서론: 변색과 치은 착색의 복합 문제
올세라믹 크라운(All-ceramic crown)의 재시술(Revision)에서 가장 까다로운 경우는 **근관 치료 후 치아 변색(Post-endodontic tooth discoloration)**과 **치은 착색(Gingival discoloration)**이 동반된 케이스입니다. **실활치(Non-vital tooth)**의 심각한 변색은 새로운 크라운을 통해 비쳐 나와(Show-through) 심미성을 저해하며, 치은 착색은 비가역적(Irreversible) 특성으로 인해 완전한 회복이 불가능합니다.
본 케이스는 2개의 올세라믹 크라운(우측 중절치, 좌측 측절치)이 자연치아와 색상 부조화를 보이고 치은이 어둡게 착색된 상태로 내원한 환자를 **실활치 내부 미백(Internal bleaching of non-vital tooth)**과 지르코니아 기반 크라운(Zirconia-based crown) 재제작을 통해 치료하여, 최대한의 심미적 개선을 달성한 사례입니다.
환자 배경: 색상 부조화와 치은 착색
기존 보철물 상태
환자분은 2개의 올세라믹 크라운을 장착한 상태였습니다:
- 우측 중절치(#11): 올세라믹 크라운
- 좌측 측절치(#22): 올세라믹 크라운
심미적 문제
색상 부조화(Color disharmony): 크라운의 색이 다른 자연치아들과 안 맞습니다. 크라운이 자연치아보다 어둡고 탁하여 전체적 조화가 결여되었습니다.
치은 착색(Gingival discoloration): 잇몸 색이 어두워졌습니다. 크라운 주변 치은이 정상적인 분홍색(Pink)이 아닌 어두운 회색조(Gray)로 변색되었습니다.
재시술 동기
환자분께서는 이러한 심미적 문제로 인해 **앞니 재시술(Anterior revision)**을 요청하셨습니다.
초진 평가: 색상 및 치은 문제 확인

사진 1은 초진 시 구강 내 상태입니다.
우측 중절치와 좌측 측절치의 크라운이 다른 자연치아와 잘 맞지 않습니다.
색상 불일치(Color mismatch): 크라운의 색조가 탁하고 어두우며, 자연치아의 밝고 투명한(Bright and translucent) 특성과 대조됩니다. 크라운은 불투명하고 무거운(Opaque and heavy) 인상을 줍니다.
치은 착색: 크라운 주변 치은이 정상적이지 않은 어두운 색을 보입니다.
전체적 부조화: 전반적으로 어색하고 부자연스러운 외관입니다.
재시술을 위해서 내원하셨습니다.
크라운 제거: 심각한 변색의 발견

사진 2는 크라운 제거 후 지대치(Abutment tooth) 상태입니다. 충격적인 발견이 있었습니다.
심각한 치아 변색
재시술을 위해서 크라운 두 개를 제거했는데, 우측 중절치(#11)의 경우 치아의 색이 거의 검은색입니다.
극도의 변색(Extreme discoloration): 우측 중절치가 거의 흑색(Black)에 가까운 심각한 변색을 보입니다.
상대적 양호: 좌측 측절치는 상대적으로 변색이 덜 심각합니다.
변색의 원인
근관 치료 후유증(Post-endodontic sequela): 신경 치료(근관 치료)를 받은 치아는 혈액 공급(Blood supply) 중단으로 인해 시간 경과에 따라 변색됩니다.
괴사 조직 침투(Necrotic tissue penetration): 치수 괴사 산물, 혈액 분해 산물, 근관 충전재의 색소가 상아세관(Dentinal tubule)에 침투하여 치아를 어둡게 만듭니다.
심각한 정도: 본 케이스는 특히 심하게 변색된 경우입니다.
치은 착색의 연관성
치은 착색의 원인: 치아 내부의 심각한 변색이 얇은 치은 조직을 통해 비쳐 나와(Show-through) 치은을 어둡게 보이게 만듭니다.
비가역성의 인정: “치아의 신경 치료로 인해서 잇몸 색이 변색되면 그것은 완벽하게 되돌리는 건 불가능합니다(If gingival color is discolored due to endodontic treatment, complete reversal is impossible).”
이는 솔직하고 현실적인 예후 고지입니다.
최선의 노력: 그러나 “최선을 다해서 개선하기로 했습니다(We decided to improve it to the best of our ability).”
실활치 내부 미백: 변색 개선의 핵심
미백의 필요성
어두운 치아 그대로 새로운 크라운을 제작하면 변색이 크라운을 통해 비쳐 나와 문제가 반복됩니다. **실활치 미백(Internal bleaching of non-vital tooth)**이 필수적입니다.
실활치 내부 미백의 원리
내부 접근(Internal approach): 신경 치료한 실활치의 치수강(Pulp chamber) 내부에 미백제를 적용하여 안쪽부터 밝게 만드는 특별한 미백 방법입니다.
워킹 미백(Walking bleach technique): 30-35% 과산화수소(Hydrogen peroxide)와 과붕산나트륨(Sodium perborate) 혼합물을 치수강에 봉입하고 수일간 작용시킵니다. 필요시 여러 차례 반복합니다.
일반 미백과의 차이: 외부 미백(External bleaching)은 법랑질 표면에만 작용하나, 내부 미백은 상아질 깊숙이 침투한 변색 물질을 산화 분해합니다.
미백 결과

사진 3은 실활치 미백 후 상태입니다. 극적인 개선이 달성되었습니다.
“치아 색이 완전히 좋아졌습니다(Tooth color has completely improved).”
거의 흑색이던 치아가 밝은 색으로 변했습니다. 완벽하게 원래 색상은 아니지만, **엄청난 개선(Tremendous improvement)**입니다.
크라운 제작 준비: 이 정도면 크라운 제작 시 자연스럽게 만들 수 있는 충분한 밝기입니다.
실활치 미백의 한계와 가능성
완전 회복의 한계(Limitation of complete recovery): 완벽하게 자연치아처럼 밝아지지는 않습니다.
최선의 개선(Best possible improvement): 그러나 이 과정이 없었다면 어두운 색이 계속 비쳐 나와 심미적 실패가 반복되었을 것입니다.
재시술 성공률 증대: 실활치 미백으로 재시술의 성공 가능성이 극적으로 증가했습니다.
지르코니아 크라운 제작: 차폐와 심미의 조화
지르코니아 선택의 근거
새로운 크라운은 **지르코니아 올세라믹 크라운(Zirconia-based all-ceramic crown)**으로 제작했습니다.
높은 불투명도(High opacity): 지르코니아는 불투명도가 높아 하부 치아의 잔존 변색을 효과적으로 차단(Masking)합니다.
심미 도재 적층(Esthetic porcelain layering): 지르코니아 코어 위에 심미적 펠드스파 도재를 적층하여 자연스러운 색상과 투명감을 구현합니다.
우수한 강도(Excellent strength): 지르코니아의 높은 굴곡 강도(Flexural strength, ~1000 MPa)는 전치부에서도 충분한 내구성을 제공합니다.
정밀한 색상 매칭
색상 분석(Color analysis): 주변 자연치아의 색을 정밀하게 분석했습니다.
광학적 특성 고려(Optical properties consideration): 투명감(Translucency), 색조(Hue), 명도(Value), 채도(Chroma)를 모두 고려했습니다.
다층 빌드업(Multi-layered build-up): 수작업 빌드업으로 자연치아의 복잡한 색상 그라디언트를 재현했습니다.
다중 조명 평가(Multiple lighting evaluation): 여러 조명 조건 하에서 색상을 평가하여 일관된 매칭을 확보했습니다.
최종 결과: 자연치아와의 완벽한 조화




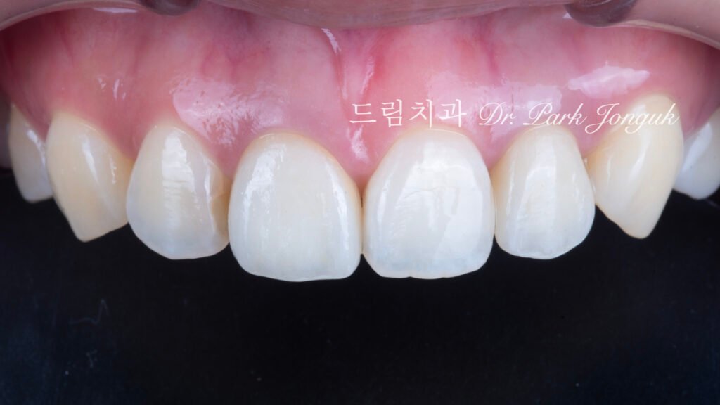
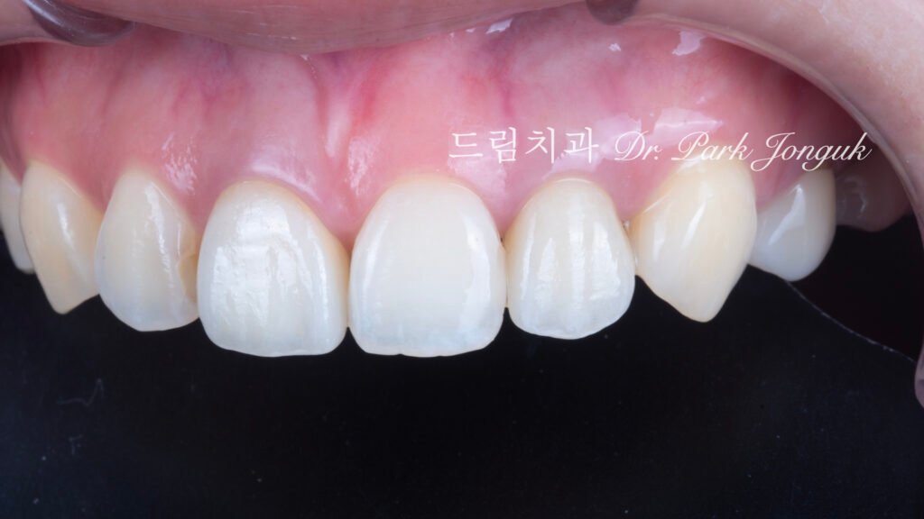
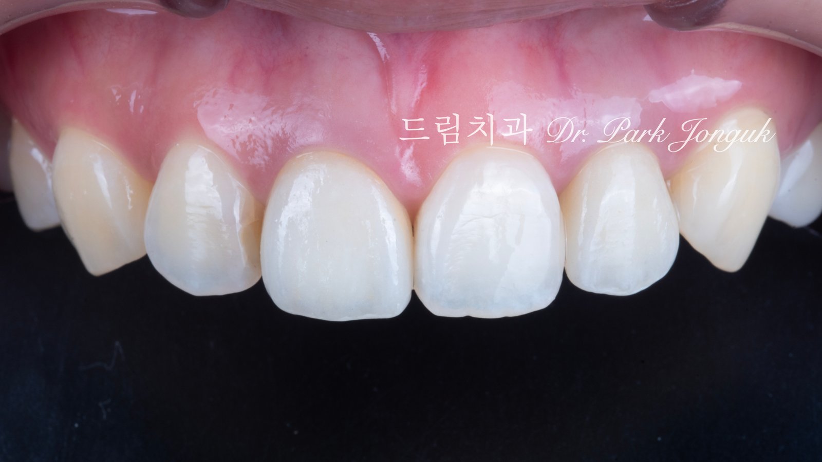
사진 4, 5, 6, 7은 치료 후 상태입니다. 놀라운 결과가 달성되었습니다.
구분 불가능한 통합
“자연치아들과 거의 구분이 안 되게끔 지르코니아 올세라믹 크라운을 했습니다(Zirconia all-ceramic crowns were made almost indistinguishable from natural teeth).”
어느 것이 크라운인지 전혀 식별할 수 없습니다. 색상, 투명감, 형태 모두 완벽하게 매칭되었습니다.
완벽한 색상 조화
밝기 회복(Brightness restoration): 탁하고 어두웠던 크라운이 밝고 생동감 있는 색으로 변했습니다.
완벽한 매칭(Perfect matching): 주변 자연치아와 완벽하게 조화를 이룹니다.
투명감 재현(Translucency reproduction): 투명감도 자연치아와 동일하게 재현되었습니다.
치은 착색의 개선
완전 회복 불가능성 인정: 완벽하게 원래대로 되돌릴 수는 없었습니다.
최대한의 개선(Maximum possible improvement): 그러나 실활치 미백으로 치아가 밝아지니 치은을 통해 비치는 색도 개선되었습니다.
적절한 변연 처리(Proper marginal design): 새로운 크라운의 변연 처리도 치은 건강에 유리하게 설계되었습니다.
자연스러운 형태
섬세한 특성화(Delicate characterization): 크라운의 형태가 자연치아처럼 섬세합니다. 발육엽(Developmental lobe), 표면 굴곡(Surface contour)이 재현되었습니다.
입체감(Three-dimensionality): 획일적이지 않고 입체적이며 역동적입니다.
재시술의 성공 요건
실활치 미백의 우선 시행
신경 치료한 치아가 변색되었다면 실활치 내부 미백을 먼저 시행해야 합니다. 어두운 치아 그대로 크라운을 제작하면 색이 비쳐 나옵니다.
지르코니아 베이스 활용
변색 치아에는 지르코니아 베이스가 효과적입니다. 높은 불투명도로 변색을 차단하고, 그 위에 심미 도재를 적층하여 자연스러운 색상을 구현합니다.
정밀한 색상 분석
주변 자연치아와 완벽하게 매칭하려면 정밀한 색상 분석이 필수입니다. 투명감, 색조, 명도, 채도를 모두 고려하고, 여러 조명 하에서 평가해야 합니다.
수작업 다층 빌드업
단일 블록 방식으로는 자연스러운 색상 매칭이 불가능합니다. 수작업 다층 빌드업으로 여러 겹의 도재를 적층하여 자연치아의 복잡한 광학 구조를 재현해야 합니다.
풍부한 임상 경험
앞니 재시술은 초기 치료보다 훨씬 복잡합니다. 변색된 치아, 근관 치료된 치아, 치은 착색 등 복합적 문제를 해결해야 하므로, 20년 이상의 풍부한 임상 경험이 필수적입니다.
치은 착색 관리의 현실
비가역성의 솔직한 고지
“치아의 신경 치료로 인한 잇몸 변색은 완벽하게 되돌릴 수 없습니다.” 이는 환자에게 솔직하게 고지해야 하는 중요한 사항입니다.
최선의 개선 가능성
그러나 “최선을 다해서 개선할 수 있습니다.”
실활치 미백: 치아를 최대한 밝게 만듭니다.
지르코니아 크라운: 잔존 변색을 효과적으로 차단합니다.
적절한 변연 처리: 치은 건강을 증진시키는 변연 설계를 적용합니다.
종합적 노력: 이러한 노력으로 최대한 자연스러운 결과를 달성할 수 있습니다.
결론: 한계 인정과 최선의 추구
올세라믹 크라운 재시술에서 근관 치료 후 심각한 변색과 치은 착색은 가장 까다로운 도전입니다. 실활치 내부 미백을 통한 변색 개선, 지르코니아 기반 크라운을 통한 효과적 차폐, 그리고 정밀한 색상 매칭의 조합으로 자연치아와 구분할 수 없는 심미적 결과를 달성할 수 있습니다. 치은 착색의 완전 회복은 불가능하나, 최선의 노력으로 최대한의 개선이 가능하며, 솔직한 예후 고지와 현실적 기대치 설정이 환자 만족도의 핵심입니다.
자주 묻는 질문 (Frequently Asked Questions)
Q1. 실활치 내부 미백은 얼마나 효과적인가요?
치아 변색 정도에 따라 다르지만, 본 케이스처럼 거의 흑색이던 치아도 상당히 밝게 만들 수 있습니다. 완벽하게 자연치아 색상으로 회복되지는 않지만, 크라운을 자연스럽게 제작하기에 충분한 개선이 가능합니다. 일반적으로 2-4회의 미백 적용으로 명도가 3-5 단계 향상됩니다. 압구정 드림치과 박종욱 원장은 재시술 전 실활치 미백을 표준 프로토콜로 시행하여 장기 심미 성공률을 극대화합니다.
Q2. 신경 치료로 인한 잇몸 변색은 정말 되돌릴 수 없나요?
치아 내부 변색이 얇은 치은 조직을 통해 비쳐 나오는 것이 주 원인이므로, 완벽하게 원래의 분홍색으로 되돌리기는 어렵습니다. 그러나 실활치 미백으로 치아를 밝게 만들고, 지르코니아 크라운으로 잔존 변색을 차단하며, 적절한 변연 설계로 치은 건강을 증진시키면 최대한 개선할 수 있습니다. 완벽하지는 않아도 심미적으로 훨씬 만족스러운 결과를 얻을 수 있습니다.
Q3. 올세라믹 크라운 재시술 후 또 실패할 가능성은 없나요?
실활치 미백, 지르코니아 베이스를 통한 효과적 차폐, 정밀한 색상 매칭, 수작업 다층 빌드업이 체계적으로 이루어지면 10년 이상 안정적으로 사용 가능합니다. 오히려 제대로 된 재시술은 초기 치료보다 장기 성공률이 높습니다. 실패 원인(이 경우 치아 변색)을 정확히 진단하고 적절히 해결(실활치 미백)한 후 재시술하기 때문입니다. 정기 검진과 적절한 구강 관리가 장기 성공의 핵심입니다.
본 콘텐츠는 압구정 드림치과 박종욱 원장의 20년간 심미 보철 치료 경험을 기반으로 작성되었습니다. 라미스타 아카데미에서 매월 치과의사 대상 재시술 프로토콜을 교육하고 있으며, 국내 최초 라미네이트 교과서의 저자입니다.