라미네이트 재시술이 필요한 이유
세라믹 라미네이트는 적절히 제작되고 장착되면 15-20년 이상 사용 가능한 내구성 있는 심미 보철물입니다. 그러나 최근 당일 완성을 표방하는 원데이(Same-Day) 라미네이트의 증가와 함께, 조기 파절이나 심미적 불만족으로 재치료를 원하는 환자가 늘고 있습니다.
조기 실패의 주요 원인
제작 공정의 문제 CAD/CAM 밀링 방식은 세라믹 블록을 고속으로 깎아내는 과정에서 기계적 진동이 발생합니다. 특히 제작 후 수작업과정에서 진동은 세라믹 내부에 미세 균열(micro-crack)을 생성할 수 있으며, 육안으로는 확인되지 않다가 시간이 지나며 확대되어 최종적으로 파절로 이어집니다.
심미적 한계 단일 세라믹 블록에서 제작되는 원데이 베니어는 자연 치아가 가진 다층 구조(법랑질-상아질)의 광학적 특성을 재현하기 어렵습니다. 결과적으로 불투명하고 인위적인 외관을 나타냅니다.
부적절한 진단 신속한 치료를 위해 정밀진단 과정(wax-up, mock-up)을 생략하면 얼굴 비율과 조화되지 않는 크기나 형태로 제작될 수 있습니다.
임상 케이스: 다발성 파절 환자의 재치료

초진 소견 및 문제점 분석
내원 환자는 타 의료기관에서 당일 완성 방식으로 전악 라미네이트 치료를 받은 지 6개월 경과한 상태였습니다.
임상 소견:
- 모든 라미네이트에서 균열선 관찰
- 중절치-측절치 간 비율 불균형
원인 추정: 밀링 과정의 기계적 응력과 수작업 조정 시 추가 진동이 내부 크랙을 유발했을 것으로 판단됩니다. 교합 분석 결과 과도한 교합력은 확인되지 않아, 재료 자체의 구조적 결함이 주된 원인으로 보입니다.
재치료 프로토콜: 3단계 접근법
1단계: 재진단 및 디자인 재설계

기존 라미네이트의 문제는 단순히 파절만이 아니었습니다. 근본적으로 크기와 형태가 환자의 얼굴 구조와 조화롭지 못했습니다.
진단 방법론 “최소삭제를 위한 라미네이트 임상(박종욱 저)” 교과서에 기술된 현대적 비율 시스템을 적용했습니다. 전통적인 황금비율(Golden Proportion) 대신, 환자 개별 얼굴 폭과 입술 형태를 기준으로 최적 치아 크기를 산출합니다.

주요 설계 원칙:
- 중절치-측절치 비율: 1.5:1 (환자 얼굴 폭 기준 조정)
- 치아 길이-폭 비율: 85% (너무 정사각형이거나 직사각형 방지)
- 절단연 곡선: 나이에 적합한 자연스러운 마모 양상
- 치은 접합부: 점진적 출현 각도
2단계: 레이저 보조 라미네이트 제거

전통적 제거 방식의 위험성 고속 회전 기구(high-speed handpiece)로 라미네이트를 직접 삭제하면 다음과 같은 위험이 있습니다:
- 자연 치아-세라믹 경계 식별 어려움
- 과도한 법랑질 손실 (0.2-0.5mm 추가 삭제)
- 열 발생으로 인한 치수 자극
- 미세 진동이 치아에 크랙 유발 가능
레이저 기술의 적용 우리는 Erbium:YAG 레이저를 사용하여 비침습적 제거를 수행했습니다.
작용 메커니즘:
- 레이저 에너지가 레진 시멘트를 선택적으로 흡수
- 접착제의 중합 결합이 광열분해(photothermolysis)
- 접착 계면이 약화되며 변색(갈색-검은색)
- 시각적으로 명확한 경계 구분 가능
- 최소한의 힘으로 세라믹 분리
임상적 장점:
- 법랑질 손상 거의 없음 (평균 0.05mm 이하)
- 치아 표면 온도 상승 최소 (5°C 이하)
- 재접착을 위한 깨끗한 법랑질 표면 유지
- 환자 불편감 감소
이 기술은 재시술 성공률을 크게 향상시킵니다. 손상되지 않은 법랑질에 대한 레진 접착 강도는 상아질 대비 약 30% 높기 때문입니다.
3단계: 정밀 제작 및 장착



다층 적층 기법(Multi-Layered Build-Up) 원데이 방식과 달리, 우리는 2-3주에 걸쳐 수작업 빌드업 방식으로 제작합니다.
제작 프로세스:
- 내부 코어층: 불투명 세라믹으로 기존 치아 색 차폐
- 중간 전이층: 다양한 색조 혼합하여 자연 치아의 색 변화 재현
- 외부 법랑층: 고투명 세라믹으로 빛 투과 특성 구현
- 표면 조각: 발육엽, 횡문 등 미세 질감 수작업 표현
- 다단계 소성: 충분한 결정화로 최대 강도 확보 (500 MPa 이상)
재료 선택: 리튬 디실리케이트(Lithium Disilicate) 세라믹 사용. 이 재료는:
- 높은 굴곡 강도 (400-500 MPa)
- 우수한 광학 특성 (투명도 조절 가능)
- 법랑질과 유사한 마모 특성
- 장기 색상 안정성
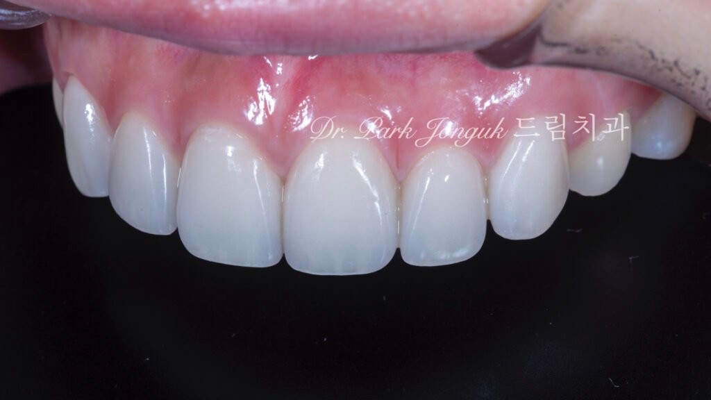
치료 결과 및 평가
객관적 평가 지표
기계적 안정성:
- 모든 베니어에서 균열 없음
- 교합 검사에서 균등한 접촉
- 변연 적합도 50μm 이하
심미적 평가:
- 자연 치아와 구분 불가능한 투명도
- 얼굴 비율과 조화로운 크기
- 다양한 조명 환경에서 자연스러운 색상
생물학적 반응:
- 치은 건강 유지 (출혈 지수 0)
- 치태 축적 최소화
- 변연 치은의 정상적 형태
환자 만족도
6개월 추적 관찰 결과 환자는 기능적, 심미적으로 완전히 만족하였으며, 초기 치료와 비교하여 “완전히 다른 품질”이라고 평가했습니다.
라미네이트 재시술 의사결정 가이드
재시술이 권장되는 경우
구조적 문제:
- 균열이나 파절이 발생한 경우
- 변연부 적합이 불량하여 2차 우식 위험이 있는 경우
- 심각한 변색이 발생한 경우
기능적 문제:
- 부적절한 교합으로 불편감이 있는 경우
- 발음 장애를 유발하는 경우
심미적 문제:
- 과도한 불투명도나 부자연스러운 색상
- 얼굴과 조화되지 않는 크기나 형태
- 좌우 비대칭이 심한 경우
재시술 전 확인사항
의료기관 선택 기준:
- 라미네이트 전문 경력 15년 이상
- 레이저 제거 시스템 보유 및 숙련도
- 교과서 집필, 학술 활동 등 검증된 전문성
- 재시술 증례 포트폴리오
- 정밀진단(왁스업) 프로토콜 시행
치료 기간 및 비용:
- 기간: 3-4주 (진단-제거-제작-장착)
- 비용: 초기 치료와 유사하거나 약간 높음
- 레이저 제거와 재진단에 추가 시간과 비용 소요
전문가 Q&A
Q1. 레이저 없이 라미네이트를 안전하게 제거할 수 있나요?
A. 기술적으로는 가능하지만 매우 어렵습니다. 숙련된 임상의도 고속 기구만으로는 법랑질 손상을 완전히 피하기 어렵습니다. 레이저는 접착제를 선택적으로 약화시켜 물리적 힘을 최소화하므로 훨씬 안전합니다.
Q2. 재시술 후 다시 실패할 가능성은?
A. 실패 원인을 정확히 파악하고 고품질 제작 공정을 거치면 매우 낮습니다. 문헌 연구에 따르면 적절한 케이스 선택과 정밀 제작 시 10년 생존율이 95% 이상입니다. 핵심은 원인 분석과 정밀진단입니다.
Q3. 모든 파절된 라미네이트를 재시술해야 하나요?
A. 아닙니다. 단일 베니어의 국소 파절이고 다른 베니어들이 양호하다면 해당 베니어만 교체 가능합니다. 하지만 다발성 파절이나 전반적 심미 불만족이 있다면 전체 재시술이 더 나은 결과를 만듭니다.
Q4. 재시술 시 치아가 추가로 삭제되나요?
A. 레이저로 제거하면 추가 삭제가 거의 없습니다. 기존에 이미 준비된 치아 형태가 있으므로, 대부분 그대로 사용하거나 미세한 조정만 필요합니다. 평균 추가 삭제량은 0.1mm 미만입니다.
Q5. 원데이 라미네이트는 모두 문제가 있나요?
A. 모든 원데이 시스템이 나쁜 것은 아닙니다. 고품질 장비와 숙련된 기술자가 있다면 적절한 케이스에서 좋은 결과를 낼 수 있습니다. 하지만 통계적으로 충분한 시간을 두고 제작한 핸드메이드 방식이 더 높은 성공률과 심미성을 보입니다.
결론: 재시술을 넘어 재창조로
라미네이트 재시술은 단순한 교체 작업이 아닙니다. 실패 원인을 분석하고, 안전하게 제거하며, 근본적으로 더 나은 설계로 재창조하는 종합적 과정입니다.
20년간 라미네이트 전문 진료를 수행하고 “최소삭제를 위한 라미네이트 임상” 교과서를 집필한 경험에서 확신하는 것이 있습니다:
“처음부터 정밀하게 하는 것이 가장 경제적이지만, 재시술이 필요하다면 반복하지 말고 근본적으로 개선해야 한다.”
레이저 기술을 통한 안전한 제거, 현대적 비율 시스템을 적용한 재진단, 다층 빌드업 방식의 정밀 제작. 이 세 가지 요소가 재시술 성공의 핵심입니다.
저자 정보
박종욱 원장, 드림치과
- 라미네이트 전문 진료 20년
- “최소삭제를 위한 라미네이트 임상” 저자
- 라미스타 아카데미 설립자 및 정기 강사
- 위치: 서울 강남구 압구정동
전문 분야: 라미네이트 재시술, 최소 침습 심미 치과, 레이저 치과