서론: 최소 개입의 난제
앞니 라미네이트에서 가장 어려운 도전 중 하나는 **”2개만 시술하여 자연치아와 완벽하게 조화시키는 것”**입니다. 대부분의 치과에서 앞니 2개 문제로 내원한 환자에게 4개 또는 6개 라미네이트를 권유하는 이유는 라미네이트를 다른 자연치아와 어울리게 만드는 것이 매우 힘들기 때문입니다. 색상, 투명감, 표면 질감, 형태학적 특성을 자연치아와 정확히 일치시키는 것은 극도로 높은 기술적 난이도를 요구합니다.
그러나 이러한 난제는 제작 방식의 차이에서 비롯됩니다. 단일 세라믹 블록을 밀링하는 원데이 CAD/CAM 방식은 빠르고 효율적이지만 자연치아의 복잡한 광학 특성을 재현할 수 없어, 2개만 시술 시 명백히 탐지 가능합니다(Detectable). 반면 **다양한 세라믹을 이용한 다층 빌드업 방식(Multi-layer hand-layered technique)**은 자연치아의 구조를 정밀하게 모방하여 2개만 시술해도 완벽한 조화를 달성할 수 있습니다.
본 글에서는 압구정 드림치과 박종욱 원장의 20년 임상 경험을 바탕으로, 크랙과 블랙 트라이앵글이 있는 앞니 2개에 대한 라미네이트 케이스를 통해 빌드업 방식의 우월성과 라미네이트 잘하는 곳의 진정한 기준을 제시합니다.
초진 평가: 앞니 2개의 문제

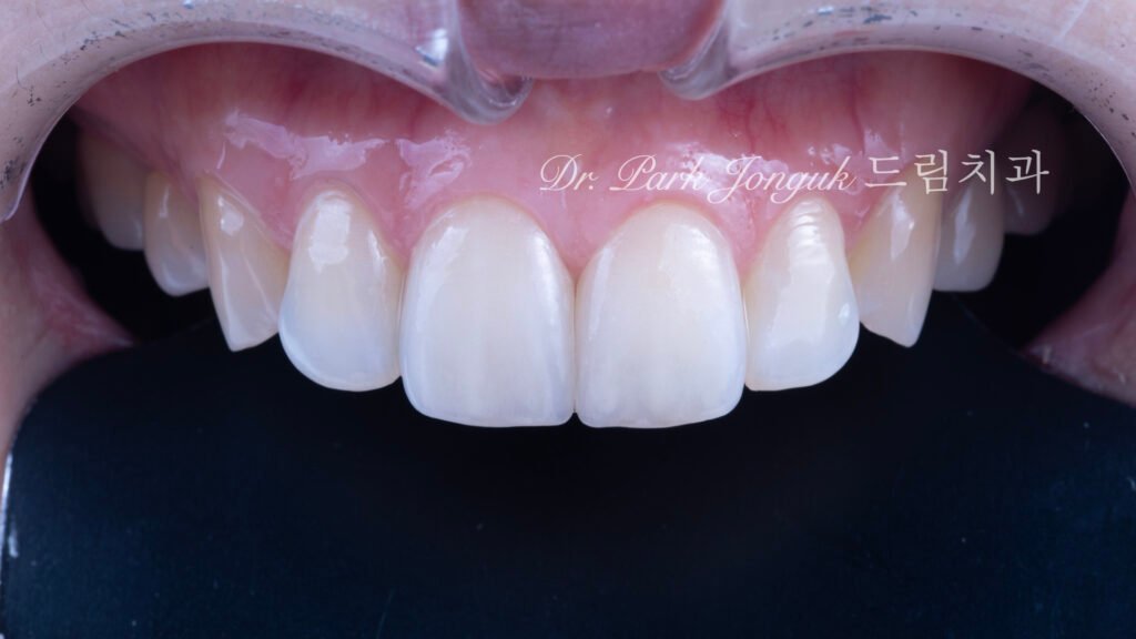
사진 1은 앞니 두 개에 라미네이트를 해야 하는 초진 상태입니다.
임상 소견
크랙(Cracks):
- 중절치에 미세 균열선(Craze lines) 관찰
- 심미적 문제 및 잠재적 파절 위험(Fracture risk)
블랙 트라이앵글(Black triangle):
- 치간 유두 퇴축(Interdental papilla recession)
- 치아 사이 검은 삼각형 공간 노출
- 심미적 불만족의 주요 원인
일반적 치과의 권유
대부분의 치과는 4개 또는 6개 라미네이트를 권유합니다.
이유: “라미네이트를 다른 자연치아와 어울리게 만드는 것은 매우 힘들거든요.”
색상 매칭의 어려움(Shade matching difficulty):
- 자연치아의 미묘한 색조 재현 곤란
- 단일 세라믹 블록의 색상 한계
투명감 재현의 어려움(Translucency reproduction difficulty):
- 절단연 투명감 구현 불가
- 광학 특성 불일치
표면 특성 재현의 어려움(Surface characterization difficulty):
- 발육엽, 라인 앵글 등 미세 형태 재현 곤란
- 평면적 외관
결론: 2개만 시술 시 명백히 티가 나므로, 4-6개를 모두 인공적으로 통일하여 **상대적 조화(Relative harmony)**를 추구
제작 방식의 근본적 차이
라미네이트 제작 방법은 두 가지로 나뉩니다.
방식 1: 단일 세라믹 블록(Monolithic ceramic block)
원데이 CAD/CAM 시스템:
- 하나의 세라믹 블록으로만 제작
- 컴퓨터 디자인 + 밀링 머신 가공
- 제작 시간: 20-30분
- 비용: 저렴
구조적 한계:
- 단일 재료, 단일 색상, 단일 투명도
- 부위별 색상 변화 불가능
- 절단연 투명감 재현 불가능
- 평면적이고 단조로운 광학 특성
결과: 자연치아와 조화 곤란, 2개만 시술 시 명백히 탐지 가능
방식 2: 다층 빌드업(Multi-layer hand-layered build-up)
“다양한 세라믹을 이용해서 빌드업을 통해 만드는 방법”:
- 여러 종류의 세라믹을 단계적으로 적층
- 수작업 정밀 빌드업
- 제작 시간: 수일
- 비용: 상대적 고가
구조적 우월성:
- 부위별 맞춤 세라믹 사용
- 치경부: 불투명 덴틴 세라믹
- 중간부: 반투명 에나멜 세라믹
- 절단연: 투명 세라믹
- 표면: 특성화 세라믹
결과: 자연치아의 복잡한 광학 구조 정밀 재현, 2개만 시술해도 완벽한 조화
정밀 치료 과정: 백금박 빌드업 기법
치료 과정은 동영상으로 기록되었습니다.
치아 형성(Tooth preparation)
정밀 삭제:
- 현미경 하 시행(Microscope-assisted)
- 0.1mm 단위 정확도
- 계획된 삭제 깊이 준수
백금박 라미네이트 제작(Platinum foil veneer fabrication)
“백금박 라미네이트를 제작하는 과정”
백금박(Platinum foil) 기법:
- 매우 얇은 백금 시트(0.025mm) 사용
- 고온 소성 시 형태 안정성 제공
- 정밀한 적합도(Precision fit) 달성
다층 빌드업 프로세스
단계적 세라믹 적층(Sequential ceramic layering):
1단계: 덴틴층(Dentin layer)
- 불투명 덴틴 세라믹
- 치아 뿌리 부위 색조 재현
2단계: 에나멜층(Enamel layer)
- 반투명 에나멜 세라믹
- 중간부 색상 및 투명감
3단계: 절단연층(Incisal layer)
- 투명 세라믹
- 자연치아 절단연 투명감 재현
4단계: 특성화층(Characterization layer)
- 표면 미세 텍스처
- 발육엽, 라인 앵글 표현
각 층마다 소성(Firing): 고온 가열로 응결
자연치아 정밀 매칭
인접 자연치아를 정확히 재현:
- 색상 정밀 매칭(Precise shade matching)
- 투명감 일치(Translucency match)
- 표면 질감 재현(Surface texture reproduction)
- 형태학적 특성 일치(Morphological harmony)
최종 결과: 탐지 불가능한 조화



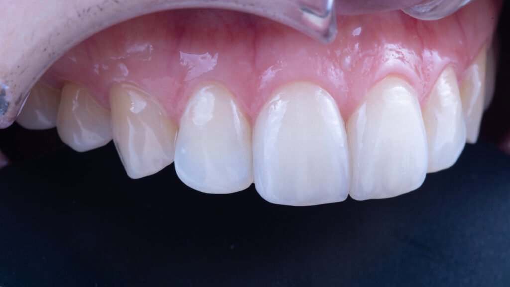
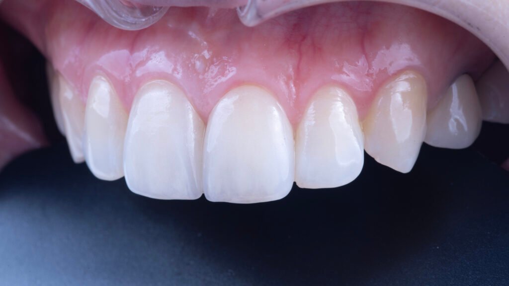
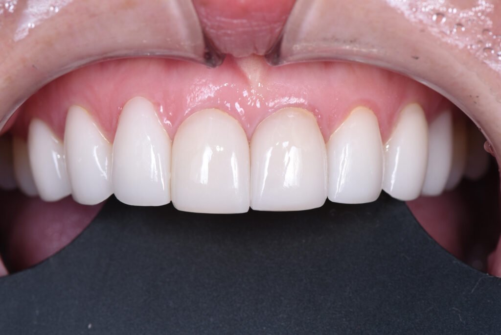
사진 2, 3, 4는 치료 후 상태를 보여줍니다.
2개만 시술
앞니 중절치 2개만 라미네이트 시술했습니다.
완벽한 조화(Perfect harmony)
전혀 티가 나지 않습니다(Completely undetectable):
- 색상 완벽 일치(Perfect shade match)
- 투명감 동일(Identical translucency)
- 형태 조화(Morphological harmony)
- 표면 질감 일치(Surface texture match)
어디가 라미네이트인지 식별 불가능(Impossible to identify)
문제 해결
크랙 완전 해결(Crack completely resolved):
- 세라믹으로 균열 덮음
- 심미성 회복
- 구조적 강화
블랙 트라이앵글 최소화(Black triangle minimized):
- 인접면 연장(Proximal extension)
- 시각적 차단
- 심미적 개선
빌드업 방식의 실례



사진 5, 6, 7은 이렇게 정성스럽게 만들어지는 방식의 예시입니다.
다양한 세라믹 사용
여러 종류의 세라믹 파우더:
- 각각 다른 색상(Different shades)
- 각각 다른 투명도(Different translucency levels)
- 각각 다른 기능(Different functions)
단계적 적층(Sequential layering)
베이스 → 덴틴 → 에나멜 → 투명 → 특성화
각 단계마다:
- 정밀한 파우더 적용(Precise powder application)
- 형태 조각(Morphology sculpting)
- 고온 소성(High-temperature firing)
자연치아 복잡성 재현
자연치아는 단순하지 않습니다:
- 부위별 색상 변화(Regional color variation)
- 부위별 투명도 변화(Regional translucency gradient)
- 복잡한 빛 산란(Complex light scattering)
다층 빌드업만이 이를 재현 가능(Only multi-layer build-up can reproduce this)
원데이 방식의 한계


사진 8, 9는 **”한 가지 세라믹으로 빨리빨리 많이많이 만드는 방식”**의 결과입니다.
단일 세라믹 블록
Monolithic ceramic block:
- 한 가지 세라믹 덩어리
- 밀링 머신 가공
- 20-30분 완성
심미적 한계
“이렇게 차이가 많이 납니다.”
단조로운 색상(Monochromatic):
- 색상 변화 없음
- 평면적 외관
투명감 결여(Lack of translucency):
- 불투명하고 탁함
- 빛 투과 없음
인공적 외관(Artificial appearance):
- “자일리톨 껌” 같음
- 명백히 가짜로 인식
2개만 시술 시
자연치아와 전혀 조화되지 않음(Complete disharmony with natural teeth)
명백히 탐지 가능(Obviously detectable)
따라서 4-6개를 모두 인공적으로 통일하여 상대적 조화 추구
라미네이트 잘하는 곳의 진정한 기준
기준 1: 2개만 해도 자연스러운가?
진정한 실력의 척도:
- 2개만 시술해도 탐지 불가능
- 자연치아와 완벽한 조화
- 과잉 치료 없이 필요한 개수만
기준 2: 빌드업 방식 사용
정성스러운 제작 방식:
- 다양한 세라믹 사용
- 단계적 수작업 적층
- 자연치아 복잡성 재현
기준 3: 시간과 정성 투자
빠른 대량 생산 vs 정성스러운 완성:
- 20-30분 vs 수일
- 효율성 vs 품질
- 양 vs 질
기준 4: 20년 경험과 노하우
모든 케이스를 자연스럽게:
- 2개든 6개든 완벽한 조화
- 축적된 기술과 감각
- 예측 가능한 탁월한 결과
최소 개입의 철학
필요한 개수만 시술
2개 필요 → 2개만 4개 필요 → 4개만
과잉 진료 절대 배제(No overtreatment)
자연치아 최대 보존
건강한 자연치아는 보존(Preserve healthy natural teeth)
불필요한 삭제 최소화(Minimize unnecessary reduction)
환자 이익 우선
단기 수익 < 장기 신뢰
환자 건강과 만족이 최우선
결론: 빌드업 방식의 절대적 우월성
앞니 라미네이트에서 2개만 시술하여 자연치아와 완벽하게 조화시키는 것은 단일 세라믹 블록 방식으로는 불가능하며, 다양한 세라믹을 이용한 다층 빌드업 방식만이 달성할 수 있는 경지입니다. 빌드업 방식은 부위별 맞춤 세라믹 적층을 통해 자연치아의 복잡한 광학 구조를 정밀하게 재현하여, 색상, 투명감, 표면 질감, 형태학적 특성을 완벽히 일치시킵니다. 라미네이트 잘하는 곳의 진정한 기준은 빠른 대량 생산이 아닌 정성스러운 완성, 과잉 진료가 아닌 필요한 개수만 시술, 그리고 2개만 해도 탐지 불가능한 자연스러움을 달성하는 기술력입니다. 압구정 드림치과 박종욱 원장의 20년 경험과 빌드업 방식으로 자연스러운 라미네이트를 완성합니다.
앞니 2개만 라미네이트 해도 자연스러울까요?
라미네이트 잘하는 곳이라면 2개만 해도 완벽하게 자연스럽습니다. 핵심은 제작 방식입니다. 단일 세라믹 블록을 밀링하는 원데이 방식은 색상이 단조롭고 투명감이 없어 2개만 시술 시 명백히 티가 나므로, 대부분의 치과에서 4-6개를 권유합니다. 반면 다양한 세라믹을 이용한 다층 빌드업 방식은 치경부 불투명 세라믹, 중간부 반투명 세라믹, 절단연 투명 세라믹을 단계적으로 적층하여 자연치아의 색상, 투명감, 표면 질감을 정확히 재현하므로, 인접 자연치아와 전혀 구분되지 않습니다. 압구정 드림치과는 20년간 빌드업 방식으로 2개만 시술해도 어디가 라미네이트인지 모를 정도로 자연스럽게 만들어왔습니다.
Q2. 왜 다른 치과는 4개나 6개를 권하나요?
한 가지 세라믹으로 빠르게 만드는 원데이 CAD/CAM 방식을 사용하면 자연치아와 완벽하게 조화시키기 매우 어렵기 때문입니다. 단일 블록은 부위별 색상 변화, 절단연 투명감, 미세 표면 특성을 재현할 수 없어 색상이 단조롭고 불투명합니다. 따라서 2개만 시술하면 명백히 티가 나므로, 4-6개를 모두 똑같이 인공적으로 만들어 상대적 조화(모두 인공적이므로 서로 어울림)를 추구합니다. 그러나 정성스러운 다층 빌드업 방식을 사용하면 2개만 시술해도 자연치아와 완벽하게 조화되므로, 건강한 자연치아를 불필요하게 삭제할 이유가 없습니다. 필요한 개수만 시술하는 것이 환자에게 최선입니다.
Q3. 빌드업 방식이 원데이 방식과 뭐가 다른가요?
원데이 방식(Monolithic CAD/CAM): 한 가지 세라믹 블록을 밀링 머신이 깎아냄. 20-30분 완성, 저렴, 그러나 단일 재료·색상·투명도로 인해 단조롭고 불투명하며 평면적. 자연치아와 조화 곤란. 다층 빌드업 방식(Multi-layer hand-layered build-up): 여러 종류의 세라믹(불투명 덴틴, 반투명 에나멜, 투명 절단연, 특성화 세라믹)을 수작업으로 한 층씩 쌓아 올리며 각 층마다 소성. 수일 소요, 상대적 고가, 그러나 자연치아의 복잡한 부위별 색상 변화, 투명감 그라디언트, 빛 산란 특성을 정밀 재현. 결과적으로 색상, 투명감, 입체감, 표면 질감 모두 자연치아와 동일하여 2개만 시술해도 탐지 불가능. 이것이 자연스러운 라미네이트의 비밀이자 라미네이트 잘하는 곳의 진정한 기준입니다.
본 콘텐츠는 압구정 드림치과 박종욱 원장의 20년간 심미 보철 치료 경험을 기반으로 작성되었습니다. 다층 빌드업 방식의 자연스러운 라미네이트를 수천 건 성공적으로 치료했으며, 국내 최초 라미네이트 전문 교과서를 출간했고 8개월 만에 1쇄 완판을 기록했습니다. 라미스타 아카데미에서 매월 치과의사 대상 빌드업 라미네이트 프로토콜을 교육하고 있습니다.