[Aesthetic Report] 왜소치와 남성적 치아 라인의 여성스러운 복원: 앞니 라미네이트의 이미지 메이킹 전략

2026년 02월 24일

왜소치라미네이트, 여성스러운라미네이트, 앞니라미네이트, PegLateral, 최소삭제라미네이트, 박종욱원장, 압구정드림치과, 보존과전문의, 심미보철진단, 라미네이트잘하는곳, 치아디자인, 핸드메이드보철
작성자: 박종욱 (D.D.S., Ph.D. / 보존과 전문의, 드림치과 대표원장) 핵심 키워드: 왜소치라미네이트, 여성스러운라미네이트, 앞니라미네이트, 미학적복원, 보존치료 1. 서론: 치아의 형태가...
Read more

무삭제 라미네이트 (No-Prep Veneer): 10대 왜소치 및 벌어진 치아 치료를 위한 전문가의 3대 원칙

2025년 12월 12일

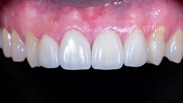
왜소치 무삭제 라미네이트
Author: 박종욱 (D.D.S., M.S. / 치과 보존과 전문의) Experience: 28년 치과의사 경력, 20년 앞니 심미 치료 집중 1. 서론: 윤리적...
Read more

왜소측절치 라미네이트: 비대칭 치아 크기와 치근 형태를 고려한 통합 치료

2025년 11월 14일

왜소측절치-라미네이트-완성
왜소측절치의 임상적 특성과 치료 과제 왜소측절치(peg lateral incisors)는 선천적으로 측절치가 원추형으로 작게 형성된 치아 발육 이상입니다. 유병률은 약 1-2%로 비교적...
Read more

앞니 크라운 재치료와 왜소치 무삭제 라미네이트

2025년 10월 21일

자연스로운 올세라믹 크라운 재시술과 왜소치에 대한 무삭제 라미네이트
자연스러운 조화를 되찾은 심미치료 사례 PFM 크라운으로 인한 잇몸 변색과 왜소치 문제, 신경치료 후 염증까지 복합적으로 나타난 케이스.드림치과 박종욱 원장이...
Read more

왜소치와 기형치를 자연스럽게 복원한 라미네이트 치료

2025년 10월 18일

자연스럽고 아름다운 라미네이트
드림치과 박종욱 원장이 전하는 심미치료의 정수 기형치와 왜소치로 오랜 시간 미소를 감추던 50대 여성 환자.라미네이트에 대한 두려움과 잘못된 정보로 치료를...
Read more