라미네이트 재시술이 필요한 진짜 이유 — 원데이 라미네이트 이후 찾아오는 문제들
라미네이트 재시술을 고민하는 분들을 위한 실제 임상 사례.
원데이 라미네이트가 인공적으로 보이는 이유와
자연스러운 핸드메이드 라미네이트 재시술의 기준을 설명합니다.
서론|왜 라미네이트 재시술을 검색하게 될까?
최근 **라미네이트 재시술(laminate veneer revision)**로 내원하시는 환자분들이 빠르게 늘고 있습니다.
특히 원데이 라미네이트(one-day laminate) 치료 이후
“너무 인공적이다”, “치아가 플라스틱 같다”, “웃기가 불편하다”는 이유가 가장 많습니다.
이번 케이스 역시 원데이 방식으로 라미네이트 치료를 받은 직후
바로 재시술을 결심하고 내원하신 경우입니다.
환자분은 이렇게 말씀하셨습니다.
“비용이 다시 들어도 괜찮습니다.
이 상태로는 계속 살 수 없을 것 같아요.”
이 말 한마디가
라미네이트 재시술의 본질을 가장 잘 보여줍니다.
라미네이트 재시술이 필요한 대표적인 신호들
라미네이트가 실패했다고 느끼는 이유는 대부분 다음과 같습니다.
- 치아가 너무 하얗고 불투명함
- 앞니만 색이 떠 보임
- 치아 표면 질감이 단조롭고 평면적임
- 미소 시 “치료한 치아”가 바로 눈에 띔
기능적인 문제보다
심미적 이질감이 재시술의 가장 큰 원인입니다.
Photo 1|초진 상태 – 인공적인 원데이 라미네이트

초진 사진을 보면 문제는 명확합니다.
- 단일 색조로 덮인 치아
- 깊이감과 투명감의 부재
- 자연치아와 연결되지 않는 경계
이는 제작 과정에서
속도와 효율을 우선한 결과로 나타나는 전형적인 모습입니다.
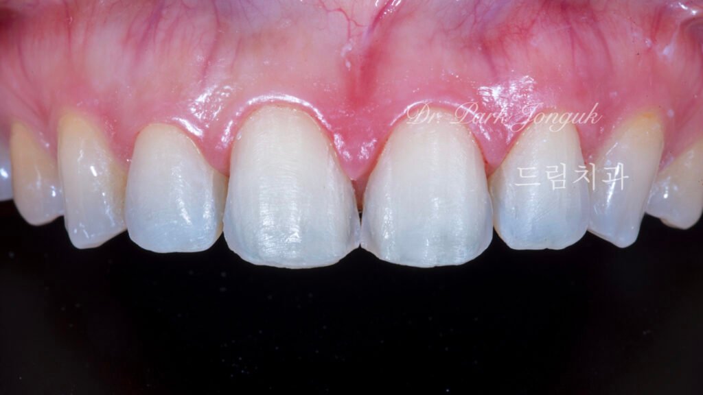
Photo 2|라미네이트 제거 후 – 원인이 보이다

기존 라미네이트를 제거해 보면
제작 방식의 차이가 분명해집니다.
- 단일 세라믹(monolithic ceramic) 사용
- 개별 치아 디자인 부재
- 색을 “덮는” 방식의 제작
원데이 라미네이트가 항상 나쁜 치료는 아닙니다.
그러나 **자연스러운 라미네이트(natural laminate veneer)**를 목표로 할 경우
물리적인 한계가 존재합니다.
라미네이트 재시술의 핵심 목표
재시술의 목표는 단순합니다.
“라미네이트처럼 보이지 않는 라미네이트”
이를 위해서는 다음 조건이 필요합니다.
- 주변 자연치아와 색이 연결될 것
- 치아 끝에 **투명감(translucency)**이 살아 있을 것
- 빛에 따라 색이 자연스럽게 변화할 것
- 미소에서 치료 흔적이 드러나지 않을 것
이 기준은
빠른 제작 방식으로는 달성하기 어렵습니다.
Photo 3–6|핸드메이드 라미네이트 재시술 결과




재시술에서는
핸드메이드 빌드업(hand-layered build-up) 방식으로
라미네이트를 새로 제작했습니다.
- 여러 종류의 세라믹을 층층이 적층
- 부위별로 다른 색·투명도 설계
- 자연치아의 빛 반사를 재현
그 결과,
- 치아 끝의 투명감이 회복되고
- 색이 단조롭지 않게 이어지며
- 인접 치아와 완전히 어우러지는 결과를 얻었습니다.
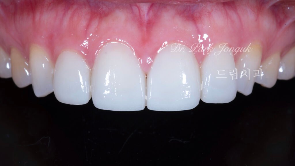
Photo 7|미소 사진 – 구분되지 않는 라미네이트

최종 미소 사진에서는
어느 치아가 라미네이트인지 쉽게 구분되지 않습니다.
이것이
성공적인 라미네이트 재시술의 기준입니다.
환자분 역시
“이제야 제 치아 같다”는 표현을 남기셨습니다.
결론|라미네이트 재시술, 더 신중해야 하는 이유
라미네이트 재시술은
단순히 “다시 붙이는 치료”가 아닙니다.
이미 한 번의 경험이 있었기 때문에
두 번째 선택에서는 더 높은 완성도가 요구됩니다.
- 빠름보다 정확함
- 가격보다 결과
- 유행보다 자연스러움
라미네이트는
붙이는 치료가 아니라
디자인하고 만들어내는 치료입니다.
자연스러운 라미네이트는
과정이 결과로 증명됩니다.
Q&A|라미네이트 재시술에 대한 자주 묻는 질문
Q1. 원데이 라미네이트 후 재시술이 흔한가요?
A. 생각보다 많습니다. 특히 색이 너무 하얗거나 인공적인 경우 재시술을 고민하게 됩니다.
Q2. 재시술 시 치아를 더 많이 깎아야 하나요?
A. 반드시 그렇지는 않습니다. 기존 라미네이트 제거 후 상태에 따라 최소한으로 진행합니다.
Q3. 자연스러운 라미네이트는 왜 차이가 나나요?
A. 제작 방식의 차이입니다. 단일 세라믹이 아닌 다층 빌드업 제작이 핵심입니다.