이 더 적합한 임상 상황도 분명히 존재한다.
첫째, 1~2개 치아에 한정된 소규모 충치 수복(Class III, IV Restoration). 둘째, 외상(Trauma)에 의한 파절 부위의 긴급 수복. 셋째, 영구치열 완성 전 소아·청소년의 임시 수복(Interim Restoration). 넷째, 경제적 제약이 있는 상황에서의 임시 해결책.
이러한 상황에서는 복합 레진이 합리적인 선택이다. 모든 임상 상황에서 라미네이트가 최선의 선택인 것은 아니다.
그러나 앞니의 전체적인 심미 개선(Comprehensive Aesthetic Enhancement)을 목표로 하는 경우, 다수 치아의 색상과 형태를 동시에 변경하고자 하는 경우, 장기적으로 안정된 결과를 원하는 경우에는 포세린 라미네이트 비니어가 더 적합한 선택이다.

5. 복합 레진과 포세린 라미네이트 비니어 비교표(Comparison Table)
| 항목 | 복합 레진(Composite Resin) | 포세린 라미네이트(Porcelain Veneer) |
|---|---|---|
| 재료 | 복합 수지(플라스틱 계열) | 치과용 세라믹 |
| 수복 방식 | 직접 수복(Direct) | 간접 수복(Indirect) |
| 심미성 | 소규모 수복에 적합 | 자연치아급 투명감 재현 가능 |
| 변색 | 2~3년 후 변색 진행 | 거의 변색 없음 |
| 평균 수명 | 3~7년 | 10~20년 이상 |
| 비용 | 상대적 저렴 | 상대적 높음 |
| 주 적응증 | 소규모 수복, 임시 수복 | 전체 심미 개선, 장기 유지 |
관련 글: [블랙 트라이앵글 치료, 레진 vs 라미네이트 무엇이 좋을까요?]
Q. 기존 복합 레진 수복이 변색되었습니다. 포세린 라미네이트 비니어로 교체할 수 있습니까?
A. 가능하다. 기존 복합 레진을 제거하고 포세린 라미네이트 비니어로 교체하는 것은 임상적으로 흔한 시술이다. 오히려 복합 레진 재수복을 수차례 반복한 후 최종적으로 라미네이트를 선택하는 환자가 다수 존재한다. 기존 레진을 완전히 제거한 후 잔존 치질의 상태를 정밀하게 평가하고, 최소한의 삭제(Minimal Preparation)로 라미네이트를 설계하면 장기적으로 안정된 결과를 기대할 수 있다.
Q. 1~2개 치아만 수복하는 경우에도 라미네이트가 유리합니까?
A. 1~2개 치아만 수복하는 경우에도 포세린 라미네이트 비니어는 우수한 결과를 줄 수 있다. 다만 소수 치아를 수복할수록 인접 치아와의 색조 매칭(Shade Matching)이 더욱 정밀해야 한다. 숙련된 기공사가 인접 치아의 색조, 투명도, 표면 질감을 정밀하게 분석하여 제작해야 자연스러운 결과가 구현된다. 이러한 이유로 소수 치아 수복은 오히려 더 높은 기술적 난이도를 요구한다.
Q. 비용 부담으로 복합 레진을 선택한 후 추후 라미네이트로 전환하는 것은 가능합니까?
A. 가능은 하나 권고하지 않는다. 복합 레진을 반복적으로 수복하면 매 수복 과정에서 치아 표면이 점진적으로 손상된다. 추후 라미네이트로 전환할 시점에 잔존 치질의 상태가 이미 불리해진 경우가 많다. 비용 부담이 있는 경우라면 가장 필요한 치아 수 개에 한정하여 라미네이트를 우선 시행하는 것이 임상적으로 현명한 전략이다.
작성자: 박종욱 (D.D.S., Ph.D. / 보존과 전문의, 드림치과 대표원장)
대한심미치과학회 인정의 | 한국 최초 라미네이트 교과서 저자
카테고리: 라미네이트 이야기
태그: Expert Report, Composite Resin, Porcelain Laminate Veneer, 레진, 라미네이트, 심미수복, Shade Matching, Translucency, 앞니치료, 변색, 내구성, 수명비교