서론: 무삭제 적응증의 유연한 해석
**무삭제 라미네이트(No-preparation laminate)**의 적응증은 전통적으로 **3대 조건(작은 치아, 고른 치열, 비돌출)**으로 정의됩니다. 그러나 이러한 기준은 **절대적 법칙이 아닌 지침(Guideline, not absolute rule)**으로 이해되어야 합니다. 모든 조건이 완벽하게 충족되지 않더라도, **정밀한 진단(Precise diagnosis)**과 **전략적 디자인(Strategic design)**을 통해 무삭제 라미네이트의 가능성을 확장할 수 있습니다.
본 케이스는 치아 크기가 큰(Large teeth) 비이상적 조건에서도, **왁스업 정밀 진단(Diagnostic wax-up)**을 통한 **비율 최적화(Proportion optimization)**와 **시각적 축소 디자인(Visual reduction design)**으로 성공적인 무삭제 라미네이트를 달성한 사례입니다.
압구정 드림치과 박종욱 원장의 20년간 심미 보철 치료 경험을 바탕으로, 무삭제 라미네이트의 적응증 확대, 정밀 진단의 필수성, 그리고 비율과 형태 조절의 과학을 설명드리겠습니다.
무삭제 라미네이트의 3대 조건
조건 1: 왜소치 또는 작은 치아 (Small teeth or microdontia)
치아를 증대(Augmentation)시켜야 하므로 삭제가 전혀 필요하지 않습니다. 오히려 부가(Addition) 방향의 치료입니다.
조건 2: 양호한 치열 배열 (Well-aligned dentition)
치아 배열이 가지런하여 위치 보정(Positional correction)이 불필요합니다. 치아가 불규칙하면 재배치를 위한 삭제가 필요하지만, 가지런하면 삭제가 불필요합니다.
조건 3: 비돌출 또는 후퇴된 치아 (Non-protrusive or retroclined teeth)
치아가 전방으로 돌출되지 않고 오히려 옥니(Retroclined)처럼 안쪽으로 들어가 있어, 순측 방향으로 라미네이트 부착 공간이 충분합니다.
이 세 가지 조건을 모두 충족하면 무삭제 라미네이트의 이상적 케이스입니다.
본 케이스의 특수성: 과대 치아 조건

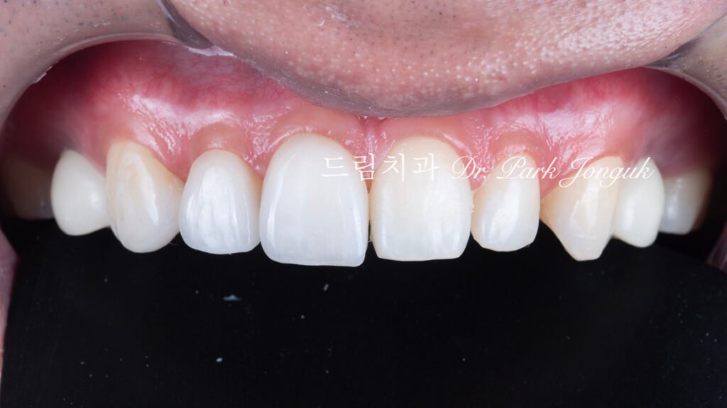
사진 1은 초진 시 구강 내 상태입니다.
충족된 조건
양호한 치열(Good alignment): 치아 배열이 가지런하게 잘 정렬되어 있습니다.
비돌출(Non-protrusive): 과도하게 뻐드러지지 않았으며, 적절한 순측 위치를 보입니다.
비충족 조건: 과대 치아
여기에 문제가 있습니다. 무삭제 라미네이트의 첫 번째 조건인 “치아가 작아야 한다”를 충족하지 못합니다.
치아 크기가 이미 적절하거나 약간 큰(Normal to slightly large) 상태입니다.
예상되는 문제
이런 조건에서 무조건적인 무삭제 라미네이트를 시행하면:
- 과대 치아(Oversized teeth) 발생
- 부자연스러운 외관(Unnatural appearance)
- 안면 부조화(Facial disharmony)
그렇다면 이 환자는 무삭제가 불가능할까요?
해결책: 정밀 진단을 통한 적응증 확대
이러한 문제를 극복하는 가장 좋은 방법은 바로 정밀한 진단입니다.
무조건 “무삭제”를 고집하는 것이 아니라, 정밀한 진단을 통해 가능성을 과학적으로 평가하는 것입니다.
왁스업 정밀 진단: 비율과 크기의 최적화


사진 2, 3은 **왁스업 정밀 진단(Diagnostic wax-up)**입니다.
왁스업의 핵심 목표
진단을 통해서 치아의 비율과 크기를 잘 조절해야 합니다. 단순히 크기만 보는 것이 아닙니다.
비율 최적화 (Proportion optimization)
치관 폭/길이 비율(Crown width/height ratio): 최적의 비율(약 75-85%)을 달성하여 시각적으로 조화로운 형태를 만듭니다.
중절치:측절치 관계(Central:lateral relationship): 자연스러운 크기 관계를 확립합니다. 중절치가 지배적(Dominant)이면서도 과도하지 않도록 조절합니다.
안면 조화 분석(Facial harmony analysis): 환자의 얼굴, 입술, 미소선과의 관계를 평가하여 절대적 크기를 결정합니다.
형태의 전략적 디자인
섬세한 절단연(Delicate incisal edge): 치아 끝을 둥글고 섬세하게 디자인합니다.
발육엽과 표면 특성(Developmental lobes and surface characterization): 입체적인 형태를 설계합니다.
인접면 각도(Interproximal angles): 측절치와 견치의 개방된 인접각(Open interproximal angles)을 활용하여 시각적으로 좁아 보이도록 합니다.
시각적 축소 효과 (Visual reduction effect)
중요한 원리: 같은 크기라도 형태에 따라 크기가 다르게 인지됩니다.
섬세하고 입체적인 형태: 더 작고 자연스럽게 보입니다.
획일적이고 평면적인 형태: 더 크고 투박하게 보입니다.
이런 **심리시각적 원리(Psychovisual principles)**를 활용하여, 실제 크기는 증가시키지 않으면서도 시각적으로는 적절하고 조화롭게 보이도록 디자인했습니다.
시적 과정: 실제 검증

사진 4는 오른쪽 치아들에만 라미네이트를 올려놓은 시적(Try-in) 상태입니다.
좌우 비교의 가치
우측(라미네이트 시적): 최종 형태 확인 좌측(시술 전): 원래 상태 유지
이러한 **반측 시적(Half try-in)**은 변화를 명확하게 시각화하고 평가할 수 있게 합니다.
검증 항목
크기 적절성(Size appropriateness): 과대하지 않은가? 환자의 안면 특성과 조화로운가?
비율 조화(Proportional harmony): 중절치-측절치-견치의 관계가 자연스러운가?
형태 심미성(Morphological esthetics): 섬세하고 우아한가?
환자 만족도(Patient satisfaction): 환자 본인이 직접 평가합니다.
환자와의 협의
환자분께 직접 보여드리고 **충분한 상담(Adequate consultation)**을 진행합니다. 크기, 형태, 색상에 대해 논의하고, 필요시 **이 단계에서 수정(Modification)**합니다.
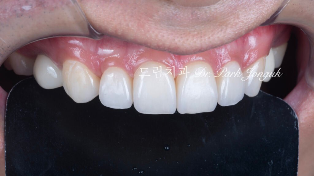
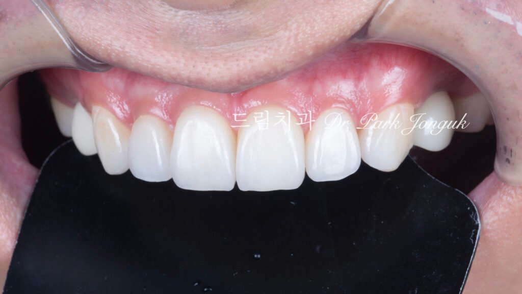
최종 결과: 비이상적 조건의 성공적 극복




사진 5, 6, 7, 8은 치료 후 상태입니다. 극적인 성공이 달성되었습니다.
적절한 크기
치아가 크다는 원래 조건에도 불구하고, 최종 결과는 전혀 과대하게 보이지 않습니다. 오히려 **환자의 안면 특성과 완벽하게 조화(Perfect facial harmony)**를 이룹니다.
완벽한 비율
중절치:측절치 관계: 자연스러운 크기 관계 치관 폭/길이 비율: 최적 범위 달성 좌우 대칭(Bilateral symmetry): 아름다운 균형
섬세한 형태
둥글고 우아한 절단연: 섬세함 표현 발육엽과 표면 굴곡: 입체감 재현 개별 특성(Individual characteristics): 각 치아의 고유성 유지
자연스러운 광학 특성
절단연 투명감(Incisal translucency): 아름답게 재현 색상 그라디언트(Color gradient): 치경부에서 절단연까지 자연스러운 전이 수작업 다층 빌드업의 힘: 단일 블록으로는 불가능한 복잡한 광학 구조
임상적 통찰: 무삭제 적응증의 재정의
3대 조건은 지침이지 절대 법칙이 아니다
전통적 3대 조건은 **이상적 지침(Ideal guideline)**이지 **절대적 제한(Absolute limitation)**이 아닙니다. 본 케이스처럼 한두 가지 조건이 완벽하지 않아도 무삭제가 가능합니다.
정밀 진단이 한계를 극복한다
정밀한 왁스업 진단을 통한 비율 최적화, 형태 전략화, 시각적 효과 활용으로 비이상적 조건을 극복할 수 있습니다. 진단 없는 무조건적 시술은 위험하지만, 정밀 진단이 있으면 적응증이 확대됩니다.
디자인의 과학이 중요하다
심리시각적 원리를 이해하고 활용하는 것이 성공의 핵심입니다. 같은 크기라도 디자인에 따라 다르게 인지되며, 섬세한 형태, 적절한 비율, 입체적 특성이 시각적 크기를 조절합니다.
시적 과정이 필수적이다
왁스업으로 계획하고, 시적으로 실제 검증하는 과정이 필수적입니다. 환자와 함께 확인하고 조정하는 과정 없이는 성공을 보장할 수 없습니다.
무삭제 라미네이트 시술 지침
3대 조건 평가 및 유연한 해석
기본 조건을 평가하되, 한두 가지 조건이 불완전해도 정밀 진단을 통한 극복 가능성을 탐색하십시오.
왁스업 정밀 진단 필수
최종 형태를 미리 제작하고 검증해야 합니다. 크기, 비율, 형태를 최적화하는 과정입니다.
시적 과정 시행
실제로 올려보고 확인하는 과정이 중요합니다. 환자가 직접 평가하고 협의하는 단계입니다.
경험 있는 술자 선택
비이상적 조건일수록 풍부한 임상 경험이 필수적입니다. 20년 이상의 다양한 케이스 경험이 성공률을 좌우합니다.
결론: 과학적 진단을 통한 적응증 확대
무삭제 라미네이트의 적응증은 전통적 3대 조건에 제한되지 않습니다. 정밀한 왁스업 진단을 통한 비율 최적화, 전략적 형태 디자인, 심리시각적 효과 활용으로 비이상적 조건에서도 성공적 결과를 달성할 수 있습니다. 중요한 것은 무조건적 적용이 아닌 과학적 평가와 전략적 계획입니다.
자주 묻는 질문 (Frequently Asked Questions)
Q1. 치아가 큰 경우에도 무삭제 라미네이트가 정말 가능한가요?
네, 정밀한 진단과 전략적 디자인으로 가능합니다. 본 케이스처럼 비율 최적화, 형태 섬세화, 시각적 축소 효과를 활용하면 치아가 큰 경우에도 자연스러운 결과를 얻을 수 있습니다. 핵심은 왁스업 정밀 진단을 통해 치관 폭/길이 비율을 최적화하고, 섬세한 형태로 시각적으로 작아 보이도록 디자인하는 것입니다. 다만 모든 케이스에서 가능한 것은 아니며, 정밀한 평가가 선행되어야 합니다.
Q2. 왁스업 진단은 왜 필수적인가요?
왁스업 진단은 최종 결과를 미리 예측하고 최적화하기 위해 필수적입니다. 특히 조건이 완벽하지 않은 경우, 왁스업을 통해: (1) 비율과 크기를 정밀하게 조절, (2) 형태를 전략적으로 디자인, (3) 시각적 효과를 계획, (4) 환자와 충분히 협의할 수 있습니다. 왁스업 없는 무삭제 라미네이트는 예측 불가능하고 위험합니다. 압구정 드림치과 박종욱 원장은 모든 무삭제 라미네이트에서 왁스업 정밀 진단을 표준 프로토콜로 시행합니다.
Q3. 무삭제 라미네이트 후 치아가 두껍거나 부자연스럽게 느껴지지 않나요?
적절하게 디자인되고 제작되면 전혀 그렇지 않습니다. 0.2-0.3mm의 초박형 라미네이트이며, 비율과 형태가 과학적으로 최적화되어 있어 자연스럽고 편안합니다. 오히려 환자들은 라미네이트 시술 여부를 인지하지 못할 정도로 자연스럽다고 평가합니다. 핵심은 정밀한 진단, 적절한 비율, 섬세한 형태 디자인, 수작업 다층 빌드업입니다. 이 모든 요소가 결합되어야 두께감 없이 자연스러운 결과를 얻을 수 있습니다.
본 콘텐츠는 압구정 드림치과 박종욱 원장의 20년간 심미 보철 치료 경험을 기반으로 작성되었습니다. 라미스타 아카데미에서 매월 치과의사 대상 무삭제 라미네이트 정밀 진단 프로토콜을 교육하고 있으며, 국내 최초 라미네이트 교과서의 저자입니다.