Author: 박종욱 (D.D.S., Ph.D. / 보존과 전문의, 드림치과 대표원장) 핵심 키워드: 무삭제 라미네이트, 치아부식치료, 역류성 식도염치아, 교정후 라미네이트, 잇몸성형회복, 보존과전문의
1. 서론: 치아 침식(Dental Erosion)과 보존적 치료의 필요성
역류성 식도염이나 섭식 장애 등으로 인해 반복되는 위산 역류는 치아의 가장 단단한 조직인 법랑질을 화학적으로 녹여버리는 **치아 침식(Dental Erosion)**을 유발합니다. 특히 젊은 환자들의 경우, 이러한 침식으로 인해 치아 끝이 투명해지거나 파절되는 등 심미적·기능적 손실이 큼에도 불구하고, 치아 삭제에 대한 공포로 치료를 미루는 경우가 많습니다.
본 사례는 교정 치료 후 잔존한 치아 부식 문제를 단 0.1mm의 삭제도 없이 복원한 무삭제 라미네이트 케이스입니다.
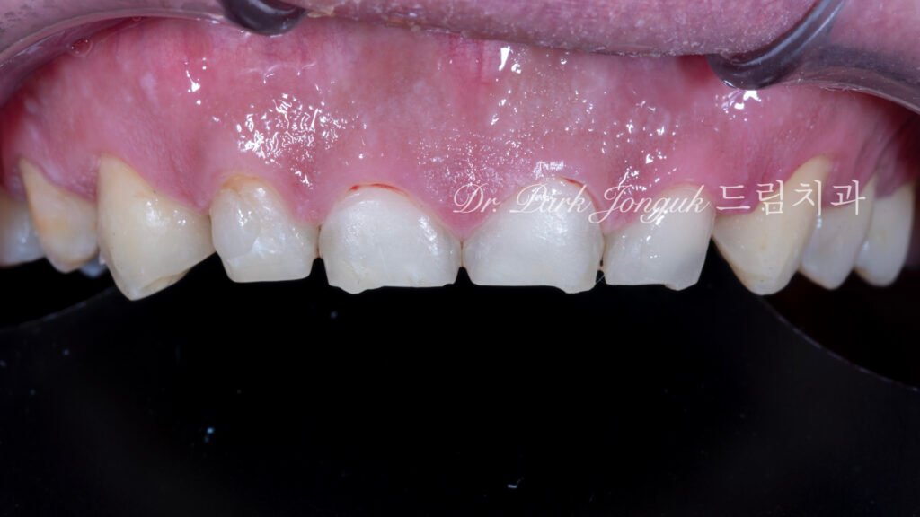
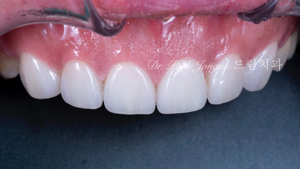
2. 임상 상태 분석 및 치료 계획 (사진 1)
2.1 교정 완료 후의 한계점

[사진 1 참조] 환자분은 부정교합을 해결하기 위해 교정 치료를 먼저 진행하셨습니다. 하지만 교정은 치아의 ‘위치’를 바로잡을 뿐, 위산에 의해 변형된 치아의 ‘형태’와 ‘두께’까지 회복시켜 주지는 못합니다. 치아 표면은 이미 얇아질 대로 얇아져 있었으며, 법랑질 소실로 인해 상아질 노출의 위험이 있는 상태였습니다.
2.2 보존과 전문의의 판단
이 상태에서 기존의 라미네이트 방식(삭제형)을 선택하는 것은 치아의 수명을 급격히 단축시키는 위험한 선택입니다. 이에 저는 남은 치질을 100% 보존하면서 결손된 부위만 정교하게 덧붙이는 **무삭제 라미네이트(Non-Prep Veneer)**를 최종 솔루션으로 결정했습니다.
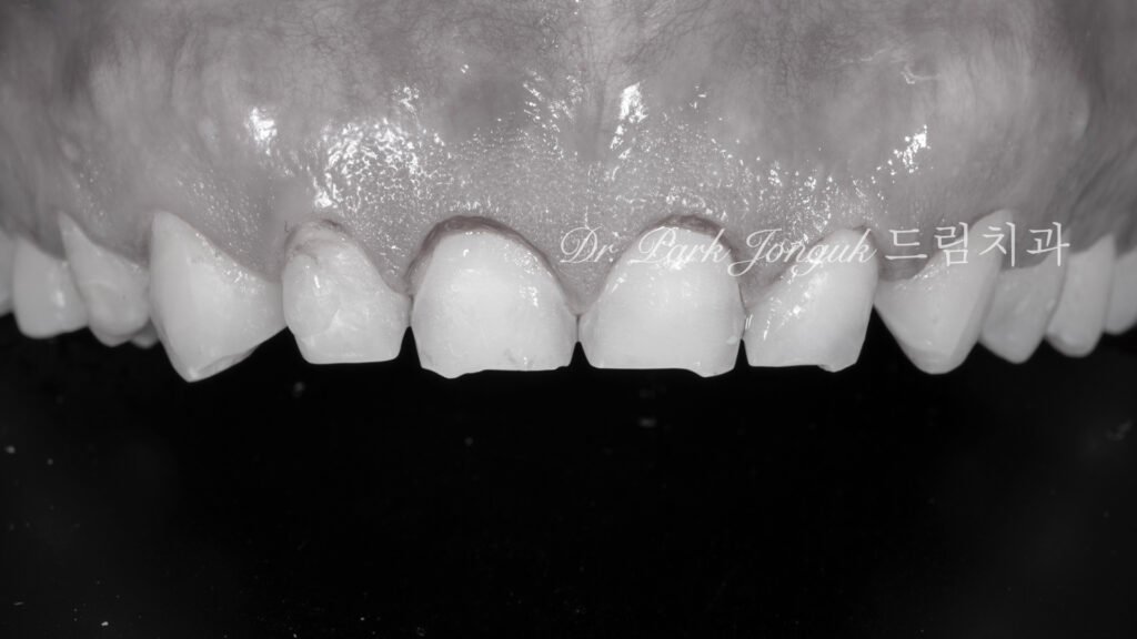
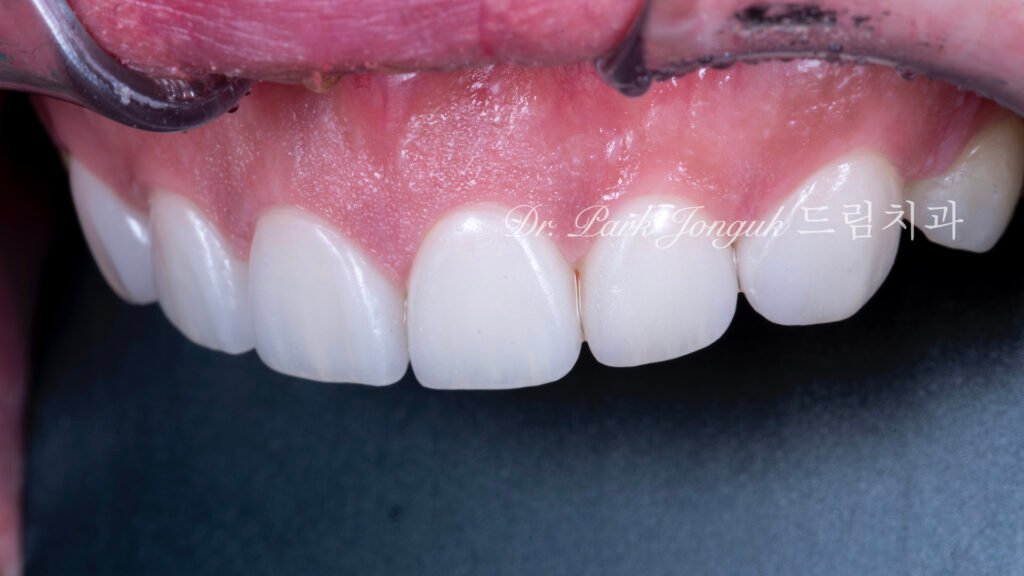
3. 정밀 진단 단계: Prescription & Inspection (사진 2, 3)


3.1 왁스업(Wax-up)을 통한 볼륨 재설계
[사진 2, 3 참조] 무삭제 방식은 삭제를 하지 않는 대신, 보철물이 얹어졌을 때의 부피감을 완벽하게 제어해야 합니다.
- 디지털 분석: 환자의 안면 구조와 스캔 데이터를 결합하여 삭제 없이도 입술 돌출감이 없는 최적의 두께를 산출합니다.
- 왁스업 결과물: 이를 실물 모형화하여 저작 시 간섭 여부와 심미적 만족도를 사전에 철저히 검증합니다.
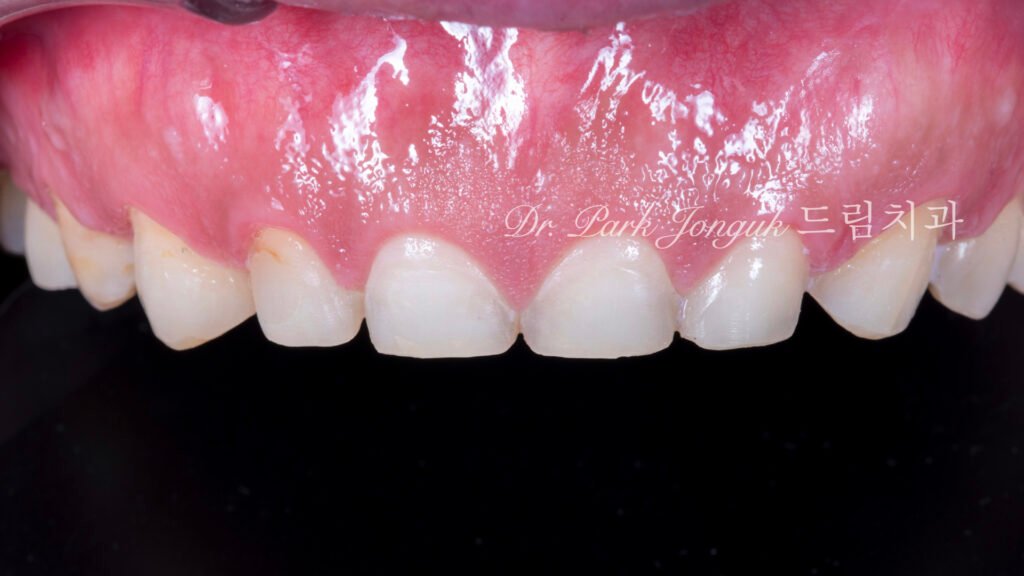
4. 연조직의 최적화: 잇몸 성형과 생물학적 회복 (사진 4, 5)


치아의 비율을 아름답게 완성하기 위해서는 연조직(Gingiva)의 조화가 필수적입니다.
4.1 잇몸 성형(Gingivectomy)의 적용
[사진 4 참조] 불규칙한 잇몸 라인을 정리하여 치아의 노출량을 이상적으로 확보했습니다.
4.2 잇몸 회복의 임상적 원리
[사진 5 참조] (잇몸 성형 1주일 후) 많은 임상 데이터가 증명하듯, 젊은 환자일수록 그리고 잇몸의 두께가 확보된 경우일수록 연조직의 회복 탄력성은 매우 뛰어납니다. 수술 후 불과 일주일 만에 잇몸은 본래의 건강한 위치로 돌아가 안착되었으며, 이는 최종 보철물의 적합도(Fit)를 높이는 핵심 요소가 됩니다.
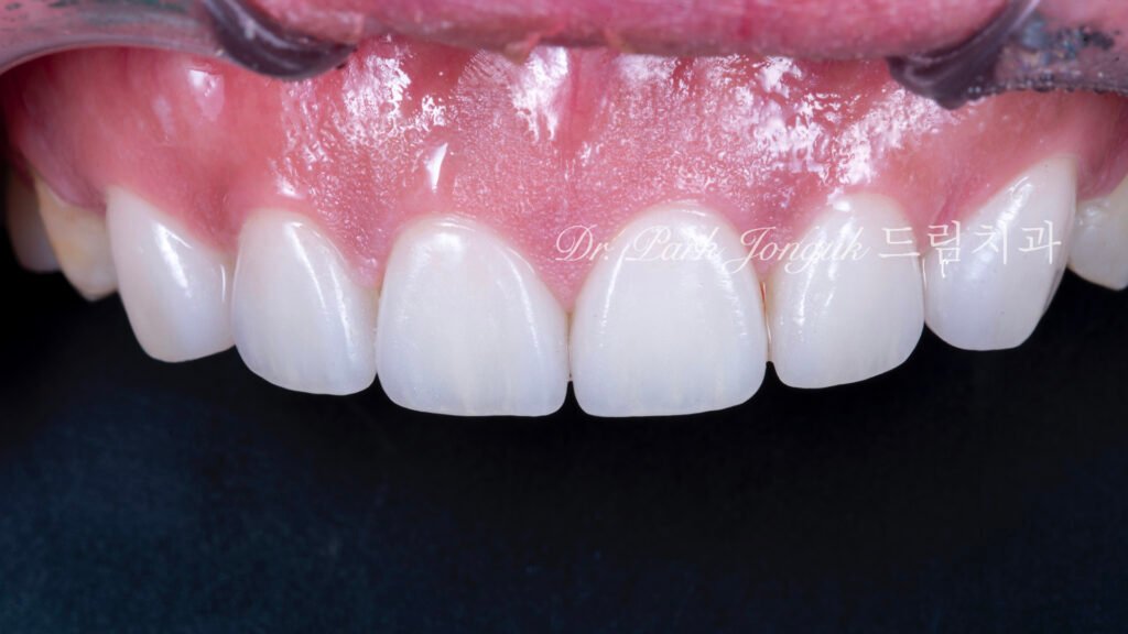
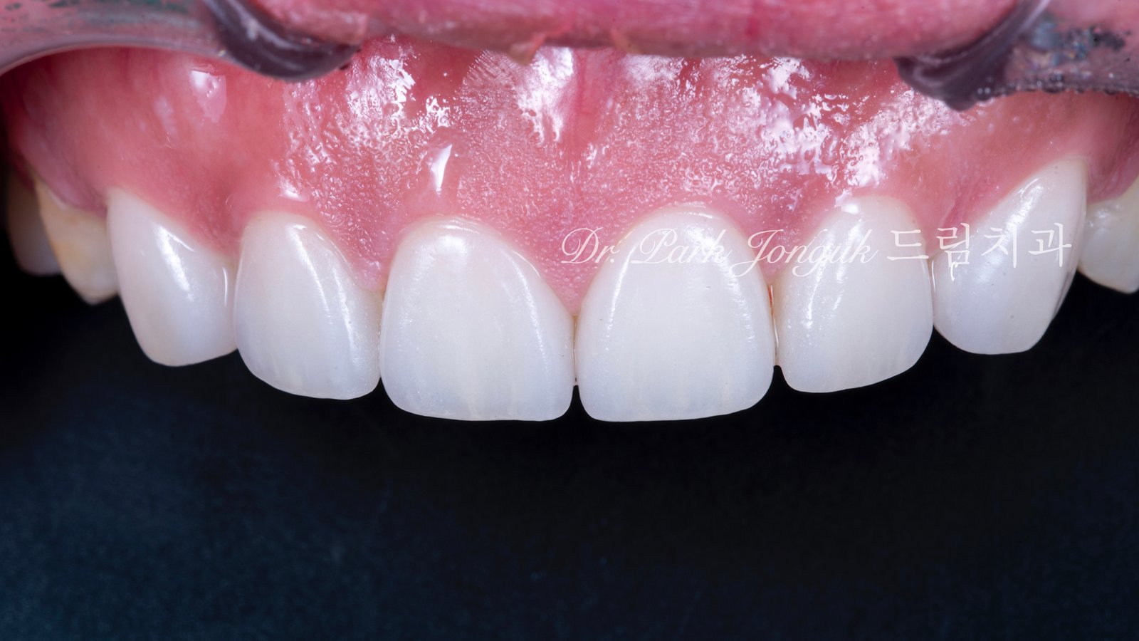
5. 최종 복원: 자연미의 극대화 (사진 6, 7, 8)



5.1 무삭제 라미네이트의 완성
[사진 6, 7, 8 참조] 0%의 삭제율로 완성된 최종 결과물입니다.
- 기능적 보호: 위산에 의해 약해진 치아 표면을 강도 높은 세라믹이 보호막처럼 감싸주어 추가적인 부식을 차단합니다.
- 광학적 재현: 기계로 깎아낸 Monolithic 방식이 아닌, 숙련된 기공사의 **핸드메이드 빌드업(Build-up)**을 통해 자연치 특유의 투명도와 질감을 재현했습니다.
- 심미적 조화: 교정으로 바르게 정렬된 치열 위에 정밀 설계된 라미네이트가 더해져, 부자연스러운 돌출감 없이 조화로운 미소를 완성했습니다.
6. 결론: 삭제 없는 치아 재건의 가치
치아 부식은 단순히 외형의 문제가 아니라 치아 건강의 적신호입니다. 이를 해결하기 위해 다시 치아를 깎아내는 악순환을 끊어야 합니다.
28년 임상 노하우와 라미네이트 교과서 저자로서의 전문성이 결합된 드림치과의 무삭제 시스템은, 환자의 평생 구강 건강을 지키면서도 최상의 미학적 결과를 약속합니다.
💡 전문가 FAQ (Academic Q&A)
Q1. 역류성 식도염 환자에게 무삭제 방식이 특히 유리한 이유는? A. 침식된 치아는 이미 법랑질이 얇아져 있습니다. 여기서 추가 삭제를 하면 상아질이 과도하게 노출되어 접착력이 떨어지고 시린 증상이 극대화됩니다. 무삭제 방식은 법랑질 접착(Enamel Bonding)을 극대화할 수 있는 유일한 대안입니다.
Q2. 잇몸 성형 후 다시 살이 자라나서 모양이 변하지는 않나요? A. 생물학적 폭경(Biological Width)을 고려한 정밀한 시술이 이루어진다면, 젊은 층에서는 사진에서 보듯 안정적으로 자리를 잡습니다. 다만, 전문의의 정확한 두께 측정이 선행되어야 합니다.
Q3. 무삭제 라미네이트는 두꺼워 보이지 않나요? A. 그것이 바로 **Prescription(처방)**의 차이입니다. 왁스업 단계에서부터 미세한 볼륨 조절을 거치고, 핸드메이드로 얇게 제작된 보철물은 자연치와 구별하기 힘들 정도의 슬림함을 유지합니다.