서론: 블랙 트라이앵글의 심미적 문제
**블랙 트라이앵글(Black triangle)**은 치아 사이에 생기는 검은 삼각형 공간입니다. 치간 유두(Interdental papilla)가 치아 사이 공간을 채우지 못할 때 발생하며, 교정 후 또는 노화로 인한 잇몸 퇴축에서 흔히 나타납니다.
웃을 때 검은 공간이 보이면 치아가 듬성듬성해 보이고, 나이 들어 보이는 인상을 줍니다. 많은 환자들이 이 문제로 심미적 불만족을 호소합니다.
블랙 트라이앵글은 **레진(Resin)**과 라미네이트(Laminate veneer) 두 가지 방법으로 치료할 수 있습니다. 케이스에 따라 적합한 방법이 다르며, 올바른 선택이 성공적인 결과의 핵심입니다.
본 글에서는 압구정 드림치과 박종욱 원장의 20년 임상 경험을 바탕으로, 블랙 트라이앵글 치료의 두 가지 옵션과 선택 기준, 그리고 블랙 트라이앵글과 옥니를 동시에 해결한 무삭제 라미네이트 케이스를 소개합니다.
블랙 트라이앵글 치료: 두 가지 옵션
옵션 1: 레진 치료(Resin restoration)
블랙 트라이앵글만 막을 예정이고 공간이 충분하다면 레진도 좋은 방법입니다.
적응증:
- 치아 색상과 형태에 문제가 없는 경우
- 단순히 삼각형 공간만 메우면 되는 경우
- 블랙 트라이앵글 범위가 작은 경우
장점:
- 비용이 저렴합니다
- 시술이 간단합니다
- 당일 완료가 가능합니다
- 치아 삭제가 없습니다
한계:
- 시간이 지나면 변색 가능성이 있습니다
- 복잡한 형태 재현에 한계가 있습니다
- 치아 위치나 각도 보정은 어렵습니다
옵션 2: 라미네이트 치료(Laminate veneer)
블랙 트라이앵글뿐 아니라 치아의 색과 전체적인 형태를 같이 개선해야 한다면 라미네이트가 더 효과적입니다.
적응증:
- 치아 색상 개선이 필요한 경우
- 치아 형태 교정이 필요한 경우
- 치아 위치나 각도 보정이 필요한 경우
- 여러 문제를 한 번에 해결해야 하는 경우
장점:
- 복합적 문제 동시 해결 가능합니다
- 변색되지 않고 내구성이 좋습니다
- 정밀한 형태 재현이 가능합니다
- 오래 지속됩니다
케이스: 교정 후 블랙 트라이앵글과 옥니
치료 전 상태

사진 1은 치료 전 상태입니다.
교정 후 블랙 트라이앵글이 생겨서 내원하셨습니다. 치아 사이에 검은 삼각형 공간이 여러 개 보입니다.
그런데 문제가 하나 더 있습니다. 교정하면서 치아가 너무 안쪽으로 들어가서 옥니가 되었습니다. 치아가 뒤로 기울어져 있어 측면에서 보면 움푹 들어가 보입니다.
블랙 트라이앵글과 옥니의 개선을 한 번에 해야 합니다. 이런 경우 레진보다는 라미네이트가 더 좋은 선택입니다. 레진으로는 치아 위치와 각도를 보정하기 어렵기 때문입니다.
무삭제 라미네이트 계획
무삭제로 치료를 진행했습니다.
치아가 안쪽으로 들어가 있으니 앞에 라미네이트를 붙여도 과도하게 나오지 않습니다. 오히려 정상적인 위치로 보정됩니다. 무삭제 라미네이트의 이상적 적응증입니다.
극도로 얇은 세라믹 제작

사진 2는 제작된 라미네이트입니다.
블랙 트라이앵글 부분에 들어가는 극도로 얇은 세라믹이 필요했습니다. 치아 사이 공간을 메우면서도 자연스러워야 합니다. 너무 두꺼우면 이물감이 있고 청결 유지가 어렵습니다.
얇게 제작되었지만 블랙 트라이앵글을 완전히 메울 수 있습니다. 인접면(Proximal surface)까지 연장되는 정밀한 형태입니다. 숙련된 세라믹 기공사의 고도의 기술이 필요한 부분입니다.
시적 과정

사진 3은 왼쪽 치아들에만 라미네이트를 올려놓은 상태입니다.
라미네이트를 올리니 블랙 트라이앵글이 사라집니다. 치아 사이 검은 공간이 메워졌습니다. 오른쪽 자연치아와 비교하면 차이가 명확합니다.

사진 4는 옆에서 본 모습입니다.
라미네이트가 치아 옆까지 잘 감싼 것을 알 수 있습니다. 블랙 트라이앵글 부분을 완전히 채우면서도 자연스러운 형태입니다. 치아 인접면까지 정밀하게 제작되어 삼각형 공간을 메웁니다.
세팅 및 완료

사진 5는 세팅을 위한 준비 과정입니다.
라미네이트를 최종 접착하기 전 모든 라미네이트의 위치와 적합도를 확인합니다.



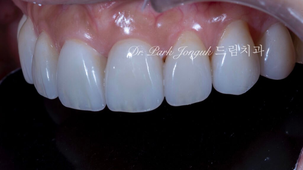
사진 6, 7, 8은 세팅 완료 후 최종 결과입니다.
무삭제로 블랙 트라이앵글과 옥니가 모두 개선되었습니다.
블랙 트라이앵글 해결: 치아 사이 검은 삼각형이 완전히 사라졌습니다. 치아가 빈틈없이 연결되어 보입니다.
옥니 개선: 안쪽으로 들어가 있던 치아가 정상 위치로 보정되었습니다. 측면에서 보면 치아 각도가 자연스러워졌습니다.
무삭제 달성: 치아를 전혀 깎지 않았습니다. 자연치아를 100% 보존하면서 두 가지 문제를 한 번에 해결했습니다.
블랙 트라이앵글 라미네이트의 기술적 요점
인접면 연장(Proximal extension)
블랙 트라이앵글을 메우려면 라미네이트가 치아 인접면까지 연장되어야 합니다. 단순히 순면(Labial surface)만 덮는 일반 라미네이트와 다릅니다. 옆면까지 감싸면서 삼각형 공간을 채워야 합니다.
이것이 블랙 트라이앵글 라미네이트가 일반 라미네이트보다 기술적으로 어려운 이유입니다.
극도로 얇은 제작(Ultra-thin fabrication)
블랙 트라이앵글 부분의 세라믹은 극도로 얇아야 합니다.
두꺼우면 이물감이 있습니다. 치실 사용이 어려워집니다. 음식물이 끼기 쉽습니다. 청결 유지가 곤란합니다.
얇으면서도 강도가 있어야 합니다. 고도의 기공 기술과 적절한 세라믹 재료 선택이 필요합니다.
자연스러운 형태(Natural emergence profile)
단순히 공간을 메우는 것이 아닙니다. 자연스러운 치아 형태를 만들어야 합니다. 치간 유두가 있는 것처럼 보여야 합니다. 인공적으로 메운 느낌이 나면 안 됩니다.
선택 기준: 레진 vs 라미네이트
레진을 추천하는 경우
- 블랙 트라이앵글만 해결하면 되는 단순한 케이스
- 치아 색상과 형태에 문제가 없는 경우
- 비용을 최소화하고 싶은 경우
- 간단하고 빠른 치료를 원하는 경우
라미네이트를 추천하는 경우
- 블랙 트라이앵글 외에 다른 문제도 있는 경우
- 치아 색상 개선이 필요한 경우
- 치아 형태나 위치 보정이 필요한 경우
- 오래 지속되는 결과를 원하는 경우
- 본 케이스처럼 옥니 개선도 필요한 경우
정밀한 진단의 중요성
어떤 방법이 적합한지는 케이스마다 다릅니다. 정밀한 진단 후 최적의 방법을 선택해야 합니다. 단순히 저렴한 방법을 선택하면 결과가 만족스럽지 않을 수 있습니다.
결론: 케이스에 맞는 최적의 선택
블랙 트라이앵글은 레진과 라미네이트 두 가지 방법으로 치료할 수 있으며, 케이스에 따라 적합한 방법이 다릅니다. 블랙 트라이앵글만 단순히 메우면 되는 경우 레진이 효과적이고, 치아 색상, 형태, 위치 등 복합적 문제를 함께 해결해야 하는 경우 라미네이트가 더 효과적입니다. 본 케이스처럼 교정 후 블랙 트라이앵글과 옥니가 동시에 있는 경우, 무삭제 라미네이트로 두 문제를 한 번에 해결할 수 있습니다. 핵심은 인접면까지 연장되는 정밀한 설계와 극도로 얇으면서도 자연스러운 세라믹 제작입니다. 압구정 드림치과 박종욱 원장은 20년간 블랙 트라이앵글 치료 경험을 바탕으로 케이스에 맞는 최적의 방법을 제시합니다.
Q1. 블랙 트라이앵글은 왜 생기나요?
블랙 트라이앵글은 여러 원인으로 발생합니다. 가장 흔한 것은 교정 후 발생하는 경우입니다. 교정으로 치아가 이동하면서 치간 유두(Interdental papilla)가 따라오지 못해 공간이 생깁니다. 노화로 인한 잇몸 퇴축(Gingival recession)도 원인입니다. 치주 질환(Periodontal disease)으로 잇몸과 치조골이 소실되어도 생깁니다. 또한 치아 형태가 원래 삼각형인 경우(Triangular tooth shape) 치간 접촉점이 높아 블랙 트라이앵글이 발생하기 쉽습니다.
Q2. 레진과 라미네이트 중 어떤 것이 오래가나요?
일반적으로 라미네이트가 더 오래 지속됩니다. 레진은 시간이 지나면 변색(Discoloration)되거나 마모(Wear)될 수 있으며, 3-5년마다 수리나 교체가 필요할 수 있습니다. 세라믹 라미네이트는 변색되지 않고 내구성이 좋아 10-15년 이상 지속됩니다. 하지만 레진도 관리를 잘 하면 상당 기간 유지됩니다. 단순한 블랙 트라이앵글만 메우는 경우라면 레진으로도 충분히 좋은 결과를 얻을 수 있으며, 비용 효율적인 선택이 될 수 있습니다.
Q3. 블랙 트라이앵글 부분 치실은 어떻게 사용하나요?
라미네이트로 블랙 트라이앵글을 메워도 치실 사용은 가능합니다. 라미네이트가 치아 사이를 완전히 막는 것이 아니라, 삼각형 공간을 자연스러운 치아 형태로 채우는 것입니다. 치실이 들어갈 접촉점(Contact point) 아래 공간은 적절히 남아 있습니다. 다만 처음에는 약간 뻑뻑하게 느껴질 수 있습니다. 적응 기간(1-2주)이 지나면 자연스럽게 사용할 수 있습니다. 치간칫솔(Interdental brush)도 적절한 크기로 사용 가능합니다.
본 콘텐츠는 압구정 드림치과 박종욱 원장의 20년간 심미 보철 치료 경험을 기반으로 작성되었습니다. 블랙 트라이앵글 치료를 수백 건 성공적으로 시행했으며, 국내 최초 라미네이트 전문 교과서를 출간했고 8개월 만에 1쇄 완판을 기록했습니다.