Dr. 박종욱 | 드림치과
무삭제 라미네이트(minimal-prep laminate veneer)는 치아를 거의 깎지 않고도 자연스러운 미소를 복원하는 치료입니다.
50대 남성 환자의 실제 사례를 통해, 드림치과 박종욱 원장이 설명하는 ‘삭제 없이 젊어지는 심미치료’의 과정을 살펴보세요.
라미네이트는 더 이상 20~30대만의 심미치료가 아닙니다.
요즘은 50대 이상 남성분들도 젊어지고 자신감 있는 미소를 위해 많이 찾으십니다.
이번에 소개할 환자분도 그중 한 분이었습니다.
치아 사이가 벌어진 상태로 오랫동안 지내셨지만,
‘치아를 깎지 않아도 된다’는 무삭제 라미네이트를 알게 되고
오랜 고민 끝에 **드림치과(Dream Dental Clinic)**를 찾으셨습니다.
라미네이트는 단순히 하얗게 만드는 미용 시술이 아닙니다.
얼굴형, 미소선, 치아 비율의 조화를 통해
자연스럽고 젊은 인상으로 회복하는 정밀 심미치료입니다.
이번 케이스는 “삭제 없이, 자연스럽게, 젊게”라는 목표 아래 진행되었습니다.
📸 본문
사진 1 — 치료 전 상태

치아 사이가 벌어져 있었고, 전체적으로 앞니 배열이 약간 틀어져 있었습니다.
사진 2~5 — 진단 및 분석




치아의 크기와 비율, 얼굴형과의 조화를 분석했습니다.
완전 무삭제도 가능했지만, 앞니가 살짝 틀어져 있어
표면 일부를 미세하게 다듬는 것이 더 자연스럽다는 결론을 내렸습니다.
사진 6 — 치아 삭제 후 상태

삭제량은 ‘스크래치를 준 정도’로, 마취나 임시치아 없이 진행했습니다.
나중에 라미네이트를 제거하더라도 치아에 지장이 전혀 없는 수준이었습니다.
사진 7~8 — 라미네이트 제작 과정


얇지만 다층 세라믹 빌드업으로 제작된 라미네이트입니다.
한 종류의 세라믹으로 만든 원데이 방식과 달리,
빛의 투과와 반사를 조절해 자연치아 고유의 질감과 깊이감을 재현했습니다.
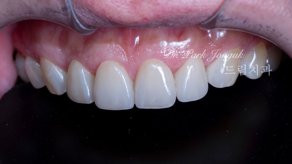
사진 9~11 — 치료 후



거의 삭제 없이 완성된 결과입니다.
치아 사이의 공간은 자연스럽게 닫히고,
투명감과 색조의 균형이 살아나 전체 인상이 훨씬 부드러워졌습니다.
환자분도 “몇 년은 어려 보인다”며 만족하셨습니다.
💡 결론
무삭제 라미네이트는
“치아를 깎지 않아도 되는 심미치료”로만 알려져 있지만,
실제로는 정확한 진단과 세밀한 기술이 함께해야 완성됩니다.
Dr. 박종욱은 20년 이상 라미네이트 임상 경험과
『최소삭제를 위한 라미네이트 임상』의 저자로서
무삭제·최소삭제 라미네이트 분야의 표준을 만들어 왔습니다.
이번 케이스처럼 50대 이상 환자도 충분히
자연스럽고 젊어진 미소를 되찾을 수 있습니다.
❓ Q&A
Q1. 50대 이후에도 라미네이트가 가능한가요?
A. 가능합니다. 잇몸과 치아 상태만 건강하다면 무삭제 라미네이트로도 자연스러운 결과를 얻을 수 있습니다.
Q2. 치아를 전혀 깎지 않아도 되나요?
A. 대부분 가능하지만, 치아 배열이나 형태에 따라 미세한 조정이 필요할 수 있습니다.
Q3. 무삭제 라미네이트는 얼마나 오래 유지되나요?
A. 정확한 접착과 관리가 이루어지면 10~20년 이상 유지됩니다.

