서론: 파절, 그리고 더 큰 문제의 발견
올세라믹 크라운(All-ceramic crown)의 파절(Fracture)은 환자에게 즉각적인 불편을 초래하는 명백한 실패 징후입니다. 그러나 임상 현장에서는 파절 자체보다 더 근본적인 심미적 문제들이 함께 발견되는 경우가 많습니다.
본 케이스는 앞니 4개의 올세라믹 크라운 중 하나가 파절되어 내원한 환자의 사례입니다. 초진 평가 결과, 파절뿐만 아니라 색상(Color), 형태(Shape), 비율(Proportion) 등 전반적인 심미성에서 심각한 문제가 확인되었습니다. 이는 단순한 수리가 아닌 **전면적 재시술(Complete revision)**의 필요성을 명확히 보여주는 케이스입니다.
압구정에서 20년간 심미 보철 치료를 수행해온 임상 경험을 바탕으로, 올세라믹 크라운 파절의 원인, 종합적 재진단의 중요성, 그리고 수작업 빌드업을 통한 자연스러운 재시술의 과학을 설명드리겠습니다.
환자 배경: 파절이 드러낸 근본적 문제
환자분께서는 상악 전치부(Upper anterior teeth) 4개에 시술된 올세라믹 크라운 중 하나가 파절되어 내원하셨습니다. 파절은 명백한 치료 실패의 증거였지만, 임상 검사 결과 더 광범위한 문제들이 확인되었습니다.
심미적 불만족의 장기화
환자분께서는 파절 이전부터 심미적 불만족을 느끼고 계셨습니다. “색도 이상하고 모양도 어색해서 웃을 때마다 신경 쓰였다”고 고백하셨습니다. 파절은 오히려 재시술을 결심하는 계기가 되었습니다.
치료 방향 결정
파절된 하나의 크라운만 교체하는 것도 기술적으로 가능했지만, 종합적 평가 결과 4개 모두 재시술하는 것이 최선의 선택이었습니다. 색상 매칭(Color matching)의 어려움과 전체적인 심미적 조화를 고려한 결정이었습니다.
초진 평가: 다면적 실패의 확인

사진 1은 내원 당시 구강 내 상태입니다. 파절 외에도 여러 심미적 문제가 관찰됩니다.
색상의 부자연스러움
불투명도와 탁함(Opacity and dullness): 가장 명백한 문제는 색상이었습니다. 탁하고 불투명하여 자연치아의 투명감(Translucency)과 생동감이 전혀 없었습니다.
주변 치아와의 부조화: 인접한 자연치아와 색조(Hue), 명도(Value), 채도(Chroma) 모두에서 현저한 차이를 보였습니다.
색상 그라디언트 부재: 자연치아의 치경부(Cervical area)에서 절단연(Incisal edge)까지의 색상 변화가 전혀 재현되지 않았습니다.
형태적 문제
평면적 표면(Flat surface): 입체감(Three-dimensional characterization)이 완전히 결여되었습니다. 치아 표면이 평면적이고 단조로워 타일을 붙여놓은 듯한 인상을 주었습니다.
해부학적 특성 부재: 자연치아의 발육엽(Developmental lobe), 미세 굴곡, 표면 텍스처(Surface texture)가 전혀 재현되지 않았습니다.
획일적 형태: 4개의 크라운이 모두 동일한 형태를 보여 개성과 자연스러움이 없었습니다.
비율과 대칭의 문제
부적절한 크기: 각 치아의 크기가 환자의 안면 특성과 조화롭지 않았으며, 치아 간 크기 관계도 부자연스러웠습니다.
비대칭: 좌우 대칭성(Symmetry)이 결여되어 전체적인 균형이 무너졌습니다.
파절의 원인 분석
교합 과부하(Occlusal overload): 파절된 부위를 분석한 결과, 과도한 교합 접촉(Occlusal contact)이 있었을 가능성이 높았습니다.
내부 응력(Internal stress): 제작 과정에서 발생한 내부 응력이 파절의 원인이 되었을 수 있습니다.
재료 또는 제작 결함: 세라믹 재료의 문제나 소성(Firing) 과정의 결함 가능성도 배제할 수 없었습니다.
정밀 재진단: 종합적 문제 해결의 시작

사진 2는 정밀 진단 과정입니다. 올세라믹 재시술은 초기 치료보다 더욱 체계적이고 신중한 진단이 필요합니다.
안면 심미 분석(Facial esthetic analysis)
안면 비율 평가: 환자의 얼굴 형태, 안면 높이와 폭의 비율을 분석했습니다.
미소 분석(Smile analysis): 미소선(Smile line), 입술과 치아의 관계, 미소 시 치은 노출(Gingival display) 정도를 평가했습니다.
정중선 평가(Midline evaluation): 안면 정중선(Facial midline)과 치아 정중선(Dental midline)의 일치 여부를 확인했습니다.
치아 정량 분석
크기 측정: 각 치아의 폭경(Width), 길이(Length), 두께(Thickness)를 정밀 측정했습니다.
비율 분석: 중절치(Central incisors)와 측절치(Lateral incisors)의 크기 관계, 폭-길이 비율을 평가했습니다.
형태 평가: 치축(Tooth axis) 경사, 절단연 곡선(Incisal edge curve), 표면 특성을 분석했습니다.
색상 분석(Color analysis)
주변 자연치아 색상 기록: 인접한 자연치아의 색조, 명도, 채도를 정밀하게 기록했습니다.
편광 필터 촬영(Polarized photography): 표면 반사를 제거하고 치아 내부의 실제 색상을 정확하게 기록했습니다.
색상 그라디언트 계획: 치경부에서 절단연까지의 자연스러운 색상 변화를 계획했습니다.
교합 분석(Occlusal analysis)
정적 교합(Static occlusion): 최대 교두 감합위(Maximum intercuspation)에서의 접촉 관계를 평가했습니다.
동적 교합(Dynamic occlusion): 전방 유도(Anterior guidance), 측방 운동 시 접촉을 분석하여 파절 재발 방지 계획을 수립했습니다.
이러한 종합적 진단을 통해 “단순히 깨진 것만 고치는 것이 아니라, 완전히 새로운 미소를 만들어드리겠다”는 치료 목표를 설정했습니다.
왁스업 재설계: 이상적 형태의 구현

사진 3은 왁스업 정밀진단(Diagnostic wax-up) 결과입니다. 모든 문제점을 해결하는 종합적 재설계입니다.
크기 최적화
환자의 안면 특성에 어울리는 이상적인 치아 크기를 설정했습니다. 과도하지도 작지도 않은, 자연스러운 비율을 구현했습니다.
형태 재설계
해부학적 형태 구현: 각 치아에 자연스러운 발육엽, 표면 굴곡, 미세 텍스처를 설계했습니다.
의도적 불완전성(Intentional imperfection): 완벽한 대칭이나 매끄러움이 아니라, 자연치아의 미묘한 불규칙성을 의도적으로 포함시켰습니다.
개성 부여: 각 치아가 고유한 특성을 가지면서도 전체적으로 조화를 이루도록 설계했습니다.
대칭성 확립
좌우 중절치를 완벽하게 대칭적으로 설계하여 심미적 균형을 확립했습니다.
표면 특성 계획
발육엽, 미세 균열선(Craze line), 표면 불규칙성 등 자연치아의 모든 특성을 계획했습니다.
환자분께서 왁스업 모형을 보시고 “이제야 제대로 된 치료를 받는 것 같다”며 신뢰를 표현하셨습니다.
수작업 빌드업: 자연스러움의 과학
기존 크라운을 안전하게 제거하고 치아를 재형성(Re-preparation)한 후, 수작업 다층 빌드업(Multi-layered hand build-up) 방식으로 올세라믹 크라운을 제작했습니다.
다층 구조의 구현
덴틴 코어층(Dentin core layer): 불투명한 덴틴 색상 세라믹으로 내부 구조를 형성하여 기본 색조를 설정했습니다.
중간 에나멜층(Enamel layer): 반투명 에나멜 세라믹을 적층하여 색상 변화와 깊이를 만들었습니다.
외부 투명층(Translucent layer): 절단연에 고투명도 세라믹을 적용하여 자연치아의 투명감을 재현했습니다.
특성화층(Characterization layer): 표면에 미세한 색상 변화, 백색반, 표면 텍스처를 표현했습니다.
색상 그라디언트
치경부는 따뜻한 톤의 상아색, 중간 부분은 밝은 색조, 절단연은 투명한 세라믹으로 자연스러운 색상 전이(Color transition)를 구현했습니다.
광학적 특성 재현
다층 구조는 빛이 크라운을 통과하면서 각 층에서 산란과 반사가 일어나도록 하여, 자연치아와 동일한 광학적 효과(Optical properties)를 만들어냅니다.
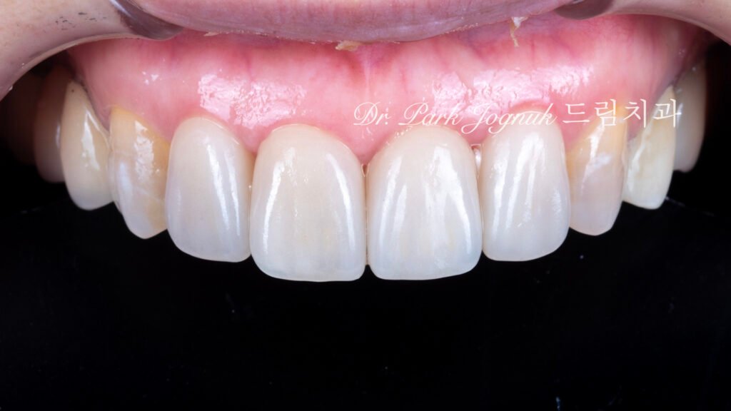
최종 결과: 완벽한 심미적 회복



사진 4, 5, 6은 치료 완료 후 최종 결과입니다. 변화가 극적입니다.
자연스러운 색감
탁하고 불투명했던 색상이 맑고 생동감 있는 색으로 변했습니다. 주변 자연치아와 완벽하게 조화를 이루며, 치경부에서 절단연까지 자연스러운 색상 변화가 구현되었습니다.
아름다운 형태
평면적이던 표면이 입체적이고 역동적으로 변했습니다. 각 치아가 자연스러운 발육엽과 표면 특성을 가지며, 좌우 대칭이 완벽합니다.
생명력 있는 투명감
절단연의 자연스러운 투명감이 재현되어 빛이 통과할 때 부드럽게 확산됩니다. 이는 수작업 빌드업으로만 구현 가능한 자연스러움입니다.
교합 안정성
정밀한 교합 조정으로 파절 위험을 최소화했습니다. 정적 및 동적 교합이 모두 이상적으로 조정되었습니다.
환자분께서 “믿을 수 없다. 이제야 자연스러운 치아를 갖게 되었다”며 감격하셨습니다.
성공적 재시술의 핵심 요소
올세라믹 재시술에서 성공적인 결과를 얻기 위한 필수 요소는 다음과 같습니다.
종합적 재진단: 파절뿐만 아니라 모든 심미적, 기능적 문제를 분석합니다.
왁스업 재설계: 이상적인 형태를 3차원으로 구현하고 환자와 합의합니다.
수작업 빌드업: 다층 세라믹 적층으로 자연스러운 광학적 특성을 구현합니다.
교합 최적화: 파절 재발을 방지하기 위한 정밀한 교합 조정이 필수입니다.
경험과 예술성: 숙련된 치과의사와 기공사의 협업이 핵심입니다.
결론: 실패에서 완성으로
올세라믹 크라운의 파절은 불행한 사건이지만, 동시에 전면적 심미 개선의 기회가 될 수 있습니다. 정밀한 진단, 수작업 빌드업, 경험 많은 치과의사의 손길이 결합되면 자연치아와 구분할 수 없는 아름다운 결과를 얻을 수 있습니다.
자주 묻는 질문 (Frequently Asked Questions)
Q1. 올세라믹 크라운이 파절되는 주요 원인은 무엇인가요?
주요 원인으로는 (1) 과도한 교합 접촉, (2) 제작 과정의 내부 응력, (3) 재료 결함, (4) 부적절한 크라운 두께 등이 있습니다. 정밀한 진단, 적절한 치아 형성, 교합 조정으로 대부분 예방 가능합니다.
Q2. 파절된 하나만 교체할 수 없나요?
기술적으로는 가능하지만, 색상 매칭이 매우 어렵습니다. 기존 크라운과 완벽하게 동일한 색상을 재현하기는 거의 불가능하며, 전체적인 심미적 조화를 위해서는 함께 재시술하는 것이 이상적입니다.
Q3. 수작업 빌드업 크라운도 파절될 수 있나요?
적절한 진단과 제작이 이루어진다면 매우 안정적입니다. 수작업 빌드업은 소성 과정이 여러 번 나누어져 내부 응력이 적고, 교합 조정도 정밀하게 이루어지므로 파절 위험이 낮습니다. 정기 검진과 적절한 관리로 10년 이상 안정적으로 사용 가능합니다.
본 콘텐츠는 압구정에서 20년간 심미 보철 치료를 해온 치과의사의 실제 임상 경험을 기반으로 작성되었습니다. 라미스타 아카데미에서 매월 치과의사 대상 교육을 진행하고 있으며, 국내 최초 라미네이트 교과서의 저자입니다.