앞니 크라운 재치료와 왜소치 무삭제 라미네이트

자연스러운 조화를 되찾은 심미치료 사례

PFM 크라운으로 인한 잇몸 변색과 왜소치 문제, 신경치료 후 염증까지 복합적으로 나타난 케이스.
드림치과 박종욱 원장이 올세라믹 크라운과 무삭제 라미네이트로
자연스럽고 건강한 미소를 회복시킨 과정을 소개합니다.


서론|오래된 크라운이 불러온 잇몸의 변색

오래전에 치료받은 크라운이 시간이 지나면서 잇몸색을 어둡게 만드는 경우가 많습니다.
특히 금속이 들어간 PFM 크라운은 빛 투과가 막혀
치아가 회색빛으로 보이고 잇몸 경계가 검게 변하는 현상이 쉽게 나타납니다.

이번 환자분은 앞니 두 개를 PFM 크라운으로 치료받은 지 오랜 시간이 흘러,
잇몸이 어둡게 변하고 치아 사이가 벌어진 상태로 내원하셨습니다.
또한 앞니 신경치료 부위에는 염증이 생겨
심미뿐 아니라 기능적으로도 문제가 있던 케이스였습니다.

양쪽 측절치(앞니 옆 치아)는 선천적으로 작아
전체적인 미소의 균형이 무너져 있었죠.

그래서 앞니 두 개는 올세라믹 크라운으로 재제작,
양쪽 측절치는 무삭제 라미네이트로 자연스럽게 조화를 맞추는 계획을 세웠습니다.


치료 과정

1️⃣ 치료 전 상태

PFM 크라운과 왜소치 상태로 내원


앞니는 벌어져 있고 측절치는 왜소치로 작았습니다.
PFM 크라운의 금속이 잇몸을 어둡게 만들었고
전체적인 인상이 무겁고 어색해 보였어요.

2️⃣ 왁스업 정밀진단

왁스업 정밀진단


초기 계획은 앞니 두 개만 재치료하는 것이었지만,
진단 도중 환자분이 “양옆의 왜소치도 같이 고치고 싶다”고 하셔서
치료 도중 계획을 변경했습니다.
왜소치 부위에는 무삭제 라미네이트를 적용하기로 했습니다.

3️⃣ 기존 크라운 제거 후 상태

PFM 저게한 상태


올세라믹으로 교체하기 위해 기존 크라운을 제거하자
잇몸 쪽이 어두운 부분은 없어졌습니다.

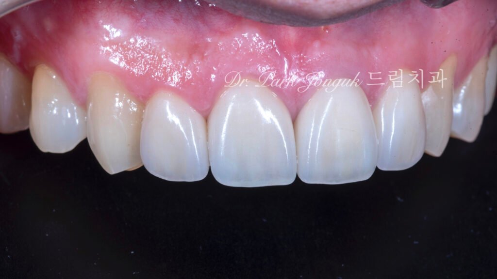
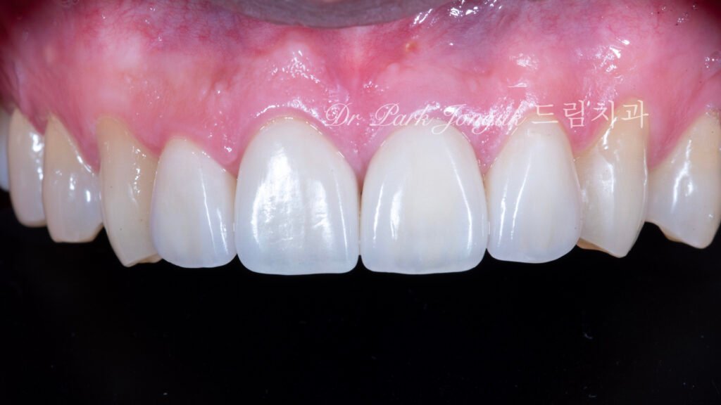
4️⃣ 치료 후 완성

자연스로운 올세라믹 크라운 재시술과 왜소치에 대한 무삭제 라미네이트

새로운 올세라믹 크라운과 무삭제 라미네이트가 완성되었습니다.
서로 다른 치료 방식이지만, 색감과 투명감을 완벽히 맞추기 위해
세라믹을 층층이 쌓는 ‘빌드업’ 기법을 사용했습니다.

그 결과, 잇몸 경계선까지 자연스럽게 이어지고
빛 반사가 실제 치아처럼 투명하게 표현되었습니다.
환자분의 미소는 훨씬 밝고 부드러워졌으며,
어두웠던 잇몸 톤도 시간이 지나면서 정상적으로 회복되었습니다.


결론|자연스러움은 정성에서 완성된다

라미네이트나 크라운은 단순히 ‘하얗게 만드는 시술’이 아닙니다.
얼굴과 미소의 조화를 설계하는 정밀한 작업입니다.

특히 오래된 금속 크라운(PFM)은 잇몸 변색, 심미적 불균형의 원인이 되기 때문에
올세라믹 크라운으로 교체하는 것이 가장 이상적입니다.

또한 왜소치작은 치아의 경우에는
무삭제 라미네이트로 크기와 비율을 조정해 자연스러운 라인을 만들 수 있습니다.

드림치과 박종욱 원장은 20년간 라미네이트 임상에 집중해온
치과보존과 전문의이자 『최소삭제를 위한 라미네이트 임상』의 저자입니다.
라미스타 아카데미(Lamista Academy) 디렉터로서
치과의사 대상 심미치료 교육을 지속적으로 진행하고 있습니다.

정확한 진단과 세심한 제작이 만날 때,
비로소 자연스럽고 아름다운 미소가 완성됩니다.


Q&A

Q1. 오래된 금속 크라운(PFM)은 꼭 교체해야 하나요?
→ 시간이 지나면 잇몸이 어두워지고 염증이 생길 가능성이 높기 때문에
심미와 건강을 위해 교체를 권장합니다.

Q2. 무삭제 라미네이트와 크라운 색이 달라 보이지 않나요?
→ 드림치과에서는 여러 종류의 세라믹을 겹겹이 쌓는 빌드업 기법으로
두 재료의 색감과 투명도를 완벽히 맞춥니다.

Q3. 왜소치는 교정 없이도 가능하나요?
→ 네, 가능합니다.
무삭제 라미네이트로 형태를 자연스럽게 조정할 수 있습니다.

Q4. 신경치료 부위에도 라미네이트를 할 수 있나요?
→ 가능합니다. 다만 염증이 있을 경우 반드시 재치료 후 진행해야 합니다. 치아의 변색이 심한 경우라면 올세라믹 크라운을 추천합니다.