[Case Report] 앞니 2개 최소 삭제 라미네이트: 다수 치아 삭제 권유를 거부하고 본질에 집중한 심미 복원

Author: 박종욱 (D.D.S., Ph.D. / 보존과 전문의, 드림치과 대표원장) 핵심 키워드: 앞니 라미네이트, 무삭제 라미네이트, 앞니 마모 치료, 최소삭제라미네이트, 보존과전문의, 드림치과


1. 서론: 왜 앞니 1~2개 라미네이트는 기피 대상인가?

심미 치과 영역에서 앞니 단 1개나 2개만을 시술하는 것은 소위 ‘가장 까다로운 숙제’로 통합니다. 대다수의 치과에서 앞니 6개 혹은 8개 이상의 패키지 시술을 권유하는 이유는 단순히 경제적 논리 때문만은 아닙니다.

주변 자연치가 가진 고유의 색상(Chroma), 명도(Value), 그리고 미세한 투명도와 질감을 단 두 개의 보철물로 완벽히 재현(Color Matching)하는 것이 임상적으로 매우 어렵기 때문입니다. 하지만 환자의 자연 치아를 소중히 여기는 보존과 전문의라면, 술자의 편의를 위해 멀쩡한 주변 치아를 삭제하는 행위를 경계해야 합니다.


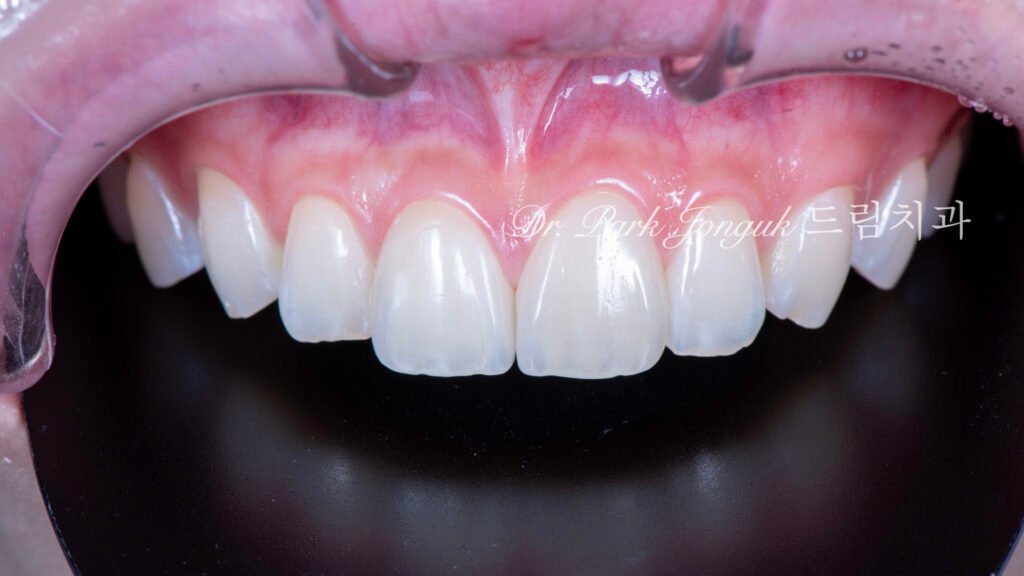
2. 임상 케이스 분석: 앞니 마모와 환자의 니즈 (사진 1)

앞니라미네이트, 무삭제라미네이트, 앞니마모치료, 최소삭제라미네이트, 앞니심미보철, 압구정드림치과, 박종욱원장, 보존과전문의, 라미네이트잘하는곳, 치아정밀진단, 핸드메이드보철, 앞니심미재건

2.1 초진 상태 및 주소 (Chief Complaint)

[사진 1 참조] 환자분은 상악 중절치 2개의 절단연(Incisal Edge)이 심하게 마모되어 내원하셨습니다. 마모로 인해 치아 끝부분이 수평적으로 갈리면서 인상이 다소 경직되어 보였고, 환자분은 이를 개선하기 위해 ‘최소한의 삭제’만을 원하셨습니다.

2.2 교정적 대안과 환자의 선택

본 케이스는 역학적으로 교정 치료를 선행하여 치아의 수직적 위치를 조절하는 것이 이상적이었으나, 환자분은 장기적인 교정 기간에 대한 거부감이 크셨습니다. 이에 저는 환자의 의사를 존중하여, 주변 치아는 건드리지 않고 오직 문제가 되는 중절치 2개만을 타겟으로 하는 치료 계획을 수립했습니다.


3. 정밀 진단 단계: 삭제량을 결정하는 0.1mm의 설계 (사진 2~5)

단 2개의 라미네이트로 전체적인 조화를 이루려면 철저한 사전 계획이 필수입니다.

3.1 Diagnostic Wax-up: 보존적 치료의 핵심

[사진 2, 3, 4, 5 참조] 왁스업 과정은 최종 보철물의 형태를 미리 시뮬레이션하여 필요한 최소한의 삭제 공간을 산출하는 과정입니다.

  • Prescription(정밀 처방): 주변 치아가 가진 고유의 텍스처와 절단연의 투명도 데이터를 기공 팀에 전달합니다.
  • 삭제 가이드 수립: 왁스업 결과를 바탕으로, 치아의 법랑질을 훼손하지 않으면서도 보철물이 안착될 수 있는 최적의 가이드라인을 설정합니다.

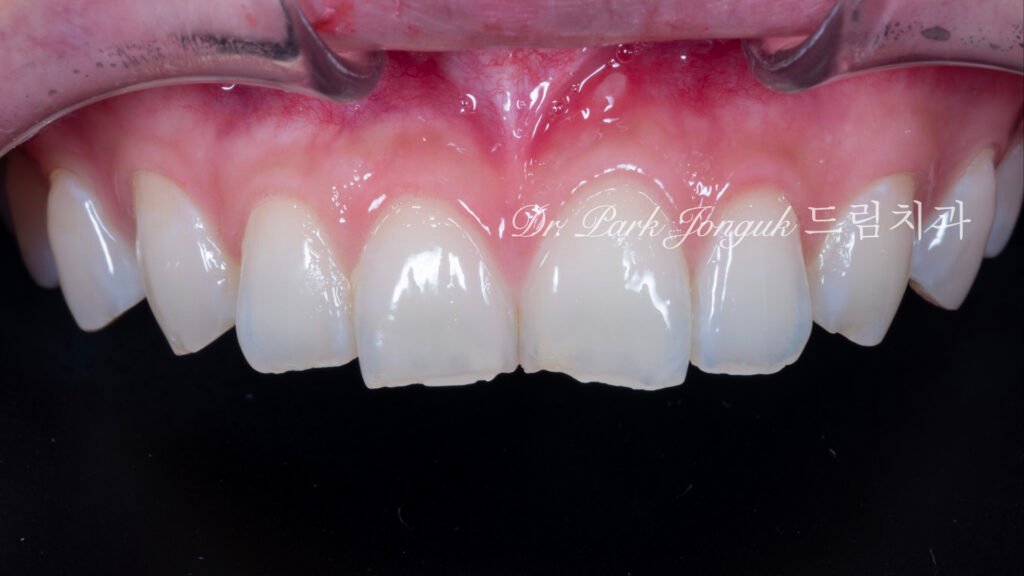
4. 최소 삭제의 실제: 치료 전후와 구분이 안 되는 정교함 (사진 6)

4.1 법랑질 보존의 미학

앞니라미네이트, 무삭제라미네이트, 앞니마모치료, 최소삭제라미네이트, 앞니심미보철, 압구정드림치과, 박종욱원장, 보존과전문의, 라미네이트잘하는곳, 치아정밀진단, 핸드메이드보철, 앞니심미재건

[사진 6 참조] 치아를 다듬은 직후의 모습입니다. 이 사진을 처음 본 사람들은 시술 전 사진이라고 착각할 정도로 치아의 본래 형체가 온전히 유지되고 있습니다. 보존과 전문의가 집도하는 **최소 삭제(Minimal Prep)**는 치아의 강도를 유지하는 법랑질 층을 거의 건드리지 않습니다. 이는 접착 강도를 극대화할 뿐만 아니라, 시술 후 환자가 겪을 수 있는 시린 증상을 원천적으로 차단합니다.


5. 제작 및 완성: 핸드메이드가 빚어낸 광학적 조화 (사진 7~9)

5.1 얇지만 강한, 장인의 보철물

앞니라미네이트, 무삭제라미네이트, 앞니마모치료, 최소삭제라미네이트, 앞니심미보철, 압구정드림치과, 박종욱원장, 보존과전문의, 라미네이트잘하는곳, 치아정밀진단, 핸드메이드보철, 앞니심미재건
앞니라미네이트, 무삭제라미네이트, 앞니마모치료, 최소삭제라미네이트, 앞니심미보철, 압구정드림치과, 박종욱원장, 보존과전문의, 라미네이트잘하는곳, 치아정밀진단, 핸드메이드보철, 앞니심미재건

[사진 7, 8 참조] 제작된 라미네이트 보철물은 매우 얇은 두께임에도 불구하고 내부에는 수많은 레이어링이 들어가 있습니다. 기계로 깎아내는 Monolithic 방식은 주변 자연치와 이질감이 생기기 쉽지만, 숙련된 기공사의 **핸드메이드 빌드업(Build-up)**은 빛의 산란까지 계산하여 주변 치아와 완벽한 일체감을 이룹니다.

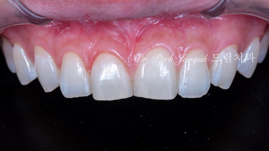
5.2 최종 결과: 인위적이지 않은 아름다움

앞니라미네이트, 무삭제라미네이트, 앞니마모치료, 최소삭제라미네이트, 앞니심미보철, 압구정드림치과, 박종욱원장, 보존과전문의, 라미네이트잘하는곳, 치아정밀진단, 핸드메이드보철, 앞니심미재건

[사진 9 참조] 최종 세팅 후의 모습입니다. 어느 것이 보철물인지 구분하기 힘들 정도로 색상과 형태가 조화롭습니다.

  • 자연스러운 텍스처: 자연치가 가진 고유의 미세한 굴곡을 그대로 재현했습니다.
  • 잇몸과의 조화: 정밀한 마감 처리를 통해 잇몸 염증 가능성을 배제하고 건강한 미소 라인을 완성했습니다.

6. 결론: “진정한 명품은 필요한 곳에만 집중합니다”

6개 이상의 라미네이트를 권유받으셨나요? 술자의 편의를 위해 건강한 치아까지 삭제하는 것은 결코 정답이 될 수 없습니다.

단 1개, 2개의 라미네이트만으로도 주변 치아와 완벽하게 어우러지는 결과를 낼 수 있는 것, 그것이 바로 28년 임상 경력과 박종욱 원장의 고집이 만들어낸 드림치과만의 클래스입니다.


💡 전문가 FAQ (Academic Perspective)

Q1. 앞니 2개만 하면 나중에 색이 달라지지 않나요? A. 고품질 세라믹 재질은 변색이 거의 없습니다. 다만 세월이 흘러 자연치가 노화되면서 아주 미세한 톤 차이가 발생할 수 있으나, 정기적인 스케일링과 관리로 충분히 그 간극을 최소화하며 조화롭게 유지할 수 있습니다.

Q2. 최소 삭제 라미네이트의 강도는 어느 정도인가요? A. 법랑질에 완벽하게 접착된 얇은 세라믹은 자연치아의 법랑질과 화학적으로 일체화됩니다. 적절한 교합 관계가 형성된다면 저작 시 파절될 위험은 매우 낮으며 자연치와 유사한 강도를 가집니다.

Q3. 왜 다른 곳에서는 무삭제가 불가능하다고 하나요? A. 무삭제 혹은 최소 삭제는 보철물의 두께가 매우 얇아야 하며, 이를 제작할 수 있는 하이엔드 기공 기술과 의사의 정밀한 설계(Prescription) 능력이 뒷받침되어야 합니다. 시스템이 갖춰지지 않은 곳에서는 안전하게 삭제형 크라운을 권할 수밖에 없습니다.

압구정 드림치과는 라미네이트 치료를 위해서 모든 정성을 다 하고 있습니다.