라미네이트 레이저 제거

2026년 01월 14일

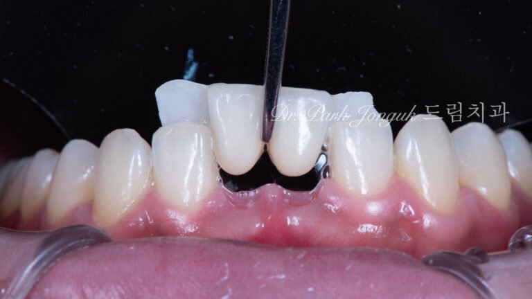
라미네이트 재시술 레이저 제거
치아 손상 없이 라미네이트 재시술을 가능하게 하는 핵심 기술 라미네이트 재시술에서 가장 중요한 단계는새로운 라미네이트를 “어떻게 만드느냐”가 아니라,기존 라미네이트를 어떻게...
Read more

옥니와 왜소치 재시술: 올세라믹 크라운과 무삭제 라미네이트의 완벽한 색상 조화 (Shade Matching)

2026년 01월 13일

무삭제 라미네이트, 올세라믹 크라운 재시술 동시에
Author: 박종욱 (D.D.S., M.S. / Specialist in Conservative Dentistry) Expertise: 28년 치과의사 경력, 20년 앞니 심미 치료 집중, 라미네이트 전문...
Read more

올세라믹 재시술(All-Ceramic Crown Revision): 파절된 크라운에서 자연스러운 미소로

2026년 01월 12일

올세라믹 크라운 재시술 강남 라미네이트 자하는 곳
서론: 파절, 그리고 더 큰 문제의 발견 올세라믹 크라운(All-ceramic crown)의 파절(Fracture)은 환자에게 즉각적인 불편을 초래하는 명백한 실패 징후입니다. 그러나 임상...
Read more

라미네이트 재시술로 앞니 다시 살리기|강남 드림치과 박종욱 원장의 3가지 실제 사례

2026년 01월 09일

라미네이트 재시술 올세라믹 재시술 앞니 재시술
라미네이트 재시술이 필요한 이유와 성공 조건을 서울 강남 압구정 드림치과 박종욱 원장이 실제 3가지 케이스로 설명합니다. 오래된 앞니 올세라믹 크라운,...
Read more

앞니 백색반점(White Spot)의 무삭제 라미네이트 복원: 치아 크기의 한계를 넘는 정밀 진단 (No-Prep Esthetics)

2026년 01월 08일

무삭제 라미네이트
28년 경력 박종욱 원장의 분석. 중절치 백색반점(White Spot)을 치아 삭제 없이 해결한 무삭제 라미네이트 사례입니다. 치아 크기가 작지 않은 악조건에서도...
Read more

라미네이트 재시술(Laminate Revision): 원데이 시스템의 실패를 자연스러움으로 되살리다

2026년 01월 06일

라미네이트 재시술
서론: 재시술이 필요한 순간 라미네이트 베니어(Laminate veneer)는 현대 심미 치과의 대표적인 치료법이지만, 모든 라미네이트가 성공적인 것은 아닙니다. 부적절한 진단, 조잡한...
Read more

Laminate Veneer Revision

2026년 01월 05일

라미네이트 재시술
라미네이트 재시술이 필요한 진짜 이유 — 원데이 라미네이트 이후 찾아오는 문제들 라미네이트 재시술을 고민하는 분들을 위한 실제 임상 사례.원데이 라미네이트가...
Read more

토끼이·벌어진 치아·왜소치를 한 번에 해결한 ‘자연스러운 라미네이트(Veneers)’ 치료 과정

2026년 01월 02일

벌어진 앞니 토끼이 라미네이트
토끼이, 벌어진 치아, 왜소치가 동시에 있는 복합 심미 케이스. 교정 없이 라미네이트만으로 해결한 실제 과정. CAD/CAM 한 가지 재료로 만든...
Read more

무삭제 라미네이트로 자연스러운 변화

2025년 12월 31일

무삭제 라미네이트
Natural-Looking No-Prep Laminate Veneers | 강남 드림치과 📝 메타 설명(SEO용) 20대 여성의 네모지고 어둡게 보이던 앞니를무삭제 라미네이트(no-prep veneer) 방식으로자연스럽고 밝게...
Read more

라미네이트 재시술이 필요한 경우|자연스러운 Laminate Veneer를 다시 만드는 과정

2025년 12월 30일

강남 라미네이트 재시술 잘하는 곳
(Gangnam Laminate Re-treatment, Dream Dental Clinic) 라미네이트 재시술(Laminate Veneer Re-treatment)은 단순한 교체 치료가 아닙니다.강남 드림치과 박종욱 원장이 레이저 제거와 핸드메이드...
Read more