앞니 라미네이트(Anterior Veneers)로 자연스럽게 변신한 30대 남성 케이스

교정 후에도 심미적으로 아쉬운 앞니, 라미네이트로 개선 가능할까요? 압구정 라미네이트 전문 28년 경력 치과의사가 30대 남성의 최소 삭제(Minimal Preparation) 앞니 라미네이트 케이스를 공개합니다.

교정만으로는 부족한 심미성(Aesthetics)

안녕하세요. 압구정에서 20년간 라미네이트 전문 진료를 해온 치과의사입니다.

“교정은 이미 했는데, 뭔가 아쉬워요.” 이런 고민으로 내원하시는 분들이 많습니다. 특히 남성 환자(male patients)분들은 과하게 하얗거나 인공적인 것은 원하지 않으시면서도, 자연스럽게 정돈된 느낌을 바라십니다.

30대 남성 환자의 고민

이번 환자분은 30대 남성으로, 이미 교정 치료(orthodontic treatment)를 완료한 상태였습니다. 치열(tooth alignment)은 가지런했지만 심미적으로는 여전히 아쉬움이 남아있었습니다. 좀 더 정돈되고 개선된 느낌을 원하셨고, 무엇보다 치아 삭제(tooth reduction)는 최소한으로 하면서 자연스러운 결과를 바라셨습니다.

남성 라미네이트(masculine veneers)의 특징:

  • 각진 윤곽선(angular contours) 유지
  • 힘있는 라인
  • 자연스러운 색상(natural shade)
  • 남성다운 강인함 표현

단순히 예쁘게가 아니라, 남자답게 멋있게 만드는 것이 핵심입니다.


정밀 진단(Diagnostic Analysis): 문제점 파악

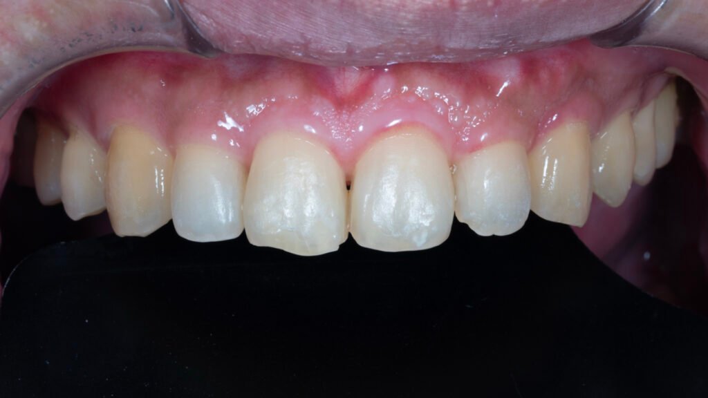
초진 상태 분석

앞니 라미네이트

환자분의 치아는 전체적으로 큰 편이었고, 치열은 나쁘지 않았지만 심미적으로는 아쉬움이 많았습니다(사진1).

중요한 포인트: 치열이 가지런하다고 해서 무조건 아름다운 것은 아닙니다.

발견된 문제점:

  • 치아 형태(tooth shape)가 조화롭지 않음
  • 색상(color)이 고르지 않음
  • 치아 끝 라인(incisal edge line)이 불규칙
  • 표면 질감(surface texture)이 거침
  • 전체적으로 정돈되지 않은 느낌

교정(orthodontics)은 치아의 위치를 바로잡는 것이고, 앞니 라미네이트는 치아의 형태와 색상, 질감까지 개선하는 것입니다.

치아 분석 및 치료 계획

앞니 라미네이트

치아 분석을 진행했습니다(사진2). 치아는 평균보다 큰 편이어서 더 커지면 안 되는 상태였습니다. 따라서 미세한 삭제가 필요했습니다.

치료 목표(treatment goals):

  • 치아 크기 유지 또는 약간 감소
  • 치아 끝 라인 정렬
  • 남성적인 각진 느낌 유지
  • 자연스러운 색상과 질감 구현
  • 최소 삭제 원칙(minimal preparation principle)

왁스업(Wax-up)과 치료 과정

시뮬레이션으로 결과 예측

앞니 라미네이트

왁스로 치아 모양을 만들어 최종 결과를 예측했습니다(사진3). 가능한 한 치아가 커지지 않게 하고 얼굴과의 균형(facial harmony)을 유지하면서, 건강한 치아 조직을 보존하기 위해 필요한 부분만 삭제하는 보존적 접근(conservative approach)을 택했습니다.

왁스업의 중요성:

  • 최종 결과 사전 확인
  • 환자-의사 간 명확한 의사소통
  • 치료 계획 수립
  • 만족도 향상

최소 삭제로 진행

앞니 라미네이트

치아 삭제 후의 모습입니다(사진4). 치아 사이 부분(interproximal area)만 최소한으로 삭제했고, 전체 치아 표면은 거의 삭제하지 않았습니다.

최소 삭제의 장점:

  • 법랑질(enamel) 최대한 보존
  • 치아 수명 연장
  • 시린 증상(sensitivity) 예방
  • 장기적 치아 건강
  • 재치료 시 유리

이 케이스는 치아가 이미 큰 편이라 무삭제(no-prep)는 불가능했지만, 치아 사이만 최소 삭제하여 크기는 유지하면서도 라미네이트 공간을 확보했습니다.


핸드메이드 빌드업(Hand-Layered Build-Up) 제작

원내 기공실(In-House Laboratory)의 장점

앞니 라미네이트

원내 기공실에서 제작된 라미네이트는 자연스럽고 다양한 색감이 잘 표현되어 있습니다(사진5).

제작 특징:

  • 단일 색상이 아닌 다층 구조(multi-layered structure)
  • 부위마다 다양한 색상 변화
  • 깊이감 있는 표현(depth perception)
  • 불투명한 중심부(opaque core)
  • 투명한 법랑질층(translucent enamel layer)
  • 치아 끝 투명감(incisal translucency)

남성적 특징 구현:

  • 너무 밝지 않은 자연스러운 톤
  • 약간의 따뜻한 느낌
  • 인공적이지 않은(non-artificial) 색상

이것이 핸드메이드 빌드업 방식의 장점입니다. 원데이(same-day) 방식이나 단일 세라믹(monolithic ceramic) 방식으로는 이런 다채로운 표현이 불가능합니다.


최종 결과(Final Result): 디테일의 완성

자연스러운 변화

앞니 라미네이트
앞니 라미네이트
앞니 라미네이트

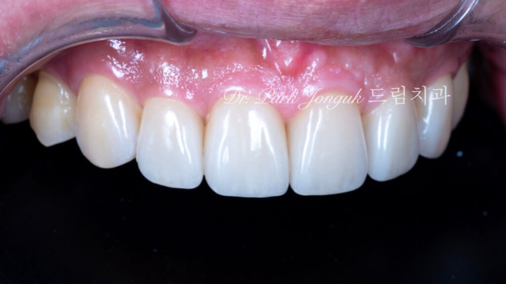
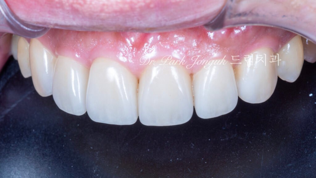
라미네이트 세팅을 완료한 모습은 놀라운 변화를 보여줍니다(사진6, 7, 8).

Before vs After:

치료 전:

  • 불규칙한 치아 끝 라인
  • 거친 표면
  • 불균일한 색상
  • 정돈되지 않은 느낌

치료 후:

  • 가지런한 치아 끝 라인
  • 세련된 표면 질감
  • 조화로운 색상(harmonious color)
  • 정돈되고 세련된 인상

케이스의 핵심: 치아 크기는 거의 변하지 않았지만, 형태와 라인, 색상, 질감의 개선으로 전체적인 조화와 균형이 만들어졌고, 자연스러우면서도 남성적인(masculine yet natural) 느낌이 살아났습니다.

표면 텍스처(Surface Texture)의 예술성

앞니 라미네이트

치아 표면의 텍스처 표현도 상당히 다채롭게 되었습니다(사진9).

구현된 디테일:

  • 발육엽(development lobes) 재현
  • 미세한 수평선(perikymata) 표현
  • 자연스러운 마모 패턴(wear pattern)
  • 입체적인 표면 구조

자연 치아처럼 미세한 질감이 있어야 진짜 치아같이 보입니다. 매끄럽고 반짝반짝한 표면은 오히려 인공적입니다.


성공적인 남성 앞니 라미네이트의 조건

1. 자연스러움(Naturalness)

남성분들이 가장 걱정하시는 부분은 “너무 하얗게 되는 거 아니에요?”, “인공적으로 보이지 않을까요?” 같은 것들입니다.

우리의 접근:

  • 자연스러운 톤 유지
  • 남성적인 형태 강조
  • 각진 느낌 살림
  • 과한 미백(excessive whitening) 지양

2. 얼굴과의 조화(Facial Harmony)

치아만 보고 만들면 안 됩니다.

고려 사항:

  • 얼굴 형태(facial shape)
  • 입술 두께와 모양(lip line)
  • 피부 톤(skin tone)
  • 전체적인 인상
  • 연령대와 직업

30대 남성이라면 세련되고 신뢰감 있는 느낌(sophisticated and trustworthy appearance)으로 만들어야 합니다.

3. 디테일의 완성도(Detail Perfection)

형태(Shape):

  • 중절치와 측절치의 황금 비율(golden proportion)
  • 좌우 대칭성(symmetry)
  • 치아 끝 라인의 조화

색상(Color):

  • 부위별 색상 변화
  • 깊이감 있는 표현
  • 자연스러운 투명도(translucency)

질감(Texture):

  • 표면 텍스처
  • 빛 반사 특성(light reflection)
  • 입체감(three-dimensional depth)

결론: 디테일이 만드는 차이

28년간 수많은 남성 환자분들의 앞니 라미네이트를 해오면서 확신하게 된 것이 있습니다.

제대로 된 라미네이트는 삶의 질(quality of life)을 바꿉니다:

  • 비즈니스 미팅에서 자신감(confidence)
  • 사진 찍을 때 당당함
  • 대화할 때 편안함
  • 일상에서 만족감

과하지 않게, 자연스럽게, 하지만 확실하게 개선되는 것, 그것이 남성 앞니 라미네이트의 목표입니다. 치열이 가지런한 것과 심미적으로 아름다운 것은 다릅니다. 디테일이 모든 차이를 만듭니다.


FAQ – 자주 묻는 질문

Q1. 남성도 앞니 라미네이트를 많이 하나요?

A. 네, 최근 5년 사이 남성 환자 비율이 급격히 증가했습니다. 현재 전체 환자의 40% 가까이가 남성입니다. 특히 30-40대 직장인, 사업가, 전문직 종사자분들이 많습니다. 자연스럽게 하면 아무도 모르고, 오히려 “인상이 좋아졌다”는 말을 듣게 됩니다.

Q2. 교정을 이미 했는데도 라미네이트가 필요한가요?

A. 네, 교정과 라미네이트는 목적이 다릅니다. 교정은 치아의 위치(tooth position)를 바로잡는 것이고, 라미네이트는 치아의 형태(shape), 색상(color), 질감(texture)을 개선하는 것입니다. 치열이 가지런한 것과 심미적으로 아름다운 것은 다른 차원입니다.

Q3. 치아를 많이 깎아야 하나요?

A. 최소 삭제 원칙을 지키면 문제없습니다. 우리는 치아 사이 부분만 최소한으로 삭제하고, 전체 표면은 거의 건드리지 않습니다. 법랑질 범위 내에서 안전하게 진행하므로 시린 증상이나 신경 손상(nerve damage) 위험이 없습니다.

Q4. 핸드메이드 빌드업과 원데이의 차이는?

A. 완전히 다릅니다. 원데이는 기계가 2-3시간 만에 단일 색상으로 만들지만, 핸드메이드 빌드업은 며칠에 걸쳐 여러 층의 세라믹을 손으로 쌓아 다채로운 표현을 만듭니다. 자연스러움의 차원이 다릅니다.

Q5. 얼마나 오래 사용할 수 있나요?

A. 관리만 잘하시면 15-20년 이상 사용 가능합니다. 20년 전에 해드린 환자분들도 여전히 문제없이 사용 중입니다. 6개월마다 정기 검진(regular check-up)을 받으시고, 앞니로 딱딱한 것을 깨물지 않으시며, 이갈이(bruxism)가 있으면 나이트가드(night guard)를 착용하시면 평생 갈 수도 있습니다.