왜소측절치의 임상적 특성과 치료 과제
왜소측절치(peg lateral incisors)는 선천적으로 측절치가 원추형으로 작게 형성된 치아 발육 이상입니다. 유병률은 약 1-2%로 비교적 흔하며, 특히 상악 측절치에서 발생합니다. 이 상태는 기능적 문제보다는 주로 심미적 불만족을 초래하며, 인접한 중절치와의 극심한 크기 대비로 인해 환자의 자신감에 상당한 영향을 미칩니다.
전통적으로 왜소측절치 치료는 비교적 간단한 것으로 간주되어 왔습니다. 작은 치아를 정상 크기로 확대하는 것이 주된 목표였고, 치아 삭제가 필요 없는 무삭제(no-prep) 접근법이 표준으로 여겨졌습니다. 그러나 실제 임상에서는 왜소측절치만의 문제가 아닌 복합적 요인들이 종종 존재하며, 이는 치료 난이도를 크게 증가시킵니다.
임상 케이스: 다중 난제의 통합 해결
환자 배경 및 치료 이력

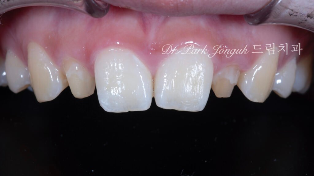
내원 환자는 과거 타 의료기관에서 왜소측절치에 대한 라미네이트 치료를 받은 이력이 있었으나, 조기 탈락(debonding)이 발생하여 재치료를 원했습니다. 초진 검사 결과 재치료를 복잡하게 만드는 여러 요인이 확인되었습니다.
복합적 임상 소견
1. 부적절한 기존 치아 준비 왜소측절치는 본질적으로 작은 치아이므로 치아 삭제가 불필요하거나 최소한이어야 합니다. 그러나 이 환자의 경우 이전 치료 시 과도한 치아 삭제가 시행된 상태였습니다. 이는 재치료 시 라미네이트 두께가 증가해야 함을 의미하며, 심미성과 접착 강도 측면에서 불리한 조건을 만듭니다.
2. 현저한 중절치 비대 왜소측절치와 대조적으로 중절치는 정상 범위를 상당히 초과하는 크기였습니다. 중절치:측절치 비율이 극심하게 불균형한 상태로, 단순히 측절치만 확대하면 오히려 부조화가 심화될 수 있는 케이스였습니다.
3. 비후된 치근 형태(Thick Root Morphology) 이 케이스의 가장 큰 도전 과제는 중절치의 치근이 상당히 굵다는 점이었습니다. 비후된 치근은 여러 임상적 어려움을 만듭니다:
- 치아 준비 시 어려움: 치근이 굵으면 전체 치아 구조가 두툼하여 삭제 저항이 크고, 원하는 형태를 만들기 위해 더 많은 시간과 정밀도가 요구됩니다.
- 심미적 과제: 치근이 굵으면 치경부(cervical area)가 두툼해 보이는 경향이 있습니다. 이는 자연스러운 치아 윤곽선 형성을 방해하고, 잇몸에서 치아가 출현하는 각도(emergence profile)를 부자연스럽게 만들 수 있습니다.
- 설계 복잡도 증가: 단순히 크기와 비율만이 아니라, 어떻게 시각적으로 자연스럽게 보이게 할 것인가라는 추가적 설계 과제가 발생합니다.
4. 재치료라는 제약 이미 한 번 치아 준비가 이루어진 상태에서의 재치료는 선택의 폭이 좁아지며, 더욱 신중한 계획이 필요합니다.
진단 및 치료 계획: 시각적 설계의 중요성
진단 시뮬레이션


“최소삭제를 위한 라미네이트 임상(박종욱 저)” 교과서에 기술된 통합 진단 접근법을 적용했습니다. 이 케이스에서는 특히 시각적 설계 단계가 중요했습니다.
현재 치아 상태를 디지털 사진으로 촬영한 후, 그래픽 소프트웨어를 사용하여 목표 형태를 그림으로 표현했습니다. 이 시각화 작업은 환자와의 소통뿐 아니라, 임상의와 기공사 간의 명확한 의사소통 도구로 작용합니다.
설계 원칙:
중절치 크기 조정의 필요성 왜소측절치만 무삭제로 확대하고 비대한 중절치를 그대로 두면, 전체 비율이 더욱 악화됩니다. 따라서 중절치에 대한 적절한 치아 준비가 필수적이라는 결론에 도달했습니다. 이는 “왜소측절치는 항상 무삭제”라는 단순한 공식에서 벗어나, 전체 치열을 고려한 맞춤형 접근의 필요성을 보여줍니다.
비율 최적화 목표 중절치와 측절치의 비율을 생리학적으로 이상적인 범위로 조정합니다. 지나치게 큰 중절치를 적절히 축소하고, 왜소한 측절치를 정상 크기로 확대하여 균형 잡힌 미소를 만듭니다.
비후 치근 대응 전략 굵은 치근으로 인한 구조적 제약은 물리적 형태 조정만으로 완전히 해결하기 어렵습니다. 따라서 색상 설계(color design)를 통한 시각적 해결이라는 추가 전략을 수립했습니다. 이는 뒤에서 자세히 설명합니다.
진단 왁스업: 3차원 설계 구현

디지털 설계를 바탕으로 실제 석고 모형에서 왁스업(diagnostic wax-up)을 제작했습니다. 왁스업은 최종 형태를 3차원으로 시뮬레이션하는 가장 정확한 방법입니다.
왁스업에서 확인한 사항:
- 각 치아의 최종 크기 및 형태
- 중절치와 측절치 간 비율 조화
- 치아 길이 및 폭의 적정성
- 치은선(gingival zenith)과의 관계
- 절단연(incisal edge) 곡선의 자연스러움
왁스업은 또한 실리콘 가이드(silicone index) 제작의 기초가 되어, 치아 준비 시 정확한 삭제 깊이를 통제할 수 있게 합니다.
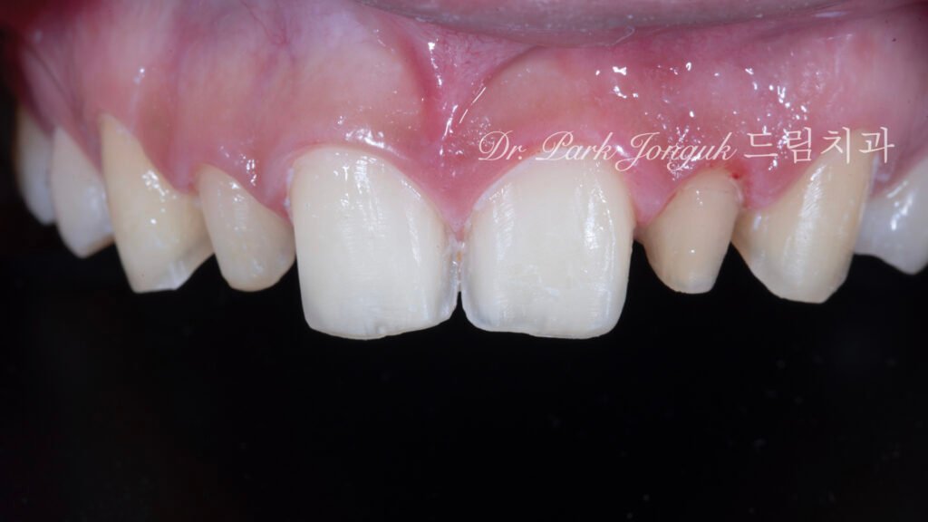
치아 준비: 개별화된 삭제 전략
차등 치아 준비 프로토콜

왁스업에서 수립된 계획에 따라 각 치아에 대해 다른 접근을 시행했습니다.
왜소측절치: 이미 과도하게 삭제된 상태였으므로 추가 치아 준비는 시행하지 않았습니다. 기존 치료의 과삭제는 매우 안타까운 부분이며, 이는 초기 치료 시 정밀 진단의 중요성을 다시 한번 강조합니다. 과삭제된 치아는 더 두꺼운 라미네이트가 필요하며, 이는 자연스러움을 저해할 수 있습니다.
중절치: 비대한 중절치의 크기를 줄이기 위해 표준보다 다소 많은 치아 준비가 필요했습니다. 비후된 치근으로 인해 치아 준비 자체의 난이도가 높았으며, 특히 치경부 윤곽을 자연스럽게 만드는 데 세심한 주의가 필요했습니다.
치경부 각도(cervical angle)는 치은에서 치아가 출현하는 모습을 결정하는 중요한 요소입니다. 비후 치근으로 인해 이 각도가 둔해지기 쉬운데, 이를 보정하기 위해 정밀한 형태 조정이 이루어졌습니다.
세라믹 설계: 색상을 통한 구조 보완
내부 특성화 기법: 옐로우 스테이닝
이 케이스의 핵심 기술적 해결책은 색상 설계를 통한 구조적 문제의 시각적 보완이었습니다.
자연 치아의 색상 해부학 자연 치아는 단일 색상이 아닙니다. 절단연에서 치경부로 갈수록 색조가 변화하며, 특히 치근 방향으로 갈수록 따뜻한 노란색 톤이 증가합니다. 이는 법랑질 두께가 얇아지면서 내부 상아질의 색이 더 많이 비치기 때문입니다.
옐로우 스테인의 적용 중절치의 치경부(잇몸 근처 영역)에 옐로우 스테인(yellow stain)을 전략적으로 적용했습니다. 이는 여러 효과를 만듭니다:
- 자연스러운 뿌리 형태 재현: 실제 치아처럼 치경부로 갈수록 색이 진해지는 그라데이션을 만들어 생물학적 사실성을 높입니다.
- 비후 치근의 시각적 보정: 굵은 치근으로 인한 두툼한 인상을, 색상 변화를 통한 시각적 깊이감으로 상쇄합니다. 약간 진한 톤은 그림자 효과를 만들어 윤곽을 더 자연스럽게 보이게 합니다.
- 입체감 부여: 단색 세라믹은 평면적으로 보이지만, 내부 특성화(internal characterization)를 통해 치아에 3차원적 깊이가 생깁니다.
제작 방법론 이러한 내부 특성화는 핸드메이드 다층 빌드업(hand-layered stratification) 기법에서만 가능합니다. 세라믹을 한 층씩 쌓는 과정에서 특정 층에 착색 세라믹(staining porcelain)을 적용하고, 그 위에 투명한 법랑질 층을 덮어 내부에서 색이 발현되는 효과를 만듭니다.
CAD/CAM 밀링 방식은 단일 블록에서 깎아내는 방식이므로 이러한 층별 색상 조절이 불가능합니다. 표면 스테이닝(surface staining)도 가능하지만, 내부 특성화만큼의 깊이감과 자연스러움을 구현하기 어렵습니다.
재료 선택 리튬 디실리케이트 세라믹을 사용했습니다. 이 재료는 다층 적층이 가능하면서도 우수한 광학 특성을 가지고 있어, 투명도와 색상 깊이를 동시에 구현할 수 있습니다. 그 위에 다양한 세라믹의 다층 적층을 진행하여 자연스러운 치아의 색감과 형태는 구현했습니다.
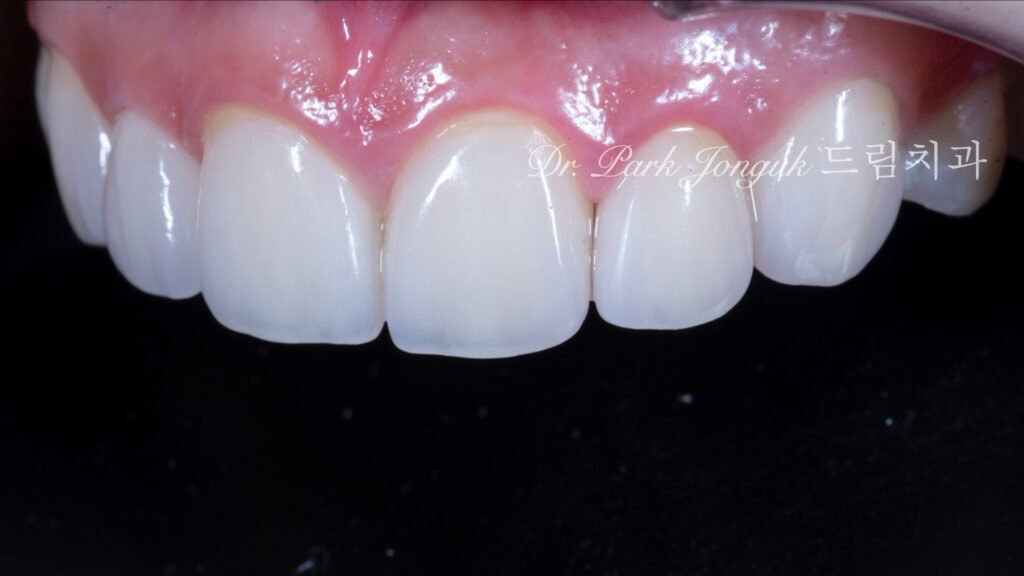
치료 결과 및 심미 분석
비율 조화의 달성



완성된 라미네이트는 초기 진단에서 설정한 모든 목표를 달성했습니다.
치아 간 비율: 왜소측절치는 정상 크기로 확대되었고, 비대했던 중절치는 적절한 크기로 축소되어 전체적으로 조화로운 비율이 만들어졌습니다. 중절치:측절치 비율이 생리학적 이상 범위에 도달하여, 더 이상 특정 치아가 유독 크거나 작아 보이지 않습니다.
비후 치근 문제의 해결: 중절치 치경부에 적용된 옐로우 스테인이 예상대로 작동했습니다. 굵은 치근으로 인한 두툼한 인상이 색상 그라데이션을 통해 자연스러운 뿌리 형태로 인식됩니다. 실제로 치근의 물리적 두께는 변하지 않았지만, 시각적으로는 자연 치아와 구별이 어려울 정도로 개선되었습니다.
심미적 통합: 전체적으로 인위적인 느낌 없이 자연스러운 치열로 보입니다. 치경부의 색상 변화, 표면의 미세한 질감, 적절한 투명도 등이 조화를 이루어 “라미네이트 했다”는 인식을 주지 않습니다.
기능적 평가
심미성뿐 아니라 기능적으로도 성공적이었습니다:
- 발음 장애 없음
- 저작 시 불편감 없음
- 교합 간섭 없음
- 치은 건강 유지
왜소측절치 치료의 임상적 의사결정
단순 케이스 vs 복합 케이스
단순 왜소측절치 케이스:
- 왜소측절치만의 문제
- 다른 치아는 정상 크기
- 무삭제 접근으로 충분
- 비교적 간단한 치료
복합 케이스 (이 케이스와 같은):
- 인접 치아의 크기 이상
- 구조적 해부학적 변이 (비후 치근 등)
- 기존 부적절한 치료 이력
- 전체 치열 고려한 통합 설계 필요
- 고난도 치료
중절치 조정의 필요성 판단
왜소측절치 치료 시 중절치도 함께 치료해야 하는 경우:
- 중절치가 정상 범위를 크게 초과하는 경우
- 측절치만 확대하면 비율 불균형이 심화되는 경우
- 전체 미소 폭이 부족한 경우
- 환자가 중절치 크기에 대해서도 불만이 있는 경우
왜소측절치만 치료해도 되는 경우:
- 중절치가 정상 크기인 경우
- 측절치 확대만으로도 충분한 비율 개선이 가능한 경우
- 환자가 최소 개입을 강하게 원하는 경우
전문가 Q&A
Q1. 왜소측절치는 항상 무삭제로 치료하나요?
A. 왜소측절치 자체는 대부분 무삭제로 접근합니다. 작은 치아이므로 삭제할 필요가 없기 때문입니다. 그러나 이 케이스처럼 인접한 중절치가 매우 크거나, 전체 치열의 조화를 고려해야 하는 경우, 중절치에 대한 치아 준비가 필요할 수 있습니다. 중요한 것은 “왜소측절치=무삭제”라는 단순 공식이 아니라, 전체 치열을 평가하는 종합적 접근입니다.
Q2. 비후된 치근은 왜 치료를 어렵게 만드나요?
A. 비후 치근(thick root)은 여러 측면에서 도전 과제를 만듭니다. 첫째, 치아 준비 시 저항이 커서 정밀한 형태 조정이 어렵습니다. 둘째, 치경부가 두툼해 보여 심미적으로 불리합니다. 셋째, 자연스러운 출현 각도(emergence profile)를 만들기 어렵습니다. 하지만 이 케이스처럼 색상 설계를 통해 시각적으로 보완할 수 있으며, 이는 물리적 제약을 예술적 해결책으로 극복하는 예입니다.
Q3. 옐로우 스테인이 변색처럼 보이지 않나요?
A. 전혀 그렇지 않습니다. 자연 치아를 자세히 관찰하면 뿌리 쪽으로 갈수록 약간 노란 톤이 강해지는 것을 볼 수 있습니다. 이는 병적 변색이 아니라 정상적인 생물학적 특성입니다. 옐로우 스테인은 이러한 자연스러운 색조 변화를 재현하는 것이므로, 오히려 더욱 사실적으로 보이게 만듭니다. 핵심은 적절한 강도와 위치에 적용하는 기술이며, 이는 숙련된 세라미스트의 경험에 의존합니다.
Q4. 재치료 시 이미 삭제된 치아는 문제가 되나요?
A. 이미 치아 준비가 된 상태는 재치료 시 제약이 될 수 있습니다. 특히 이 환자처럼 과도하게 삭제된 경우, 더 두꺼운 라미네이트가 필요하며 이는 자연스러움을 저해할 수 있습니다. 또한 법랑질이 많이 손실되어 상아질이 노출된 경우 접착 강도가 감소할 수 있습니다. 따라서 초기 치료 시 정밀 진단을 통해 적절한 치아 준비를 하는 것이 매우 중요합니다. 재치료는 가능하지만 초기 치료보다 어렵고 제약이 많습니다.
Q5. 왜소측절치 치료 시 왁스업이 필수인가요?
A. 절대적으로 필수입니다. 특히 복합 케이스의 경우 더욱 그렇습니다. 왁스업 없이는 최종 크기와 형태를 정확히 예측할 수 없고, 중절치와의 비율을 객관적으로 평가하기 어렵습니다. 또한 왁스업은 환자와의 소통 도구이기도 합니다. 왜소측절치를 얼마나 크게 만들 것인지, 중절치와의 조화는 어떨지를 3차원 모형으로 확인함으로써 환자의 기대와 임상 결과 간 괴리를 줄일 수 있습니다.
결론: 개별화와 창의성의 조화
왜소측절치 치료는 겉보기에는 간단해 보이지만, 실제로는 전체 치열과의 조화, 인접 치아의 상태, 환자의 해부학적 특성을 모두 고려해야 하는 복합적 과정입니다.
이 케이스는 여러 중요한 임상 원칙을 보여줍니다:
전체론적 접근(Holistic Approach): 왜소측절치만 보는 것이 아니라 전체 치열의 조화를 고려합니다.
개별화된 계획(Individualized Planning): “왜소측절치=무삭제”라는 획일적 공식이 아니라, 각 환자의 특성에 맞춘 맞춤형 전략을 수립합니다.
창의적 문제 해결(Creative Problem Solving): 비후 치근처럼 물리적으로 바꾸기 어려운 문제를 색상 설계라는 예술적 해결책으로 극복합니다.
정밀 진단의 가치(Value of Precision Diagnosis): 왁스업과 시각적 설계를 통해 예측 가능한 결과를 만듭니다.
20년간 라미네이트 전문 진료를 수행하고 “최소삭제를 위한 라미네이트 임상” 교과서를 집필하며 라미스타 아카데미에서 전국 치과의사들을 교육해온 경험에서 확신하는 것이 있습니다:
“단순해 보이는 케이스일수록 세심한 계획이 필요하고, 복잡한 케이스일수록 창의적 해결책이 빛을 발한다.”
왜소측절치 치료는 과학과 예술, 정밀함과 창의성이 만나는 지점입니다.
저자 정보
박종욱 원장, 드림치과
- 라미네이트 전문 진료 20년
- “최소삭제를 위한 라미네이트 임상” 저자
- 라미스타 아카데미 설립자 및 정기 강사
- 전문 분야: 왜소측절치, 복합 비율 조정, 색상 설계
- 위치: 서울 강남구 압구정동