(Gangnam Laminate Re-treatment, Dream Dental Clinic)
라미네이트 재시술(Laminate Veneer Re-treatment)은 단순한 교체 치료가 아닙니다.
강남 드림치과 박종욱 원장이 레이저 제거와 핸드메이드 라미네이트로
자연스럽고 투명한 라미네이트 재시술 과정을 실제 사례로 설명합니다.
서론|라미네이트 재시술, 왜 이렇게 많이 필요해졌을까
라미네이트(Laminate Veneer)는
앞니 심미치료 중 가장 널리 알려진 방법입니다.
하지만 최근 들어
**라미네이트 재시술(Laminate Re-treatment)**을 위해 내원하는 환자들이
눈에 띄게 늘고 있습니다.
그 이유는 분명합니다.
처음에는
“하얘진 것 같아서 만족스러웠던 라미네이트”가
시간이 지나면서
- 색이 탁해지고
- 불투명해지며
- 치아 형태가 인공적으로 느껴지기 시작하기 때문입니다.
이번 케이스 역시
오래전에 앞니 4개의 라미네이트 치료를 받았다고 생각하고 계셨지만,
실제로는 크라운에 가까울 정도로 삭제가 많은 치료가 이루어져 있었고,
그럼에도 불구하고 결과는 심미적으로 만족스럽지 않은 상태였습니다.
이런 경우
단순 교체가 아닌
정확한 진단을 바탕으로 한 라미네이트 재시술이 필요합니다.
Case Overview|라미네이트 재시술이 필요한 상태

Photo 1. Initial Condition
내원 당시 기존 라미네이트는
전체적으로 탁하고 불투명한 색감을 보였습니다.
치아는 밝아 보이지만
자연치아가 가지는
- 깊이감(depth)
- 투명도(translucency)
- 표면의 미세한 질감(texture)
이 모두가 부족한 상태였습니다.
이런 라미네이트는
사진에서는 괜찮아 보여도
실제 대화하거나 웃을 때
인공적인 느낌이 더 강하게 드러납니다.
Analysis|라미네이트 재시술 전 반드시 필요한 진단

Photo 2. Detailed Analysis
라미네이트 재시술에서 가장 중요한 단계는
“왜 어색해졌는지”를 정확히 분석하는 것입니다.
이번 케이스에서는
- 기존 라미네이트의 두께
- 단일 세라믹(monolithic ceramic) 사용 여부
- 치아 끝의 투명도 부족 원인
- 얼굴과 미소선(smile line)과의 부조화
를 중심으로 분석했습니다.
라미네이트 재시술은
기존 치료의 연장이 아니라
완전히 새로운 설계 과정에 가깝습니다.
Safe Removal|레이저를 이용한 라미네이트 제거

Photo 3. Laser-assisted Removal
기존 라미네이트는
**레이저(Laser-assisted removal)**를 이용해 제거했습니다.
레이저 제거의 장점은
- 치아 손상을 최소화할 수 있고
- 접착 레진만 선택적으로 분리 가능하며
- 재시술을 위한 기초 조건을 안정적으로 만들 수 있다는 점입니다.
라미네이트 재시술의 성패는
사실 이 제거 단계에서 이미 절반이 결정됩니다.
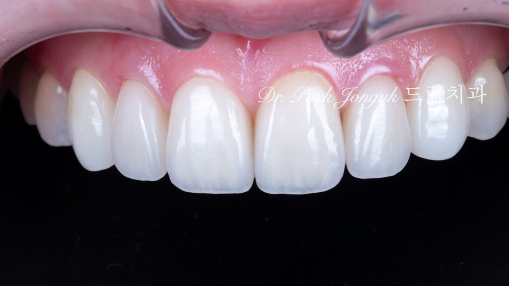
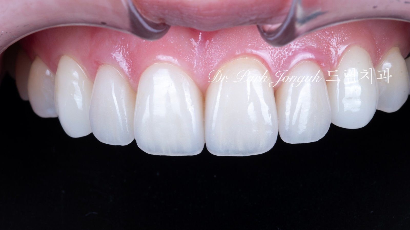
Re-treatment Result|자연스러운 핸드메이드 라미네이트



Photo 4–6. Final Result
재시술 후 가장 큰 변화는
**자연스러움(Natural aesthetics)**입니다.
- 치아의 형태는 부드럽고 입체적으로 바뀌었고
- 색감은 밝지만 인위적이지 않으며
- 특히 치아 끝의 투명감이 눈에 띄게 회복되었습니다.
이는
CAD/CAM 기반 원데이 라미네이트(One-day Laminate)나
단일 세라믹 방식으로는 구현하기 어려운 부분입니다.
드림치과에서는
Hand-layered (빌드업) Laminate Veneer 방식을 사용하여
여러 종류의 세라믹을 층층이 쌓아
자연치아의 광학적 특성을 재현합니다.
환자분 역시
“처음부터 이렇게 했으면 좋았을 것 같다”며
라미네이트 재시술 결과에 매우 만족하셨습니다.
Conclusion|라미네이트 재시술, 어디서 받느냐가 결과를 좌우합니다
라미네이트 재시술은
단순히 다시 붙이는 치료가 아닙니다.
왜 실패했는지,
어디에서 문제가 생겼는지를
정확히 진단할 수 있어야 합니다.
특히
- 탁하고 불투명한 라미네이트
- 인공적인 치아 형태
- 시간이 지날수록 더 어색해지는 앞니라면
라미네이트 재시술을 잘하는 곳에서
처음부터 다시 설계하는 치료가 필요합니다.
강남 드림치과에서는
자연스러운 라미네이트(Natural Laminate Veneer)를 기준으로
재시술을 진행하고 있습니다.
Q&A|Laminate Veneer Re-treatment
Q1. 라미네이트 재시술 시 치아를 더 많이 삭제하나요?
아닙니다. 기존 상태에 따라 다르지만,
레이저 제거와 정밀 진단을 통해 불필요한 삭제는 최소화합니다.
Q2. 재시술 후 더 자연스럽게 만들 수 있나요?
가능합니다. 제작 방식과 진단의 차이가
결과의 자연스러움을 결정합니다.
Q3. 라미네이트 재시술 후 수명은 어느 정도인가요?
정확한 접착과 관리가 이루어지면
10–20년 이상 안정적으로 사용할 수 있습니다.
Q4. One-day Laminate와 재시술 결과 차이가 큰가요?
투명감과 입체감에서 분명한 차이가 있습니다.
재시술일수록 핸드메이드 빌드업 방식이 유리합니다.
Q5. 레이저 제거는 안전한가요?
적절한 장비와 숙련도가 있다면
치아 손상 없이 안전하게 제거할 수 있습니다.
Q6. 앞니 일부만 재시술해도 괜찮나요?
가능하지만 난이도가 매우 높습니다.
그래서 제작 방식과 경험이 더욱 중요합니다.