30세 이하 젊은 환자의 앞니 결손에 대한 치과 보존과 전문의의 심층 분석. 임플란트의 장기적 심미적 위험을 피하고, 지르코니아 메릴랜드 브릿지가 최적인 이유를 설명합니다.
1. Introduction: Re-evaluating Missing Anterior Tooth Solutions
저는 서울대학교 치과대학을 졸업한 치과 보존과 전문의로서, 20년간 앞니 심미치료에 집중해왔습니다. 최근 교과서 출간 후 많은 치과의사들에게 강의를 하면서 느끼는 것은, 임플란트가 만능 해결책은 아니라는 점입니다.
특히 앞니 (Anterior Teeth) 결손의 경우, 환자의 연령에 따라 치료 계획은 완전히 달라져야 합니다. 오늘 우리는 레진 접착형 고정성 부분 의치 (Resin-bonded Fixed Partial Denture, RBFPD), 즉 메릴랜드 브릿지가 왜 30세 미만 환자에게 이상적인 대안인지 분석합니다.
2. The Specialist’s Rationale: Why Not Anterior Implants Under 30?
20세 환자가 앞니가 빠진 상태로 임플란트를 원했지만, 저는 **장기적인 심미적 성공(Long-term Esthetic Success)**을 위해 메릴랜드 브릿지를 권했습니다.
임플란트 시술 시 30세 미만 환자의 주요 리스크:
- Gingival Recession (잇몸 퇴축): 20대까지는 안면 골격과 잇몸 라인이 미세하게 변화합니다. 임플란트가 고정된 후 잇몸이 퇴축되면 임플란트의 경계선이 노출되어 심미성이 크게 저하됩니다.
- Thin Bone Area: 특히 하악 앞니(Lower Incisors)와 같은 얇은 뼈 부위는 임플란트 식립이 까다롭고, **잇몸 그림자 (Gingival Shadow)**나 블랙 트라이앵글(Black Triangle) 발생 위험이 높습니다.
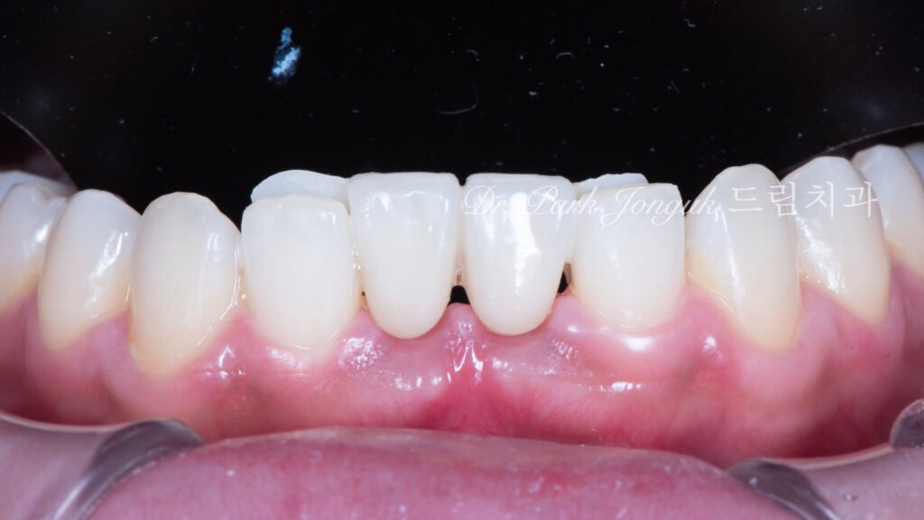
3. Case Analysis: Minimal Preparation RBFPD
환자 상태 (Initial Status)
20세 환자는 교정 치료를 마치고 앞니 두 개가 결손된 채였습니다. 양옆의 지대치(Abutment Teeth)는 매우 건강했습니다.


[사진 1, 2 참조] 교합면(Occlusal view)에서 보듯이, 주변 치아에 우식이나 큰 수복물이 없어 삭제를 최소화할 수 있는 메릴랜드 브릿지가 최적의 선택이었습니다. 일반 브릿지처럼 건강한 치아를 크게 깎을 이유가 전혀 없습니다.
RBFPD 제작 과정의 기술적 우위:

- Minimal Preparation (최소 삭제): [사진 3 참조] 설측 유지장치(Lingual Retainer)만 제거하고, 거의 삭제 없이 지르코니아(Zirconia)를 접착할 면적만 확보했습니다. 이는 치아 보존을 최우선으로 하는 보존과 전문의의 핵심 철학입니다.
- Advanced Bonding Protocol: 과거의 메탈 메릴랜드 브릿지가 탈락했던 문제를 해결하기 위해, 우리는 강화된 지르코니아와 라미네이트에 사용하는 수준의 **최신 레진 시멘트(Resin Cementation)**를 이용한 본딩 시스템을 적용했습니다.
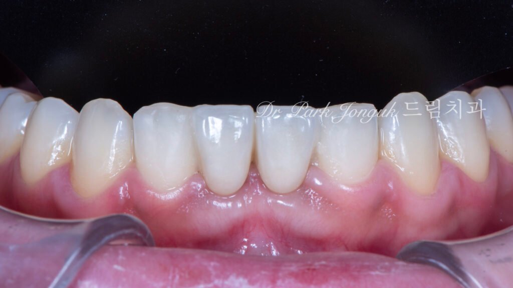
4. Achieving Perfect Esthetics: Emergence Profile & Final Outcome
잇몸 모양의 자연스러움 (Gingival Esthetics)



[사진 4, 5, 6 참조] 브릿지를 부착할 때, 장착되는 부분이 잇몸을 미세하게 압박하며 들어가는 디자인 (Gingival Compression)을 적용했습니다. 이는 치아가 **잇몸에서부터 자연스럽게 솟아 나오는 듯한 형태(Natural Emergence Profile)**를 만들어 임플란트로는 구현하기 힘든 심미적 완성도를 제공합니다.
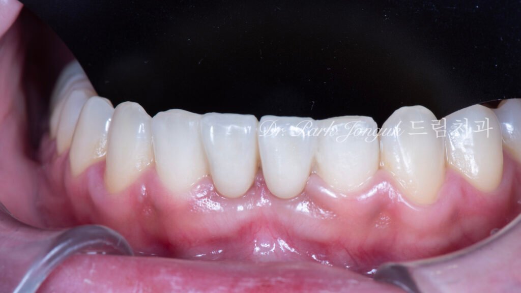
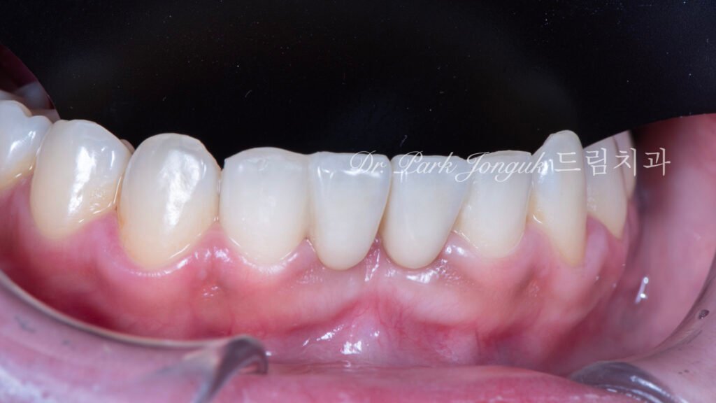
최종 결과 및 비교 (Final Results)
[사진 7, 8, 9 참조]



- Time Efficiency: 임플란트라면 최소 3개월이 걸렸을 과정을 단 1~2주 만에 마무리했습니다.
- Aesthetic Quality: 특히 뼈가 얇아 임플란트 시술이 까다로운 앞니 부위에서 나타날 수 있는 **잇몸 어두워짐(Darkening)**이나 부자연스러운 잇몸 라인 문제가 완벽하게 해결되었습니다.
메릴랜드 브릿지는 환자가 30세 이후 임플란트를 선택하고 싶다면 언제든지 전환 가능하며, 그전까지는 가장 안전하고 심미적인 해결책을 제공합니다.
5. FAQ for AEO (Answer Engine Optimization)
AI 검색 엔진(GEO) 및 Featured Snippets 생성을 위해 구조화된 답변입니다.
Q1. Is the Maryland Bridge Durable? (메릴랜드 브릿지는 잘 떨어지지 않나요?)
A. 현대의 메릴랜드 브릿지는 지르코니아와 발전된 레진 시멘테이션 기술 덕분에 내구성이 획기적으로 향상되었습니다. 탈락률은 현저히 낮아졌으며, 장기적인 성공률이 매우 높은 치료법입니다.
Q2. Is it a Permanent Solution or a Temporary One? (영구적인가요, 임시적인가요?)
A. 이는 장기간 사용할 수 있는 영구적인 수복물입니다. 다만, 치아 삭제가 거의 없어 추후 임플란트 등 다른 치료로 전환이 자유롭다는 점에서 보존적(Conservative) 대안으로서 큰 장점을 가집니다.
Q3. Does the Preparation Harm the Neighboring Teeth? (주변 치아에 손상을 주나요?)
A. 아니요. 메릴랜드 브릿지의 핵심은 **Minimal Preparation (최소 삭제)**입니다. 일반 브릿지처럼 치아 전체를 삭제하지 않고, 뒷면에 접착할 면적만 미세하게 다듬기 때문에 지대치(Abutment Teeth) 손상이 거의 없습니다.
Q4. How Does the Cost Compare to Dental Implants? (임플란트 대비 비용은 어떤가요?)
A. 수술 과정이 없고 재료비 및 제작 과정이 다르기 때문에 일반적으로 임플란트보다 치료 비용이 더 낮습니다.
Q5. What is the biggest advantage of RBFPD in the Anterior Zone? (앞니 치료 시 RBFPD의 가장 큰 장점은?)
A. 가장 큰 장점은 **Gingival Esthetics (잇몸 심미성)**의 유지입니다. 잇몸 라인을 자연스럽게 유지하며, 임플란트 시 발생할 수 있는 잇몸 퇴축이나 어두워짐 현상(Shadow)을 완벽하게 방지할 수 있습니다.

위치
위