서론: 교정 후 남은 왜소치 문제
왜소치(Peg-shaped lateral incisors), 특히 측절치의 발육 부전은 교정 치료만으로 해결할 수 없는 심미적 문제입니다. 교정은 치아의 위치를 이동시킬 수 있지만, 치아의 크기나 형태를 변경할 수 없기 때문입니다. 따라서 왜소치가 있는 환자가 인비절라인(Invisalign) 등의 교정 치료를 받는 경우, 교정 완료 후 **왜소치 무삭제 라미네이트(No-prep peg lateral veneer)**로 최종 심미를 완성하는 것이 표준 프로토콜입니다.
그러나 많은 경우 교정 계획 단계에서 라미네이트를 고려하지 않아 측절치 공간이 부족하거나, 중절치 크기 비대칭이 남는 등의 문제가 발생합니다. 본 케이스는 타 치과에서 인비절라인 교정을 완료한 후, 왜소치 문제 해결을 위해 내원한 환자로, 교정-라미네이트 통합 계획의 중요성과 제한된 공간에서도 왜소치 무삭제 라미네이트로 자연스러운 결과를 달성하는 방법을 보여줍니다.
압구정 드림치과 박종욱 원장의 20년 임상 경험을 바탕으로, 왜소치 무삭제 라미네이트의 진단, 계획, 실행, 그리고 교정과의 이상적 통합에 대해 설명드리겠습니다.
초진 평가: 인비절라인 완료 후 내원

사진 1은 초진 시 환자의 상태를 보여줍니다.
임상 상황
인비절라인 어태치먼트가 아직 붙어있는 상태로 진단하러 왔습니다. 환자는 타 치과에서 인비절라인 교정을 완료한 상태로, 치열은 상당 부분 정리되었으나 심미적 불만족이 지속되어 내원했습니다.
왜소치 문제(Peg-shaped lateral incisors)
측절치가 왜소치입니다. 정상 측절치에 비해 현저히 작고 원추형(Conical shape)으로, 교정 치료로는 해결할 수 없는 구조적 문제입니다. **왜소치 라미네이트(Peg lateral veneer)**가 필수적입니다.
교정 계획의 문제점: 통합 접근의 부재
여기서 매우 아쉬운 교정 계획상의 문제가 드러납니다.
측절치 공간 부족
측절치가 왜소치인데도 공간을 다 닫아버려서 충분한 측절치의 모양과 크기를 만들 수 없습니다.
왜소치의 정상 치료 프로토콜:
- 왜소치는 정상 측절치보다 작음(일반적으로 폭 3-4mm vs 정상 6-7mm)
- 무삭제 라미네이트로 크기를 증대하려면 **순측 공간(Labial space)**이 필요
- 교정 시 측절치 부위에 2-3mm 공간 확보 필수
실제 상황:
- 교정에서 공간을 완전히 폐쇄(Complete space closure)
- 측절치를 정상 크기로 만들 공간 부족
- 제한된 공간 내에서 최선의 결과를 추구해야 함
중절치 크기 비대칭
중절치 두 개의 크기도 다릅니다. 좌우 중절치의 폭이 비대칭적이며, 이는 교정 단계에서 조정했어야 할 문제입니다.
통합 계획의 부재
라미네이트를 해야 하는 케이스라면 그에 맞춰서 교정을 했어야 했는데 아쉽습니다.
이상적 통합 프로토콜:
- 교정 시작 전 심미 치과와 협진(Interdisciplinary consultation)
- 왜소치 확인 → 최종 라미네이트 크기 계획
- 교정 목표: 측절치 공간 확보, 중절치 대칭 확립
- 교정 완료 후 왜소치 무삭제 라미네이트로 심미 완성
실제 상황: 교정과 라미네이트가 분리된 계획으로 진행되어 최적의 공간 배분 실패
어태치먼트 제거: 문제의 명확화

사진 2는 어태치먼트 제거 후 상태입니다.
명확해진 문제들
인비절라인 어태치먼트 제거 후 치아 표면과 형태가 명확히 드러나며, 다음 문제들이 확인됩니다:
측절치 왜소치(Peg-shaped lateral incisors):
- 현저히 작고 원추형
- 정상 치아 대비 50% 미만 크기
- 심미적 부조화
공간 제약(Space limitation):
- 측절치를 정상 크기로 확대할 순측 공간 부족
- 인접 치아와의 거리 제한적
중절치 비대칭(Central incisor asymmetry):
- 좌우 폭 차이
- 형태 불균형
치료 전략 수정
공간이 제한적이지만 왜소치 무삭제 라미네이트는 가능합니다. 다만:
- 이상적 정상 크기보다 약간 작게 제작
- 비율과 조화를 우선시
- 자연스러움 극대화
시적: 왜소치 무삭제 라미네이트

사진 3은 시적(Try-in) 과정입니다.
왜소치에 무삭제 라미네이트 적용
측절치에 왜소치 무삭제 라미네이트를 시적합니다.
무삭제 원칙(No-prep principle):
- 치아 삭제 0mm 또는 최소(0-0.3mm)
- 자연 법랑질 보존(Natural enamel preservation)
- 순면 부착만으로 크기 증대(Labial bonding for size augmentation)
왜소치에서 무삭제의 장점:
- 왜소치는 이미 작음 → 추가 삭제 시 더욱 축소
- 법랑질 보존 → 우수한 접착력(Excellent bond strength)
- 투명감 유지 → 자연스러운 광학 특성
제한된 공간 내 최적화
공간 제약을 고려하여:
- 정상 크기의 80-85% 수준으로 제작
- 비율과 조화 우선
- 과대 크기로 인한 부자연스러움 방지
환자 승인
시적 상태를 환자에게 제시하고 최종 형태를 확인받습니다. 만족 시 최종 접착으로 진행합니다.

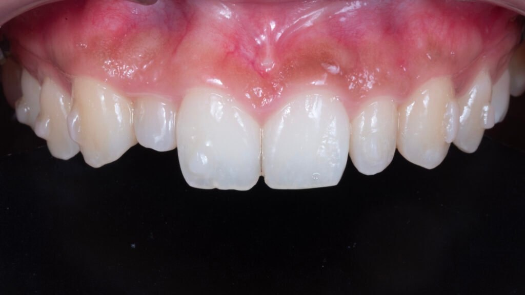
최종 결과: 자연스러운 조화
사진 4는 세팅(Cementation) 후 최종 상태입니다.
왜소치 문제 해결
작고 원추형이었던 왜소치가 자연스러운 크기와 형태로 변화했습니다:
- 적절한 폭 확보(Appropriate width)
- 자연스러운 치아 형태(Natural tooth morphology)
- 무삭제 라미네이트로 치질 손상 없음(No tooth structure loss)
중절치와의 완벽한 조화
중절치의 다양한 표현을 측절치에도 다 적용해서 너무나도 자연스럽게 잘 어울립니다.
통합된 표면 특성(Unified surface characteristics):
- 라인 앵글(Line angles): 중절치와 동일한 모서리 표현
- 발육엽(Developmental lobes): 일관된 세로 굴곡
- 절단연 형태(Incisal edge morphology): 조화로운 절단연 디자인
- 표면 텍스처(Surface texture): 미세 굴곡의 일치
이러한 디테일의 일치로 측절치 라미네이트가 자연치아와 완벽히 조화되며, **탐지 불가능한 수복(Undetectable restoration)**을 달성했습니다.
자연스러운 광학 특성
무삭제 라미네이트로 자연 법랑질을 보존했기 때문에:
- 투명감 유지(Translucency preservation)
- 색상 깊이(Color depth)
- 빛 산란 특성(Light scattering properties)
모두 자연치아와 동일하게 재현되었습니다.
왜소치와 교정: 통합 계획의 중요성
왜소치 존재 시 교정 전 고려사항
왜소치가 확인되면:
- 최종 심미 목표 설정(Final esthetic goal)
- 왜소치 라미네이트 크기 계획(Peg lateral veneer size planning)
- 필요 공간 계산(Required space calculation)
- 교정 목표에 공간 확보 포함(Include space in orthodontic objectives)
이상적 교정-라미네이트 워크플로우
1단계: 교정 전 협진(Pre-orthodontic consultation)
- 심미 치과와 교정과 협의
- 왜소치 최종 크기 결정
- 측절치 부위 목표 공간 설정
2단계: 통합 교정 계획(Integrated orthodontic planning)
- 치열 정렬 + 측절치 공간 확보
- 중절치 크기 대칭화
- 교합 평면 수평화
3단계: 교정 완료 후 라미네이트(Post-orthodontic veneers)
- 왜소치 무삭제 라미네이트
- 충분한 공간에서 정상 크기 달성
- 완벽한 심미 완성
이미 교정 완료 후라면?
본 케이스처럼 공간 부족 상태에서도 해결 가능합니다:
- 제한된 공간 내 최적화
- 비율과 조화 우선
- 자연스러움 극대화
- 포기하지 말고 상담
왜소치 무삭제 라미네이트의 임상적 우월성
과거 치료법: 크라운
올세라믹 크라운(All-ceramic crown):
- 전층 삭제 필요(Full coverage preparation)
- 이미 작은 왜소치를 더욱 삭제
- 과도한 치질 손실(Excessive tooth structure loss)
- 장기 예후 우려(Long-term prognosis concerns)
현대 표준: 무삭제 라미네이트
왜소치 무삭제 라미네이트:
- 삭제 0mm 또는 최소(No-prep or minimal prep)
- 치질 보존 극대화(Maximum preservation)
- 우수한 접착력(Excellent bonding)
- 자연스러운 투명감(Natural translucency)
- 최소 침습(Minimally invasive)
- 탁월한 장기 예후(Excellent long-term prognosis)
왜소치에서 무삭제의 특별한 이점
왜소치는 이미 작은 치아이므로:
- 추가 삭제 시 극도로 축소
- 접착 표면적 감소
- 유지력 약화
따라서 무삭제가 절대적으로 유리합니다.
결론: 통합 계획과 최소 침습의 가치
왜소치는 교정 치료만으로 해결할 수 없는 구조적 문제이며, 무삭제 라미네이트가 표준 치료입니다. 이상적으로는 교정 계획 단계에서 심미 치과와 협진하여 측절치 공간을 확보하고, 교정 완료 후 왜소치 무삭제 라미네이트로 최종 심미를 완성하는 통합 워크플로우가 필요합니다. 그러나 본 케이스처럼 이미 공간이 부족한 상태에서도, 제한된 조건 내에서 비율과 조화를 우선시하고 중절치의 표면 특성을 측절치에 일치시킴으로써 자연스럽고 아름다운 결과를 달성할 수 있습니다. 왜소치 무삭제 라미네이트는 치질 보존, 자연스러운 투명감, 탁월한 장기 예후를 제공하는 최소 침습 심미 치료의 정수입니다.
자주 묻는 질문 (Frequently Asked Questions)
Q1. 인비절라인 교정 후 왜소치 라미네이트는 꼭 해야 하나요?
네, 왜소치(작고 원추형의 치아)는 교정만으로 해결할 수 없습니다. 교정은 치아의 위치를 이동시키는 치료이지 치아의 크기나 형태를 변경하는 치료가 아니기 때문입니다. 따라서 왜소치가 있다면 교정 완료 후 왜소치 무삭제 라미네이트로 크기와 형태를 개선하는 것이 필수적입니다. 이상적으로는 교정 시작 전 심미 치과와 협진하여 측절치 공간을 충분히 확보하는 통합 계획이 필요하지만, 이미 교정을 완료한 상태에서도 제한된 공간 내에서 자연스러운 결과를 달성할 수 있습니다.
Q2. 왜소치 무삭제 라미네이트 하려면 교정에서 공간을 꼭 남겨야 하나요?
이상적으로는 교정 단계에서 측절치 공간을 충분히 확보하는 것이 좋습니다. 정상 측절치 크기(폭 6-7mm)를 달성하려면 왜소치(폭 3-4mm)로부터 양측으로 각각 1.5-2mm의 순측 공간이 필요합니다. 교정 계획 시 이를 고려하여 공간을 남겨두면 정상 크기의 자연스러운 측절치를 만들 수 있습니다. 그러나 본 케이스처럼 공간이 부족해도 왜소치 무삭제 라미네이트는 가능합니다. 다만 정상 크기의 80-85% 수준으로 제작하되, 비율과 조화를 우선시하여 최대한 자연스럽게 만들 수 있습니다.
Q3. 왜소치 치료는 무삭제 라미네이트가 가장 좋은가요?
네, 왜소치 무삭제 라미네이트가 현대 치과의 표준 치료입니다. 왜소치는 이미 작은 치아이므로, 과거에 사용되던 올세라믹 크라운처럼 전층 삭제를 하면 극도로 작은 지대치가 되어 유지력 약화, 접착 표면적 감소, 장기 예후 불량 등의 문제가 발생합니다. 반면 무삭제 라미네이트는: (1) 치질 보존 극대화, (2) 자연 법랑질 유지로 우수한 접착력, (3) 투명감 보존으로 자연스러운 광학 특성, (4) 최소 침습으로 탁월한 장기 예후를 제공합니다. 압구정 드림치과에서는 왜소치 무삭제 라미네이트를 20년간 표준 프로토콜로 시행하고 있으며, 환자 만족도와 장기 성공률이 매우 높습니다.
본 콘텐츠는 압구정 드림치과 박종욱 원장의 20년간 심미 보철 치료 경험을 기반으로 작성되었습니다. 왜소치 무삭제 라미네이트를 수백 건 성공적으로 치료했으며, 국내 최초 라미네이트 전문 교과서를 출간했고 8개월 만에 1쇄 완판을 기록했습니다. 라미스타 아카데미에서 매월 치과의사 대상 왜소치 무삭제 라미네이트 프로토콜을 교육하고 있습니다.