드림치과의원
2026년 03월 05일
2026년 03월 04일
라미네이트 재시술, 급하게 하면 안 되는 이유 – 임시치아의 역할과 처음 진단의 중요성
라미네이트 잘하는 곳 고르는 법(How to Choose the Right Laminate Veneer Clinic): 20년 임상에서 도출한 5가지 핵심 기준
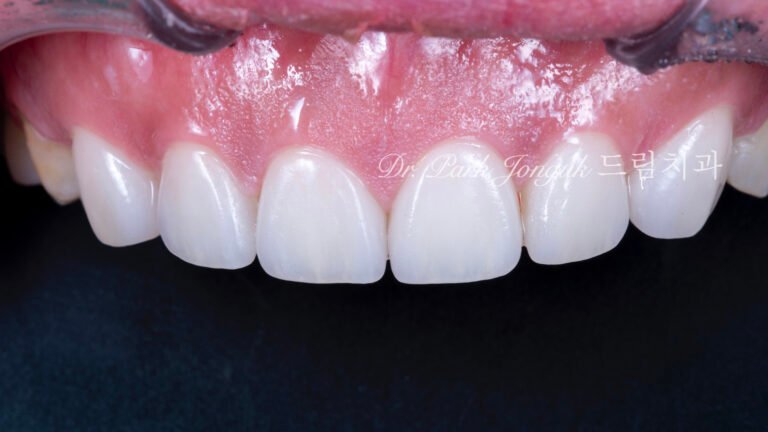
라미네이트 적용 단위의 결정(Determining the Number of Veneers): 임상 진단 기준에 따른 2·4·6·8 유닛 설계
라미네이트 셰이드 매칭(Laminate Shade Matching): 자연스러움을 결정하는 네 가지 광학적 요소
라미네이트 시술 후 환자가 가장 후회하는 다섯 가지(Common Patient Regrets after Porcelain Laminate Veneer): 임상 관찰과 예방 방안
라미네이트 임시 보철물(Provisional Restoration in PLV): 기능·미학·진단을 통합하는 임상 단계
라미네이트 부작용(Adverse Effects of Porcelain Laminate Veneers): 5가지 임상 양상과 단일 병인에 대한 고찰
라미네이트 수명, 10년 가는 사람과 5년 만에 다시 하는 사람의 차이
웨딩 라미네이트 타이밍 가이드 | 결혼 6개월 전부터 2주 전까지, 20년 임상 원장이 정리한 월별 체크리스트
교정 vs 라미네이트(Orthodontics vs Porcelain Laminate Veneer): 앞니 뻐드렁니·덧니 치료 선택을 위한 의사결정 프레임워크