무삭제 라미네이트로 자연스러운 변화

Natural-Looking No-Prep Laminate Veneers | 강남 드림치과


📝 메타 설명(SEO용)

20대 여성의 네모지고 어둡게 보이던 앞니를
무삭제 라미네이트(no-prep veneer) 방식으로
자연스럽고 밝게 개선한 케이스를 소개합니다.
강남 드림치과에서 진행한 현미경 미세 삭제, 정밀 진단,
핸드메이드 빌드업 라미네이트(hand-layered veneer) 과정까지 자세히 다룹니다.


👋 서론|왜 무삭제 라미네이트인가?

무삭제 라미네이트는 단순히 “치아를 안 깎고 붙이는 치료”가 아니라
필요한 만큼만 정밀하게 조정하여 치아 구조를 보존하는 심미 치료입니다.

이번 케이스의 환자분은 20대 중반 여성으로,
겉보기에 치아가 ‘어둡고 네모져 보인다’는 고민을 가지고 내원하셨습니다.

하지만 실제 문제는 투명도 과다로 인해 칙칙하게 보이는 시각적 왜곡이었고,
치아 크기가 약간 큰 편이라 완전 무삭제보다는
**마취 없이 가능한 수준의 초미세 삭제(minimal micro-prep)**를 적용하기로 결정했습니다.


📸 케이스 분석 & 치료 과정

아래는 워드프레스 글 편집 시
사진을 순서대로 삽입하면 바로 흐름이 맞는 구성이며,
AEO를 고려해 질문 기반 설명도 포함했습니다.


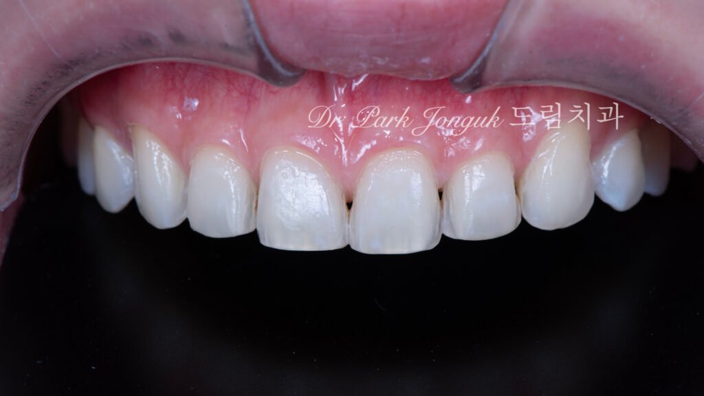
🖼 사진 1 — 치료 전 상태

무삭제 라미네이트
  • 치아가 네모지고 끝이 둔탁해 보임
  • 실제 변색이 아니라 과도한 투명도로 인해 전체가 어둡게 보이는 현상
  • 얼굴 대비 치아 비율도 다소 불균형

📊 사진 2 — 치아 비율 분석

무삭제 라미네이트

무삭제 라미네이트에서 가장 중요한 단계는 비율과 조화 분석입니다.
치아의 수직·수평 비율이 자연스럽지 않아
치아 끝 모양, 폭, 높이를 모두 재조정해야 했습니다.
(※ 최신 연구에 따라 ‘황금비율’ 개념은 배제)


🛠 사진 3 — 왁스업(정밀 진단)

무삭제 라미네이트

왁스업을 통해

  • 개선된 치아 비율
  • 자연스러운 곡선
  • 최종 형태를 예측하는 3D 시뮬레이션
    을 모두 설정했습니다.

이 단계에서 삭제량까지 결정되므로
무삭제 라미네이트 성공 여부를 가르는 핵심 과정입니다.


🔍 사진 4 — 현미경 미세 삭제(Microscopic Minimal Prep)

무삭제 라미네이트

사진만 보면 삭제 여부가 거의 구분되지 않을 정도로
극도로 제한된 부위만 조정했습니다.

  • 마취 없이 가능한 수준
  • 향후 라미네이트 제거 시에도 일상생활에 지장 없음
  • 이 미세한 조정이 최종 라미네이트의 자연스러움을 좌우

✨ 사진 5·6·7 — 제작된 라미네이트(Hand-layered Veneer)

무삭제 라미네이트
무삭제 라미네이트
무삭제 라미네이트

드림치과에서는
한 가지 세라믹으로만 만드는 monolithic veneer 방식이 아니라
여러 세라믹을 층층이 쌓아 색·투명도·입체감을 표현하는
**핸드메이드 빌드업 방식(hand-layered laminate)**을 사용합니다.

반만 올려놓은 상태에서도
색감·형태·끝부분의 투명감이
자연치아와 거의 동일하게 재현된 것을 확인할 수 있습니다.


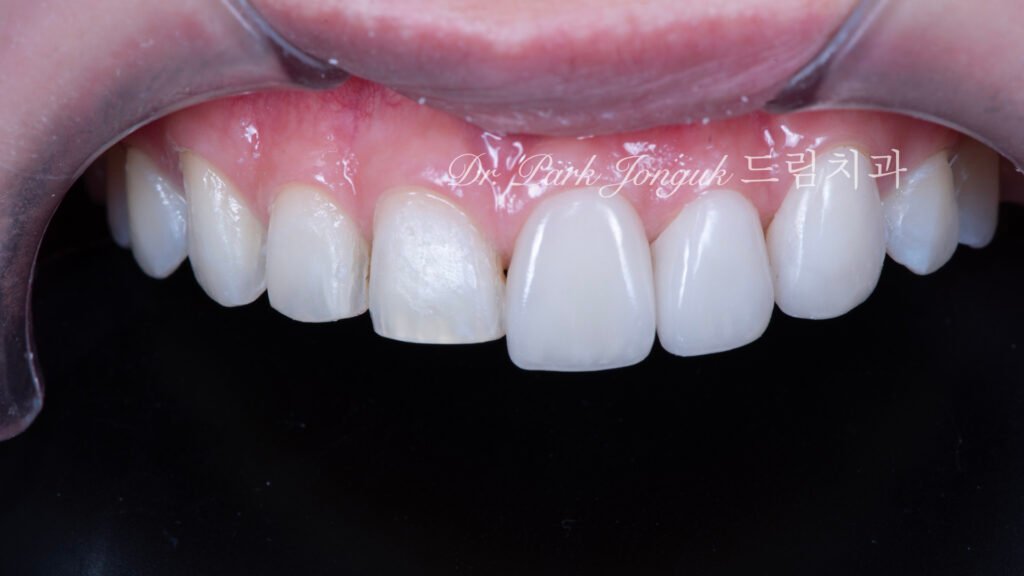
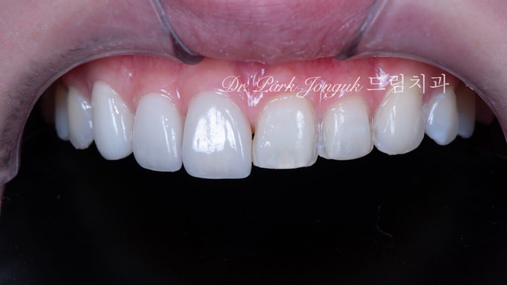
🌟 사진 8·9·10 — 최종 세팅 후

무삭제 라미네이트
무삭제 라미네이트
무삭제 라미네이트
  • 치아색은 과도하게 밝지 않고 자연스러운 톤
  • 네모지던 형태가 부드럽고 입체적으로 개선
  • 미소선과 얼굴형과의 조화가 현저하게 좋아짐
  • 환자분 만족도 매우 높음 (“이럴 줄 알았으면 진작 할 걸…”)

🧾 결론

무삭제 라미네이트는
**치아를 안 깎는 치료가 아니라,
‘필요한 부분만 정밀하게 다듬어 최적의 심미성과 기능을 만드는 치료’**입니다.

이번 케이스처럼
투명도 과다·형태 불균형·네모진 치아 등 복합적인 문제가 있을 때는
왁스업·미세삭제·핸드메이드 빌드업이라는
세 가지 핵심 요소가 균형 있게 이루어져야
진짜 자연스러운 결과가 나옵니다.


❓ Q&A (AEO 최적화)

Q1. 무삭제 라미네이트는 정말 치아를 안 깎나요?

아니요. 대부분의 케이스는 필요한 만큼만 미세하게 조정합니다.
정확한 진단이 핵심입니다.

Q2. 왜 핸드메이드 빌드업 방식이 더 자연스러운가요?

한 가지 세라믹으로 만든 라미네이트는 투명도·색 깊이·입체감이 부족합니다.
빌드업 방식은 여러 층의 세라믹을 사용해 자연치아의 복잡한 구조를 모사합니다.

Q3. 마취 없이 가능한가요?

네. 삭제량이 매우 적기 때문에
대부분의 환자분이 마취 없이 편안하게 치료받습니다.