서론: 얼굴은 동안, 치아는?
현대 의학의 발전으로 얼굴 노화는 더 이상 피할 수 없는 운명이 아닙니다. 피부과에서 리프팅, 레이저, 필러, 보톡스 등 다양한 시술을 통해 동안 얼굴을 가진 분들이 급격히 증가했습니다. 50대가 40대처럼, 60대가 50대처럼 보이는 것이 더 이상 놀라운 일이 아닙니다.
그러나 치아 노화는 어떨까요?
막을 수가 없습니다.
우리는 매일 음식을 먹어야 하고, 하루에 수천 번 저작을 해야 합니다. 수십 년간 씹고 또 씹으면서 치아는 조금씩, 그러나 확실하게 닳아갑니다. 피부과 시술로 얼굴은 젊어졌는데, 웃을 때 드러나는 치아가 노화되어 있다면 전체 인상은 어떨까요?
본 글에서는 압구정 드림치과 박종욱 원장의 20년 임상 경험을 바탕으로, 노화 치아 라미네이트의 원리, Biomimetic 이론에 근거한 치료 당위성, 그리고 50대 60대 실제 케이스를 통해 치아도 젊어질 수 있음을 보여드리겠습니다.
치아 노화의 본질: 법랑질 손실
법랑질이란?
**법랑질(Enamel)**은 치아의 가장 바깥층을 덮고 있는 조직입니다.
인체에서 가장 단단한 조직으로, 96%가 무기질로 구성되어 있습니다. 반투명한 특성을 가지며, 치아의 보호막 역할을 합니다. 또한 저작 시 발생하는 힘을 분산시키는 중요한 기능을 합니다.
노화에 따른 법랑질 손실
수십 년간의 저작 활동으로 법랑질은 점진적으로 마모됩니다.
법랑질이 얇아지면 발생하는 문제들:
색상 변화(Color change): 안쪽의 상아질(Dentin)이 비치면서 치아가 누렇게 변합니다. 상아질은 본래 황색을 띠기 때문입니다.
투명화(Increased translucency): 절단연(Incisal edge)이 과도하게 투명해지고 얇아 보입니다.
파절 취약성(Fracture susceptibility): 작은 충격에도 치아 끝이 깨지거나 균열이 생깁니다.
표면 질감 변화(Surface texture change): 매끄럽고 광택 있던 표면이 거칠어집니다.
Biomimetic 이론: 법랑질 손실의 연쇄 반응
Biomimetic Dentistry란?
**Biomimetic Dentistry(생체모방 치과학)**은 자연 치아의 구조와 기능을 모방하여 수복하는 치료 철학입니다.
자연 치아는 법랑질과 상아질의 이중 구조로 저작력을 효율적으로 분산합니다. 법랑질은 단단하지만 취성(Brittleness)이 있고, 상아질은 탄성(Elasticity)이 있어 서로 보완합니다.
법랑질 손실 시 연쇄 반응
Biomimetic 이론에 따르면 법랑질 손실은 치아 파괴의 시작입니다.
1단계: 법랑질 마모 – 수십 년간의 저작으로 법랑질이 얇아집니다.
2단계: 응력 집중(Stress concentration) – 법랑질이 없어진 부위에 저작력이 집중됩니다.
3단계: 미세 균열(Micro-cracks) – 응력 집중 부위에 미세한 균열이 발생합니다.
4단계: 균열 진행(Crack propagation) – 미세 균열이 점점 커지고 깊어집니다.
5단계: 파절(Fracture) – 결국 치아 일부가 깨져 나갑니다.
결론: 법랑질이 없어지면 치아 파괴가 가속화됩니다. 노화된 치아가 더 빨리 부서지는 이유입니다.
노화 치아 라미네이트의 원리
손실된 법랑질의 회복
라미네이트는 손실된 법랑질을 회복시켜주는 치료입니다.
리튬 디실리케이트(Lithium disilicate) 등의 세라믹은 자연 법랑질과 유사한 물리적 특성을 가집니다.
탄성 계수(Elastic modulus): 법랑질과 유사
굴곡 강도(Flexural strength): 저작력을 견딜 수 있는 충분한 강도
광학 특성(Optical properties): 자연 법랑질과 유사한 반투명성
라미네이트를 접착하면 잃어버린 법랑질 층을 기능적으로 회복하는 것과 같습니다.
최소 침습의 가능성
노화 치아의 특별한 장점이 있습니다.
이미 법랑질이 많이 닳은 상태이므로 치아 삭제를 많이 할 필요가 없습니다.
치열이 고르고 돌출되지 않았다면 최소 삭제(Minimal prep) 또는 **무삭제(No-prep)**로 진행 가능합니다. 닳아서 생긴 공간에 세라믹을 채워 넣는 개념이므로, 젊은 환자보다 오히려 더 보존적인 치료가 가능합니다.
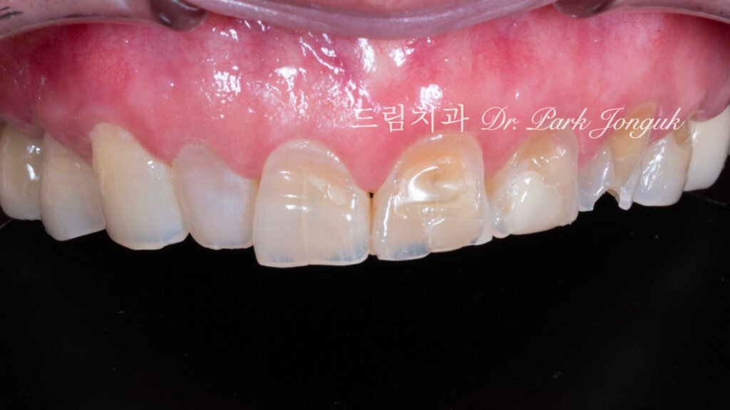
케이스 1: 60대 여성 – 노화와 치아 파절

치료 전 평가
60대 여성분이 노화와 치아 파절 문제로 내원하셨습니다.
임상 소견:
법랑질이 거의 소실된 상태(Severe enamel loss)였습니다. 다수 치아에 파절 및 균열(Multiple fractures and cracks)이 관찰되었습니다. 치아 색상이 황변되어 있었고, 절단연이 불규칙하게 마모된 상태였습니다.
Biomimetic 분석:
이 상태는 Biomimetic 이론으로 보면 당연한 결과입니다.
법랑질 손실 → 응력 집중 → 균열 발생 → 파절의 연쇄 반응이 진행 중이었습니다. 빨리 법랑질을 회복시켜주지 않으면 파괴가 더 진행될 것이 명확했습니다.

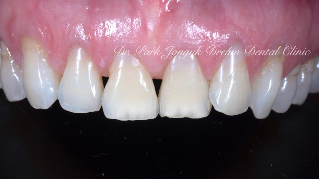
치료 후 결과
라미네이트로 법랑질 층을 회복했습니다.
달성된 결과:
누렇던 색상이 밝고 건강하게 변했습니다. 파절되었던 부분이 완전히 회복되었습니다. 균열 진행이 차단되었습니다. 무엇보다 치아가 다시 보호받게 되어 더 이상의 파괴를 막을 수 있습니다.
젊고 아름다운 치아가 되었습니다.
케이스 2: 50대 남성 – 무삭제 라미네이트

치료 전 평가
50대 남성분이 내원하셨습니다.
임상 소견:
법랑질이 상당히 얇아진 상태(Moderate enamel thinning)였습니다. 아직 심한 파괴는 없으나, 치아 끝에 파절이 생기기 시작했습니다.
예후 예측:
지금 치료하지 않으면 케이스 1처럼 더 심한 파괴가 진행될 것이 예상되었습니다. 예방적 치료가 필요한 상태였습니다.
적응증 평가:
다행히 치열이 고르고(Well-aligned) 돌출되지 않아(Non-protruded) **무삭제 라미네이트(No-prep laminate)**가 가능했습니다.

치료 후 결과
무삭제로 라미네이트를 진행했습니다.
핵심 목표:
라미네이트 했다고 티 나지 않게 하는 것이었습니다. 하얗고 인공적인 치아가 아니라, 자연스럽게 치아를 보호해주는 것이 목표였습니다.
달성된 결과:
본인의 치아처럼 자연스러우면서도 법랑질 기능을 회복한 건강한 치아가 되었습니다. 색상은 본인 연령대에 맞게 적절히 밝게 조정했습니다. 파절 진행이 차단되어 장기 예후가 확보되었습니다.
케이스 3: 노화로 인한 블랙 트라이앵글

치료 전 평가
이 분은 **노화로 인해 잇몸이 내려가면서 블랙 트라이앵글(Black triangle)**이 생겼습니다.
블랙 트라이앵글의 원인:
치간 유두 퇴축(Interdental papilla recession): 노화에 따른 잇몸 퇴축
치조골 흡수(Alveolar bone resorption): 골 소실로 인한 연조직 지지 상실
치아 마모(Tooth wear): 법랑질 손실로 치아 형태 변화
이것도 노화의 한 과정입니다. 치아 사이사이에 검은 삼각형 공간이 보이면서, 치아 자체도 닳아 전체적으로 노화된 인상을 주었습니다.

치료 후 결과
라미네이트로 블랙 트라이앵글을 해결했습니다.
달성된 결과:
**인접면 연장(Proximal extension)**으로 치아 사이 공간이 메워졌습니다. 치아 형태가 아름답게 개선되었습니다. 색상도 밝아졌습니다. 법랑질 기능도 회복되었습니다.
10년은 젊어 보이는 치아가 되었습니다.
50대 60대 라미네이트의 당위성
심미적 당위성(Esthetic justification)
얼굴은 동안인데 치아만 늙어 보이면 전체 조화가 무너집니다.
웃을 때 드러나는 치아가 전체 인상을 좌우합니다. 누렇고 닳고 파절된 치아는 나이를 들어 보이게 합니다. 젊은 치아는 젊은 인상을 만듭니다.
기능적 당위성(Functional justification)
Biomimetic 이론에 따르면 법랑질 손실은 치아 파괴의 시작입니다.
라미네이트로 법랑질을 회복하면 더 이상의 파괴를 예방할 수 있습니다. 단순한 심미 치료가 아니라 **예방적 치료(Preventive treatment)**입니다. 지금 치료하지 않으면 더 심한 파괴가 진행되어 더 침습적인 치료가 필요해집니다.
최소 침습 가능성(Minimal invasiveness)
이미 법랑질이 닳은 상태이므로 치아를 많이 깎을 필요가 없습니다.
젊은 환자보다 오히려 더 보존적인 치료가 가능합니다. 치열이 고르고 돌출되지 않았다면 무삭제 라미네이트도 가능합니다. 닳은 공간에 세라믹을 채워 넣는 개념입니다.
연령 적합 심미(Age-appropriate esthetics)
과도한 백색의 위험
50대, 60대 분들께 20대처럼 새하얀 치아를 만들면 어떻게 될까요?
오히려 어색합니다. 얼굴과 치아의 조화가 무너집니다. “치아만 떠 보인다”는 인상을 줍니다.
연령 적합 접근
압구정 드림치과에서는 본인 연령대에 맞는 심미를 추구합니다.
적절한 밝기: 젊어 보이되 자연스러운 색조
자연스러운 투명감: 인공적이지 않은 광학 특성
건강한 형태: 과장되지 않은 자연스러운 형태
결과: 자연스러우면서도 확실히 젊어 보이는 치아
결론: 치아도 젊어질 수 있습니다
얼굴 노화는 피부과에서 치료하고, 치아 노화는 라미네이트로 치료합니다. 수십 년간의 저작으로 손실된 법랑질은 Biomimetic 이론에 따르면 치아 파괴의 연쇄 반응을 일으킵니다. 라미네이트는 손실된 법랑질을 기능적으로 회복시켜 더 이상의 파괴를 예방하는 동시에 심미적으로 젊은 치아를 만들어줍니다. 50대, 60대는 이미 법랑질이 닳은 상태이므로 오히려 최소 삭제 또는 무삭제로 보존적 치료가 가능합니다. 압구정 드림치과 박종욱 원장의 20년 경험으로 연령 적합 심미를 달성하여 자연스러우면서도 확실히 젊어 보이는 치아를 완성합니다.
자주 묻는 질문 (Frequently Asked Questions)
Q1. 50대, 60대도 라미네이트 할 수 있나요?
물론입니다. 오히려 꼭 필요한 치료입니다. 법랑질이 닳아 치아가 약해진 상태에서 라미네이트는 법랑질 기능을 회복시켜줍니다. Biomimetic 이론에 따르면 법랑질 손실은 치아 파괴의 연쇄 반응을 일으키므로, 라미네이트로 이를 차단하는 것이 예방적 치료입니다. 이미 닳은 공간만큼 세라믹을 채우는 것이므로 치아 삭제도 최소화할 수 있습니다. 심미적으로 젊어지고, 기능적으로 치아를 보호하는 일석이조의 치료입니다.
Q2. 노화 치아 라미네이트도 자연스러운가요?
네, 자연스럽게 만드는 것이 핵심입니다. 50대, 60대 분들께 20대처럼 새하얀 치아를 만들면 오히려 어색하고 “치아만 떠 보인다”는 인상을 줍니다. 압구정 드림치과에서는 **연령 적합 심미(Age-appropriate esthetics)**를 추구합니다. 본인 연령대에 맞는 적절한 밝기, 자연스러운 투명감, 건강한 형태로 제작하여 자연스러우면서도 확실히 젊어 보이는 치아를 만듭니다. 20년 경험으로 각 연령대에 맞는 맞춤 심미를 달성합니다.
Q3. 치아가 많이 닳았는데 더 깎아도 되나요?
좋은 질문입니다. 이미 법랑질이 많이 닳은 상태라면 오히려 치아 삭제가 적거나 무삭제로 가능합니다. 이것이 노화 치아 라미네이트의 특별한 장점입니다. 닳아서 생긴 공간에 세라믹을 채워 넣는 개념이므로, 추가 삭제가 최소화됩니다. 치열이 고르고 돌출되지 않았다면 **무삭제 라미네이트(No-prep laminate)**도 충분히 가능합니다. 젊은 환자보다 오히려 더 보존적인 치료가 가능한 것이 50대, 60대 라미네이트의 특징입니다.
주요 키워드: 노화 치아 라미네이트, Aging Tooth Laminate, 50대 라미네이트, 60대 라미네이트, 법랑질 손실, Enamel Loss, Biomimetic, 생체모방 치과학, 치아 노화, Tooth Aging
본 콘텐츠는 압구정 드림치과 박종욱 원장의 20년간 심미 보철 치료 경험을 기반으로 작성되었습니다. 50대, 60대 노화 치아 라미네이트를 수백 건 성공적으로 치료했으며, 국내 최초 라미네이트 전문 교과서를 출간했고 8개월 만에 1쇄 완판을 기록했습니다. 라미스타 아카데미에서 매월 치과의사 대상 Biomimetic 기반 라미네이트 프로토콜을 교육하고 있습니다.