작성자: 박종욱 (D.D.S., M.S.D. / 치과보존과 전문의, 압구정 드림치과 대표원장) 카테고리: 라미네이트 이야기 시리즈 태그: [Clinical Guide] [Patient Education]
서론:
**라미네이트 유지 관리(Laminate Veneer Maintenance)**는 시술 후 보철물의 심미적·기능적 수명을 결정짓는 핵심 요소다. 임상 데이터에 따르면 동일한 재료와 술식으로 제작된 라미네이트라 하더라도 환자의 구강 위생, 교합 습관, 정기 검진 여부에 따라 10년 이상 유지되기도 하고 2~3년 내 재시술이 필요해지기도 한다.
대한치과보존학회와 국제심미치과학회(AACD)의 장기 추적 연구들은 공통적으로 세라믹 보철의 예후는 술자의 기술만큼이나 시술 후 관리 프로토콜에 좌우된다는 사실을 보고한다. 본 글에서는 20년간의 빌드업(Build-up) 라미네이트 임상 경험과 『최소삭제를 위한 라미네이트 임상』 저술 과정에서 정리한 원칙을 바탕으로, 라미네이트의 장기 예후를 결정하는 5가지 임상적 요인을 설명한다.


[사진 1 참조] 장기간 유지된 라미네이트 케이스와 관리 실패로 조기 재시술된 케이스의 비교
1. 시술 직후 24~48시간: 접착 안정화 기간(Bonding Stabilization Period)
라미네이트와 치아 조직 간의 레진 접착(Resin Bonding)은 광중합 직후 1차 경화가 이루어지지만, 완전한 기계적·화학적 성숙에는 24~48시간이 소요된다. 이 기간 동안의 환자 행동이 변연부(Margin) 안정성에 직접적인 영향을 미친다.
권고사항:
- 질긴 섬유질 음식(오징어, 마른 육포 등) 및 극한 경도 음식(얼음, 뼈, 견과류 껍질) 회피
- 고착색성 식품(커피, 레드와인, 카레, 진한 차류) 섭취 제한 — 레진 변연부의 초기 착색 예방
- 시술 당일 부드러운 칫솔질 유지 (전동칫솔 고출력 모드 사용 자제)

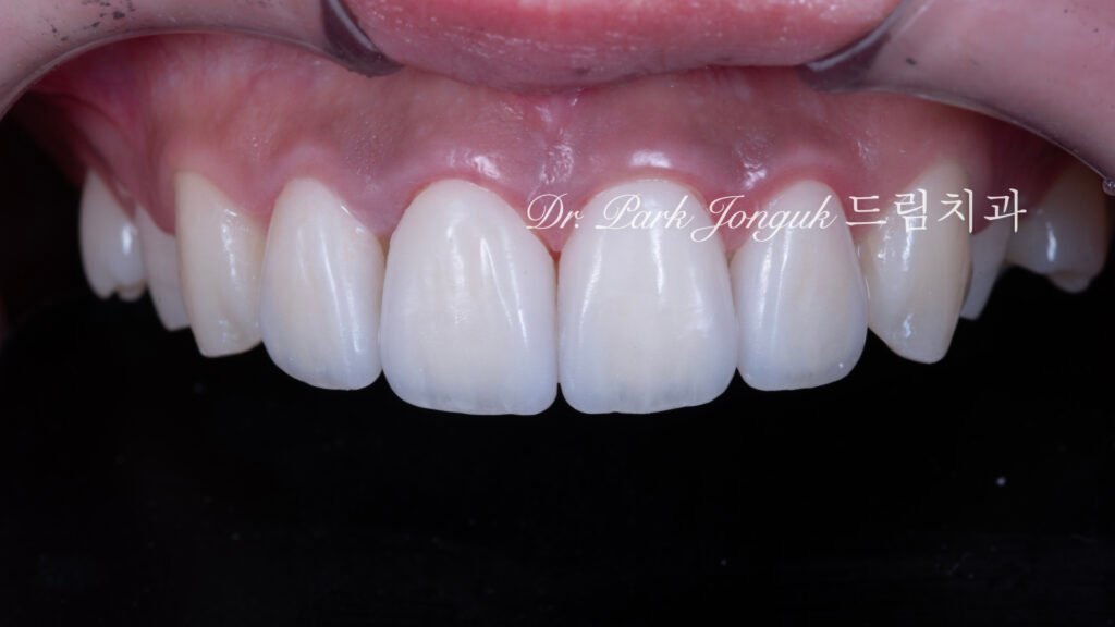
[사진 2 참조] 시술 직후 — 레진 접착선의 자연스러운 마무리 상태
2. 일상 구강 위생: 변연부 건강 유지의 핵심
라미네이트의 실패는 보철물 자체의 파절보다 변연부 주위 잇몸 퇴축(Gingival Recession) 및 **변연부 미세누출(Microleakage)**에서 비롯되는 경우가 훨씬 많다. 따라서 일상적인 플라크 관리가 가장 중요한 유지 요인이다.
권장 프로토콜:
- 칫솔: 연모(Soft bristle) 칫솔 사용, 바스법(Bass technique) 기반 저압 수기 양치
- 치실(Dental Floss): 하루 최소 1회, 인접면 플라크 제거 필수
- 구강세정기(Water flosser): 치실 사용이 어려운 환자, 특히 교정 이력자에게 보조적 권장
- 치약: 연마도(RDA) 70 이하의 저마모성 치약 권장, 고연마성 미백 치약 장기 사용 지양

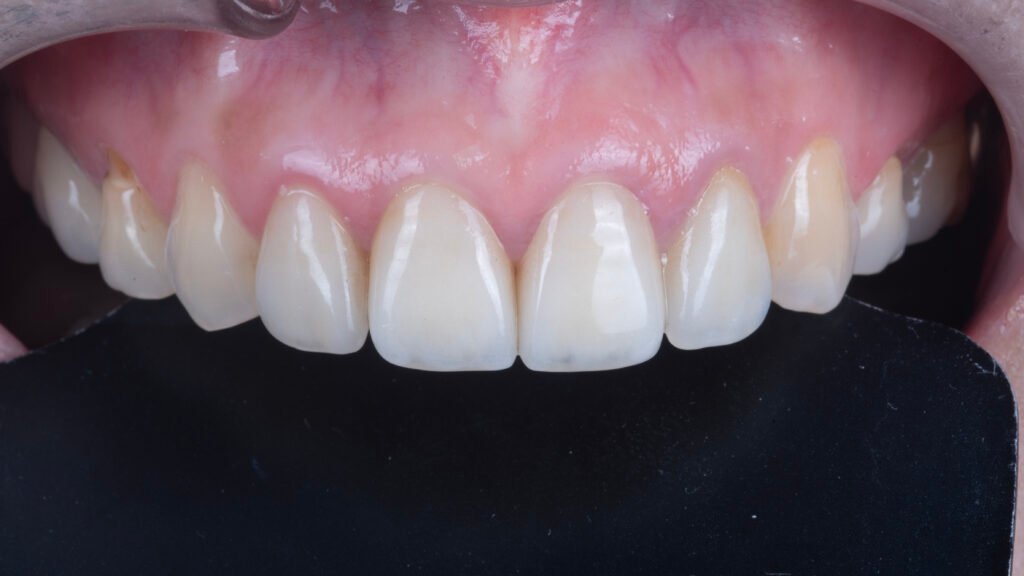
[사진 3 참조] 라미네이트 접착시 치실이 다 들어가게 합니다.
3. 교합 및 습관성 외력(Parafunctional Habits) 통제
라미네이트는 본질적으로 0.3~0.7mm 수준의 얇은 세라믹 구조물이다. 정상적인 저작력에는 충분히 견디도록 설계되지만, 비기능적 습관에서 발생하는 **비축성 하중(Non-axial Load)**에는 취약하다.
주요 리스크 습관 3가지:
- 이갈이/이악물기(Bruxism/Clenching) — 야간 나이트가드(Occlusal Splint) 착용이 필수. 빌드업 라미네이트 환자 중 브럭시즘 병력자는 교합 안정 장치를 시술 전후 모두 평가·제작하는 것을 표준 프로토콜로 운영한다.
- 손톱 깨물기·볼펜 깨물기 등 신경성 습관 — 전치부 절단연(Incisal edge)에 반복적 미세 외상 발생
- 전치부 경성 이물 교합 — 견과류·얼음·사탕류를 앞니로 깨무는 행위, 구조적 한계를 초과
교합 이상이 의심되는 경우 T-scan, Occlusion paper 등을 이용한 정밀 교합 분석을 정기적으로 시행해야 한다.
💡 관련 글: 라미네이트의 진단! — 시술 전 교합·습관 진단의 중요성
4. 정기 검진(Recall Protocol): 6개월 주기의 근거
라미네이트 환자에 대해 본원은 **6개월 주기 리콜(Recall)**을 원칙으로 한다. 이는 국제적 심미 수복 가이드라인(AACD, EAED)에서 공통적으로 권고하는 간격이다.
리콜 시 시행 항목:
- 변연부 접착 상태 및 미세누출 평가
- 치주 조직 건강도(Probing Depth, BOP) 측정
- 교합 안정성 재평가
- 초음파 스케일링을 통한 치석 제거 (라미네이트 변연부 보호 각도로 시행)
- 필요 시 폴리싱(Polishing)을 통한 광택 복원
초기 단계의 미세 결함은 리콜 시점에 간단한 복합레진 보수(Repair)로 해결 가능하나, 방치 시 전체 재시술로 이어진다.
💡 관련 글: 라미네이트 수명, 얼마나 갈까요? 20년 경험이 알려드립니다
5. 장기 예후 비교: 관리가 만드는 10년의 차이
본원 20년 장기 추적 케이스 중 체계적 리콜 프로토콜을 준수한 환자군과 그렇지 않은 환자군의 예후를 비교하면 다음과 같은 차이가 관찰된다.
| 항목 | 관리 준수군 | 관리 비준수군 |
|---|---|---|
| 10년 생존율 | 95% 이상 | 60% 내외 |
| 변연부 착색 | 거의 없음 | 3~5년 내 발생 |
| 잇몸 퇴축 | 경미 | 중등도~중증 |
| 재시술률 | 5% 미만 | 30% 이상 |
본 수치는 본원 내부 추적 데이터로 대외 공인 수치와 차이가 있을 수 있음.
결론적으로, 라미네이트의 수명은 재료·술자·환자 관리의 3요소가 각각 약 30%씩 기여한다. 아무리 완성도 높은 빌드업 라미네이트라도 관리가 뒷받침되지 않으면 임상적 한계가 드러난다.


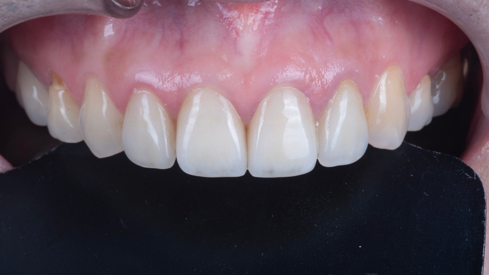
[사진 6 참조] 동일 환자의 시술 직후와 9년 경과 시점 비교, 치료 전 라미네이트 염증으로 재시술 후 9년 경과
7. 조언: 라미네이트 장기 유지를 위한 체크리스트
- ✅ 시술 후 48시간 음식·양치 프로토콜 준수
- ✅ 연모 칫솔 + 치실 + 저마모 치약의 일상 루틴 확립
- ✅ 브럭시즘 병력자 나이트가드 필수 착용
- ✅ 전치부 경성 이물 교합 회피
- ✅ 6개월 주기 리콜 방문 유지
- ✅ 변연부 이상 감지 시 즉시 내원 (조기 보수가 전체 재시술을 예방)
8. 자주 묻는 질문(FAQ)
Q1. 라미네이트 완성 후 치아 미백(Tooth Whitening)이 가능한가?
A. 세라믹 자체는 미백제(과산화수소 계열)에 반응하지 않는다. 따라서 라미네이트 자체의 색조는 변화시킬 수 없다. 다만 라미네이트가 적용되지 않은 인접 자연치(특히 견치·소구치)의 변색이 발생한 경우, 해당 자연치만 선택적으로 미백하여 라미네이트 색조에 일치시키는 전략이 가능하다. 가장 이상적인 프로토콜은 시술 전 미백을 선행하여 목표 Shade를 확정한 뒤 라미네이트를 제작하는 것이다.
Q2. 라미네이트 치아로 일반 음식 섭취가 가능한가?
A. 정상적인 저작 기능에는 제한이 없다. 사과, 육류, 채소 등 일반 식품은 자연치와 동일하게 섭취 가능하다. 다만 앞니로 경성 이물을 절단·분쇄하는 행위(얼음 씹기, 과일 씨 깨물기, 게 껍질 분리 등)는 자연치에도 유해한 행위로, 라미네이트 시술 여부와 무관하게 회피해야 한다.
Q3. 초음파 스케일링이 라미네이트에 영향을 주는가?
A. 표준 출력의 초음파 스케일링은 세라믹 라미네이트에 구조적 손상을 유발하지 않는다. 오히려 변연부 치석 제거를 위해 정기적으로 시행되어야 한다. 다만 팁의 접근 각도가 중요하며, 라미네이트 변연부에 평행하게 접근해야 접착면 손상을 방지할 수 있다. 따라서 시술을 진행한 치과에서 리콜 및 스케일링을 받는 것이 예후상 유리하다.
압구정 드림치과는 라미네이트 시술 이후 **체계적 장기 관리 프로토콜(Long-term Maintenance Protocol)**을 운영하고 있으며, 본 프로토콜은 라미스타 아카데미를 통해 동료 치과의사들에게도 교육되고 있다.
라미네이트의 가치는 시술 순간이 아니라 10년, 20년 뒤에도 처음의 심미성을 유지하는가에서 판가름난다.
작성자: 박종욱 (Park, Jong-Wook, D.D.S., M.S.D.) 서울대학교 치과대학 졸업 / 서울대학교 치의학대학원 치과보존학 석사 서울대학교 치과병원 인턴·치과보존과 레지던트 수료 치과보존과 전문의 한국접착치의학회 교육이사 『최소삭제를 위한 라미네이트 임상』 저자 라미스타 아카데미 디렉터 압구정 드림치과 대표원장
카테고리: 라미네이트 이야기
태그: Laminate Veneer Maintenance, 라미네이트 유지관리, 라미네이트 수명, Bonding Stabilization, Bruxism Management, Recall Protocol, Minimally Invasive Laminate, 빌드업 라미네이트, 압구정 라미네이트, Dream Dental Clinic