잇몸 재현 라미네이트(Gingival Reproduction Laminate): 핑크 세라믹을 이용한 심미 회복

서론: 잇몸 퇴축의 심미적 문제를 라미네이트로

**잇몸 퇴축(Gingival recession)**은 단순한 치주 문제를 넘어 심각한 심미적 문제를 야기합니다. 잇몸이 내려가면 치아 뿌리가 노출되어 치아가 비정상적으로 길어 보이고, 치아 사이에 **블랙 트라이앵글(Black triangle)**이 형성되며, 전체적인 미소의 조화가 무너집니다. 이럴 때 라미네이트로 어떻게 할지 생각해봐야합니다.

잇몸 퇴축의 전통적 치료법은 **잇몸 이식 수술(Gingival graft surgery)**입니다. 성공하면 자연스러운 잇몸을 되찾을 수 있지만, 시간이 오래 걸리고 원하는 대로 안 되는 경우도 많습니다. 완전한 회복이 어렵거나 재발하는 경우도 있습니다.

이에 대한 대안으로 **핑크 세라믹(Pink ceramic)**을 이용한 잇몸 재현 기법이 있습니다. 라미네이트나 올세라믹 크라운의 잇몸 쪽 부분을 잇몸색 세라믹으로 제작하여 내려간 잇몸을 시각적으로 재현하는 방법입니다.

본 글에서는 압구정 드림치과 박종욱 원장의 20년 임상 경험을 바탕으로, 핑크 세라믹을 이용한 잇몸 재현 라미네이트의 원리, 적응증, 그리고 다양한 실제 케이스를 통해 이 특별한 치료법의 가치를 설명합니다.

잇몸 퇴축의 원인과 문제점

잇몸 퇴축의 원인

국소적 원인(Local factors):

과도한 칫솔질(Aggressive brushing)로 인한 기계적 손상이 있습니다. 치주질환(Periodontal disease)에 의한 골 소실도 원인이 됩니다. 교정 치료 후 발생하는 경우도 있습니다. 부적절한 보철물에 의한 자극도 있습니다.

전신적/해부학적 원인(Systemic/anatomical factors):

노화(Aging)에 따른 자연적 퇴축이 있습니다. 얇은 잇몸 생물형(Thin gingival biotype)도 원인입니다. 유전적 요인(Genetic factors)도 영향을 미칩니다.

잇몸 퇴축의 심미적 문제

치아 길이 증가(Increased clinical crown length):

치아 뿌리가 노출되어 치아가 비정상적으로 길어 보입니다. 좌우 비대칭이 발생할 수 있습니다.

블랙 트라이앵글(Black triangle):

치간 유두 소실로 검은 삼각형 공간이 보입니다. 나이 들어 보이는 인상을 줍니다.

치근 노출(Root exposure):

치아 뿌리는 법랑질이 없어 색상이 다릅니다. 황색 또는 갈색으로 보여 심미적으로 좋지 않습니다.

미소 불균형(Smile disharmony):

잇몸 라인이 불규칙해집니다. 전체 미소의 조화가 무너집니다.

잇몸 퇴축의 치료 옵션

옵션 1: 잇몸 이식 수술(Gingival Graft Surgery)

방법:

입천장(Palate) 등에서 결합조직(Connective tissue)을 채취합니다. 퇴축된 부위에 이식합니다. 치유 후 잇몸 재생을 기대합니다.

장점:

성공 시 자연 잇몸 회복이 가능합니다. 가장 이상적인 결과를 얻을 수 있습니다.

단점 및 한계:

시간이 오래 걸립니다. 수술 후 치유 기간(수 주~수 개월)이 필요합니다. 여러 번 시술이 필요할 수 있습니다.

원하는 대로 안 되는 경우도 많습니다. 100% 피개(Coverage)가 어려울 수 있습니다. Miller Class III, IV 퇴축은 예후가 불량합니다. 시간이 지나면 재발 가능성이 있습니다.

옵션 2: 핑크 세라믹(Pink Ceramic)

방법:

내려간 잇몸 부위를 잇몸색 세라믹으로 재현합니다. 라미네이트 또는 올세라믹 크라운의 잇몸 쪽 부분을 핑크 세라믹으로 제작합니다. 수술 없이 심미적 문제를 해결합니다.

장점:

예측 가능한 결과: 계획한 대로 정확히 제작 가능합니다.

짧은 치료 기간: 수술 후 치유 기간이 불필요합니다.

동시 해결: 치아 문제(형태, 색상, 치열)도 함께 해결합니다.

비침습적: 잇몸 수술이 필요 없습니다.

한계:

극단적으로 심한 퇴축의 경우 한계가 있습니다. 세라믹-잇몸 경계의 청결 유지가 중요합니다.

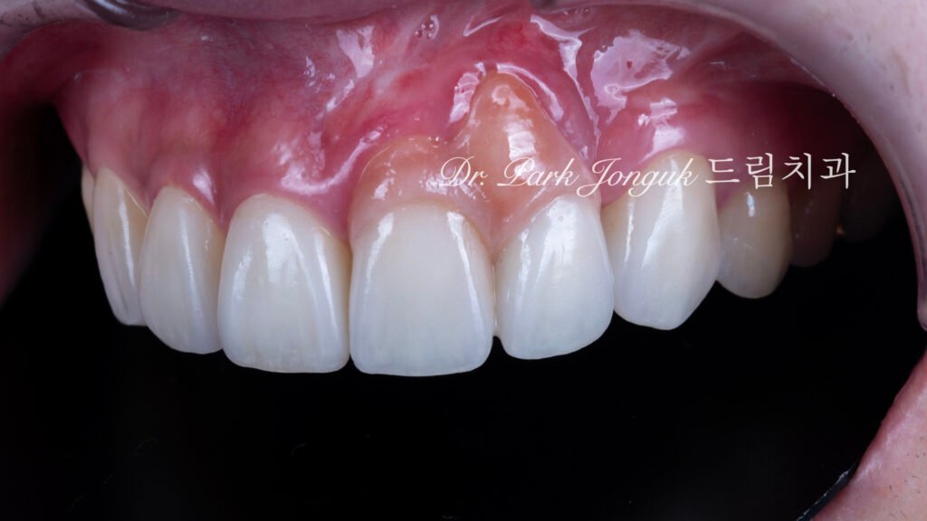
케이스 1: 잇몸 퇴축과 복합적 심미 문제

치료 전 평가

앞니 라미네이트, Anterior Laminate Veneer, 잇몸 라미네이트, Gingival Reproduction Laminate, 잇몸이 내려간 앞니, Gingival Recession, 핑크 세라믹, Pink Ceramic, 잇몸 퇴축, Recession Treatment

사진 1은 초진 시 상태입니다.

복합적 문제(Multiple issues):

잇몸 퇴축(Gingival recession): 잇몸이 많이 내려가 치아 뿌리가 노출되었습니다.

형태 문제(Morphological issues): 치아 모양이 불규칙합니다.

색상 문제(Color issues): 치아가 누렇게 변색되어 있습니다.

치열 문제(Alignment issues): 치열이 고르지 않습니다.

모든 것이 심미적으로 좋지 않은 상태입니다.

치료 전략:

잇몸 수술만으로는 해결이 어렵습니다. 치아 문제도 함께 해결해야 합니다. 핑크 세라믹을 포함한 라미네이트/크라운으로 통합 치료를 계획했습니다.

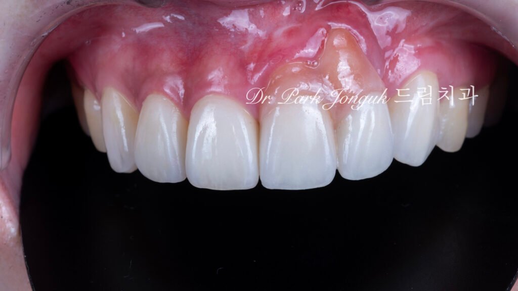
치료 후 결과

앞니 라미네이트, Anterior Laminate Veneer, 잇몸 라미네이트, Gingival Reproduction Laminate, 잇몸이 내려간 앞니, Gingival Recession, 핑크 세라믹, Pink Ceramic, 잇몸 퇴축, Recession Treatment

사진 2는 치료 후 상태입니다.

완전히 달라졌습니다.

잇몸 재현(Gingival reproduction):

잇몸 쪽을 핑크 세라믹으로 표현했습니다. 내려간 잇몸 부위가 자연스럽게 채워졌습니다. 마치 정상적인 잇몸이 있는 것처럼 보입니다. 진짜 잇몸과 구분하기 어려운 자연스러운 색상입니다.

치아 심미 개선(Tooth esthetic improvement):

형태가 정돈되고 아름다워졌습니다. 색상이 밝고 건강해졌습니다. 치열이 가지런해졌습니다.

통합적 결과(Integrated result):

잇몸과 치아가 조화롭게 어울립니다. 자연스럽고 아름다운 미소가 완성되었습니다.

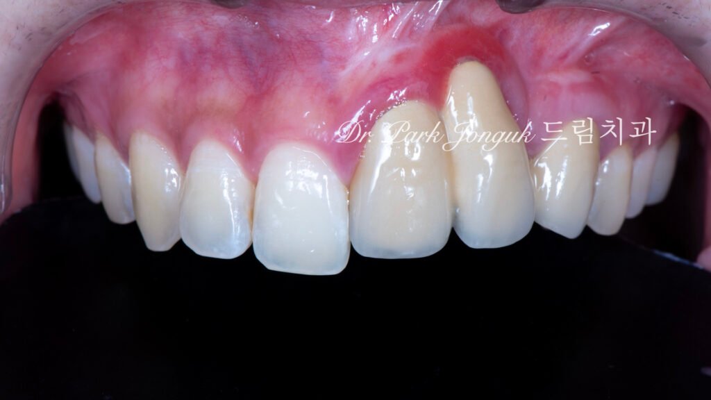
케이스 2: 구순구개열 수술 후 심미 문제

치료 전 평가

앞니 라미네이트, Anterior Laminate Veneer, 잇몸 라미네이트, Gingival Reproduction Laminate, 잇몸이 내려간 앞니, Gingival Recession, 핑크 세라믹, Pink Ceramic, 잇몸 퇴축, Recession Treatment

사진 1은 특수한 케이스입니다.

배경(Background):

환자는 구순구개열(Cleft lip and palate) 수술을 받은 분입니다.

구순구개열 수술 후 치과적 문제:

구순구개열 수술 후에는 치아 위치에 문제가 생기는 경우가 많습니다. 상악골 발육 부전(Maxillary hypoplasia)이 동반될 수 있습니다. 치아 결손, 위치 이상, 형태 이상이 흔합니다.

현재 상태:

이 분도 치아 위치가 비정상적이었습니다. **억지로 브릿지(Bridge)**를 제작했으나 심미적으로 문제가 많았습니다. 치아 모양이 부자연스럽습니다. 잇몸 라인이 불규칙합니다. 전체적으로 어색해 보입니다.

치료 후 결과

앞니 라미네이트, Anterior Laminate Veneer, 잇몸 라미네이트, Gingival Reproduction Laminate, 잇몸이 내려간 앞니, Gingival Recession, 핑크 세라믹, Pink Ceramic, 잇몸 퇴축, Recession Treatment
앞니 라미네이트, Anterior Laminate Veneer, 잇몸 라미네이트, Gingival Reproduction Laminate, 잇몸이 내려간 앞니, Gingival Recession, 핑크 세라믹, Pink Ceramic, 잇몸 퇴축, Recession Treatment

사진 2, 3은 치료 후 상태입니다.

훨씬 더 자연스러워졌습니다.

잇몸 라인 정리(Gingival line correction):

핑크 세라믹으로 불규칙한 잇몸 라인을 정리했습니다. 잇몸선이 자연스럽고 조화로워졌습니다.

치아 형태 개선(Tooth morphology improvement):

이전 브릿지의 어색한 형태가 개선되었습니다. 자연치아처럼 아름다운 형태가 되었습니다.

미소의 변화(Smile transformation):

앞니 라미네이트, Anterior Laminate Veneer, 잇몸 라미네이트, Gingival Reproduction Laminate, 잇몸이 내려간 앞니, Gingival Recession, 핑크 세라믹, Pink Ceramic, 잇몸 퇴축, Recession Treatment

사진 4는 미소 사진입니다. 미소가 아름다워졌습니다. 웃을 때 자연스럽습니다. 구순구개열 수술 후 남아 있던 심미적 문제가 핑크 세라믹으로 해결되었습니다. 환자의 자신감이 회복되었습니다.

케이스 3: 잇몸 과노출(Gummy Smile) – 단계적 접근

치료 전 평가

앞니 라미네이트, Anterior Laminate Veneer, 잇몸 라미네이트, Gingival Reproduction Laminate, 잇몸이 내려간 앞니, Gingival Recession, 핑크 세라믹, Pink Ceramic, 잇몸 퇴축, Recession Treatment

사진 1

송곳니(견치, Canine) 부위의 잇몸이 과도하게 올라가 있습니다.

일반적 치료: 잇몸 수술:

특수 상황: 어린 나이:

그러나 이 환자는 나이가 어렸습니다. 성장이 완료되지 않은 상태에서 수술을 시행하면 결과가 불안정할 수 있습니다. 성장하면서 변화가 생길 수 있습니다.

치료 계획: 단계적 접근

1단계: 무삭제 라미네이트(No-prep laminate)

일단 무삭제 라미네이트로 심미적 문제를 우선 해결합니다. 치아를 깎지 않으므로 **가역적(Reversible)**입니다. 나중에 수술을 해도 문제없습니다.

2단계: 성인 후 잇몸 수술(Gingival surgery after growth completion)

성장이 완료된 성인이 된 후 필요하면 잇몸 수술을 추가합니다. 안정적인 결과를 얻을 수 있습니다.

치료 후 결과

앞니 라미네이트, Anterior Laminate Veneer, 잇몸 라미네이트, Gingival Reproduction Laminate, 잇몸이 내려간 앞니, Gingival Recession, 핑크 세라믹, Pink Ceramic, 잇몸 퇴축, Recession Treatment

사진 2는 무삭제 라미네이트 후 상태입니다.

심미적 문제가 해결되었습니다.

치아 형태 조정(Tooth morphology adjustment):

치아 길이와 형태를 조정하여 잇몸이 덜 드러나 보이게 했습니다. 전체적인 비율이 개선되었습니다.

무삭제의 장점(Advantage of no-prep):

치아를 깎지 않았으므로 가역적입니다. 성장 완료 후 수술을 추가해도 문제없습니다. 최종 결과에 유연성을 확보했습니다.

현재 상태:

심미적으로 만족스러운 결과를 얻었습니다. 성인이 된 후 필요하면 추가 치료를 계획할 수 있습니다.

핑크 세라믹의 기술적 측면

핑크 세라믹이란?

**핑크 세라믹(Pink ceramic / Gingival porcelain)**은 잇몸색 세라믹입니다.

일반 라미네이트/크라운은 **치아색(흰색 계열)**으로 제작됩니다. 핑크 세라믹은 **잇몸색(분홍색 계열)**으로 제작됩니다. 라미네이트나 크라운의 잇몸 쪽 부분에 적용합니다.

자연스러운 재현을 위한 요소

색상 매칭(Shade matching):

핑크 세라믹도 다양한 색조가 있습니다. 환자의 실제 잇몸색과 정확히 매칭합니다. 잇몸의 부위별 색상 변화도 재현합니다.

경계 블렌딩(Border blending):

핑크 세라믹과 실제 잇몸의 경계를 자연스럽게 처리합니다. 어디까지가 진짜 잇몸이고 어디부터가 세라믹인지 구분하기 어렵게 만듭니다.

질감 표현(Texture reproduction):

잇몸의 표면 질감도 재현합니다. 점묘(Stippling) 등 잇몸 특유의 질감을 표현합니다.

핑크 세라믹 제작의 난이도

고도의 기술 필요:

치아색 세라믹과 핑크 세라믹을 함께 사용해야 합니다. 두 세라믹 간의 자연스러운 전환이 필요합니다. 숙련된 세라믹 기공사의 예술적 감각이 요구됩니다.

핑크 세라믹 vs 잇몸 수술: 비교

비교 표

항목핑크 세라믹잇몸 이식 수술
치료 기간2-3주수 개월
결과 예측성높음중간
침습성비침습적침습적
치아 문제 동시 해결가능불가능
자연 조직 회복불가능가능
재발 가능성없음있음
유지 관리경계 청결 유지일반 관리

선택 기준

핑크 세라믹 추천 상황:

퇴축이 심하여 수술 예후가 불량한 경우(Miller Class III, IV). 치아 문제(형태, 색상, 치열)도 함께 해결해야 하는 경우. 수술을 원하지 않는 환자. 빠른 결과가 필요한 경우.

잇몸 수술 추천 상황:

퇴축이 경미하고 예후가 양호한 경우(Miller Class I, II). 잇몸 조직이 건강한 경우. 자연 조직 회복을 강하게 원하는 환자. 치아 자체는 문제가 없는 경우.

결론: 잇몸 재현 라미네이트의 가치

잇몸 퇴축은 심각한 심미적 문제를 야기하며, 전통적 치료법인 잇몸 이식 수술은 시간이 오래 걸리고 원하는 대로 안 되는 경우도 많습니다. 핑크 세라믹을 이용한 잇몸 재현 라미네이트는 수술 없이 예측 가능한 결과를 얻을 수 있는 대안입니다. 내려간 잇몸 부위를 잇몸색 세라믹으로 자연스럽게 재현하면서, 동시에 치아의 형태, 색상, 치열 문제도 해결할 수 있습니다. 구순구개열 후 복잡한 심미 문제, 잇몸 과노출에 대한 단계적 접근 등 다양한 상황에 적용 가능합니다. 핵심은 환자의 실제 잇몸색과 정확히 매칭하고 경계를 자연스럽게 블렌딩하는 것이며, 이는 20년 경험과 숙련된 기공사의 예술적 감각이 필요한 고도의 기술입니다. 압구정 드림치과 박종욱 원장은 다양한 잇몸 재현 케이스를 성공적으로 치료해왔습니다.


자주 묻는 질문 (Frequently Asked Questions)

Q1. 핑크 세라믹이 어색하게 보이지 않나요?

자연스럽게 만들 수 있습니다. 핑크 세라믹도 다양한 색조가 있어서 환자의 실제 잇몸색과 정확히 매칭할 수 있습니다. 잇몸의 부위별 색상 변화(치경부는 약간 붉고, 치간 유두는 약간 밝음 등)도 재현합니다. 가장 중요한 것은 **경계 블렌딩(Border blending)**입니다. 핑크 세라믹과 실제 잇몸의 경계를 자연스럽게 처리하여 어디까지가 진짜 잇몸이고 어디부터가 세라믹인지 구분하기 어렵게 만듭니다. 숙련된 세라믹 기공사의 예술적 감각이 필요한 고도의 기술이며, 압구정 드림치과는 20년간 이러한 케이스를 많이 해왔습니다.

Q2. 잇몸 수술과 핑크 세라믹 중 어떤 것이 좋나요?

케이스에 따라 최적의 선택이 다릅니다. 잇몸 퇴축이 경미하고(Miller Class I, II) 잇몸 조직이 건강하면 수술로 자연 잇몸을 회복하는 것이 이상적입니다. 그러나 수술은 시간이 오래 걸리고(수 개월), 원하는 대로 안 되는 경우도 많으며, 재발 가능성도 있습니다. 퇴축이 심하거나(Miller Class III, IV), 치아 문제(형태, 색상, 치열)도 함께 있으면 핑크 세라믹이 더 효율적입니다. 2-3주 내에 예측 가능한 결과를 얻을 수 있고, 치아와 잇몸 문제를 한 번에 해결할 수 있습니다. 정밀한 진단 후 최적의 방법을 선택해드립니다.

Q3. 핑크 세라믹 부분은 어떻게 관리하나요?

일반 라미네이트/크라운과 동일하게 관리하면 됩니다. 칫솔질을 꼼꼼히 하고, 치실이나 치간칫솔로 치아 사이를 청결하게 유지합니다. 특히 핑크 세라믹과 실제 잇몸의 경계 부분에 플라그가 축적되지 않도록 신경 써야 합니다. 이 부분에 플라그가 쌓이면 잇몸 염증이 생길 수 있습니다. 정기적인 치과 검진(6개월~1년)으로 상태를 확인하고 전문 클리닝을 받는 것이 좋습니다. 적절히 관리하면 오랫동안 건강하고 아름다운 상태를 유지할 수 있습니다.


본 콘텐츠는 압구정 드림치과 박종욱 원장의 20년간 심미 보철 치료 경험을 기반으로 작성되었습니다. 핑크 세라믹을 이용한 잇몸 재현 라미네이트를 수백 건 성공적으로 치료했으며, 국내 최초 라미네이트 전문 교과서를 출간했고 8개월 만에 1쇄 완판을 기록했습니다. 라미스타 아카데미에서 매월 치과의사 대상 복합 심미 치료 프로토콜을 교육하고 있습니다.