라미네이트 재시술이 필요한 이유와 성공 조건을 서울 강남 압구정 드림치과 박종욱 원장이 실제 3가지 케이스로 설명합니다. 오래된 앞니 올세라믹 크라운, 어색한 라미네이트, 파절·변색된 라미네이트를 자연스럽게 되살린 재시술 과정을 확인해 보세요.
서론 – 라미네이트 재시술이 필요한 순간들
라미네이트(laminate veneer)나 올세라믹 크라운으로 앞니 치료를 이미 했는데도 거울을 볼 때마다 이런 생각이 드는 분들이 많습니다.
“왜 이렇게 인공적으로 보이지?”
“웃으면 딱 보이는 앞니가 너무 티 난다…”
특히 강남, 압구정처럼 미소와 이미지에 민감한 지역에서는
이미 다른 병원에서 라미네이트 치료를 받은 뒤
“이대로는 못 살겠다”며 라미네이트 재시술을 찾는 경우가 점점 늘고 있습니다.
라미네이트 재시술은
단순히 오래된 보철을 “새 걸로 교체”하는 수준이 아닙니다.
왜 어색해졌는지,
왜 색이 탁한지,
왜 형태가 인공적으로 보이는지,
그 원인을 정확히 분석해야 합니다.
드림치과(Dream Dental Clinic)는 서울 강남구 압구정에서 20년 넘게
앞니 라미네이트와 재시술 케이스를 집중적으로 다뤄 왔고,
저는 라미네이트 교과서
「최소삭제를 위한 라미네이트 임상」을 집필하면서
수많은 앞니 재시술 케이스를 직접 경험해 왔습니다.
이 글에서는
라미네이트 재시술을 고민하시는 분들이 가장 공감하실 만한
3가지 실제 케이스를 중심으로
– 오래된 앞니 올세라믹 크라운 재시술
– 어색한 앞니 라미네이트 재시술
– 파절·변색된 라미네이트 재시술
이렇게 세 가지 상황을 나누어 설명드리겠습니다.
검색 키워드는
“라미네이트 재시술”, “앞니 재시술”, “올세라믹 크라운 재시술”,
그리고 지역 기반 검색을 위한
“강남 라미네이트”, “압구정 라미네이트”를 함께 고려했습니다.
케이스 1
오래된 앞니 올세라믹 크라운 4개 재시술
첫 번째 케이스는
수년 전에 다른 치과에서 앞니 올세라믹 크라운 4개를 했던 분입니다.
문제는 시간이 지나면서
– 색감이 탁하고 불투명해 보이고
– 치아 모양이 네모지고 각져서 부드럽지 않고
– 크기도 서로 비대칭이며
– 입술선과 조화를 이루지 못한다는 점이었습니다.

사진 1 – 초진 상태
웃을 때 가장 먼저 보이는 앞니 4개가
얼굴에서 따로 떠 있는 것처럼 인공적인 인상이 강했습니다.
이 환자분의 목표는 단순했습니다.
“누가 봐도 자연스러운 앞니처럼, 티 안 나게 다시 하고 싶다.”
그래서 먼저 정밀 진단부터 다시 시작했습니다.
– 얼굴과 미소선과의 조화
– 치아 길이와 폭의 비율
– 치아의 각도와 배열
– 상·하악 교합 관계
이 네 가지를 중심으로 분석하고 나서
기존 올세라믹 크라운을 제거한 뒤
새로운 크라운으로 재시술을 진행했습니다.

사진 2– 재시술 후
색감은 한층 맑아지고,
앞니의 곡선과 길이 비율이 자연스러워졌습니다.
“예전에는 크라운이 눈에 먼저 들어왔는데
지금은 사람들 표정을 먼저 보게 된다”는 것이 환자분의 표현이었습니다.
앞니 재시술의 핵심은
“다시 붙인다”가 아니라
“얼굴과 자연스럽게 섞이게 만든다”는 관점에서 접근해야 한다는 것입니다.
케이스 2
앞니 2개 라미네이트 → 6개 라미네이트 재시술
두 번째 케이스는
초기에는 앞니 중절치 2개만 라미네이트를 한 상태로 내원하신 분입니다.
문제는
– 중절치 2개만 색이 떠 있고
– 주변 치아와 색조·투명감이 전혀 맞지 않으며
– 정면에서 볼 때 “딱 두 개만 교체한 티”가 너무 난다는 점이었습니다.

사진 1 – 초진 상태
중절치 2개만 지나치게 밝고,
모양도 주변 치아보다 인공적으로 반듯한 형태였습니다.
이 케이스에서 중요한 판단은
“정말 2개만 다시 할 것인가,
아니면 미소선과 조화를 위해 6개까지 확장할 것인가”였습니다.
정밀 진단 결과,
환자분의 미소 폭과 치아 배열을 고려할 때
앞니 6개 라미네이트 재시술이
심미적으로 훨씬 유리하다고 판단했고
충분한 설명 후 동의를 얻었습니다.
레이저를 이용해 기존 라미네이트를 최대한 안전하게 제거한 후
핸드메이드 빌드업 방식으로
6개의 라미네이트를 새로 제작했습니다.

사진 2 – 재시술 후
중절치뿐 아니라 측절치, 견치까지
색감·투명감·형태가 자연스럽게 연결되면서
미소 전체가 부드럽게 이어지게 되었습니다.
이제는 주변에서
“라미네이트 했냐”는 질문보다는
“원래 치아가 이렇게 예뻤냐”는 이야기를 더 많이 듣는다고 하셨습니다.
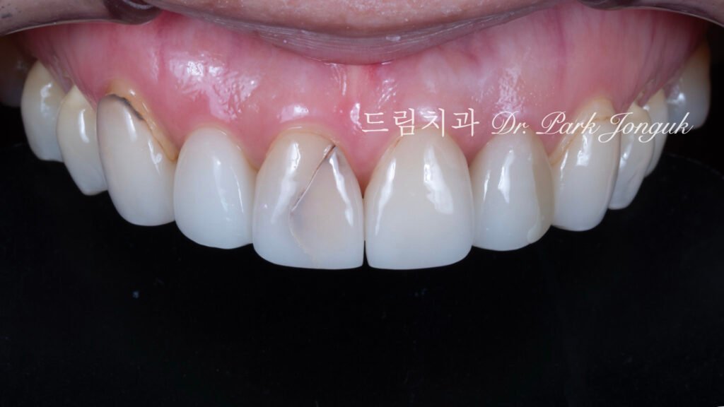
케이스 3
파절·변색된 오래된 라미네이트 재시술
세 번째 케이스는
수년 전에 한 라미네이트가
– 접착 경계부 변색
– 교합에 의한 부분 파절
– 치아 끝의 투명감 소실
등의 문제로
“티가 나기 시작한” 경우입니다.

사진 1 – 초진 상태
정면에서는 그럭저럭 괜찮아 보이지만
가까이서 보면 라미네이트 경계 부위의 변색과
부분적인 깨짐이 눈에 띄었습니다.
이 케이스에서 중요한 것은
왜 파절과 변색이 일어났는지를 먼저 분석하는 것입니다.
– 접착 과정에서의 문제였는지
– 교합 부담이 지나쳤는지
– 재료 선택과 두께 설계에 문제가 있었는지
원인을 분석한 뒤 기존 라미네이트를 제거하고
새로운 라미네이트를 제작했습니다.
이번에는 치아 끝의 투명감을 충분히 살리고,
레이어링을 통해 빛이 자연스럽게 통과할 수 있도록 설계했습니다.

사진 2– 재시술 후
치아 끝의 투명한 느낌,
표면의 자연스러운 질감,
경계부 변색 없는 깔끔한 마무리까지
전체적인 인상이 훨씬 자연스럽고 젊게 바뀌었습니다.
환자분 표현 그대로 옮기면,
“이제야 내 치아 같고, 사진 찍을 때 걱정이 사라졌다”고 하셨습니다.
결론
라미네이트 재시술, “다시 붙이기”가 아니라 “다시 설계하기”
라미네이트 재시술은
– 색이 마음에 안 들어서
– 인공적으로 보여서
– 오래되어 깨지고 변색되어서
등 여러 이유로 고민하게 되지만
해결책은 한 가지입니다.
“정확한 진단 후, 치아와 얼굴에 맞는 새로운 설계”
서울 강남 압구정 드림치과에서는
– 20년 이상 라미네이트 임상
– 한국 최초 라미네이트 교과서 집필
– 치과의사 대상 라미네이트 강의(라미스타 아카데미)
이 경험을 토대로
앞니 재시술, 라미네이트 재시술에 있어
“티가 안 나는 자연스러움”을 가장 중요한 기준으로 삼고 있습니다.
인공적인 앞니 때문에
다시 재시술을 고민하고 계시다면,
본인 치아 상태와 기존 치료를 정확히 분석하는 것부터 시작하시는 게 좋습니다.
Q&A – 라미네이트 재시술에 대한 자주 묻는 질문
Q1. 라미네이트 재시술을 하면 치아를 더 많이 깎게 되나요?
반드시 그런 것은 아닙니다.
이미 과도하게 삭제된 경우도 많기 때문에, 재시술 시에는 오히려
“더 깎지 않고 가능한 범위 안에서 설계”하는 것이 원칙입니다.
최소삭제 혹은 추가 삭제 없이 재설계가 가능한지 먼저 진단이 필요합니다.
Q2. 기존 라미네이트 제거는 치아에 위험하지 않나요?
일반적으로 레이저와 미세 팁을 이용하면
잔존 치아 손상을 최소화하면서 라미네이트를 제거할 수 있습니다.
중요한 것은 장비 자체보다 제거 과정에서
치과의사가 얼마나 치아 구조를 보존하려 노력하는가입니다.
Q3. 저는 앞니 2개만 마음에 안 드는데, 꼭 4개·6개를 같이 해야 하나요?
케이스마다 다릅니다.
입술선, 미소 폭, 주변 치아 색과 형태에 따라
2개만 해도 자연스럽게 만드는 경우가 있고,
4개 또는 6개가 필요한 경우도 있습니다.
“몇 개 할지”가 먼저가 아니라
“어디까지 해야 자연스럽게 보이는지”를 먼저 진단한 뒤 개수를 결정하는 것이 좋습니다.