서론: 교정 치료의 한계와 라미네이트의 역할
**교정 치료(Orthodontic treatment)**를 완료했음에도 불구하고 심미적 불만족을 호소하는 환자들이 적지 않습니다. “교정을 했는데도 치아가 여전히 삐뚤어 보여요”, “교정했는데 치아 모양이 예쁘지 않아요”라는 호소는 교정 치료의 구조적 한계를 반영합니다. 교정은 **치아의 위치(Tooth position)**를 이동시키는 치료이지만, 치아의 형태(Tooth morphology), 크기(Size), 미세한 치축 각도(Tooth axis angulation), **교합 평면의 완벽한 수평(Occlusal plane leveling)**까지 조절하기는 어렵습니다.
특히 치아 축이 기울어진 경우(Tilted tooth axis) 라미네이트로 해결하기 매우 까다롭습니다. 이는 치아마다 불균등한 삭제량(Uneven tooth reduction), 비대칭적 라미네이트 두께(Asymmetric veneer thickness), **복잡한 접착 각도(Complex bonding angulation)**를 요구하기 때문입니다. 그러나 정밀한 진단(Precise diagnosis), 디지털 계획(Digital planning), 석고 모델 시뮬레이션(Cast simulation), **현미경 하 정확한 치아 형성(Microscope-assisted preparation)**을 통해 성공적인 결과를 얻을 수 있습니다.
본 글에서는 압구정 드림치과 박종욱 원장의 20년 임상 경험을 바탕으로, 교정 후에도 남은 치축 기울기(Tooth axis inclination), 비대칭 교합 평면(Asymmetric occlusal plane), 불규칙한 치아 형태(Irregular tooth morphology) 문제를 라미네이트로 해결하는 체계적 프로토콜을 제시합니다.
초진 평가: 교정 후 남은 문제점

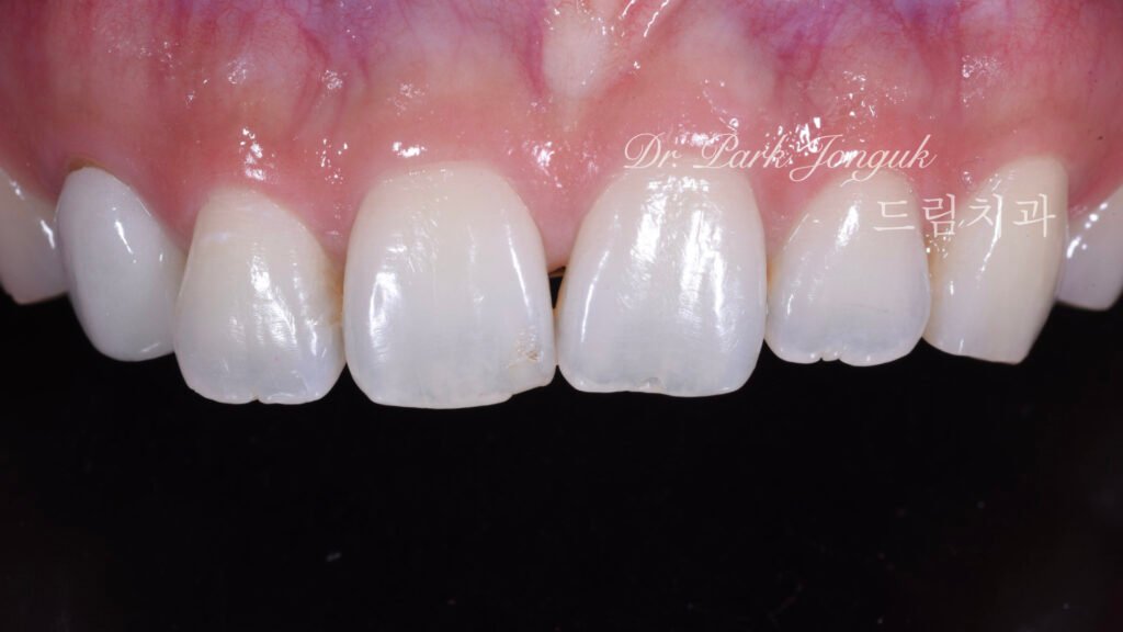
사진 1은 초진 시 치아의 상태를 보여줍니다.
교정 치료 이력
환자는 교정 치료를 완료한 상태입니다. 치열이 어느 정도 정리되었으나, 심미적 불만족이 지속됩니다.
세 가지 핵심 문제
첫째, 치열의 불완전한 정렬(Incomplete alignment)
미세한 회전(Rotation), 위치 이상(Malposition)이 잔존합니다. 교정으로 대부분 개선되었으나 완벽하지 않습니다.
둘째, 치아 축의 기울기(Tooth axis inclination)
이 사진만 봐도 기울어져 있음을 알 수 있습니다. 치아가 수직으로 서 있지 않고 **비스듬하게 경사(Oblique angulation)**져 있습니다. 이는 교정의 한계이며, 브라켓과 와이어만으로는 미세한 치축 각도를 완벽히 조절하기 어렵습니다.
셋째, 불규칙한 치아 형태(Irregular tooth morphology)
치아 모양 자체가 비심미적입니다. 크기가 제각각이고, 비율이 부조화스러우며, 표면 형태가 불규칙합니다. 교정은 치아를 옮기는(Move) 것이지 모양을 바꾸는(Reshape) 것이 아니므로, 이 문제는 해결되지 않습니다.
심층 진단: 비대칭 교합 평면

사진 2는 안면 분석 결과를 보여줍니다.
교합 평면 분석
얼굴의 기울기를 선으로 표시했습니다. 이는 **교합 평면(Occlusal plane)**의 기울기를 시각화한 것입니다.
교합 평면의 정의와 중요성
교합 평면은 상악 중절치 절단연과 제1대구치 협측 교두를 연결하는 가상의 평면입니다. 이상적으로 이 평면은 **수평선과 평행(Parallel to horizon)**해야 하며, **안면 중심선에 대해 대칭(Symmetric to facial midline)**이어야 합니다.
교합 평면이 기울어져 있음을 볼 수 있습니다. 한쪽이 높고(Superior) 한쪽이 낮습니다(Inferior). 이는:
- 미소의 비대칭(Asymmetric smile)
- 안면 부조화(Facial disharmony)
- 심미적 불안정감(Esthetic instability)
을 초래합니다.
교정의 한계
교합 평면의 기울기는 골격적 요인(Skeletal factors), 치조골 높이 차이(Alveolar bone height discrepancy), 치아 맹출 불균형(Uneven tooth eruption) 등 복합적 원인에서 비롯됩니다. 교정 치료만으로 완벽한 수평을 달성하기 어려운 경우가 많습니다.
정밀 치료 계획: 디지털 삭제량 계산

사진 3은 디지털 치료 계획을 보여줍니다.
목표 설정
- 치축 수직화(Tooth axis verticalization)
- 교합 평면 수평화(Occlusal plane leveling)
- 치아 크기 조화(Tooth size harmonization)
- 치아 형태 심미화(Tooth morphology esthetization)
디지털 분석
치료 계획을 세우게 되고 이 계획대로 되기 위해서 필요한 치아의 삭제량을 계산하게 됩니다.
각 치아별 맞춤 삭제량(Individual tooth reduction):
- 기울어진 방향에 따라 치아마다 다름
- 어떤 치아: 순면(Labial) 0.3mm, 절단연(Incisal) 0.5mm
- 어떤 치아: 순면 0.7mm, 절단연 0.3mm
- **비대칭적 삭제(Asymmetric reduction)**로 대칭적 결과(Symmetric result) 달성
정밀도의 중요성
치축 기울기 보정은 0.1mm 단위의 정밀도를 요구합니다. 1mm 오차는 치료 실패로 이어집니다. 따라서 디지털 시뮬레이션이 필수적입니다.
석고 모델 시뮬레이션: 3단계 검증



사진 4, 5, 6은 석고 모델을 통한 단계적 시뮬레이션입니다.
사진 4: 현재 상태 모델(Current state cast)
환자의 현재 치아 상태를 정밀하게 재현한 석고 모델입니다.
- 기울어진 치축 가시화(Visualized tilted axis)
- 불규칙한 치아 형태 확인(Irregular morphology identified)
- 비대칭 교합 평면 측정(Asymmetric plane measured)
사진 5: 치아 삭제 후 모델(Post-preparation cast)
계획한 대로 치아를 삭제한 모델입니다.
각 치아마다 삭제량이 다릅니다. 이는 **기울어진 정도에 맞춘 맞춤형 삭제(Customized reduction matched to inclination)**의 결과입니다.
정밀 계획의 가시적 증명:
- 치아 A: 우측 0.7mm, 좌측 0.3mm 삭제
- 치아 B: 우측 0.4mm, 좌측 0.6mm 삭제
- 비대칭 삭제 → 대칭 결과
사진 6: 왁스업 모델(Wax-up cast)
**최종 치료 결과를 미리 보여주는 진단 왁스업(Diagnostic wax-up)**입니다.
달성된 목표:
- 치축 수직화 완료(Axis verticalized)
- 교합 평면 수평화 완료(Plane leveled)
- 치아 크기 조화 달성(Size harmonized)
- 치아 형태 심미화 달성(Morphology esthetized)
환자 승인: 이 모델을 환자에게 제시하여 최종 결과를 미리 확인하고 승인받습니다.
정밀 치아 형성: 계획의 실행

사진 7은 계획에 맞춰서 치아 삭제를 한 실제 임상 상태입니다.
가이드 활용(Guide utilization)
석고 모델에서 제작한 **실리콘 삭제 가이드(Silicon reduction guide)**를 사용합니다:
- 계획된 삭제 깊이 정확히 재현(Exact depth reproduction)
- 좌우 대칭성 확보(Bilateral symmetry)
- 1mm 오차도 허용하지 않음(Zero tolerance)
현미경 하 정밀 형성(Microscope-assisted preparation)
모든 과정을 치과용 현미경(Dental microscope) 하에서 진행:
- 0.1mm 단위 시각 확인(0.1mm visual verification)
- 매끈한 변연선(Smooth margin)
- 언더컷 제거(Undercut elimination)
- 정확한 삭제 깊이(Precise reduction depth)
비대칭 삭제로 대칭 달성
기울어진 치축을 보정하기 위한 전략적 비대칭 삭제:
- 기울어진 방향의 반대쪽을 더 삭제
- 라미네이트 두께로 축 보정
- 최종 결과: 수직화된 치축
치료 결과: 완벽한 변화




사진 8, 9, 10, 11은 라미네이트 접착 후 최종 결과입니다.
치축 수직화 달성(Tooth axis verticalization achieved)
기울어져 있던 치아들이 **수직으로 정렬(Vertically aligned)**되었습니다. 자연스러운 치축 각도(Natural axial inclination)가 재현되었습니다.
교합 평면 수평화 달성(Occlusal plane leveling achieved)
한쪽이 높고 낮던 비대칭 교합 평면이 **완벽한 수평(Perfect horizontal)**이 되었습니다. 미소의 대칭성(Smile symmetry)이 확보되었습니다.
치아 형태 심미화 달성(Tooth morphology esthetization achieved)
불규칙하던 치아 모양이 조화롭고 아름답게(Harmonious and beautiful) 정돈되었습니다:
- 적절한 치아 비율(Appropriate tooth proportion)
- 자연스러운 입체감(Natural three-dimensionality)
- 섬세한 표면 텍스처(Delicate surface texture)
광학적 우수성(Optical excellence)
- 자연치아 유사 투명감(Natural translucency)
- 색상 그라디언트(Color gradient)
- 유백광 재현(Opalescence)
- 탐지 불가능(Undetectable restoration)
미소의 변화: 심미적 성공


사진 12, 13은 치료 전후 미소의 비교입니다.
완전 좋아졌습니다.
치료 전 미소(Pre-treatment smile)
- 불안정한 느낌(Unstable appearance)
- 치아 비대칭(Tooth asymmetry)
- 교합 평면 기울기 가시화(Visible plane cant)
- 자신감 결여(Lack of confidence)
치료 후 미소(Post-treatment smile)
- 환하고 아름다움(Bright and beautiful)
- 완벽한 대칭(Perfect symmetry)
- 수평 교합 평면(Horizontal occlusal plane)
- 자신감 충만(Confident expression)
**완전히 다른 사람(Completely different person)**처럼 보입니다. 10년 젊어 보이며(Appears 10 years younger), 삶의 질이 향상(Quality of life improved)됩니다.
교정 후 라미네이트의 임상적 가치
교정의 한계 보완
교정 치료는:
- 치아 위치 이동(Tooth movement): 가능
- 치아 형태 변경(Morphology change): 불가능
- 미세 치축 조정(Fine axis adjustment): 제한적
- 완벽한 평면 수평화(Perfect leveling): 어려움
라미네이트는:
- 치축 수직화(Axis verticalization): 가능
- 형태 완전 변경(Complete morphology change): 가능
- 교합 평면 수평화(Plane leveling): 가능
- 크기, 색상 조절(Size, color control): 가능
치료 기간 비교
재교정(Re-orthodontics): 1-2년 이상 라미네이트(Laminate veneers): 2-3주
종합적 우월성
교정 후 잔존 문제에 대해 라미네이트는 빠르고(Fast), 정확하고(Accurate), 효과적이며(Effective), **심미적(Esthetic)**입니다.
기울어진 치축 케이스의 성공 요건
치아 축이 기울어진 경우 라미네이트로 해결하기 매우 까다롭습니다. 성공을 위한 필수 요소:
1. 정밀한 진단(Precise diagnosis)
- 디지털 안면 분석
- 교합 평면 각도 측정
- 각 치아 축 기울기 정량화
2. 치밀한 계획(Meticulous planning)
- 맞춤형 삭제량 계산
- 석고 모델 시뮬레이션
- 왁스업 검증
3. 정확한 실행(Accurate execution)
- 가이드 활용
- 현미경 사용
- 0.1mm 단위 정밀도
4. 숙련된 협업(Skilled collaboration)
- 경험 풍부한 술자
- 숙련된 세라믹 기공사
- 환자와의 긴밀한 소통
5. 풍부한 경험(Extensive experience)
- 수백 케이스의 노하우
- 복잡한 케이스 해결 능력
- 20년 이상 전문성
결론: 교정 후 라미네이트의 완성도
교정 치료 후 남은 치축 기울기, 비대칭 교합 평면, 불규칙한 치아 형태는 환자의 심미적 만족도를 저해합니다. 이러한 문제는 교정의 구조적 한계이며, 재교정보다 라미네이트가 더 효과적인 해결책입니다. 그러나 기울어진 치축의 라미네이트 보정은 매우 까다로우며, 정밀한 디지털 진단, 석고 모델 시뮬레이션, 맞춤형 비대칭 삭제, 현미경 하 정확한 치아 형성이 필수적입니다. 압구정 드림치과 박종욱 원장의 20년 경험과 체계적 프로토콜로 교정 후에도 남은 문제를 완벽히 해결하고, 환자는 대칭적이고 아름다운 미소를 되찾을 수 있습니다. 교정 후 불만족, 포기하지 마십시오. 라미네이트로 완성할 수 있습니다.
자주 묻는 질문 (Frequently Asked Questions)
Q1. 교정을 했는데도 라미네이트가 필요한가요?
네, 많은 경우 필요합니다. 교정 치료는 치아의 위치를 이동시키는 치료이지만, 치아의 형태, 크기, 미세한 치축 각도, 교합 평면의 완벽한 수평까지 조절하기는 어렵습니다. 특히 치아 축이 기울어져 있거나 교합 평면이 비대칭인 경우, 치아 모양이 불규칙한 경우는 교정만으로 해결되지 않습니다. 재교정을 하면 1-2년이 더 소요되지만, 라미네이트는 2-3주 만에 치아의 축, 형태, 크기, 색상을 모두 조절할 수 있습니다. 압구정 드림치과 박종욱 원장의 경험에서 교정 후 라미네이트 환자들의 만족도가 매우 높습니다.
Q2. 치아 축이 기울어진 경우 라미네이트가 정말 가능한가요?
가능하지만 매우 까다롭습니다(Very challenging). 기울어진 치축을 보정하려면 각 치아마다 **비대칭적 삭제(Asymmetric reduction)**가 필요합니다. 예를 들어 한 치아는 우측 0.7mm, 좌측 0.3mm를 삭제하는 식입니다. 이를 위해서는 정밀한 디지털 분석으로 각 치아의 삭제량을 0.1mm 단위로 계산하고, 석고 모델로 시뮬레이션하며, 실리콘 가이드와 현미경을 사용해 정확하게 치아를 형성해야 합니다. 20년 경험과 수백 건의 복잡한 케이스를 성공적으로 치료한 노하우가 있어야 가능합니다.
Q3. 재교정과 라미네이트 중 어떤 게 더 나을까요?
상황에 따라 다르지만, 치아 축 기울기, 치아 형태, 교합 평면 비대칭 문제는 라미네이트가 더 효과적입니다. 재교정의 한계: (1) 1-2년 이상 소요, (2) 치아 형태나 크기는 바꿀 수 없음, (3) 미세한 치축 각도 조절 제한적, (4) 완벽한 교합 평면 수평화 어려움. 라미네이트의 장점: (1) 2-3주 만에 완성, (2) 치아 축, 형태, 크기, 색상 모두 조절 가능, (3) 정밀한 계획으로 정확한 결과, (4) 즉각적이고 극적인 심미 개선. 정밀한 진단 후 개별 케이스에 최적인 방법을 제안드립니다.
본 콘텐츠는 압구정 드림치과 박종욱 원장의 20년간 심미 보철 치료 경험을 기반으로 작성되었습니다. 교정 후 라미네이트 같은 복잡한 케이스를 수백 건 성공적으로 치료했으며, 국내 최초 라미네이트 전문 교과서를 출간했고 8개월 만에 1쇄 완판을 기록했습니다. 라미스타 아카데미에서 매월 치과의사 대상 교정 후 라미네이트 프로토콜을 교육하고 있습니다.