서론: 왜소치 치료의 새로운 패러다임
왜소치(Microdontia)는 치아가 정상 크기보다 작게 형성된 선천적 발육 이상입니다. 특히 상악 측절치(Maxillary lateral incisor)에 빈번하게 발생하며, 크기의 축소뿐만 아니라 원추형(Peg-shaped) 또는 비정형적 형태를 동반하는 경우가 많아 심미적, 기능적 문제를 야기합니다.
전통적으로 왜소치 치료는 교정 치료(Orthodontic treatment)와 보철 치료(Prosthetic treatment)를 병행하는 접근이 일반적이었으나, 최근에는 무삭제 라미네이트(No-prep laminate veneer) 기법의 발전으로 치아 삭제를 최소화하거나 완전히 배제하면서도 우수한 심미적 결과를 얻을 수 있게 되었습니다.
본 케이스는 양측 측절치에 왜소치가 있는 환자가 교정 치료 후 무삭제 라미네이트로 완성한 사례입니다. 압구정에서 20년간 심미 보철 치료를 수행해온 임상 경험을 바탕으로, 교정과 보철의 통합적 접근, 무삭제 라미네이트의 기술적 요건, 그리고 자연치아와의 완벽한 조화를 이루는 방법을 상세히 설명드리겠습니다.
치료 계획: 교정과 보철의 통합적 설계
왜소치 치료에서 가장 중요한 것은 교정 단계부터 최종 보철 결과를 염두에 둔 계획을 수립하는 것입니다. 단순히 치아 배열만 개선하는 교정이 아니라, 라미네이트를 위한 최적의 공간과 위치를 확보하는 것이 목표가 되어야 합니다.
무삭제 라미네이트를 위한 공간 설계
무삭제 라미네이트의 핵심은 충분한 공간 확보입니다. 치아를 삭제하지 않고 그 위에 라미네이트를 부착하므로, 주변에 적절한 공간이 없으면 라미네이트가 과도하게 두껍거나(Over-contoured) 돌출되어 부자연스러운 결과를 초래합니다.
본 케이스에서는 교정 치료 시 왜소치 주변의 공간을 정밀하게 계산하여 확보했습니다. 측절치의 최종 크기를 시뮬레이션하고, 그에 필요한 순측(Labial), 근심(Mesial), 원심(Distal) 공간을 모두 고려했습니다.
인비절라인을 통한 정밀한 치아 이동
최근에는 이러한 계획적 교정을 위해 **인비절라인(Invisalign)**과 같은 투명 교정 시스템을 많이 활용합니다. 디지털 시뮬레이션을 통해 최종 라미네이트까지 고려한 정밀한 치아 이동 계획을 수립할 수 있고, 예측 가능한 결과를 얻을 수 있기 때문입니다.
환자분도 인비절라인으로 교정을 진행하셨고, 치료 전 디지털 계획 단계에서 최종 라미네이트 형태까지 모두 고려하여 치아를 이동시켰습니다.
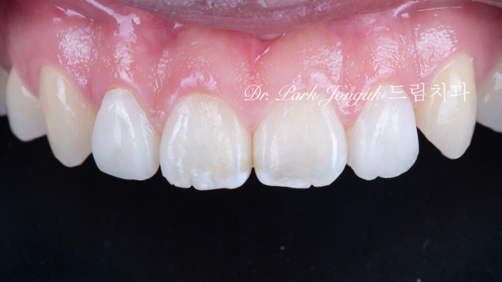
초진 평가: 교정 완료 후 상태

사진 1은 교정 치료가 완료된 후 내원하신 상태입니다. 치아 배열은 교정으로 개선되었으나 측절치가 여전히 왜소치 상태로 크기가 작고 형태가 비정형적입니다. 다만 무삭제 라미네이트를 위한 공간은 계획대로 정밀하게 확보되어 있었습니다.
중절치 상태와 치료 범위 결정
환자 상담 중 한 가지 중요한 논의가 있었습니다. 중절치(Central incisor)의 색상과 형태도 이상적이지 않았습니다. 약간의 변색(Discoloration), 화이트 스팟(White spot lesion), 비정형적 형태가 관찰되었습니다.
임상적으로는 중절치까지 포함하여 네 개를 모두 라미네이트 하는 것이 가장 조화롭고 아름다운 결과를 만들 수 있었습니다. 하지만 환자분께서는 경제적 이유와 치아 삭제에 대한 부담으로 왜소치 두 개만 치료하기를 원하셨습니다.
이는 오히려 기술적으로 더 도전적인 케이스가 되었습니다. 앞니 두 개만 라미네이트할 때는 옆에 있는 자연치아와 완벽하게 조화를 이루어야 하며, 색상 차이가 조금만 있어도 즉시 드러나기 때문입니다.
왁스업 설계: 자연스러움을 위한 전략

사진 2는 왁스업 정밀진단(Diagnostic wax-up) 결과입니다. 왜소치를 정상 크기와 형태로 회복시키는 설계 과정입니다.
의도적 불완전성의 미학
왜소치 라미네이트에서 가장 흔한 실수는 “완벽한” 치아를 만들려는 시도입니다. 교과서에 나오는 이상적인 형태, 완벽한 대칭, 흠 없는 표면을 추구하면 오히려 인공적으로 보입니다.
본 케이스에서는 중절치의 비정형적 형태를 의도적으로 반영했습니다. 중절치가 가진 약간의 불규칙성, 미묘한 비대칭성, 표면의 특성들을 측절치 설계에 포함시켰습니다. 이는 자연치아의 특성이며, 이러한 “불완전함”이 오히려 진짜처럼 보이게 만듭니다.
크기와 비율의 조화
왜소치를 정상 크기로 회복시키되, 중절치 및 견치(Canine)와의 조화로운 비율을 유지했습니다. 과도하게 크게 만들면 부자연스럽고, 너무 작게 만들면 여전히 왜소치처럼 보입니다. 환자의 안면 특성, 입술선, 미소 곡선을 모두 고려하여 최적의 크기를 결정했습니다.
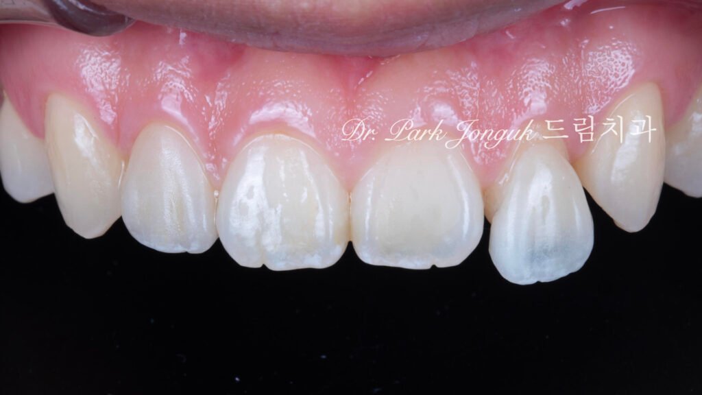
임시 보철: 최종 결과의 예측

사진 3은 임시 라미네이트(Provisional laminate) 상태입니다. 왁스업 설계를 바탕으로 제작한 임시 보철물을 실제 구강 내에 장착한 모습입니다.
임시치아만 봐도 형태가 매우 우수합니다. 중절치의 비정형적 특성을 잘 반영했고, 전체적인 조화가 자연스럽습니다. 환자분께서도 임시 단계에서 “이 정도면 충분히 만족스럽다”며 긍정적인 반응을 보이셨습니다.
임시 보철 단계는 단순한 과도기적 장치가 아닙니다. 최종 라미네이트의 형태, 크기, 기능을 테스트하고, 환자의 피드백을 받아 필요한 수정을 하는 중요한 과정입니다.
색상 기록: 완벽한 매칭의 시작


사진 4, 5는 특수한 촬영 기법을 사용한 색상 기록(Color documentation) 과정입니다. 앞니 두 개만 라미네이트 할 때 가장 중요한 것은 자연치아와의 완벽한 색상 매칭입니다.
편광 필터 촬영의 중요성
일반 구강 사진은 치아 표면의 반사광(Specular reflection) 때문에 실제 내부 색상을 정확히 파악하기 어렵습니다. 특히 습윤한 구강 환경에서는 반사가 더욱 심합니다.
이를 해결하기 위해 **편광 필터(Polarizing filter)**를 사용했습니다. 편광 필터는 표면 반사광을 제거하고 치아 내부의 실제 색상(Intrinsic color)을 정확하게 기록할 수 있게 해줍니다.
중절치의 기본 색조(Base shade)뿐만 아니라, 화이트 스팟의 정확한 위치와 크기, 변색 부위의 색상, 치경부(Cervical area)에서 절단연(Incisal edge)으로의 색상 그라디언트까지 모두 정밀하게 기록했습니다.
기공사와의 소통
이렇게 수집한 색상 정보를 세라믹 기공사(Ceramic technician)에게 상세히 전달했습니다. 단순히 쉐이드 가이드(Shade guide) 번호만 알려주는 것이 아니라, 사진, 도면, 구체적인 설명을 통해 중절치의 모든 색상 특성을 측절치 라미네이트에 재현하도록 요청했습니다.
백금박 펠드스파 라미네이트 제작



사진 6, 7, 8은 라미네이트 제작 과정입니다. 본 케이스에서는 백금박을 이용한 펠드스파 라미네이트(Platinum foil feldspathic laminate) 기법을 선택했습니다.
백금박 기법의 장점
백금박 기법은 라미네이트 제작 방법 중 가장 전통적이면서도 심미적으로 가장 우수한 결과를 만들어내는 방법입니다. 얇은 백금 호일(Platinum foil) 위에 펠드스파 세라믹 파우더를 한 층씩 적층하여 소성(Firing)하는 수작업 방식입니다.
투명도 조절의 자유로움: 무삭제 라미네이트는 매우 얇게 제작되어야 하므로(약 0.3-0.5mm), 투명도 조절이 매우 중요합니다. 중절치의 색상을 적절히 가리면서도 자연스러운 투명감을 유지해야 합니다. 백금박 기법은 각 층의 세라믹 종류와 두께를 자유롭게 조절할 수 있어 이러한 섬세한 컨트롤이 가능합니다.
색상 재현의 정밀함: 다양한 색상의 세라믹 파우더를 사용하여 중절치의 화이트 스팟, 변색 부위, 색조 변화를 정밀하게 재현할 수 있습니다. 단일 블록을 밀링(Milling)하는 CAD/CAM 방식으로는 불가능한 수준의 디테일입니다.
강도와 심미성의 균형: 펠드스파 세라믹은 자연치아와 가장 유사한 광학적 특성(Optical properties)을 가지고 있어 투명감, 유백광(Opalescence), 형광성(Fluorescence)을 가장 자연스럽게 재현합니다.
다층 적층 과정
기공사는 중절치의 모든 색상 특성을 측절치 라미네이트에 구현하기 위해 여러 겹의 세라믹을 정밀하게 쌓아 올렸습니다. 내부 덴틴 층(Dentin layer), 중간 에나멜 층(Enamel layer), 외부 투명 층(Translucent layer)을 순차적으로 적층하면서, 화이트 스팟과 변색 부위는 별도의 세라믹을 사용하여 표현했습니다.
이 과정은 수십 년의 경험과 예술적 감각이 필요한 고도의 기술입니다.
시적 단계: 완성도 검증


사진 9, 10은 라미네이트를 접착하기 전 시적(Try-in) 단계입니다. 완성된 라미네이트를 치아에 올려놓고 최종 점검하는 과정입니다.
시적 단계에서 빛, 색상, 형태, 변연 적합도(Marginal fit)를 세밀하게 평가합니다. 자연치아의 표현이 정말 잘 구현되었습니다. 측절치 라미네이트가 중절치와 거의 구분되지 않을 정도로 유사합니다.
환자분과 함께 다양한 조명 환경에서 색상을 확인하고, 거울을 통해 웃는 모습을 보면서 최종 승인을 받았습니다. “정말 제 원래 치아 같다”는 환자분의 반응이 이 단계의 성공을 증명했습니다.
최종 결과: 자연치아와의 완벽한 통합



사진 11, 12, 13은 접착 완료 후 최종 결과입니다. 결과는 기대를 뛰어넘었습니다.
색상의 완벽한 재현
중절치의 화이트 스팟, 변색 부위, 색조 변화가 측절치 라미네이트에 모두 재현되었습니다. 누가 봐도 자연치아 그 자체입니다. 측절치가 원래부터 그렇게 생긴 것처럼 보입니다.
이는 단순한 색상 매칭을 넘어선 **완벽한 통합(Perfect integration)**입니다. 중절치의 “결점”까지 의도적으로 재현함으로써, 라미네이트가 아니라 자연치아처럼 보이게 만든 것입니다.
무삭제 라미네이트의 기술적 성취
무삭제로 이렇게까지 정밀한 색상과 형태를 표현하는 것은 매우 어려운 일입니다. 라미네이트가 얇을수록 색상 조절이 어렵고, 형태 표현도 제한적입니다. 하지만 정밀한 진단, 완벽한 색상 기록, 백금박 기법, 숙련된 기공사의 솜씨가 결합되어 이러한 놀라운 결과가 가능했습니다.
심미적, 기능적 만족
환자분께서는 “앞니 두 개만 했는데 얼굴 전체가 밝아진 것 같다”며 극찬하셨습니다. 치아를 전혀 삭제하지 않았기 때문에 장기적 건강도 보존되었고, 자연스러운 결과로 심리적 자신감도 회복하셨습니다.
결론: 통합적 접근의 중요성
왜소치 치료에서 성공적인 결과를 얻기 위해서는 다음 요소들이 필수적입니다.
교정과 보철의 통합 계획: 교정 단계부터 최종 보철을 고려한 공간 설계가 이루어져야 합니다.
무삭제 가능성의 정확한 평가: 모든 케이스에서 무삭제가 가능한 것은 아니므로, 정밀 진단을 통해 적합성을 판단해야 합니다.
완벽한 색상 기록: 특히 앞니 두 개만 치료할 때는 편광 필터 촬영 등을 통한 정확한 색상 정보 수집이 필수적입니다.
수작업 빌드업 기법: 백금박 펠드스파 라미네이트와 같은 고급 기술이 자연스러운 결과의 핵심입니다.
의도적 불완전성: 완벽한 이상형보다는 자연치아의 특성을 반영한 디자인이 더 자연스럽습니다.
자주 묻는 질문 (Frequently Asked Questions)
Q1. 모든 왜소치 케이스에서 무삭제 라미네이트가 가능한가요?
아닙니다. 왜소치의 크기, 위치, 주변 공간, 치아 색상 등을 종합적으로 평가하여 무삭제 가능 여부를 판단해야 합니다. 교정으로 충분한 공간을 확보할 수 있고, 치아 색이 너무 어둡지 않다면 무삭제가 가능합니다.
Q2. 교정 후 라미네이트가 필수인가요?
왜소치의 경우 교정만으로는 치아 크기와 형태를 개선할 수 없으므로, 심미적 완성을 위해서는 라미네이트가 필요합니다. 교정과 라미네이트의 조합이 가장 이상적인 결과를 만듭니다.
Q3. 인비절라인이 일반 교정보다 라미네이트에 유리한가요?
인비절라인은 디지털 시뮬레이션을 통해 최종 보철까지 고려한 정밀한 치아 이동 계획이 가능하므로, 라미네이트를 위한 공간 확보에 유리합니다. 하지만 숙련된 교정 의사라면 일반 교정으로도 같은 결과를 얻을 수 있습니다.
Q4. 앞니 두 개만 라미네이트 하면 색상 차이가 나지 않나요?
편광 필터 촬영을 통한 정밀한 색상 기록과 백금박 기법 같은 고급 제작 방식을 사용하면 자연치아와 완벽하게 매칭할 수 있습니다. 본 케이스처럼 자연치아의 특성까지 재현하면 전혀 구분이 안 됩니다.
Q5. 무삭제 라미네이트는 두껍지 않나요?
충분한 공간이 확보되어 있다면 0.3-0.5mm의 얇은 라미네이트로도 우수한 결과를 얻을 수 있습니다. 교정으로 공간을 미리 만들어두면 전혀 두껍거나 부자연스럽지 않습니다.
Q6. 백금박 펠드스파 라미네이트는 다른 방식보다 비싸나요?
수작업 제작 방식이므로 CAD/CAM 방식보다 비용이 높을 수 있습니다. 하지만 자연스러움과 장기 안정성을 고려하면 충분히 가치 있는 투자입니다.
본 콘텐츠는 압구정에서 20년간 심미 보철 치료를 해온 치과의사의 실제 임상 경험을 기반으로 작성되었습니다. 라미스타 아카데미에서 매월 치과의사 대상 교육을 진행하고 있으며, 국내 최초 라미네이트 교과서의 저자입니다.