올세라믹 크라운 재시술(All-Ceramic Crown Revision): 실활치 미백과 치은 변색 개선

2026년 03월 03일

올세라믹 크라운 재시술, All-Ceramic Crown Revision, 라미네이트 재시술, Laminate Revision, 앞니 재치료, Anterior Revision, 실활치 미백, Internal Bleaching, 치은 착색, Gingival Discoloration, 지르코니아 크라운, Zirconia Crown
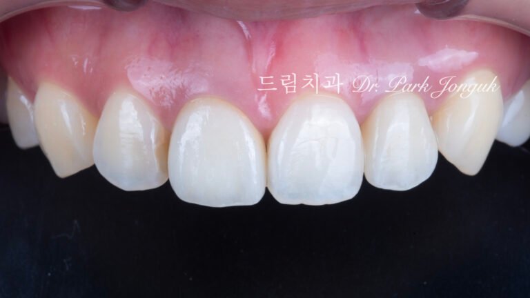
서론: 변색과 치은 착색의 복합 문제 올세라믹 크라운(All-ceramic crown)의 재시술(Revision)에서 가장 까다로운 경우는 **근관 치료 후 치아 변색(Post-endodontic tooth discoloration)**과...
Read more