라미네이트 가격의 차이: 제작 방식과 품질이 비용을 결정합니다

2026년 04월 14일

라미네이트 가격, Laminate Veneer Cost, 라미네이트 비용, Laminate Price, 라미네이트 가격 차이, 빌드업 라미네이트, Build-up Laminate, 원데이 라미네이트, One-day Laminate, 라미네이트 잘하는 곳
서론: 왜 가격이 천차만별인가 라미네이트 치료를 고려하시는 분들이 가장 먼저 부딪히는 문제가 가격의 큰 편차입니다. “왜 치과마다 가격이 이렇게 다른가요?”...
Read more

블랙 트라이앵글 치료: 레진과 라미네이트의 선택 기준

2026년 04월 13일

블랙 트라이앵글, Black Triangle, 블랙 트라이앵글 치료, Black Triangle Treatment, 블랙 트라이앵글 라미네이트, 교정 후 블랙 트라이앵글, Post-Orthodontic Black Triangle, 무삭제 라미네이트, No-Prep Laminate
서론: 블랙 트라이앵글의 심미적 문제 **블랙 트라이앵글(Black triangle)**은 치아 사이에 생기는 검은 삼각형 공간입니다. 치간 유두(Interdental papilla)가 치아 사이 공간을...
Read more

라미네이트와 올세라믹 크라운 재시술: 불투명하고 어색한 치아를 자연스럽게

2026년 04월 08일

라미네이트 재시술, Laminate Retreatment, 크라운 재시술, Crown Retreatment, 올세라믹 크라운, All-Ceramic Crown, 자연스러운 크라운, Natural Crown, 투명한 라미네이트, Translucent Laminate
서론: 재시술이 필요한 순간 라미네이트나 올세라믹 크라운 치료를 받은 후 시간이 지나면서 불만족을 느끼는 경우가 있습니다. “크라운이 불투명하고 뻣뻣해 보여요.”...
Read more

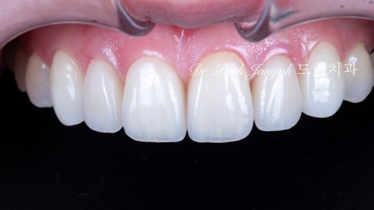
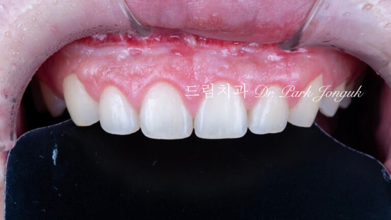
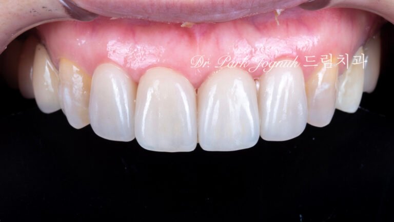
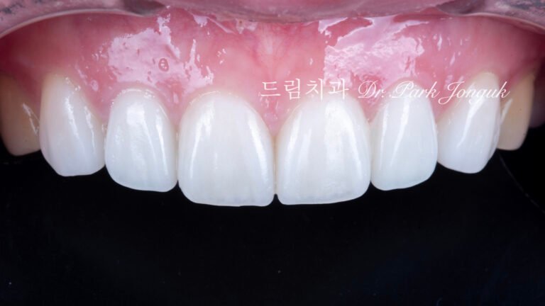
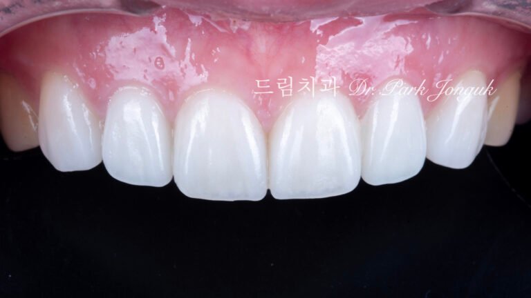
투명감 있는 라미네이트 vs 불투명한 라미네이트: 빌드업과 원데이 제작 방식의 질적 차이

2026년 04월 06일

라미네이트 빌드업
서론: 라미네이트 품질을 결정하는 요소 “왜 어떤 라미네이트는 자연치아처럼 아름답고, 어떤 라미네이트는 인공적으로 어색할까요?” 이 질문에 대한 답은 **제작 방식(Fabrication...
Read more

잇몸 재현 라미네이트(Gingival Reproduction Laminate): 핑크 세라믹을 이용한 심미 회복

2026년 04월 03일

앞니 라미네이트, Anterior Laminate Veneer, 잇몸 라미네이트, Gingival Reproduction Laminate, 잇몸이 내려간 앞니, Gingival Recession, 핑크 세라믹, Pink Ceramic, 잇몸 퇴축, Recession Treatment
서론: 잇몸 퇴축의 심미적 문제를 라미네이트로 **잇몸 퇴축(Gingival recession)**은 단순한 치주 문제를 넘어 심각한 심미적 문제를 야기합니다. 잇몸이 내려가면 치아...
Read more

교정 후 화이트스팟과 얼룩의 무삭제 라미네이트 치료: 표면 질감 재현의 중요성

2026년 04월 02일

교정 후 라미네이트, Post-Orthodontic Laminate, 무삭제 라미네이트, No-Prep Laminate, 화이트스팟, White Spot Lesions, 초기 우식, Incipient Caries, 표면 질감, Surface Texture
서론: 교정 후 남은 심미적 문제 **교정 치료(Orthodontic treatment)**는 치열을 가지런하게 정리하는 데 탁월한 효과를 보입니다. 그러나 교정이 성공적으로 끝나도...
Read more

노화 치아 라미네이트(Aging Tooth Laminate): 50대 60대를 위한 법랑질 회복과 심미 치료

2026년 04월 01일

노화 치아 라미네이트, Aging Tooth Laminate, 50대 라미네이트, 60대 라미네이트, 법랑질 손실, Enamel Loss, Biomimetic, 생체모방 치과학, 치아 노화, Tooth Aging
서론: 얼굴은 동안, 치아는? 현대 의학의 발전으로 얼굴 노화는 더 이상 피할 수 없는 운명이 아닙니다. 피부과에서 리프팅, 레이저, 필러,...
Read more

앞니 라미네이트 2개의 도전: 빌드업 방식이 만드는 자연스러움

2026년 03월 31일

앞니 라미네이트, Anterior Laminate Veneer, 라미네이트 잘하는 곳, Expert Laminate Clinic, 자연스러운 라미네이트, Natural Laminate, 다층 빌드업, Multi-Layer Build-Up, 백금박 라미네이트, Platinum Foil Veneer
서론: 최소 개입의 난제 앞니 라미네이트에서 가장 어려운 도전 중 하나는 **”2개만 시술하여 자연치아와 완벽하게 조화시키는 것”**입니다. 대부분의 치과에서 앞니...
Read more

선천적 치아 변색과 얼룩의 라미네이트 치료: 미백의 한계를 넘어

2026년 03월 27일

선천적 치아 변색, Congenital Tooth Discoloration, 치아 얼룩, Tooth Mottling, 내인성 변색, Intrinsic Discoloration, 미백 한계, Bleaching Limitation, 변색 차단 라미네이트, Discoloration Masking Veneer
서론: 구조적 변색의 문제 **선천적 치아 변색(Congenital tooth discoloration)**과 **얼룩(Mottling)**은 미백(Whitening)으로 해결할 수 없는 **내인성 변색(Intrinsic discoloration)**입니다. 법랑질 형성 부전(Enamel...
Read more

왜소치 무삭제 라미네이트(No-Prep Peg Lateral Veneer): 인비절라인 교정 후 심미 완성

2026년 03월 25일

왜소치, Peg-Shaped Lateral Incisors, 왜소치 라미네이트, Peg Lateral Veneer, 무삭제 라미네이트, No-Prep Laminate, 인비절라인, Invisalign, 교정 후 라미네이트, Post-Orthodontic Veneer
서론: 교정 후 남은 왜소치 문제 왜소치(Peg-shaped lateral incisors), 특히 측절치의 발육 부전은 교정 치료만으로 해결할 수 없는 심미적 문제입니다....
Read more