서론: 오도된 명칭과 과도한 삭제
라미네이트 베니어(Laminate veneer)는 **최소 침습 심미 치료(Minimally invasive esthetic treatment)**로 정의되지만, 일부 치과에서는 **크라운 수준의 과도한 삭제(Excessive tooth preparation)**를 시행하면서도 “라미네이트”라는 명칭을 사용하는 경우가 있습니다. 이는 환자에게 **오도된 정보(Misleading information)**를 제공하는 비윤리적 행위이며, 불필요한 치질 손실(Unnecessary tooth structure loss)을 초래합니다. 라미네이트 재시술을 이야기 해보겠습니다.
본 케이스는 오래전 상하악 전치부 8개(위아래 각 4개)에 “라미네이트”를 시술받았으나, 실제로는 크라운 수준의 과도한 삭제가 이루어졌고, **상악 중절치 파절(Maxillary central incisor fracture)**과 전반적인 색상 및 형태 문제로 재시술을 받은 환자의 사례입니다.
압구정 드림치과 박종욱 원장의 20년간 심미 보철 치료 경험을 바탕으로, 과도한 삭제의 진단, 안전한 제거 프로토콜, 그리고 상하악 통합 심미 재건의 과학을 설명드리겠습니다.
환자 배경: 파절을 계기로 한 전면 재시술
환자분께서는 오래전 상하악 전치부에 “라미네이트”를 시술받은 상태로 내원하셨습니다.
초기 치료 범위
상하악 전치부 총 8개: 오래전에 앞니 위아래 4개씩 라미네이트를 시술받았습니다. 상악 4개(중절치 2개 + 측절치 2개), 하악 4개(중절치 2개 + 측절치 2개)로 총 8개의 전치부가 치료되었습니다.
재시술 계기
파절 발생(Fracture occurrence): 위 앞니 하나가 깨져서 내원하셨습니다. 파절은 즉각적 재시술이 필요한 명백한 실패 징후입니다.
색상 및 형태 문제: 그러나 검진 결과 파절만이 문제가 아니었습니다. 색은 탁하고 모양도 이상했습니다.
환자 요구
환자분께서는 **”자연스럽고 밝게 하길 원했다”**고 명확히 표현하셨습니다. 단순한 고명도(High value)가 아닌, 투명감(Translucency)과 입체감(Three-dimensional depth)이 있는 자연스러운 밝기를 목표로 설정했습니다.
초진 평가: 색상과 형태의 문제
상악 평가

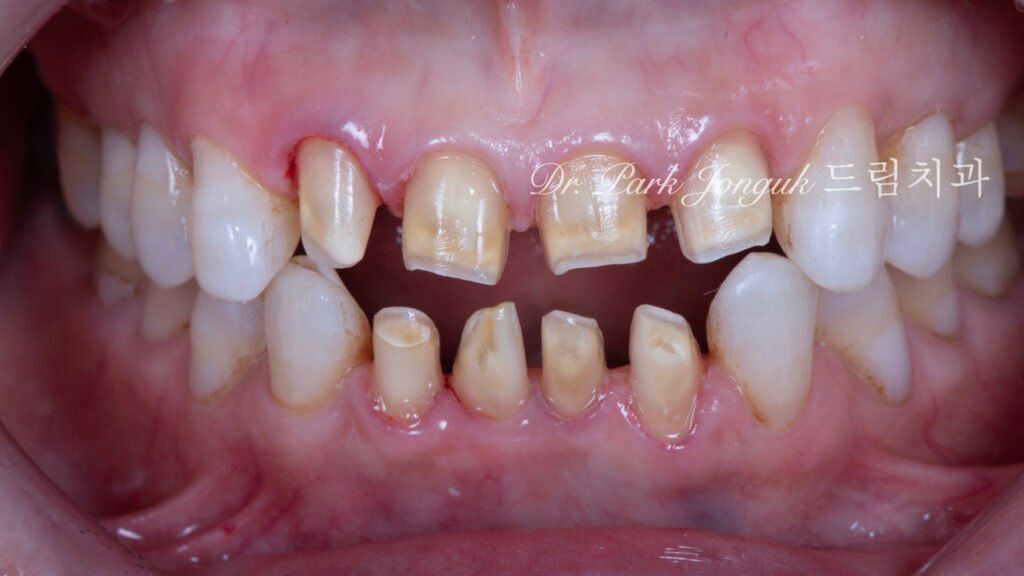
사진 1은 치료 전 상악(Maxillary arch) 상태입니다.
탁한 색상(Dull color): 불투명하고 생기 없는 색조를 보입니다.
평면적 형태(Flat morphology): 자연치아의 입체적 특성이 결여되어 있습니다.
파절 확인: 중절치에 파절이 관찰됩니다.
하악 평가

사진 2는 치료 전 하악(Mandibular arch) 상태입니다.
상악과 유사한 문제: 아래 치아도 위 치아와 마찬가지로 탁하고 어색한 색조와 형태를 보입니다.
상하악 통합 재시술 필요성: 위아래 모두 재시술이 필요한 상태로, 상하악을 통합적으로 재시술하여 조화로운 결과를 달성하기로 결정했습니다.
충격적 발견: 라미네이트가 아닌 크라운 수준의 삭제
초진 검사에서 놀라운 사실이 발견되었습니다.
과도한 삭제의 확인
검사해 보니 말이 라미네이트지 거의 크라운입니다. 촉진(Palpation), 방사선 검사(Radiographic examination), 시각적 평가를 통해 치아 삭제량이 라미네이트 기준(0.3-0.5mm)을 훨씬 초과하는 것으로 확인되었습니다.
과거의 비윤리적 관행
예전에 거의 삭제량으로 보면 올세라믹 크라운으로 하면서 라미네이트라고 하는 치과가 좀 있었거든요. 과거 일부 치과에서는 환자에게 “라미네이트”라는 이미지가 더 좋은 명칭을 사용하면서 실제로는 크라운 수준의 과도한 삭제를 시행하는 비윤리적 관행이 있었습니다.
명칭의 오도
이는 단순한 용어 혼용이 아니라 환자를 오도하는(Misleading patients) 심각한 문제입니다. 환자는 “최소 침습”을 기대하고 동의했으나, 실제로는 “광범위 삭제”가 이루어진 것입니다.
왁스업 설계: 상하악 통합 심미 계획


사진 3은 왁스업(Diagnostic wax-up) 정밀진단 결과입니다.
종합적 진단
압구정 드림치과 박종욱 원장은 다음과 같은 종합적 진단을 수행했습니다.
안면 심미 분석(Facial esthetic analysis): 환자의 얼굴 형태, 입술선(Lip line), 미소 곡선(Smile arc)을 평가했습니다.
상하악 관계(Maxillo-mandibular relationship): 상악과 하악의 조화로운 관계를 분석했습니다.
교합 평가(Occlusal evaluation): 정적 및 동적 교합(Static and dynamic occlusion)을 평가했습니다.
왁스업 재설계
치아의 크기(Size), 비율(Proportion), 형태(Morphology)를 완벽하게 설계했습니다. 자연스러운 형태, 밝은 색상, 투명감을 모두 계획에 반영했습니다.
환자분께서 왁스업 모형을 보시고 “이제야 자연스러운 치아를 가질 수 있겠다”며 만족을 표현하셨습니다.
라미네이트 제거: 어마어마한 삭제량의 확인

사진 4는 라미네이트 제거 후 모습입니다. 예상은 했지만 실제로 확인하니 충격적이었습니다.
레이저를 이용한 안전한 제거
기존 “라미네이트”를 **다이오드 레이저(Diode laser)**로 안전하게 제거했습니다. 이미 과도하게 삭제된 치아의 추가 손상을 방지하기 위해 레이저 사용이 필수적이었습니다.
과도한 삭제량
삭제량이 어마어마합니다. 치아가 송곳 형태(Tapered form)로 뾰족하게 깎여 있었습니다.
정량적 추정: 라미네이트의 적절한 삭제량은 0.3-0.5mm이나, 이 케이스는 1.5-2mm 이상 삭제된 것으로 추정됩니다. 이것은 올세라믹 크라운 수준의 삭제량입니다.
합병증 위험
치아 강도 약화(Compromised tooth strength): 과도한 치질 손실로 인한 기계적 강도 감소
재시술 옵션 제한(Limited revision options): 잔존 치질이 적어 재시술 방법이 제한됨
장기 예후 우려(Long-term prognosis concern): 과삭제된 치아의 장기 생존율 감소
압구정 드림치과 박종욱 원장은 “정말 안타까운 상황이지만, 남은 치아 구조를 최대한 활용하여 최선의 결과를 만들겠다”고 판단했습니다.
재시술 프로토콜: 수작업 빌드업의 적용
제작 방식
압구정 드림치과 박종욱 원장은 수작업 다층 빌드업(Hand-layered multi-build-up) 방식을 적용했습니다.
다층 구조(Multi-layered structure):
- 덴틴 코어층(Dentin core layer): 기본 색조 설정
- 에나멜층(Enamel layer): 색상 변화와 깊이 구현
- 투명층(Translucent layer): 절단연 투명감 재현
- 특성화층(Characterization layer): 미세 특성 표현
이러한 여러 겹의 적층만이 자연치아와 동일한 광학적 특성(Optical properties)을 재현할 수 있습니다.
상하악 통합 접근
상악과 하악을 통합적으로 재시술하여 전체적인 조화와 균형을 확보했습니다.
최종 결과: 완전한 심미적 회복
상하악 통합 뷰

사진 5는 치료 후 상하악 모습입니다. 위아래 치아 모두 완벽하게 재시술되었습니다.
좌우측 뷰


사진 6, 7은 상하악 좌우 모습입니다. 어느 각도에서 봐도 자연스럽고 조화로운 결과를 보여줍니다.
상악 단독 뷰

사진 8은 상악만 보여주는 모습입니다.
밝고 투명한 색상: 탁하고 불투명했던 색이 밝고 맑은 색으로 변했으나, 단순한 백색이 아닌 투명감이 살아 있어서 자연스럽습니다.
입체적 형태: 획일적이고 단조로웠던 형태가 입체적이고 역동적으로 변했습니다. 각 치아마다 발육엽(Developmental lobe), 표면 굴곡, 미세 텍스처가 재현되었습니다.
하악 단독 뷰

사진 9는 하악만 보여주는 모습입니다.
상악과의 조화: 아래 치아도 위 치아와 완벽한 색상 조화, 형태 균형을 이룹니다.
전체적 미소 조화: 상하악이 통합적으로 아름답고 자연스러운 미소를 완성했습니다.
라미네이트 vs 크라운: 명확한 구분
라미네이트의 정의
최소 침습(Minimally invasive): 치아 순면(Labial surface)만 0.3-0.5mm 삭제
법랑질 내 형성(Enamel preparation): 가능한 한 법랑질(Enamel) 내에서만 형성
가역성(Reversibility): 이론적으로 가역적 치료
올세라믹 크라운의 정의
광범위 삭제(Extensive preparation): 치아 전체를 1.5-2mm 삭제
상아질 노출(Dentin exposure): 상아질까지 광범위하게 삭제
비가역성(Irreversibility): 완전히 비가역적 치료
환자 권리
환자는 **정확한 정보를 받을 권리(Right to accurate information)**가 있습니다. “라미네이트”라는 명칭 사용 시 실제로 라미네이트 수준의 최소 삭제가 이루어져야 합니다.
재시술의 핵심 요소
정확한 진단
기존 “라미네이트”의 실제 삭제량과 문제점을 정확히 파악해야 합니다.
레이저 안전 제거
과삭제된 치아의 추가 손상을 방지하기 위해 레이저 사용이 필수적입니다.
수작업 빌드업
자연스러운 투명감과 색상은 수작업 다층 빌드업으로만 구현 가능합니다.
상하악 통합 접근
상하악을 함께 재시술하여 전체적 조화를 확보합니다.
결론: 오도된 명칭의 교정과 심미 회복
본 케이스는 “라미네이트”라는 명칭 하에 크라운 수준의 과도한 삭제가 이루어진 비윤리적 사례이며, 동시에 적절한 재시술을 통해 완전한 심미적 회복이 가능함을 보여줍니다. 환자의 알 권리를 존중하고, 정확한 정보를 제공하며, 최소 침습 원칙을 준수하는 것이 진정한 심미 치과의 윤리입니다.
자주 묻는 질문 (Frequently Asked Questions)
Q1. “라미네이트”라고 했는데 치아를 많이 깎았다면 어떻게 해야 하나요?
이미 삭제된 치질은 재생되지 않으므로 되돌릴 수 없습니다. 그러나 적절한 재시술을 통해 자연스러운 심미적 결과를 달성할 수 있습니다. 레이저로 안전하게 제거하고, 잔존 치아 구조를 최대한 활용하여 수작업 빌드업으로 새로운 보철물을 제작합니다. 향후 치료 시에는 치료 전 “치아를 얼마나 삭제하나요?”라고 명확히 질문하고, 0.5mm 이하라는 답변을 확인하시기 바랍니다.
Q2. 위아래 모두 재시술해야 하나요? 깨진 부분만 하면 안 되나요?
위아래 모두 색상 및 형태 문제가 있다면 **통합 재시술(Comprehensive revision)**을 권장합니다. 한 개만 재시술하면 색상 매칭이 어렵고, 전체적 조화를 달성하기 어렵습니다. 상하악을 함께 재시술하면 색상 조화, 형태 균형, 교합 관계를 최적화할 수 있어 훨씬 자연스럽고 안정적인 결과를 얻을 수 있습니다.
Q3. 과도하게 삭제된 치아의 장기 예후는 어떤가요?
과삭제된 치아는 기계적 강도가 약화되어 파절 위험이 증가하고, 치수 건강에도 영향을 줄 수 있습니다. 그러나 적절한 재시술(정밀한 적합도, 적절한 교합 조정, 우수한 재료 선택)과 정기 검진(6개월마다), 적절한 구강 관리를 통해 장기적으로 안정적인 결과를 유지할 수 있습니다. 압구정 드림치과 박종욱 원장의 경험상 제대로 재시술된 케이스는 10년 이상 문제없이 사용 가능합니다.
본 콘텐츠는 압구정 드림치과 박종욱 원장의 20년간 심미 보철 치료 경험을 기반으로 작성되었습니다. 라미스타 아카데미에서 매월 치과의사 대상 재시술 프로토콜을 교육하고 있으며, 국내 최초 라미네이트 교과서의 저자입니다.