무삭제 라미네이트란 무엇인가?
무삭제 라미네이트(No-Prep Laminate)는 자연 치아를 전혀 삭제하지 않고 세라믹 베니어를 접착하는 첨단 심미 치과 치료입니다. 전통적인 라미네이트가 치아 표면을 0.5-1.0mm 삭제하는 것과 달리, 무삭제 방식은 건강한 법랑질을 완전히 보존합니다.
법랑질은 한번 손실되면 재생되지 않는 인체에서 가장 단단한 조직입니다. 접착 치과학의 발전과 초박형 세라믹 재료의 개발로, 이제는 법랑질을 보존하면서도 뛰어난 심미성을 구현할 수 있게 되었습니다.
연구에 따르면 법랑질에 직접 접착된 세라믹 베니어는 상아질 접착보다 높은 접착 강도(20-25 MPa vs 15-20 MPa)를 보이며, 장기적 생존율도 우수합니다.
무삭제 라미네이트가 가능한 3가지 조건
20년간 라미네이트 전문 진료를 수행하고 관련 교과서를 집필하면서 정립한 무삭제 치료의 필수 조건입니다.
조건 1: 치아 크기 – 작은 치아 또는 공간이 있는 경우
무삭제 라미네이트는 치아 위에 세라믹을 추가하는 개념이므로, 원래 치아가 큰 경우 부자연스러울 수 있습니다.
이상적인 케이스:
- 왜소치(측절치가 비정상적으로 작은 경우)
- 선천적으로 작은 치아
- 치아 사이에 틈(diastema)이 있는 경우
- 평균 크기이나 크기를 크게 확대가 필요한 경우
조건 2: 치열 정렬 – 비교적 고른 배열
치아가 심하게 비틀어져 있으면 무삭제로는 형태 교정에 한계가 있습니다.
적합한 경우: 일직선에 가까운 배열, 경미한 불규칙
부적합한 경우: 심각한 총생, 치아 회전, 교정 치료 우선 필요
조건 3: 치아 위치 – 돌출되지 않은 상태
치아가 전방으로 돌출된 상태에서 무삭제 시행 시 더욱 튀어나와 보일 수 있습니다.
유리한 경우: 정상 위치 또는 옥니(안쪽으로 들어간 치아)
불리한 경우: 양악 돌출, 입술 다물기 어려운 정도의 돌출
실제 임상 케이스: 앞니 벌어짐과 왜소치 통합 치료
환자 초진 소견

중절치: 폭이 약간 큰 편, 중앙에 공간 존재
측절치: 양측 왜소치, 정상 대비 60-70% 크기
견치: 정상 크기, 측절치와 사이에 공간
환자 요구: 무삭제 치료 선호, 자연 치아 보존 희망
케이스 분석
- 조건 1 (치아 크기): ❌ 중절치가 약간 크지만 공간 재분배로 해결 가능
- 조건 2 (치열 정렬): ✅ 비교적 일직선, 회전 없음
- 조건 3 (치아 위치): ✅ 돌출되지 않은 정상 범위
최종 판단: 무삭제 라미네이트 진행 가능
치료 계획:
- 중절치, 측절치: 풀 커버리지 라미네이트
- 견치: 파셜 라미네이트 (측면만)
- 핵심 전략: 공간 재분배로 자연스러운 비율 구현
정밀 진단: 왁스업과 임시치아의 중요성
디지털-아날로그 통합 진단

1단계: 디지털 분석
- 구강 내 3D 스캔 및 안모 사진 촬영
- 얼굴과 치아 비율 수학적 분석
2단계: 왁스업 제작 마스터 기공사가 진단 모형 위에 최종 형태를 조각합니다.
- 치아 폭과 길이 비율: 약 80%
- 자연스러운 치은 접합부 형태
- 연령에 맞는 절단 가장자리
3단계: 임시 베니어 제작

중요: 무삭제라고 임시치아를 생략하는 것은 심각한 오류입니다.
임시 베니어가 필수적인 이유:
✓ 발음, 저작, 입술 움직임 영향 확인
✓ 실제 환경에서 색상과 형태 평가
✓ 크기와 형태에 대한 환자 피드백
✓ 제작 전 마지막 조정 기회
✓ 환자 신뢰 구축
이 케이스에서 환자는 임시 베니어 착용 후 크기, 발음, 미소 시 보이는 양 모두 만족하여 최종 제작을 진행했습니다.
세라믹 제작: 핸드메이드 빌드업의 우수성
다층 적층 기법
무삭제 라미네이트는 일반 라미네이트보다 제작 난이도가 높습니다. 얇으면서도 불투명하지 않고 깊이감이 있어야 하기 때문입니다.
제작 프로세스:
- 내부 코어 층: 높은 불투명도로 치아 색상 차단
- 중간 전이 층: 여러 색조 혼합, 자연 치아 경계부 모방
- 외부 법랑질 층: 높은 투명도로 빛 투과 재현
- 표면 마무리: 미세 질감과 발육엽 재현
재료: 초박형 리튬 디실리케이트 세라믹 (400 MPa 이상 굴곡 강도) + Feldspar ceramic
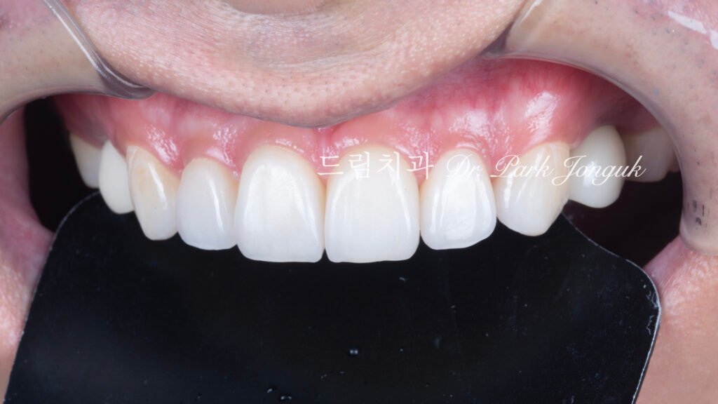
치료 결과 및 평가
최종 결과



기능적 측면: ✅ 정상 발음 ✅ 편안한 저작 ✅ 자연스러운 입술 움직임
심미적 측면: ✅ 얼굴과 조화로운 치아 크기
✅ 자연스러운 색상과 투명도
✅ 젊고 건강해 보이는 미소
✅ 인위적이지 않은 자연스러움
생물학적 측면: ✅ 건강한 법랑질 100% 보존
✅ 우수한 치은 반응
✅ 장기적 예후 양호
가장 중요한 성과: “치과 치료를 받았다는 것이 전혀 티가 나지 않는다”
무삭제 vs 최소삭제: 의사결정 가이드
무삭제를 우선 고려해야 하는 경우
- 치아가 작거나 왜소치
- 치아 사이 공간이 있음
- 치열이 고르고 치아가 돌출되지 않음
- 색상 변화가 크지 않음 (1-2 shade)
최소삭제(0.3-0.5mm)가 더 나은 경우
- 치아가 크고 돌출된 경우
- 심한 변색 (테트라사이클린 착색 등)
- 회전되거나 경사진 치아
- 기존 보철물 교체
전문가 Q&A
Q1. 무삭제 라미네이트의 접착 강도가 약한가요?
A. 오히려 그 반대입니다. 법랑질에 대한 레진 시멘트의 접착 강도는 상아질보다 높습니다(20-25 MPa vs 15-20 MPa). 법랑질은 산 부식 후 미세한 다공성 구조가 형성되어 강력한 기계적 결합을 만듭니다.
Q2. 무삭제 라미네이트 후 치아가 두껍게 느껴지지 않나요?
A. 적절한 케이스 선택과 정밀한 제작이 이루어지면 전혀 느껴지지 않습니다. 잘 제작된 무삭제 라미네이트는 0.3-0.5mm 두께로 콘택트렌즈보다 약간 두꺼운 정도입니다. 임시 베니어 단계에서 이미 적응이 완료됩니다.
Q3. 무삭제 라미네이트가 일반보다 저렴한가요?
A. 아닙니다. 오히려 비슷하거나 더 높을 수 있습니다. 더 정밀한 진단이 필요하고, 초박형 세라믹은 제작 난이도가 높으며, 고강도 재료는 고가입니다. 하지만 법랑질을 보존한다는 것은 돈으로 환산할 수 없는 가치입니다.
Q4. 무삭제도 임시치아를 꼭 만들어야 하나요?
A. 네, 필수입니다. 무삭제라고 임시치아를 생략하는 것은 잘못된 진료입니다. 환자 만족도와 최종 결과의 질을 위해 반드시 임시치아 단계를 거쳐야 합니다.
Q5. 무삭제 라미네이트가 떨어지면 어떻게 하나요?
A. 이것이 무삭제의 가장 큰 장점입니다. 자연 치아는 손상 없이 그대로 보존되어 있어 기존 라미네이트 재접착 또는 새로 제작이 가능합니다. 일반 라미네이트는 이미 치아가 삭제된 상태라 즉시 재치료가 필요하지만, 무삭제는 시간적 여유가 있습니다.
Q6. 강남에서 무삭제 라미네이트 전문가를 어떻게 찾나요?
A. 다음을 확인하세요:
- 라미네이트 전문 경력 (10년 이상)
- 교과서 집필, 학회 강의 등 학술적 배경
- 왁스업과 임시치아 단계 시행 여부 (필수)
- 핸드메이드 빌드업 방식 사용
- 실제 증례 포트폴리오
경고 신호: “모든 케이스 무삭제 가능”, 당일 완성, 왁스업 생략, 지나치게 저렴
신뢰 신호: 케이스별 다른 접근, 충분한 상담 시간, 장단점 솔직한 설명
장기 예후 및 유지 관리
생존율 데이터
- 5년 생존율: 94-98%
- 10년 생존율: 85-92%
- 적절한 케이스 선택 시 일반 라미네이트와 유사
유지 관리
일상 관리: 부드러운 칫솔, 치실 사용, 정기적 구강 세정
피해야 할 행동: 매우 딱딱한 음식 물어뜯기, 손톱 물기
정기 검진: 6개월마다 전문가 검진 및 세정
이갈이 관리: 야간 보호 장치 착용
기대 수명: 적절한 관리 시 15-20년 이상
결론
무삭제 라미네이트는 단순히 “치아를 깎지 않는 치료”가 아니라, 과학적 토대와 예술적 감각, 윤리적 책임이 융합된 최소 침습 치과의 완벽한 구현입니다.
20년간 라미네이트만을 전문으로 진료하고, 국내 최초 라미네이트 전문 교과서를 집필하며, 매달 라미스타 아카데미에서 전국 치과의사들을 교육하면서 확신한 것이 있습니다:
“기술의 발전은 더 많은 치료가 아니라, 더 적은 침습으로 더 나은 결과를 만드는 것이다.”
무삭제 라미네이트는 이 철학의 실현입니다. 하지만 모든 환자에게 적용하려는 강박은 오히려 해가 될 수 있습니다. 정확한 진단, 적절한 케이스 선택, 정밀한 제작, 충분한 소통이 있을 때, 무삭제 라미네이트는 가장 보존적이면서도 가장 심미적인 치료 옵션이 됩니다.
저자 소개
드림치과 원장
- 라미네이트 전문 진료 20년 이상
- ‘라미네이트 전문 교과서’ 저자 (2025년 베스트셀러)
- 라미스타 아카데미 설립자 및 정기 강사
- 서울 강남구 압구정동
진료 철학: “가장 적게 개입하여 가장 자연스러운 아름다움을 창조한다”