서론: 재시술이 필요한 순간
라미네이트 베니어(Laminate veneer)는 현대 심미 치과의 대표적인 치료법이지만, 모든 라미네이트가 성공적인 것은 아닙니다. 부적절한 진단, 조잡한 제작, 원데이 시스템의 한계 등으로 인해 심미적 실패를 경험하는 환자들이 적지 않습니다. 이러한 경우 **라미네이트 재시술(Laminate revision)**이 필요합니다.
본 케이스는 앞니 4개의 라미네이트 치료 후 심미적 불만족으로 인해 재시술을 결심한 환자의 사례입니다. 예쁘지 않고, 어색하고, 인공적으로 보이는 라미네이트가 어떻게 자연스럽고 아름다운 결과로 변화할 수 있는지 보여드리겠습니다.
압구정에서 20년간 심미 보철 치료를 수행해온 임상 경험을 바탕으로, 실패한 라미네이트의 전형적 문제점, 정밀한 재진단의 중요성, 그리고 수작업 빌드업을 통한 자연스러움의 구현 과학을 설명드리겠습니다.
환자 배경: 원데이 라미네이트 후회
환자분께서는 다른 치과에서 앞니 4개에 라미네이트 치료를 받으신 후 내원하셨습니다. 치료 직후에는 “하얗고 괜찮다”고 생각하셨으나, 시간이 지나면서 여러 문제점들을 인식하게 되었습니다.
심미적 불만족: “예쁘지 않다”, “어색하다”, “인공적으로 보인다”는 것이 주된 불만이었습니다.
사회적 스트레스: 주변 사람들로부터 “라미네이트 한 것이 너무 티 난다”는 지적을 반복적으로 받으면서 심리적 스트레스가 가중되었습니다.
일상적 불편: 거울을 볼 때마다 스트레스를 받고, 웃을 때도 치아가 신경 쓰여 자연스러운 표정을 짓기 어려웠습니다.
결국 원데이 라미네이트 후회를 넘어 재시술을 결심하고 저희 치과를 찾아오셨습니다.
치료 전 평가: 실패한 라미네이트의 전형적 문제점

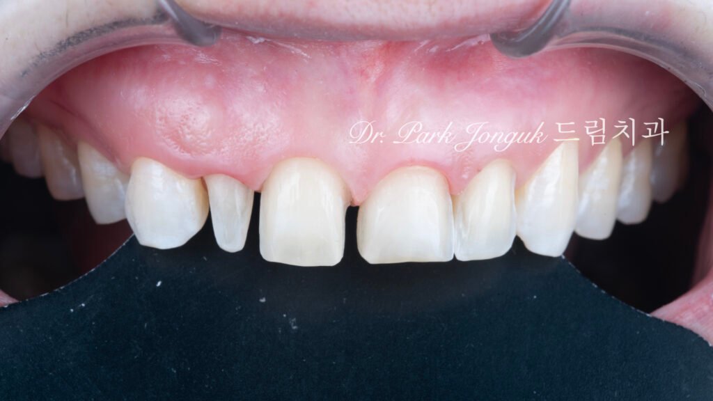
사진 1은 내원 당시 구강 내 상태입니다. 전문가가 아니어도 여러 문제점들이 관찰됩니다.
광학적 특성의 결여
불투명도(Opacity): 가장 치명적인 문제는 투명감(Translucency)이 전혀 없다는 것입니다. 자연치아는 빛이 투과하면서 부드러운 산란(Light scattering)과 반사(Reflection)를 만들어내는데, 이 라미네이트는 빛을 표면에서 차단하여 딱딱하고 생명력 없는 외관을 보입니다.
탁한 색상: 색이 탁하고 평면적입니다. 자연치아의 미묘한 색상 변화(Color gradient)와 깊이감(Depth)이 전혀 재현되지 않았습니다.
이는 라미네이트 인공적으로 보이는 주된 원인입니다.
형태적 문제
해부학적 형태의 부재: 자연치아는 발육엽(Developmental lobe), 미세 굴곡, 표면 불규칙성(Surface irregularity) 등 복잡한 표면 특성을 가집니다. 하지만 이 라미네이트는 완전히 평면적이고 단조로워 치아의 해부학적 형태가 전혀 없습니다.
획일적 형태: 4개의 치아가 모두 동일한 형태를 보입니다. 자연치아는 각각 고유한 특성을 가지지만, 이 라미네이트는 표준화된 디자인으로 개성이 없습니다.
비대칭과 비율 문제
심각한 비대칭(Severe asymmetry): 가장 눈에 띄는 문제는 좌우 비대칭입니다. 중절치(Central incisors) 두 개의 모양도 크기도 너무 다릅니다. 좌우가 전혀 맞지 않아 마치 다른 사람의 치아를 각각 붙여놓은 것 같습니다.
부적절한 비율: 측절치(Lateral incisors)는 너무 작고, 중절치는 너무 큽니다. 치아 간의 조화로운 비율이 전혀 고려되지 않았습니다.
이러한 문제들은 원데이 시스템의 구조적 한계와 정밀 진단의 부재에서 비롯됩니다.
정밀 재진단: 문제점의 체계적 분석

사진 2는 진단 과정입니다. 기존 라미네이트의 문제점을 정량적으로 분석하는 단계입니다.
비대칭 정량화
좌우 중절치의 폭경(Width), 길이(Length), 형태를 측정한 결과 심각한 차이가 확인되었습니다. 대칭성(Symmetry)은 심미 치과의 기본 원칙인데, 이것이 완전히 무시되었습니다.
비율 분석
중절치와 측절치의 크기 비율을 분석한 결과 자연스러운 조화와 거리가 멀었습니다. 측절치가 과도하게 작아 전체적인 균형이 무너졌습니다.
형태 평가
각 치아의 표면을 세밀히 관찰한 결과, 발육엽, 표면 텍스처(Surface texture), 미세 굴곡이 전혀 없었습니다. 완전히 매끄러운 평면으로, 자연치아의 복잡한 3차원 구조가 재현되지 않았습니다.
색상 및 광학 특성 평가
색상 분석: 치경부(Cervical area)에서 절단연(Incisal edge)까지 동일한 색상과 명도(Value)를 보였습니다. 자연치아의 색상 그라디언트가 전혀 없었습니다.
투명도 평가: 절단연의 투명감(Incisal translucency)이 완전히 부재했습니다. 이는 단일 세라믹 블록(Monolithic ceramic block)의 근본적 한계입니다.
이러한 종합적 진단을 통해 왜 환자분께서 원데이 라미네이트 후회하시는지 명확히 이해할 수 있었습니다.
왁스업 재설계: 모든 문제의 해결

사진 3은 왁스업 정밀진단(Diagnostic wax-up) 결과입니다. 분석된 모든 문제점을 해결하기 위한 종합적 재설계입니다.
대칭성 확립
좌우 중절치를 완벽하게 대칭적으로 설계했습니다. 크기, 형태, 윤곽이 거울상(Mirror image)처럼 일치하도록 했습니다.
비율 최적화
중절치와 측절치의 크기 관계를 자연스럽게 조정했습니다. 측절치를 적절한 크기로 증대시키고, 중절치는 환자의 안면 특성에 맞게 조절했습니다.
해부학적 형태 구현
각 치아에 자연스러운 발육엽, 표면 굴곡, 미세 불규칙성을 설계했습니다. 완벽하게 매끄러운 것이 아니라, 자연치아의 “의도적 불완전성(Intentional imperfection)”을 포함시켰습니다.
색상 및 투명도 계획
치경부에서 절단연까지의 색상 변화, 절단연의 투명감, 전체적인 광학 특성을 계획했습니다. 이는 수작업 빌드업(Hand-layered build-up)으로만 구현 가능합니다.
환자분께서 왁스업 모형을 보시고 “이제야 진짜 치아 같다”며 안도하셨습니다.
라미네이트 제거: 손상된 치아 구조의 평가

사진 4는 기존 라미네이트를 제거한 후 모습입니다. 안타깝게도 치아가 이미 많이 삭제되어 있었습니다.
과도한 치아 삭제
원데이 시스템이나 경험 부족한 술자는 정밀한 계획 없이 표준화된 삭제량을 적용하는 경향이 있습니다. 그 결과 필요 이상으로 치아 구조(Tooth structure)가 손실될 수 있습니다.
재시술의 도전
이미 삭제된 치질은 재생되지 않으므로, 남은 치아를 최대한 보존하면서 최상의 심미적 결과를 만들어야 하는 도전에 직면했습니다.
레이저(Laser)를 이용한 안전한 제거 후, 잔존 치아 상태를 정밀하게 평가하여 재치료 계획을 최적화했습니다.
최종 결과: 자연스러움의 완성




사진 5, 6, 7, 8은 치료 완료 후 최종 결과입니다. 치료 전과의 차이가 극적입니다.
자연스러운 형태
대칭성 달성: 좌우 중절치가 완벽하게 대칭을 이룹니다. 크기, 형태, 윤곽이 조화롭습니다.
조화로운 비율: 중절치와 측절치의 크기 관계가 자연스럽습니다. 전체적인 치아 배열이 아름다운 흐름을 만듭니다.
해부학적 정교함: 각 치아에 자연스러운 발육엽, 표면 굴곡, 미세 텍스처가 구현되었습니다. 평면적이지 않고 입체적이며 생동감이 있습니다.
아름다운 색감
색상 그라디언트: 치경부에서 절단연까지 자연스러운 색상 변화가 있습니다. 미묘한 색조 변화가 깊이감을 만듭니다.
맑고 생동감 있는 색: 탁하고 불투명했던 이전과 달리, 맑고 생기 있는 색상입니다.
조화로운 모양
최적화된 크기: 환자의 얼굴, 입술, 미소에 완벽하게 어울리는 크기입니다.
우아한 미소 곡선: 치아 끝의 곡선이 자연스럽고 아름답습니다. 전체적인 미소 곡선(Smile arc)이 조화롭습니다.
생명력 있는 투명감
가장 결정적인 차이는 **투명감(Translucency)**입니다. 절단연이 자연스럽게 투명하여 빛이 통과할 때 부드럽게 확산됩니다.
이 투명감은 **수작업 다층 빌드업(Multi-layered hand build-up)**으로만 구현 가능합니다.
내부 덴틴층(Dentin core layer): 불투명한 덴틴 색상 세라믹으로 기본 구조를 형성합니다.
중간 에나멜층(Enamel layer): 반투명 세라믹으로 색상 변화와 깊이를 만듭니다.
외부 투명층(Translucent layer): 절단연에 고투명도 세라믹을 적용하여 자연치아의 투명감을 재현합니다.
이러한 다층 구조는 빛이 각 층을 통과하면서 자연치아와 동일한 광학적 효과를 만들어냅니다. 단일 블록으로는 절대 불가능합니다.
환자분께서 거울을 보시며 눈물을 글썽이셨습니다. “드디어 제 얼굴을 찾았어요. 이제 자신 있게 웃을 수 있어요”라는 말씀이 재시술의 가치를 증명했습니다.
원데이 라미네이트 후회: 왜 실패하는가
원데이 라미네이트가 실패하는 근본적 이유는 다음과 같습니다.
단일 블록의 한계: 단일 세라믹 블록은 다층 구조, 색상 그라디언트, 투명도 조절이 불가능합니다.
진단의 부재: 왁스업 없이 표준화된 디자인으로 진행하여 비대칭, 비율 문제가 발생합니다.
시간 압박: 빠른 완성을 위해 세밀한 특성화(Characterization)를 생략합니다.
기공사 협업 부족: CAD/CAM 자동화로 예술적 감각이 배제됩니다.
성공적 재시술의 핵심 요소
라미네이트 재시술에서 성공적인 결과를 얻기 위한 필수 요소는 다음과 같습니다.
정밀한 재진단: 기존 라미네이트의 모든 문제점을 정량적으로 분석합니다.
왁스업 재설계: 모든 문제를 해결하는 종합적 재설계를 수행합니다.
안전한 제거: 레이저 등을 활용하여 잔존 치아를 보존합니다.
수작업 빌드업: 다층 세라믹 적층으로 자연스러운 광학적 특성을 구현합니다.
경험과 예술적 감각: 숙련된 치과의사와 기공사의 협업이 필수적입니다.
결론: 후회에서 만족으로
라미네이트 재시술은 단순히 실패한 치료를 교체하는 것이 아니라, 환자에게 자연스러운 미소와 자신감을 되찾아 드리는 과정입니다.
원데이 라미네이트 후회하시는 분들께 말씀드립니다. 너무 자책하지 마세요. 많은 분들이 겪는 문제입니다. 중요한 것은 이제라도 제대로 된 재시술을 받아 라미네이트 인공적으로 보이는 문제를 해결하는 것입니다.
정밀한 진단, 수작업 빌드업, 경험 많은 치과의사의 손길이 결합되면 자연치아와 구분할 수 없는 아름다운 결과를 얻을 수 있습니다.
자주 묻는 질문 (Frequently Asked Questions)
Q1. 라미네이트 재시술 시 기존 라미네이트 제거가 치아를 손상시키지 않나요?
레이저를 사용하면 라미네이트와 치아 사이의 접착층(Bonding layer)만 선택적으로 제거할 수 있어 치아 손상을 최소화합니다. 숙련된 치과의사가 적절한 프로토콜을 따르면 안전하게 제거 가능합니다.
Q2. 재시술 비용은 초기 치료보다 훨씬 비쌉니까?
케이스의 복잡도에 따라 다르지만, 대부분 일반적인 라미네이트 치료와 유사한 수준입니다. 기존 라미네이트 제거 과정이 추가되지만, 전체 비용은 큰 차이가 없는 경우가 많습니다.
Q3. 재시술 후 또 실패할 가능성은 없나요?
정밀한 진단, 왁스업 계획, 수작업 빌드업 제작, 적절한 구강 관리가 이루어진다면 10년 이상 문제없이 사용 가능합니다. 제대로 된 재시술은 오히려 초기 치료보다 장기 성공률이 높습니다.
본 콘텐츠는 압구정에서 20년간 심미 보철 치료를 해온 치과의사의 실제 임상 경험을 기반으로 작성되었습니다. 라미스타 아카데미에서 매월 치과의사 대상 교육을 진행하고 있으며, 국내 최초 라미네이트 교과서의 저자입니다.