서론:
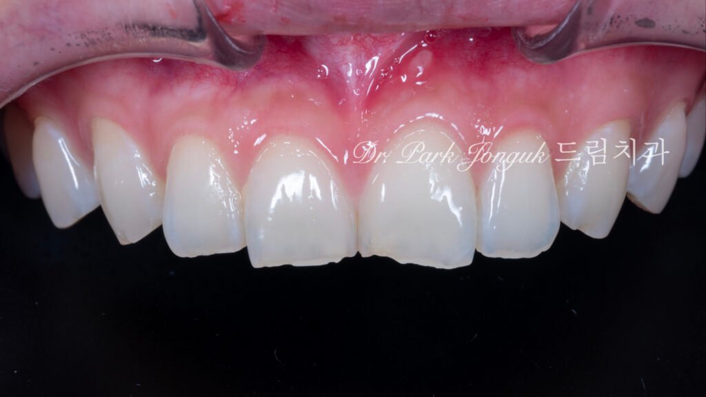
라미네이트(Porcelain Laminate Veneer)는 치과 심미 치료 중에서도 의료진의 철학과 임상 경험이 결과를 결정짓는 대표 술식이다. 환자가 진단 단계에서 정확한 질문을 던질 수 있는지 여부가 이후 만족도에 결정적 영향을 준다. 본 글은 20년간 라미네이트 임상에 매진해 온 저자의 경험을 바탕으로, 상담 전 환자가 반드시 점검해야 할 7가지 항목을 정리한다.
- 심미 목표의 구체화 (Aesthetic Goal Clarification)
“예쁘게 해주세요”라는 요청은 진단의 시작점이 될 수 없다. 환자는 다음을 구체화해야 한다.
- 색상(Shade): 현재보다 몇 단계 밝게 원하는가.
- 형태(Morphology): 둥근 형태, 각진 형태 중 어느 방향인가.
- 길이(Length): 기존 대비 어느 정도 조정이 필요한가.
- 치간 공간(Embrasure, Black Triangle): 치아 사이 공간 처리 방향.
의료진의 첫 질문 “어느 부분이 가장 거슬리시나요?”에 구체적으로 답할 수 있을 때 진단의 출발점이 확보된다.

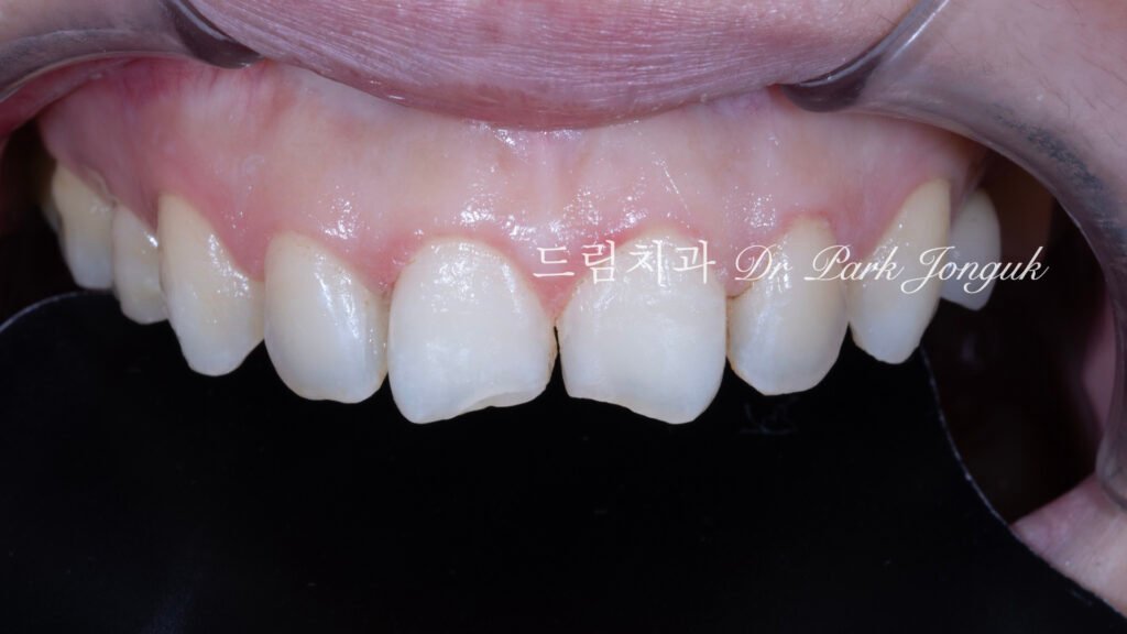
- 삭제량 결정의 과학적 근거 (Tooth Preparation Rationale)
무삭제(No-Prep)가 항상 최선은 아니다. 치아가 돌출되어 있거나 원래 크기가 큰 경우, 혹은 기존 치아색이 매우 어두운 경우에는 무삭제로 진행하면 오히려 부피감이 과도해지고 색상 차폐(Shade Masking)가 불완전해진다. 이 경우 0.3~0.7mm 범위의 최소 삭제가 필요하다.
의료진이 “왜 이만큼의 삭제가 필요한지”를 생역학적·심미적 근거로 설명하지 못한다면 진단 단계가 부실한 것이다.

라미네이트 제작은 크게 두 가지 방식으로 나뉜다.
- CAD/CAM 블록 절삭 방식: 표준화·재현성이 우수하나, 단일 블록에서 절삭되기 때문에 자연치의 다층적 투명감과 색층(Internal Staining) 재현에 한계가 있다.
- 핸드메이드 빌드업 방식(Layering / Build-up Technique): 도재를 층층이 쌓아 올려 법랑질의 투명감, 상아질의 명도, 절단연의 할로우 효과(Halo Effect)를 단계적으로 재현한다.
자연치와의 조화가 중요한 소수 치아 케이스에서는 빌드업 방식이 우위에 있다.

- 수명과 관리 프로토콜 (Longevity and Maintenance Protocol)
라미네이트의 평균 수명은 10~20년으로 보고되나, 다음 요인이 수명 편차를 만든다.
- 야간 이갈이(Bruxism)의 유무
- 산성 식이 및 역류성 식도염
- 치주 상태 및 잇몸 퇴축
- 정기 점검 주기
상담 시 이들 요인을 사전 평가하는지가 치과의 프로토콜 수준을 보여준다.

- 비용 구조의 투명성 (Cost Structure Transparency)
개당 가격 외에 다음 항목의 포함 여부를 확인해야 한다.
- 진단비(Diagnostic Wax-up, Mock-up) 포함 여부
- 임시치아(Provisional) 제작비
- 사후 관리 방문 비용
- 재시술 보증 조건과 기간
“평생 보증”이나 “무한 A/S” 문구는 반드시 적용 조건을 문서로 확인해야 한다.
- 의료진의 임상 집중도 (Clinician’s Clinical Focus)
라미네이트는 경험 곡선(Learning Curve)이 긴 술식이다. 의료진 집중도의 간접 지표는 다음과 같다.
- 연간 라미네이트 케이스 수
- 관련 학회 활동 및 교육 경력
- 저술 및 강의 활동
- 전공(보존과·보철과 등 심미 관련 전문의 여부)
한국접착치의학회 같은 관련 학회 활동은 최신 접착 프로토콜의 업데이트를 담보한다.

- 재시술 정책 (Re-treatment Policy)
라미네이트는 유한한 수명을 갖는다. 향후 10~20년 뒤 재시술 시점을 함께 설계해야 한다.
- 레이저 디본딩(Laser Debonding) 가능 여부
- 재시술 시 추가 삭제 최소화 프로토콜
- 재시술 비용 정책
처음 상담 단계에서 재시술 시점까지 고려하는 치과를 선택하는 것이 장기적 관점에서 합리적이다.



- FAQ
Q1. 상담 당일 시술을 결정해야 하는가?
A. 권장하지 않는다. 최소 1~2일의 숙고 기간을 갖는 것이 바람직하다. 상담 직후에는 정보량 과다로 판단이 왜곡되기 쉽다. 즉각적 결정을 유도하는 진료 환경은 신중히 재고할 필요가 있다.
Q2. 복수 치과 비교 상담은 실례인가?
A. 실례가 아니며 오히려 권장된다. 같은 치아를 두고도 의료진별 진단과 치료 계획에 편차가 존재한다. 비교 상담은 의료진의 임상 철학을 파악하는 합리적 수단이다.
Q3. 상담 시 어떤 자료를 준비하면 좋은가?
A. 본인이 원하는 미소의 참고 사진 2~3장, 평상시 웃는 얼굴 사진, 과거 치과 치료 기록, 복용 중인 약물 정보는 진단 정확도를 높이는 데 기여한다.
작성자: 박종욱 (D.D.S., M.S. / 보존과 전문의, 드림치과 대표원장)