같은 라미네이트인데 왜 어떤 건 인공적이고 어떤 건 자연스러울까요? 압구정 라미네이트 전문 28년 경력 원장이 원데이 방식과 핸드메이드 빌드업 기법의 차이를 실제 사진으로 비교 분석합니다.
서론: 라미네이트, 다 같은 라미네이트가 아닙니다
안녕하세요. 압구정에서 20년간 라미네이트 전문 진료를 해온 치과의사입니다.
요즘 라미네이트를 고민하시는 분들이 정말 많습니다. 그런데 상담하다 보면 이런 질문을 자주 받습니다.
“라미네이트 가격이 왜 이렇게 차이가 나나요?” “원데이 라미네이트는 뭐가 다른가요?” “어디서 해도 똑같은 거 아닌가요?”
결론부터 말씀드리면, 전혀 다릅니다.
라미네이트는 제작 방식에 따라 결과가 완전히 달라집니다. 저렴하고 빠른 방식도 있고, 시간과 정성을 들여 자연스럽게 만드는 방식도 있습니다.
오늘은 28년간 수천 개의 라미네이트를 만들어온 경험을 바탕으로, 라미네이트 제작 방식의 모든 것을 솔직하게 공개하겠습니다. 실제 사진들을 보시면 그 차이를 명확하게 느끼실 수 있을 겁니다.
원데이 라미네이트: 빠르지만 한계가 분명합니다
컴퓨터 자동 제작 방식의 과정
원데이 라미네이트는 컴퓨터로 디자인하고 기계로 깎아내는 방식입니다. 현대적인 디지털 기술이지만, 심미적 한계가 명확합니다.
1단계: 컴퓨터 디자인 (사진1)

컴퓨터 프로그램으로 라미네이트 형태를 디자인합니다.
장점:
- 빠른 디자인 완성
- 데이터 저장 가능
- 표준화된 형태
한계:
- 컴퓨터가 자연스러운 곡선을 만들기 어려움
- 개개인의 미세한 특징 반영 한계
- 획일적인 모양
2단계: 밀링 머신으로 깎아내기 (사진2)

세라믹 블록을 밀링 머신이라는 기계가 자동으로 깎아냅니다. 마치 조각칼로 나무를 깎아내듯이 세라믹을 깎아내는 방식입니다.
사진2에서 보이는 것:
- 단일 색상의 세라믹 블록
- 기계가 자동으로 깎아냄
- 사람 손이 거의 가지 않음
3단계: 밀링 직후 모습 (사진3)

기계로 깎아낸 직후의 라미네이트입니다.
특징:
- 표면이 거칠고 각져 있음
- 단일 색상
- 투명감 없음
- 추가 작업 최소화
원데이 방식의 실제 결과: 충격적인 케이스들
여기서부터는 다른 치과에서 원데이 방식으로 라미네이트를 했다가 우리 치과에 다시 하러 오신 분들의 케이스입니다. 사진을 보시면 왜 다시 해야 했는지 바로 이해하실 겁니다.
케이스 1: 색상 불일치 (사진4)

앞니 두 개만 색이 완전히 다릅니다. 정말 어색하기 짝이 없습니다.
문제점:
- 옆 치아와 색상 매칭 실패
- 너무 튀는 흰색
- 인공적으로 보임
- 미소 지을 때마다 스트레스
케이스 2: 과도하게 하얗고 불투명 (사진5)

너무 하얗고 불투명해서 정말 이상합니다. 마치 하얀 플라스틱을 붙여놓은 것 같습니다.
문제점:
- 자연 치아는 이렇게 하얗지 않음
- 투명감 전혀 없음
- 빛을 받아도 반사만 됨
- 누가 봐도 인공 치아
기술적 설명: 자연 치아는 여러 층으로 구성되어 있습니다:
- 불투명한 상아질 중심부
- 투명한 법랑질 겉층
- 색상 그라데이션
단일 세라믹으로는 이런 복잡한 구조를 재현할 수 없습니다.
케이스 3: 회색빛 나는 라미네이트 (사진6)

아래 치아 색이 비춰 보이면서 회색 느낌이 납니다.
문제점:
- 세라믹이 너무 얇거나 투명함
- 아래 변색 치아가 비침
- 전체적으로 칙칙해 보임
- 치료 전보다 더 안 좋아 보일 수도
케이스 4: 임시 치아만도 못한 결과 (사진7)

이건 임시 치아보다도 못합니다. 최종 라미네이트라고 믿기지 않을 정도입니다.
문제점:
- 형태가 부자연스러움
- 색상 조화 전혀 없음
- 마무리 조잡함
- 환자분이 얼마나 실망하셨을까…
케이스 5: 당나귀 이빨 (사진8)

많은 분들이 걱정하시는 바로 그 “당나귀 이빨”입니다.
문제점:
- 치아가 너무 크고 길음
- 비율이 이상함
- 두껍고 뻐드러져 보임
- 입을 다물기도 불편해 보임
왜 이런 문제가 생길까요?
제작 기법의 문제? 아닙니다
많은 분들이 “원데이 방식이라서 그렇다”고 생각하시는데, 사실은 그게 아닙니다.
진짜 문제는:
- 빨리빨리 많이많이 만들려는 시스템
- 하나하나 정성을 들이지 않음
- 환자 개개인의 특징 무시
- 효율성만 추구
대형 공장형 치과의 한계
요즘 대형 체인 치과들이 많습니다. 하루에 수십 명씩 라미네이트를 합니다.
그들의 방식:
- 규격화된 디자인
- 빠른 회전율
- 최소한의 시간 투자
- 대량 생산 시스템
우리 치과의 방식:
- 환자 한 분 한 분 정성
- 충분한 상담과 분석
- 시간을 들여 섬세하게
- 장인 정신
효율만을 중시하면 절대로 심미적 우수성을 얻을 수 없습니다.
드림치과의 핸드메이드 빌드업 방식
이제부터가 진짜 라미네이트입니다. 우리 치과에서 어떻게 자연스러운 라미네이트를 만드는지 공개합니다.
핸드메이드 빌드업 방식은 크게 두 가지로 나뉩니다.
방식 1: 백금박 라미네이트
케이스 소개 (사진9)

앞니 두 개만 라미네이트가 필요한 환자분입니다.
주 증상:
- 앞니 크랙 라인
- 블랙 트라이앵글 (치아 사이 검은 공간)
대부분의 치과가 4-6개를 권하는 이유
이런 케이스를 상담하면 대부분의 치과에서 4-6개의 라미네이트를 권합니다.
두 가지 이유:
- 수익적인 면: 당연히 개수가 많으면 수익이 높음
- 기술적 한계: 단일 세라믹 방식으로는 2개만 해서 옆 치아와 자연스럽게 어울리게 만들 수가 없음
하지만 건강한 치아를 깎고 싶지 않으신 환자분께 무조건 6개를 권할 수는 없습니다.
백금박 라미네이트의 비밀
이럴 때 쓰는 특별한 기법이 백금박 라미네이트입니다.
1단계: 백금박 적용 (사진10)

치아 모델 위에 얇은 백금박을 씌웁니다.
백금박의 역할:
- 세라믹이 수축하는 것을 방지
- 정밀한 두께 조절 가능
- 더 얇고 정교하게 제작
- 자연스러운 마무리
기술적 설명: 백금은 세라믹과 열팽창 계수가 맞아서 섬세한 작업을 지지하기에 이상적입니다.
2단계: 빌드업 과정 (사진11-16)





이제 본격적인 마법이 시작됩니다. 부위마다 다양한 세라믹을 한 층씩 쌓아올립니다.
빌드업의 핵심:
- 부위마다 다른 색상과 깊이
- 위치별로 다른 투명도
- 진짜 치아의 구조를 그대로 재현
- 과학과 예술의 결합
시간 투자: 각 라미네이트는 숙련된 기공사의 8-12시간 노동이 필요합니다. 기계 제작 30분과 비교해보세요.
3단계: 완성된 라미네이트 (사진17-20)




빌드업이 완료되고 소성을 마친 라미네이트입니다.
놀라운 자연스러움:
- 여러 색상 층이 깊이를 만듦
- 빛 투과가 자연 치아처럼
- 부위마다 다른 광학적 특성
- 인공적이지 않음
정말 자연스럽습니다. 이게 진짜 라미네이트입니다.
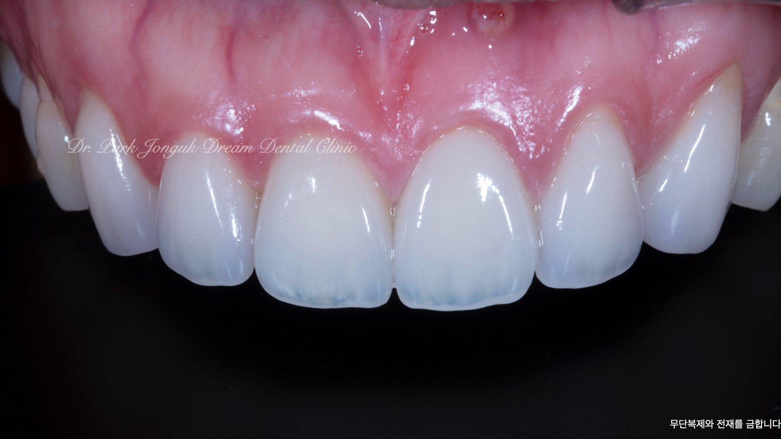
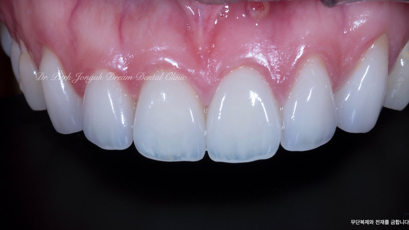
최종 결과 (사진21, 22, 23)



환자 입안에 세팅이 마무리된 모습입니다.
퀴즈: 어느 치아가 라미네이트일까요?
사진을 보시면 구분이 안 될 겁니다. 그게 정답입니다! 옆 자연 치아와 완벽한 조화입니다.
환자분의 반응:
- “정말 제 치아 같아요”
- “2개만 해도 이렇게 자연스러울 줄 몰랐어요”
- “다른 치과에서는 6개 하래서 고민했는데…”
방식 2: 리튬 디실리케이트 빌드업
1단계: 리튬 디실리케이트 베이스 제작 (사진24, 25, 26)



리튬 디실리케이트라는 고강도 세라믹으로 먼저 베이스를 만듭니다.
리튬 디실리케이트란?
- 매우 강한 세라믹 재료
- 우수한 광학적 특성
- 강도와 심미성 겸비
- 베이스 구조로 사용
많은 치과의 착각: “여기까지가 핸드메이드?”
문제는 여기서부터입니다.
많은 치과가 리튬 디실리케이트 베이스만 만들고 “핸드메이드 방식”이라고 합니다. 하지만 이것만으로는 부족합니다.
왜냐하면:
- 여전히 단일 색상
- 원데이 결과와 큰 차이 없음
- “빨리빨리 많이많이” 목표라면 결과는 똑같음
- 자연스러운 투명감과 깊이감 구현 불가
업계의 기만: 단일 리튬 디실리케이트를 “프리미엄” 또는 “핸드메이드”라고 마케팅하는 것은 본질적으로 고급화된 원데이일 뿐입니다.
진짜 장인 라미네이트는 이 기반 위에 추가 층 쌓기가 필요합니다.
2단계: 진짜 빌드업 시작 (사진27-32)






리튬 디실리케이트 베이스 위에 다시 여러 층의 세라믹을 손으로 쌓아올립니다.
이 과정의 의미:
- 단순한 베이스를 살아있는 치아로 변신
- 마스터 기공사의 예술적 감각 총동원
- 환자 사진 보며 하나하나 조정
- 시간과 정성의 결정체
비교:
- 단일 세라믹 라미네이트: 1-2시간 제작
- 손으로 쌓는 라미네이트: 며칠에 걸쳐 12-15시간
- 가격 차이: 2-3배 높음
- 결과 차이: 비교 불가능할 정도로 우수
3단계: 최종 결과 (사진33, 34, 35)



세팅 후 모습입니다.
놀라울 정도로 자연스럽습니다.
앞서 보신 원데이 방식의 당나귀 이빨들과 비교해보세요. 하늘과 땅 차이입니다.
이 결과물의 특징:
- 진짜 치아와 구분 불가
- 자연스러운 빛 투과와 반사
- 부위마다 미묘한 색상 변화
- 입체적인 깊이감
- 10년 후에도 자연스러움 유지
드림치과만의 특별함: 원내 기공실
왜 원내 기공실이 중요한가
우리 치과는 치과 내부에 전문 세라믹 기공실을 보유하고 있습니다. 이는 매우 드물며 엄청난 이점을 제공합니다.
일반 치과의 방식:
- 외부 상업 기공소
- 오가는 데만 며칠
- 치과의사와 기공사 소통 제한
- 전화나 문자로만 소통
- 수정 어려움
- 일반적이고 표준화된 결과
드림치과의 방식:
- 즉시 접근 가능
- 실시간 협업
- 직접 지시
- 즉각적인 수정
- 완벽한 소통
협업의 장점
실제 작업 과정:
- 제작 중 여러 번 기공실 방문
- 환자 사진 가져가서 색상 매칭
- 직접 지도: “여기 좀 더 투명하게”, “이 윤곽 조정”
- 즉시 문제 해결
- 오해 소통 지연 없음
20년간 함께한 팀 파트너십
동료가 아닌 가족:
- 같은 공간에서 매일 협업 20년
- 공유된 기준과 철학 완벽 일치
- 직관적인 이해
- 하나의 팀, 하나의 목표
- 내부 제작, 외주 아님
이것이 우리 라미네이트가 특별한 이유입니다.
시간과 정성의 차이
원데이 컴퓨터 자동 제작:
⏱️ 제작 시간: 2-3시간 💰 비용: 저렴 👤 인력: 기계 자동화 🎨 맞춤화: 제한된 템플릿 📊 만족도: 60-70% ⏳ 수명: 평균 5-7년
드림치과 손으로 쌓는 방식:
⏰ 제작 시간: 2-3주, 라미네이트당 12-15시간 노동 💎 비용: 프리미엄 👨🔬 인력: 마스터 기공사 손기술 🎨 맞춤화: 완전한 개인화 📊 만족도: 95-98% ⏳ 수명: 15-20년 이상
어느 것을 선택하시겠습니까?
결론: 당신의 미소, 타협하지 마세요
28년간 수천 개의 라미네이트를 만들어오면서 확신하게 된 것이 있습니다.
라미네이트는 절대 타협할 수 없는 분야입니다.
빨리, 저렴하게, 많이 만드는 것과 정성스럽게, 자연스럽게, 완벽하게 만드는 것은 근본적으로 다릅니다.
우리가 선택한 길:
- 효율보다는 품질
- 속도보다는 완성도
- 수량보다는 만족도
- 공장형이 아닌 장인 정신
- 기업 이윤보다는 장인의 헌신
환자분들께서 선택하실 때:
- 가격만 보지 마세요
- 제작 방식을 물어보세요
- 실제 케이스 사진을 보세요
- 원내 기공실이 있는지 확인하세요
- 얼마나 시간과 정성을 들이는지 보세요
중요한 질문들:
- “단일 세라믹인가요 여러 층인가요?”
- “기공사는 누구고 경험은 어떻게 되나요?”
- “한 달에 몇 개의 라미네이트를 제작하나요?” (적을수록 좋음)
- “장기 사용 데이터는 어떻게 되나요?”
당신의 미소는 평생 가는 것입니다. 당나귀 이빨이 아닌, 자연스럽고 아름답게, 예술적으로 제작되고, 과학적으로 검증된 라미네이트를 원하신다면, 제대로 된 곳을 선택하세요.
Q&A – 라미네이트 제작 방식 완벽 정리
Q1. 원데이 라미네이트가 무조건 나쁜 건가요?
A. 아니요, 무조건 나쁜 것은 아닙니다. 원데이 기술 자체가 문제라기보다는, 빨리빨리 많이 만들려는 사업 모델이 문제입니다. 원데이도 시간과 정성을 들이면 어느 정도 결과를 낼 수 있습니다. 하지만 현실적으로 원데이를 선택하는 이유가 속도와 비용 절감이기 때문에, 대부분 충분한 맞춤화 시간을 들이지 않습니다. 그리고 아무리 잘 만들어도 단일 세라믹의 본질적인 한계로 인해 손으로 여러 층 쌓는 방식만큼 자연스럽기는 어렵습니다. 자연 치아의 다층 구조를 단일 세라믹으로는 재현할 수 없기 때문입니다. 급하게 필요하거나 임시 목적이면 괜찮지만, 평생 쓸 라미네이트라면 추천하지 않습니다.
Q2. 핸드메이드 빌드업 방식은 왜 비싼가요?
A. 시간, 기술, 재료의 차이입니다. 원데이는 기계가 2-3시간 만에 만들지만, 손으로 쌓는 방식은 숙련된 기공사가 며칠에 걸쳐 한 층 한 층 쌓아올립니다. 여러 종류의 프리미엄 세라믹 파우더를 사용하고, 환자 개개인의 특징을 살리기 위해 계속 조정합니다. 게다가 우리 치과처럼 원내 기공실이 있으면 치과의사가 직접 확인하며 수정하는 시간도 들어갑니다. 하나의 예술 작품을 만드는 것과 같습니다. 초기 비용은 높지만, 수명을 고려하면 실제로 더 경제적입니다. 손으로 쌓은 라미네이트는 15-20년 이상 사용 가능한 반면, 급하게 만든 원데이는 5-7년마다 교체가 필요합니다.
Q3. 백금박과 리튬 디실리케이트 빌드업 중 어느 게 더 좋나요?
A. 둘 다 훌륭한 기법이고, 임상 상황에 따라 선택합니다. 백금박 기법은 소수의 치아만 할 때, 특히 옆 자연 치아와 완벽한 매칭이 필요할 때 유리합니다. 극도로 얇고 정밀한 제작이 가능해서 자연치와의 완벽한 통합이 뛰어납니다. 리튬 디실리케이트 빌드업은 여러 개를 함께 할 때, 또는 더 큰 강도가 필요한 경우에 적합합니다. 강한 중심부가 내구성을 제공하면서도 그 위에 층 쌓기로 완벽한 심미성을 달성합니다. 강한 교합력이 있는 환자나 전체 입 케이스에서 장점이 있습니다. 적절한 진단 후 환자분의 구체적인 필요에 맞는 방식을 추천드립니다.
Q4. 원내 기공실이 정말 그렇게 중요한가요?
A. 매우 중요합니다. 외부 기공소를 쓰면 치과의사와 기공사가 직접 소통할 기회가 거의 없습니다. 전화나 문자로 “좀 더 밝게”, “자연스럽게” 같은 모호한 용어만 주고받습니다. 뉘앙스가 사라집니다. 하지만 원내 기공실이 있으면 제가 직접 환자 사진을 들고 기공실로 가서 “이 부분 색상을 정확히 이렇게”, “여기 투명도를 구체적으로 저렇게” 직접 지시할 수 있습니다. 중간 과정 조정이 즉시 가능하고요. 20년간 같은 기공사와 매일 함께 일하다 보니 직관적인 이해도 있습니다. 이런 협업은 원격 기공소로는 불가능한 결과를 만듭니다. 전화로 일몰을 설명하는 것과 함께 그림을 그리는 것의 차이입니다.
Q5. 다른 치과에서 한 라미네이트가 마음에 안 드는데 다시 할 수 있나요?
A. 네, 라미네이트 재치료는 가능합니다. 실제로 오늘 글에서 보여드린 사진 4-8의 케이스들이 모두 다른 곳에서 하시고 불만족해서 우리 치과에 오신 분들입니다. 기존 라미네이트를 제거하고 새로 제작하는 과정이 필요합니다. 다만 이미 치아 구조가 삭제된 상태이므로 원래 상태로 완전히 복구는 불가능하고, 새로운 라미네이트로 영구적인 덮개가 필요합니다. 제거 과정은 매우 조심스럽게 진행해야 추가 치아 손상을 피할 수 있습니다. 특수 기법을 사용해서 아래 치아 구조를 해치지 않고 라미네이트를 분리합니다. 재치료 케이스는 종종 더 복잡한 치료 계획이 필요한데 손상된 치아 구조로 작업해야 하기 때문입니다. 과정은 더 오래 걸리고 비용도 처음 제대로 하는 것보다 더 비쌉니다. 이것이 처음부터 올바른 치과를 선택하는 것이 중요한 이유입니다.
Q6. 손으로 쌓은 라미네이트는 얼마나 오래 가나요?
A. 적절한 관리 시 15-20년 이상은 현실적이며, 많은 경우 25-30년까지 사용 가능합니다. 제가 20년 전에 해드린 환자분들 중 여전히 원래 라미네이트를 아무 문제없이 사용하시는 분들이 많습니다. 손으로 쌓은 빌드업 라미네이트가 우수한 수명을 가진 이유는: (1) 여러 세라믹 층이 강한 구조를 만듦; (2) 적절한 두께 분포가 파절을 방지; (3) 우수한 변연 적합으로 충치를 예방; (4) 색상 안정성으로 변색 없음; (5) 신중한 교합 설계가 깨짐을 방지. 관리 요구사항은 간단합니다: 우수한 구강 위생, 6개월마다 전문 세정, 과도한 힘 피하기(얼음 깨물기, 견과류 깨기 금지), 그리고 이갈이가 있으면 야간 보호 장치 착용. 초기 비용은 원데이보다 높지만, 수명을 고려하면 극적으로 더 경제적입니다. 1200만원을 20년으로 나누면 연간 60만원 = 한 달 5만원으로 완벽한 미소입니다. 품질은 항상 더 나은 장기 투자입니다.