Author: [박종욱] (D.D.S., M.S. / 치과 보존과 전문의)
1. 서론: 재시술, 실패의 흔적을 지우는 과정
저는 20년간 심미치료에 전념해온 치과 보존과 전문의입니다. 라미네이트 재시술은 단순히 겉을 다시 덮는 것이 아니라, 과거 잘못된 시술로 인한 치아의 손상과 심미적 실패를 바로잡는 고난도 복원 치료입니다.
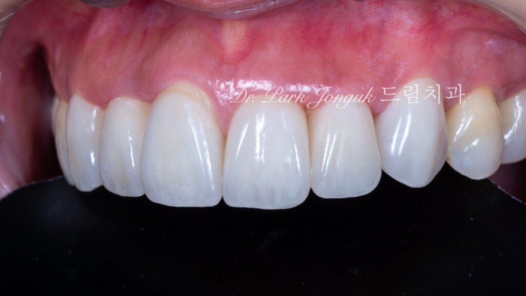
오늘 사례는 10여 년 전 시술 후 잇몸 건강 악화, 치열 기울기, 그리고 충격적인 과도 삭제 문제를 겪고 계셨던 환자분의 재치료 과정입니다.
2. 진단 분석: 실패의 원인을 밝히다
2.1. 내원 시 상태 및 심미적 문제
환자분이 겪고 계셨던 주요 문제는 다음과 같습니다.


- 치아 기울기: 치열 전체가 한쪽으로 기울어져 심각한 비대칭을 유발.
- 잇몸 높이 차이: 치아의 기울기와 잇몸 건강 악화로 잇몸 선(Gingival Zenith)의 높이가 불규칙함.
- 색조 및 형태 불량: 지나치게 하얗고 탁하며, 치아 폭과 길이 비율이 맞지 않음.
2.2. 정밀 분석 결과



원장이 직접 분석한 결과, 잇몸 높이의 심각한 비대칭과 중절치(대문니) 폭이 좁아 보이는 비율 오류가 핵심적인 문제였습니다. 재시술은 이 모든 비대칭을 디자인으로 해결하는 데 중점을 두었습니다.
3. 충격적인 진실: 과도한 삭제의 심각성
3.1. 경고: 치아 삭제 후 상태

기존 라미네이트를 제거했을 때, 환자 치아는 과도한 삭제로 인해 상아질이 깊이 노출된 심각한 상태였습니다. 라미네이트 시술에서 치아를 이토록 많이 깎는 행위는 치아의 수명을 단축시키고 신경 손상 위험을 높이는 매우 위험한 치료입니다.
재시술은 남아있는 치아 구조를 최대한 보호하며 진행하는 최소 침습 원칙을 지켰습니다.
4. 재시술 해결책: 핸드메이드 디자인의 복원력
4.1. 치료의 설계 (왁스업 정밀진단)

[사진 6 참조] 치료 전 반드시 왁스업 정밀진단을 통해 치아의 크기, 비율, 경사를 정상 범위로 복원하는 최종 설계도를 만듭니다. 이는 예측 가능한 결과를 위한 필수 과정입니다.
4.2. 비대칭 극복 기술



라미네이트 재시술
저희 치과의 핸드메이드 빌드업 방식은 복합적인 문제를 극복했습니다.
- 기울기 교정: 치아 자체를 건드리지 않고, 라미네이트 디자인을 통해 시각적으로 치열의 기울기를 완벽하게 바로잡았습니다.
- 잇몸 높이 극복: 심하게 내려앉은 잇몸 부위는 라미네이트 디자인에 치아의 뿌리 형태를 재현했습니다. 이 세밀한 디자인을 통해 내려간 잇몸 레벨에서도 치아가 자연스럽게 솟아 보이는 심미적인 착시 효과를 구현했습니다.
자연 치아의 투명도와 색 깊이를 재현하는 핸드메이드 레이어링만이 10년 전의 실패를 완벽하게 지우고 진짜 자연스러움을 회복할 수 있습니다.
5. 결론 및 전문의 권고
라미네이트 재시술은 고난도 복원술입니다. 잘못된 삭제와 디자인으로 발생한 문제를 해결하기 위해서는 정교한 진단과 치아 보존 철학을 갖춘 치과 보존과 전문의를 선택해야 합니다.
드림치과는 환자분의 소중한 치아를 지키면서 가장 아름다운 미소를 되찾아 드립니다.
6. 자주 묻는 질문 (FAQ)
Q1. 라미네이트 재시술 시 치아 삭제는 피할 수 없나요?
A. 기존 수복물 제거는 필수입니다. 하지만 저희는 추가적인 삭제는 치아 보호를 최우선으로 하여 최소한의 양만 진행하며, 이미 삭제가 과도했다면 더 이상의 삭제는 최대한 피하는 방식으로 진행합니다.
Q2. 잇몸 높이 차이도 라미네이트만으로 해결 가능한가요?
A. 네, 잇몸 높이 차이가 심하지 않다면, 치아의 형태와 비율 디자인을 통해 시각적으로 잇몸 선의 비대칭을 효과적으로 줄일 수 있습니다. (사진 8, 9, 10 케이스 참고).
Q3. 라미네이트 실패의 가장 큰 원인은 무엇인가요?
A. 가장 큰 원인은 **’과도한 치아 삭제’**와 환자의 얼굴과 조화를 고려하지 않은 **’부정확한 디자인’**입니다. 이 두 가지가 장기적인 심미적, 기능적 실패를 초래합니다.
Q4. 재시술 후 부자연스러운 색이 될까봐 걱정됩니다.
A. 저희는 기계가 아닌 숙련된 기공사가 여러 색상의 세라믹을 층층이 쌓아 올리는 핸드메이드 빌드업 방식을 고집합니다. 이 방식으로 자연 치아와 같은 투명감과 색 깊이를 표현하여 부자연스러움을 방지합니다.
Q5. 재시술 전문의를 선택할 때 가장 중요하게 봐야 할 것은 무엇인가요?
A. 치과 보존과 전문의 자격 유무, 왁스업 정밀진단 과정 필수 진행 여부, 그리고 치아 보존 철학과 핸드메이드 제작 방식을 고수하는지 확인하는 것이 가장 중요합니다.
