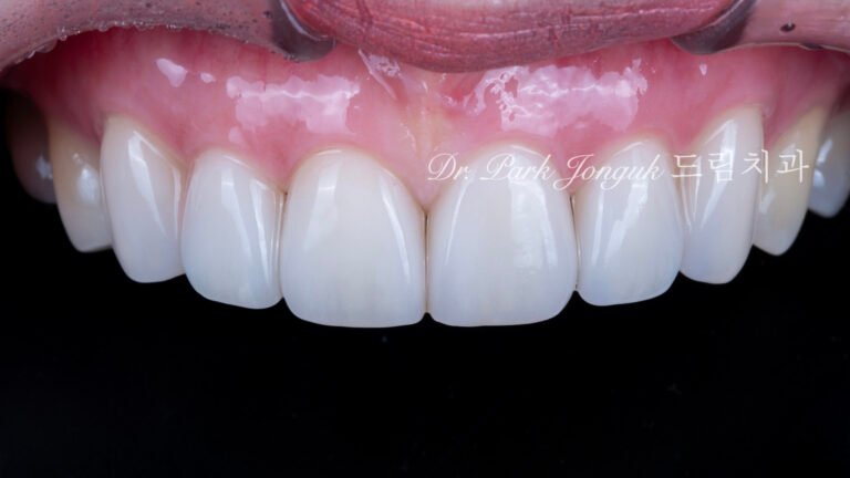
앞니 크라운 재치료와 왜소치 무삭제 라미네이트

2025년 10월 21일

자연스로운 올세라믹 크라운 재시술과 왜소치에 대한 무삭제 라미네이트
자연스러운 조화를 되찾은 심미치료 사례 PFM 크라운으로 인한 잇몸 변색과 왜소치 문제, 신경치료 후 염증까지 복합적으로 나타난 케이스.드림치과 박종욱 원장이...
Read more

자연스러운 라미네이트로 되찾은 젊은 미소

2025년 10월 20일

자연스러운 라미네이트
드림치과 박종욱 원장의 심미 치료 이야기 50대 환자가 앞니 크라운 재치료와 위·아래 라미네이트로 20대의 미소를 되찾은 실제 사례.드림치과 박종욱 원장의...
Read more

왜소치와 기형치를 자연스럽게 복원한 라미네이트 치료

2025년 10월 18일

자연스럽고 아름다운 라미네이트
드림치과 박종욱 원장이 전하는 심미치료의 정수 기형치와 왜소치로 오랜 시간 미소를 감추던 50대 여성 환자.라미네이트에 대한 두려움과 잘못된 정보로 치료를...
Read more

앞니 두 개만 라미네이트|무삭제에 가까운 최소삭제로 완성한 자연스러운 심미 복원

2025년 10월 17일

자연스러운 라미네이트
20년 경력의 드림치과 박종욱 원장이 소개하는 부분 라미네이트 케이스.치아 삭제를 극도로 줄이면서도 자연스러운 색감과 투명감을 살린 실제 임상 사례입니다.정밀 진단과...
Read more

무삭제 라미네이트의 기준|치아를 깎지 않고도 가능한 자연스러운 심미치료

2025년 10월 16일

무삭제 라미네이트
드림치과 박종욱 원장은 20년간 라미네이트 임상 경험을 바탕으로치아를 최대한 보존하면서도 자연스러운 결과를 만드는 무삭제 라미네이트를 소개합니다.정밀 진단, 임시치아 과정, 접착...
Read more

무삭제 라미네이트로 되살린 자연스러운 치아|드림치과 박종욱 원장의 20년 임상 철학

2025년 10월 15일

자연스러운 무삭제 라미네이트
역류성 식도염이나 이갈이로 마모된 치아도, 정밀한 진단과 무삭제 라미네이트를 통해자연스러운 투명감과 밝기를 되찾을 수 있습니다.20년간 라미네이트 임상에 전념해온 드림치과 박종욱...
Read more

무삭제 라미네이트의 진짜 조건|자연스러움과 치아 보존을 모두 잡은 드림치과 박종욱 원장의 케이스

2025년 10월 14일

무삭제 라미네이트
무삭제 라미네이트는 누구나 가능한 치료가 아닙니다.치아 크기, 배열, 옥니 여부 등 정밀한 진단이 필요하며,20년 경력의 드림치과 박종욱 원장이 실제 케이스를...
Read more

Dream Dental Clinic | Dr. Jonguk Park — Creating Natural Smiles Through Laminate Veneers

2025년 10월 13일

About Dr. Jonguk Park Director of Dream Dental Clinic (Apgujeong, Seoul)Director of Lamistar AcademyAuthor of “Clinical Laminate Veneers for Minimal...
Read more

드림치과 박종욱 원장을 소개합니다.

2025년 10월 13일

박종욱 원장
About Dr. Park Jonguk Dream Dental Clinic — Director / Lamista Academy DirectorAuthor of “Clinical Laminate Veneers for Minimal Tooth...
Read more

자연스러운 라미네이트의 기준|20년 임상 경험으로 증명하는 드림치과 박종욱 원장의 심미치료

2025년 10월 13일

라미네이트 치료를 단순한 미용 시술이 아닌 치아 보존 중심의 정밀 진단 치료로 설명합니다.20년 경력의 치과보존과 전문의 박종욱 원장이 『최소삭제를 위한...
Read more