서론: 재시술이 필요한 순간
치과 심미 보철 치료는 영구적이지 않습니다. 시간이 경과하면서 올세라믹 크라운(All-ceramic crown)이나 라미네이트 베니어(Laminate veneer)는 색상 변화, 형태 부조화, 변연 적합도 저하 등 다양한 문제를 겪을 수 있습니다. 이러한 경우 **재시술(Revision treatment)**이 필요하며, 때로는 초기 치료보다 더욱 섬세하고 전문적인 접근이 요구됩니다.
본 케이스는 중절치(Central incisors) 두 개에 오래전 시술된 올세라믹 크라운의 재시술과 함께, 측절치(Lateral incisors) 및 견치(Canines)까지 포함한 총 6개의 전치부(Anterior teeth)를 **무삭제 라미네이트(No-prep laminate)**로 통합 치료한 사례입니다.
압구정에서 20년간 심미 보철 치료를 수행해온 임상 경험을 바탕으로, 올세라믹 크라운 재시술의 고려사항, 치료 범위 결정의 원칙, 무삭제 라미네이트와의 결합 전략을 상세히 설명드리겠습니다.
초진 평가: 기존 치료의 문제점 분석
환자분께서는 중절치 두 개에 수년 전 시술된 올세라믹 크라운 상태로 내원하셨습니다. 초진 검사 결과 여러 심미적, 기능적 문제점이 확인되었습니다.
사진 1: 치료 전 상태의 문제점

초진 구강 내 사진에서 다음과 같은 문제들이 관찰되었습니다.
색상 부조화(Color mismatch): 기존 올세라믹 크라운의 색상이 인접 자연치아와 현저히 달랐습니다. 크라운은 더 밝고 탁한 색조를 보였으며, 자연치아의 투명감(Translucency)과 색상 그라디언트(Color gradient)가 전혀 재현되지 않았습니다.
형태적 부조화(Morphological disharmony): 크라운의 형태가 주변 자연치아와 어울리지 않았습니다. 크기, 윤곽, 표면 특성이 부자연스러웠고, 전체적인 미소 곡선(Smile arc)을 해치고 있었습니다.
측절치 후방 위치: 추가로 발견된 문제는 측절치가 설측(Lingual)으로 약간 함입되어 있다는 점이었습니다. 이는 치아 배열의 매끄러운 흐름을 방해하고, 심미적 불균형을 초래했습니다.
환자분께서는 “거울을 볼 때마다 앞니 두 개만 유독 튀어 보여 스트레스를 받는다”며 재시술을 강하게 희망하셨습니다.
치료 계획 수립: 범위 확장의 타당성
초기에는 중절치 두 개만 재시술하는 것을 고려했으나, 종합적인 진단 결과 치료 범위를 6개 전치부로 확장하는 것이 최선이라는 결론에 도달했습니다.
치료 범위 확장의 임상적 근거
전체적 조화(Holistic harmony)의 필요성: 심미 치과에서 가장 중요한 원칙은 개별 치아의 완벽함이 아니라 전체적인 조화입니다. 중절치만 재시술하여 아무리 아름답게 만들어도, 측절치의 후방 위치와 견치의 색상 차이가 남아있다면 완전한 심미적 성공을 거둘 수 없습니다.
측절치 위치 보정의 필요성: 측절치가 설측으로 함입된 문제를 해결하려면 라미네이트를 이용한 순측(Labial) 증축이 필요했습니다. 이는 무삭제 라미네이트의 이상적인 적응증입니다.
색상 통합(Color integration): 6개의 치아를 함께 치료하면 색상을 완벽하게 통합할 수 있습니다. 중절치만 재시술하면 새로운 크라운과 기존 자연치아 간의 색상 매칭이라는 어려운 과제가 남습니다.
환자분께 이러한 임상적 근거를 설명드렸고, “어차피 재시술하는 것, 제대로 하고 싶다”며 6개 전치부 통합 치료에 동의하셨습니다.
치료 방법의 차별화
중요한 결정 사항이 하나 더 있었습니다. 중절치는 이미 크라운 상태이므로 올세라믹 크라운 재시술이 필요하지만, 측절치와 견치는 건강한 자연치아입니다. 이 치아들을 과도하게 삭제하는 것은 바람직하지 않았습니다.
따라서 무삭제 라미네이트(No-prep laminate) 또는 **최소 삭제 라미네이트(Minimal-prep laminate)**로 진행하기로 결정했습니다. 이는 치아 건강 보존과 심미성 향상을 동시에 달성하는 최선의 전략이었습니다.
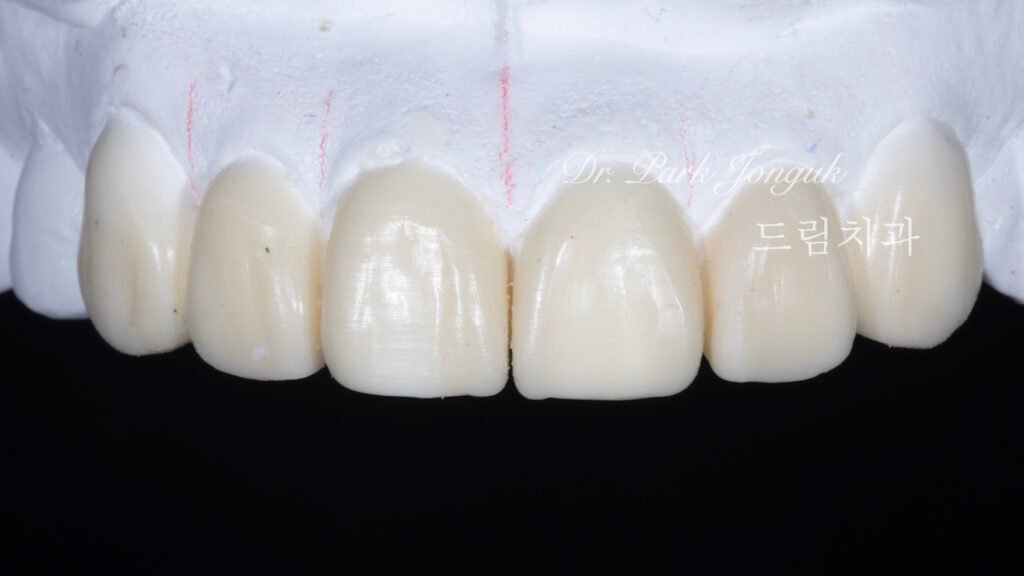
왁스업 설계: 통합적 심미 계획
사진 2는 왁스업 정밀진단(Diagnostic wax-up) 결과입니다. 6개 전치부 전체의 형태, 크기, 비율을 종합적으로 설계하는 과정입니다.

개별 치아의 역할 설정
중절치(Central incisors): 미소의 중심이 되는 치아로, 가장 크고 밝으며 시각적 초점을 형성합니다. 올세라믹 크라운으로 재제작하여 이상적인 형태와 색상을 구현합니다.
측절치(Lateral incisors): 중절치를 보조하며 조화를 만드는 역할입니다. 설측 함입 문제를 해결하기 위해 순측으로 증축하되, 자연스러운 전이(Transition)가 이루어지도록 설계합니다.
견치(Canines): 미소의 외곽을 정의하며 전체적인 미소 곡선을 완성합니다. 색상과 형태를 중절치 및 측절치와 조화롭게 맞춥니다.
미소 곡선의 최적화
왁스업 설계의 핵심은 미소 곡선(Smile arc)의 최적화였습니다. 측절치를 순측으로 적절히 배치하여 치아 배열이 매끄러운 곡선을 그리도록 했습니다. 절단연(Incisal edge)의 높이도 미묘하게 조절하여 자연스럽고 역동적인 미소 라인을 만들었습니다.
환자분께서 왁스업 모형을 보시고 “이런 미소를 가질 수 있다니 믿기지 않는다”며 감격하셨습니다. 왁스업은 환자에게 최종 결과를 시각화하여 신뢰를 구축하는 중요한 과정입니다.
치아 준비: 보존적 접근의 실천
사진 3은 기존 올세라믹 크라운을 제거하고 라미네이트를 위한 치아 준비를 완료한 상태입니다.

올세라믹 크라운 제거
기존 크라운을 조심스럽게 제거했습니다. 크라운 제거 시 가장 중요한 것은 잔존 치질(Remaining tooth structure)의 보존입니다. 초음파 스케일러(Ultrasonic scaler)와 다이아몬드 버(Diamond bur)를 세심하게 사용하여 크라운만 선택적으로 제거하고 치아는 손상시키지 않았습니다.
제거 후 중절치를 새로운 올세라믹 크라운을 위해 재형성(Re-preparation)했습니다. 기존 형성 상태를 평가하고, 필요한 부분만 수정하여 최적의 변연 설계(Margin design)와 삭제 깊이(Reduction depth)를 확보했습니다.
무삭제 라미네이트를 위한 최소 치아 준비
측절치와 견치는 거의 삭제하지 않았습니다. 이것이 바로 무삭제 라미네이트의 핵심 장점입니다.
측절치는 설측으로 함입되어 있었으므로, 순측으로 증축하는 방향의 라미네이트가 필요했습니다. 이런 경우 치아를 깎을 필요가 거의 없습니다. 치아 표면의 법랑질(Enamel)을 미세하게 거칠게 하는(Roughening) 정도만으로 충분합니다.
견치도 마찬가지입니다. 형태를 미세하게 조정하고 색상을 통합하기 위한 얇은 라미네이트만 필요하므로, 0.3mm 이하의 최소 삭제(Minimal preparation)만 진행했습니다.
이러한 보존적 접근(Conservative approach)은 치아의 장기적 건강을 보장하고, 환자의 심리적 부담도 크게 줄입니다.
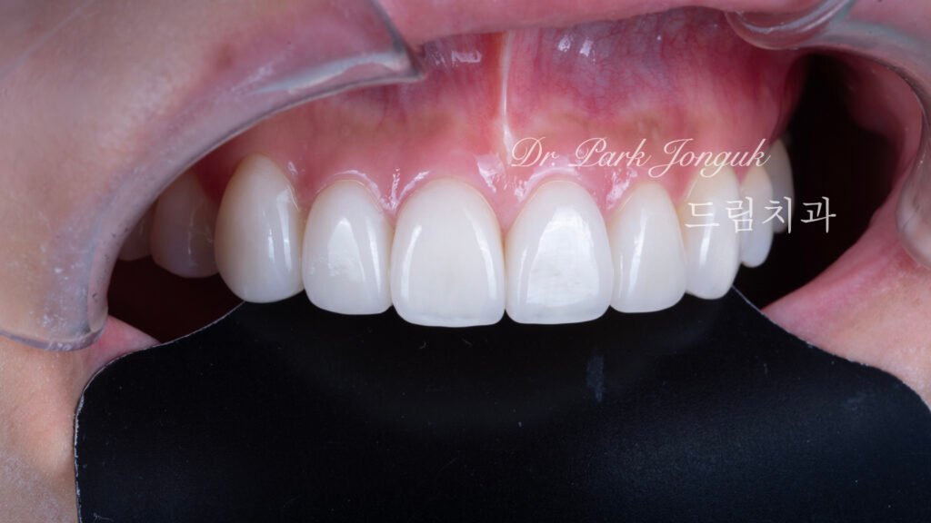
최종 결과: 통합적 심미성의 완성
사진 4, 5, 6은 치료 완료 후 최종 결과입니다. 변화가 극적입니다.



색상의 완벽한 통합
6개의 치아가 완벽하게 조화로운 색상을 보입니다. 중절치 올세라믹 크라운과 측절치 및 견치 라미네이트 간에 어떠한 색상 차이도 관찰되지 않습니다.
치경부(Cervical area)에서 절단연(Incisal edge)으로 이동하면서 자연스러운 색상 변화가 있으며, 절단연의 투명감(Incisal translucency)도 아름답게 표현되었습니다. 이는 자연치아의 광학적 특성(Optical properties)을 정밀하게 재현한 결과입니다.
형태적 조화와 미소 곡선
측절치의 설측 함입 문제가 완벽하게 해결되었습니다. 치아 배열이 매끄러운 곡선을 그리며, 전체적인 미소 곡선이 이상적입니다.
각 치아의 형태도 자연스럽고 조화롭습니다. 중절치는 적절한 볼륨감과 입체감을 가지며, 측절치는 중절치를 부드럽게 보조하고, 견치는 미소의 외곽을 우아하게 정의합니다.
너무 자연스러워서 어디가 크라운이고 어디가 라미네이트인지, 또는 어디가 자연치아인지 전혀 구분할 수 없습니다. 이것이 바로 최고 수준의 심미 치과 치료가 추구하는 목표입니다.
표면 특성화와 디테일
치아 표면의 텍스처(Surface texture)도 정교하게 재현되었습니다. 자연치아의 미세한 발육엽(Developmental lobe), 표면 불규칙성(Surface irregularity), 광택도(Luster) 등이 모두 표현되어 인공적 느낌이 전혀 없습니다.
환자분께서 거울을 보시며 눈물을 글썽이셨습니다. “이런 미소를 갖게 될 줄 몰랐다”는 말씀에 치과의사로서의 보람을 느꼈습니다.
치료 전후 비교: 삶의 질 변화

사진 7은 치료 전후 미소 비교 사진입니다. 단순히 치아만 바뀐 것이 아니라, 환자분의 표정과 자신감이 완전히 달라졌습니다.
심리적 영향
치료 전에는 억지로 웃는 듯한 어색한 미소였습니다. 중절치 크라운이 부자연스럽게 튀어 보였고, 환자분께서도 웃을 때 불편함을 느끼셨습니다.
치료 후에는 자신감 있고 환한 미소로 변했습니다. 치아가 자연스럽고 아름다워지니 표정 전체가 밝아졌고, 웃음에 주저함이 없어졌습니다.
“이제는 사람들 앞에서 자신 있게 웃을 수 있고, 사진 찍을 때도 미소 지을 수 있다”는 환자분의 말씀이 이 치료의 진정한 가치를 보여줍니다.
재시술 성공의 핵심 요소
올세라믹 크라운 재시술과 라미네이트 재시술에서 성공적인 결과를 얻기 위한 핵심 요소들은 다음과 같습니다.
철저한 진단과 문제 분석: 기존 치료의 실패 원인을 정확히 파악하고, 같은 문제를 반복하지 않기 위한 전략을 수립해야 합니다.
적절한 치료 범위 결정: 때로는 문제 있는 치아만이 아니라 인접 치아를 포함한 통합적 접근이 더 나은 결과를 만듭니다.
보존적 치료 옵션 고려: 무삭제 또는 최소 삭제 라미네이트를 활용하여 건강한 치아를 최대한 보존합니다.
왁스업을 통한 계획 수립: 최종 결과를 미리 시각화하고 환자와 충분히 소통하여 합의를 도출합니다.
색상과 형태의 통합적 설계: 개별 치아가 아니라 전체 미소를 염두에 두고 설계합니다.
결론: 재시술을 통한 새로운 시작
올세라믹 크라운 재시술과 라미네이트 재시술은 단순히 실패한 치료를 고치는 것이 아니라, 환자에게 새로운 자신감과 삶의 질을 선사하는 과정입니다.
본 케이스는 중절치 크라운 재시술과 무삭제 라미네이트를 통합하여, 치아 건강 보존과 최고 수준의 심미성을 동시에 달성한 성공 사례입니다.
재시술을 고민하고 계신다면, 경험 많은 치과의사와 충분히 상담하여 본인에게 최적화된 치료 계획을 수립하시기 바랍니다.
자주 묻는 질문 (Frequently Asked Questions)
Q1. 올세라믹 크라운은 언제 재시술해야 하나요?
명확한 기준은 없으나, 색상 변화, 형태 부조화, 변연 노출, 기능적 문제 등이 발생하면 재시술을 고려해야 합니다. 일반적으로 10-15년 사용 후 재평가가 권장됩니다.
Q2. 건강한 치아까지 라미네이트를 해야 하나요?
전체적인 심미적 조화를 위해 필요할 수 있습니다. 특히 무삭제 라미네이트라면 건강한 치아를 거의 손상시키지 않으면서도 우수한 결과를 얻을 수 있습니다.
Q3. 무삭제 라미네이트의 장기 안정성은 어떤가요?
적절한 접착 프로토콜(Bonding protocol)을 따르면 일반 라미네이트와 동등한 장기 안정성을 보입니다. 법랑질에 대한 접착은 매우 강력하고 예측 가능합니다.
Q4. 재시술 비용은 초기 치료보다 높나요?
케이스 복잡도에 따라 다릅니다. 기존 보철물 제거 과정이 추가되지만, 전체 비용은 일반적인 심미 치료와 유사한 수준입니다.
Q5. 6개 전치부 치료 기간은 얼마나 소요되나요?
일반적으로 2-3주 정도 소요됩니다. 기존 보철물 제거, 치아 준비, 임시 보철물 제작, 최종 보철물 제작 및 접착 등의 단계를 거칩니다.
Q6. 재시술 후 또 다시 재시술이 필요할 수 있나요?
정밀한 진단과 계획, 우수한 재료와 기술, 적절한 유지 관리가 이루어진다면 10년 이상 문제없이 사용 가능하며, 많은 경우 더 오래 지속됩니다.
본 콘텐츠는 압구정에서 20년간 심미 보철 치료를 해온 치과의사의 실제 임상 경험을 기반으로 작성되었습니다. 라미스타 아카데미에서 매월 치과의사 대상 교육을 진행하고 있으며, 국내 최초 라미네이트 교과서의 저자입니다.