앞니 라미네이트(Anterior Laminate): 복합 심미 문제의 종합적 해결

서론: 다차원적 심미 문제의 통합적 접근

**앞니 라미네이트(Anterior laminate veneer)**의 성공은 단순히 치아를 “밝게” 만드는 것을 넘어, **형태(Morphology), 비율(Proportion), 대칭(Symmetry), 치은 조화(Gingival harmony), 광학적 특성(Optical properties)**을 종합적으로 개선하는 데 있습니다. 심미적으로 만족스럽지 않은 앞니는 대개 **복합적이고 다차원적인 문제(Multifaceted and multidimensional problems)**를 가지고 있으며, 이를 해결하기 위해서는 **체계적 진단(Systematic diagnosis)**과 **통합적 치료 계획(Integrated treatment planning)**이 필수적입니다. 강남 라미네이트 잘하는 곳 바로 드림치과.

본 케이스는 “앞니가 안 예뻐서” 내원한 환자에서 불규칙한 형태, 부적절한 비율, 비대칭, 불균일한 치은선, 치간 우식, 부분 마모 등 복합적 문제를 치은 성형(Gingivectomy), 정밀 왁스업 진단(Diagnostic wax-up), 수작업 다층 빌드업 라미네이트의 조합으로 해결하여 자연스럽고 조화로운 심미성을 달성한 사례입니다.

압구정 드림치과 박종욱 원장의 20년간 심미 보철 치료 경험을 바탕으로, 복합 심미 문제의 체계적 진단, 치은-치아 통합 치료, 그리고 수작업 빌드업의 광학적 우월성을 설명드리겠습니다.

주소: “앞니가 안 예뻐서

환자분은 “앞니가 안 예뻐서” 라미네이트 치료를 위해 내원하셨습니다.

이는 간단하지만 **포괄적인 심미적 불만족(Comprehensive esthetic dissatisfaction)**을 표현하는 말입니다. 실제 평가 결과, 여러 차원의 문제가 복합적으로 존재했습니다.

치아를 아름답게 하기 위해 압구정 드림치과를 찾아주셨습니다.

초진 평가: 다차원적 문제의 확인

앞니 라미네이트, Anterior Laminate, 강남 라미네이트, Gangnam Laminate, 라미네이트 잘하는 곳, Best Laminate Clinic, 치은 성형, Gingivectomy, 왁스업 진단, Diagnostic Wax-up, 수작업 빌드업, Hand-Layered Build-up

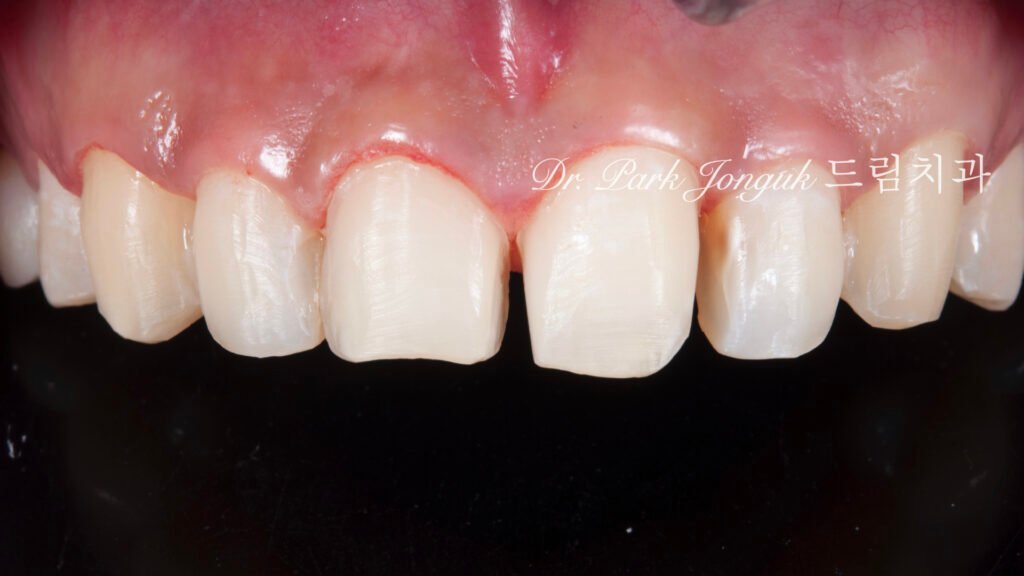
사진 1은 초진 시 구강 내 상태입니다. 여러 차원의 심미적 결함이 관찰됩니다.

불규칙한 형태 (Irregular morphology)

치아마다 형태가 제각각입니다. 어떤 치아는 각지고(Angular), 어떤 치아는 과도하게 둥글며(Overly rounded), 통일감이 결여되어 있습니다.

부적절한 비율 (Inappropriate proportion)

중절치:측절치 크기 관계가 부자연스럽습니다. 전체적인 조화(Harmony)가 무너져 있습니다.

비대칭 (Asymmetry)

좌우가 대칭적이지 않습니다. 한쪽은 치아가 크고, 한쪽은 상대적으로 작아 **양측 불균형(Bilateral imbalance)**을 보입니다.

정밀 진단: 문제점의 체계적 분석

앞니 라미네이트, Anterior Laminate, 강남 라미네이트, Gangnam Laminate, 라미네이트 잘하는 곳, Best Laminate Clinic, 치은 성형, Gingivectomy, 왁스업 진단, Diagnostic Wax-up, 수작업 빌드업, Hand-Layered Build-up

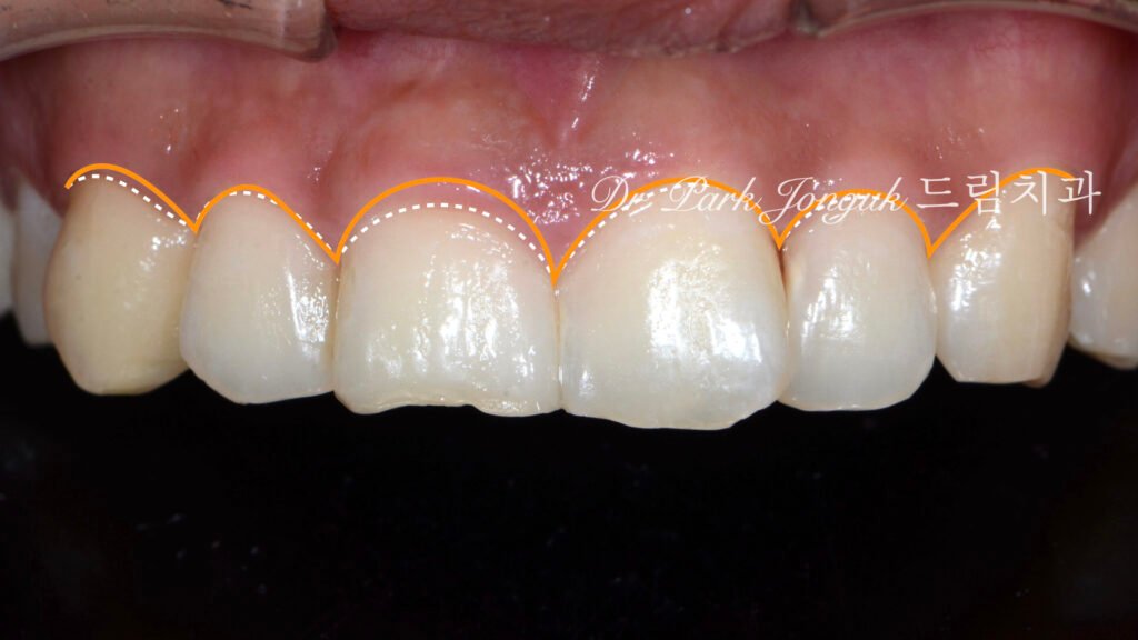
사진 2는 문제점들을 사진에 시각적으로 표시한 진단 이미지입니다.

치간 우식 (Interproximal caries)

치아 사이에 충치(우식)가 발견되었습니다. 방치 시 진행성 치질 파괴를 초래하므로, 라미네이트 전 **완전한 제거(Complete removal)**가 필수적입니다.

불균일한 치은 높이 (Uneven gingival height)

치은선(잇몸선)이 고르지 않습니다. 치아마다 치은 zenith의 위치가 불규칙하여 전체적인 부조화를 야기합니다.

부분 마모 (Localized wear)

일부 치아에 **마모(Wear)**가 발생했습니다. 절단연이 평평해져(Flattened incisal edge) 젊고 건강한 인상이 소실되었습니다.

색상 불균일 (Color inconsistency)

치아마다 색조가 불균일하고, 전반적으로 탁하고 어두운(Dull and dark) 명도를 보입니다.

치은 성형: 조화로운 치은선 확립

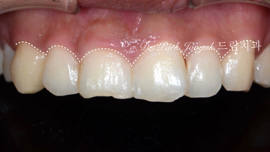
사진 3은 현재 치은 상태, 사진 4의 주황색 선은 목표 치은선입니다.

치은 성형의 필요성

불규일한 치은 높이는 **치은 성형(Gingivectomy)**을 통해 조정해야 합니다. 라미네이트만으로는 치은 불조화를 완전히 보상할 수 없습니다.

이상적 치은선의 확립

주황색 선을 따라 치은을 조정하여:

  • 좌우 대칭(Bilateral symmetry) 달성
  • 중절치와 견치의 치은선 정렬: 같은 수평 높이
  • 측절치의 치관측 위치: 약간 높게(더 치관측) 위치 – 이것이 Class 1 gingival height의 이상적 기준

이러한 치은 조화는 **치아 심미의 기본 프레임(Fundamental frame)**을 제공합니다.

왁스업 진단: 최종 형태의 전략적 설계

앞니 라미네이트, Anterior Laminate, 강남 라미네이트, Gangnam Laminate, 라미네이트 잘하는 곳, Best Laminate Clinic, 치은 성형, Gingivectomy, 왁스업 진단, Diagnostic Wax-up, 수작업 빌드업, Hand-Layered Build-up

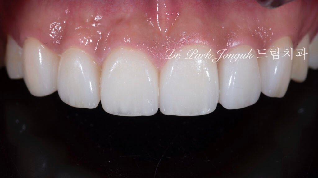
사진 4는 왁스업(Diagnostic wax-up) 완료 상태입니다.

형태 재설계 (Morphological redesign)

불규칙했던 형태를 자연스럽고 우아하게(Naturally and gracefully) 재설계했습니다. 각 치아마다 고유한 특성(Individual characteristics)을 부여하면서도 전체적으로 조화롭게(Harmoniously) 통합했습니다.

비율 최적화 (Proportion optimization)

중절치:측절치 크기 관계: 자연스러운 관계 확립 치관 폭/길이 비율: 최적 범위(약 75-85%) 달성 안면 조화: 환자의 얼굴 특성과 조화

대칭 확립 (Symmetry establishment)

좌우가 완벽하게 대칭이 되도록 설계하여 균형 잡힌 아름다움을 구현합니다.

치아 형성: 우식 제거와 정밀 삭제

앞니 라미네이트, Anterior Laminate, 강남 라미네이트, Gangnam Laminate, 라미네이트 잘하는 곳, Best Laminate Clinic, 치은 성형, Gingivectomy, 왁스업 진단, Diagnostic Wax-up, 수작업 빌드업, Hand-Layered Build-up

사진 5는 치아 형성(Tooth preparation) 단계입니다.

우식의 완전 제거

우식을 제거하고 건전한 치질만 남깁니다. 우식이 잔존하면 라미네이트 하부에서 **지속적 진행(Continuous progression)**되어 장기 실패를 초래합니다.

치간 삭제

크기 변화를 위해서 치아 사이를 삭제했습니다. 왁스업에서 계획한 비율과 형태를 달성하기 위한 **전략적 삭제(Strategic preparation)**입니다.

최소 침습 원칙

최소한만 삭제하여 치질을 최대한 보존합니다. 필요한 만큼만 정밀하게 형성하는 것이 핵심입니다.

시적 과정: 실제 검증

앞니 라미네이트, Anterior Laminate, 강남 라미네이트, Gangnam Laminate, 라미네이트 잘하는 곳, Best Laminate Clinic, 치은 성형, Gingivectomy, 왁스업 진단, Diagnostic Wax-up, 수작업 빌드업, Hand-Layered Build-up

사진 6은 시적(Try-in) 과정입니다. 살짝 올려놓아 최종 결과를 미리 확인합니다.

포괄적 평가

크기 적절성: 과대하거나 과소하지 않은가? 형태 심미성: 자연스럽고 우아한가? 색상 만족도: 환자의 선호와 일치하는가?

환자 협의

환자분께 거울을 통해 직접 보여드리고 **충분한 상담(Adequate consultation)**을 진행합니다. “이 정도면 좋겠다” 또는 “조금 더 수정하면 좋겠다”는 의견을 반영합니다.

수정 가능성

접착 전 단계이므로 변경이 자유롭습니다. 완벽할 때까지 조정하여 최종 만족도를 극대화합니다.

최종 결과: 복합 문제의 완전한 해결

앞니 라미네이트, Anterior Laminate, 강남 라미네이트, Gangnam Laminate, 라미네이트 잘하는 곳, Best Laminate Clinic, 치은 성형, Gingivectomy, 왁스업 진단, Diagnostic Wax-up, 수작업 빌드업, Hand-Layered Build-up
앞니 라미네이트, Anterior Laminate, 강남 라미네이트, Gangnam Laminate, 라미네이트 잘하는 곳, Best Laminate Clinic, 치은 성형, Gingivectomy, 왁스업 진단, Diagnostic Wax-up, 수작업 빌드업, Hand-Layered Build-up
앞니 라미네이트, Anterior Laminate, 강남 라미네이트, Gangnam Laminate, 라미네이트 잘하는 곳, Best Laminate Clinic, 치은 성형, Gingivectomy, 왁스업 진단, Diagnostic Wax-up, 수작업 빌드업, Hand-Layered Build-up
앞니 라미네이트, Anterior Laminate, 강남 라미네이트, Gangnam Laminate, 라미네이트 잘하는 곳, Best Laminate Clinic, 치은 성형, Gingivectomy, 왁스업 진단, Diagnostic Wax-up, 수작업 빌드업, Hand-Layered Build-up

사진 7, 8, 9, 10은 치료 후 상태입니다. 극적이고 포괄적인 개선이 달성되었습니다.

탁월한 투명감

투명감이 너무 좋아졌습니다. 특히 **절단연 투명감(Incisal translucency)**이 완벽하게 재현되었습니다.

빛의 투과와 산란(Light transmission and scattering): 빛이 부드럽게 통과하면서 확산되어 젊고 건강한 치아의 특징을 보여줍니다.

수작업 다층 빌드업의 우월성: 이러한 복잡한 광학 특성은 단일 블록 CAD/CAM 방식으로는 절대 달성할 수 없으며, **수작업 다층 빌드업(Hand-layered multi-layer build-up)**으로만 가능합니다.

우아한 형태

형태가 너무 좋아졌습니다. 불규칙하고 각졌던 형태가 자연스럽고 우아하게 변했습니다.

개별 특성(Individual characteristics): 각 치아마다 고유한 발육엽(Developmental lobes), 표면 굴곡(Surface contours)이 섬세하게 재현되었습니다.

입체감(Three-dimensionality): 획일적이지 않고 역동적이며 생명력 있는 형태입니다.

완벽한 비율

중절치:측절치 크기 관계: 이상적 비율 치관 폭/길이 비율: 조화로운 비율 전체적 균형: 아름다운 통합

완벽한 대칭

좌우가 완벽하게 대칭입니다. 거울상(Mirror image)처럼 정확한 양측 균형입니다.

조화로운 치은선

치은 성형으로 치은선이 조화롭게 정리되었습니다:

  • 중절치와 견치: 같은 수평 높이
  • 측절치: 약간 치관측 위치
  • Class 1 gingival height 달성

자연스러운 색상

밝으면서도 자연스러운 색조입니다:

  • 치경부: 따뜻한 상아색(Warm ivory)
  • 중간부: 밝은 색조(Bright hue)
  • 절단연: 투명 영역(Translucent zone)

이러한 **색상 그라디언트(Color gradient)**가 진짜 치아처럼 보이게 만듭니다.

치료의 핵심 요소

종합적 진단

단순히 “밝게” 만드는 것이 아닌, 형태, 비율, 대칭, 치은선, 우식, 마모 등 모든 차원을 평가하고 각각에 대한 해결책을 수립합니다.

치은-치아 통합 치료

치은 성형과 라미네이트의 조합으로 치은과 치아의 조화를 동시에 달성합니다. 하나만으로는 한계가 있습니다.

왁스업 정밀 진단

최종 형태를 미리 제작하고 검증하는 과정이 필수적입니다. 예측 가능한 결과를 보장합니다.

시적을 통한 환자 협의

실제로 올려보고 환자와 함께 평가하는 과정이 최종 만족도를 좌우합니다.

수작업 다층 빌드업

투명감과 자연스러운 형태는 수작업 빌드업으로만 가능합니다. 여러 겹의 세라믹을 적층하여 자연치아의 복잡한 광학 구조를 재현합니다.

결론: 복합 심미 문제의 통합적 해결

“안 예쁜 앞니”는 대개 단일 문제가 아닌 형태, 비율, 대칭, 치은, 색상 등의 복합적 결함입니다. 성공적인 앞니 라미네이트는 체계적 진단을 통해 모든 차원의 문제를 파악하고, 치은 성형-왁스업 진단-수작업 빌드업의 통합적 접근으로 종합적 해결을 달성하는 데 있습니다. 20년 이상의 경험과 정교한 기술이 아름답고 자연스러운 미소를 만듭니다.


자주 묻는 질문 (Frequently Asked Questions)

Q1. 앞니 라미네이트는 얼마나 오래 사용할 수 있나요?

적절하게 제작되고 관리되면 10년 이상 사용 가능합니다. 장기 성공의 핵심은: (1) 정기 검진(6개월마다), (2) 올바른 구강 위생(칫솔질, 치실 사용), (3) 딱딱한 음식을 앞니로 깨물지 않기, (4) 이갈이가 있다면 야간 보호 장치(Night guard) 착용입니다. 압구정 드림치과 박종욱 원장의 임상 경험에서 적절히 관리된 라미네이트는 15-20년 이상 사용되는 경우도 많습니다.

Q2. 치은 성형은 아프거나 회복 기간이 오래 걸리나요?

국소 마취 하에 진행되므로 시술 중에는 전혀 통증이 없습니다. 시술 후 2-3일 정도 약간의 불편함(경미한 부종, 민감도)이 있을 수 있으나, 처방된 진통제와 항생제로 충분히 관리 가능합니다. 대부분 1주일 이내에 정상 생활이 가능하며, 완전한 치유는 2-4주 소요됩니다. 치은 성형 없이 라미네이트만 시행하면 치은선 불조화를 완전히 해결할 수 없으므로, 필요한 경우 반드시 시행하는 것을 권장합니다.

Q3. 수작업 빌드업과 CAD/CAM 방식의 차이는 무엇인가요?

수작업 다층 빌드업: 여러 종류의 세라믹(덴틴층, 에나멜층, 투명층, 특성화층)을 수작업으로 적층하여 자연치아의 복잡한 광학 구조를 재현합니다. 투명감, 색상 그라디언트, 깊이감이 탁월하나 제작 시간이 오래 걸리고 비용이 높습니다. CAD/CAM 단일 블록: 컴퓨터로 단일 세라믹 블록을 밀링하여 빠르고 저렴하게 제작하지만, 투명감과 색상 변화 재현에 한계가 있어 평면적이고 인공적으로 보일 수 있습니다. 본 케이스처럼 최고 수준의 심미성을 원한다면 수작업 빌드업이 필수적입니다.


본 콘텐츠는 압구정 드림치과 박종욱 원장의 20년간 심미 보철 치료 경험을 기반으로 작성되었습니다. 라미스타 아카데미에서 매월 치과의사 대상 복합 심미 문제 해결 프로토콜을 교육하고 있으며, 국내 최초 라미네이트 교과서의 저자입니다.