치아 손상 없이 라미네이트 재시술을 가능하게 하는 핵심 기술
라미네이트 재시술에서 가장 중요한 단계는
새로운 라미네이트를 “어떻게 만드느냐”가 아니라,
기존 라미네이트를 어떻게 제거하느냐입니다.
라미네이트 제거 방식에 따라
치아 보존 여부, 재시술의 범위,
그리고 최종 결과의 자연스러움까지 크게 달라집니다.
이 글에서는
라미네이트 제거, 특히
**라미네이트 레이저 제거(Laser Veneer Removal)**가
왜 치아 보존 측면에서 중요한지,
그리고 재시술 과정에서 어떤 차이를 만드는지 실제 임상 흐름에 맞춰 설명드립니다.
라미네이트 제거는 왜 중요한가?
라미네이트는 치아 표면에 세라믹을 접착하는 치료입니다.
문제는 시간이 지나면서 다음과 같은 상황이 발생할 수 있다는 점입니다.
- 라미네이트 주변 변색
- 마진 부위의 부조화
- 인공적으로 보이는 색감과 형태
- 파절 또는 탈락
- 심미적 불만족
이런 경우 라미네이트 재시술이 필요하지만,
제거 과정에서 치아가 손상되면
재시술은 더 큰 치료로 이어질 수밖에 없습니다.
따라서 라미네이트 제거의 목표는 분명합니다.
기존 라미네이트를 제거하되,
치아는 가능한 한 원래 상태로 보존하는 것
기존의 라미네이트 제거 방식의 한계
전통적으로 가장 많이 사용되어 온 방법은
하이스피드 핸드피스를 이용해
라미네이트를 갈아내는 방식입니다.
하지만 이 방법에는 명확한 한계가 있습니다.
- 세라믹, 레진 세멘트, 치아의 경계가 육안으로 구분되지 않음
- 불필요한 치아 삭제 가능성
- 무삭제·최소삭제 라미네이트였던 경우 오히려 손상 위험 증가
- 제거 후 치아 표면이 거칠어질 가능성
즉,
“제거는 됐지만 치아가 많이 손상된 상태”가 될 수 있습니다.
라미네이트 레이저 제거의 원리
라미네이트 레이저 제거는
기존의 ‘절삭 중심 제거’와 접근 방식이 완전히 다릅니다.
핵심 원리는 다음과 같습니다.
- 세라믹은 레이저 에너지를 대부분 통과
- 치아와 세라믹을 접착하는 **레진 세멘트(resin cement)**는
레이저 에너지에 반응하여 구조가 약화 - 접착력이 급격히 떨어지면서 라미네이트가 분리됨
즉,
치아를 갈아서 제거하는 방식이 아니라
접착층을 무너뜨려 분리하는 방식입니다.
이 과정 후에는
치아 표면에 변성된 레진 세멘트가 남게 되며,
이는 현미경(Microscope) 하에서 선택적으로 제거할 수 있습니다.
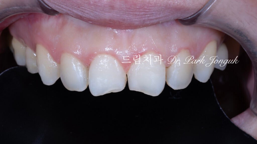
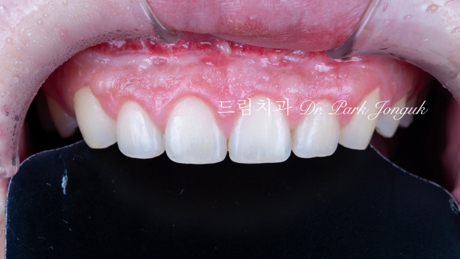
Case 1. 라미네이트 주변 변색으로 인한 재시술
치료 전 상태

라미네이트 주변부 변색이 진행되었고,
심미적 불만족으로 재시술을 원한 케이스입니다.
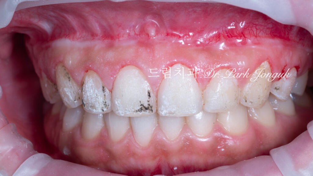
레이저 제거 과정

레이저를 이용해 라미네이트를 분리한 후
치아 표면에는 변색된 레진 세멘트만 남아 있습니다.
이 단계에서 중요한 점은
치아와 레진의 경계가 명확히 보인다는 것입니다.
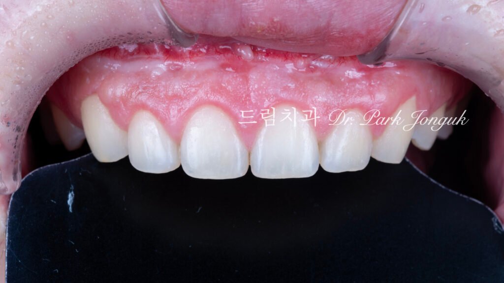
제거 후 상태

현미경으로 레진 세멘트만 정리한 뒤,
치아는 거의 본래 상태 그대로 유지되었습니다.
환자분이
“치아를 많이 깎을 줄 알았다”고 말씀하실 정도로
보존 상태가 좋았습니다.
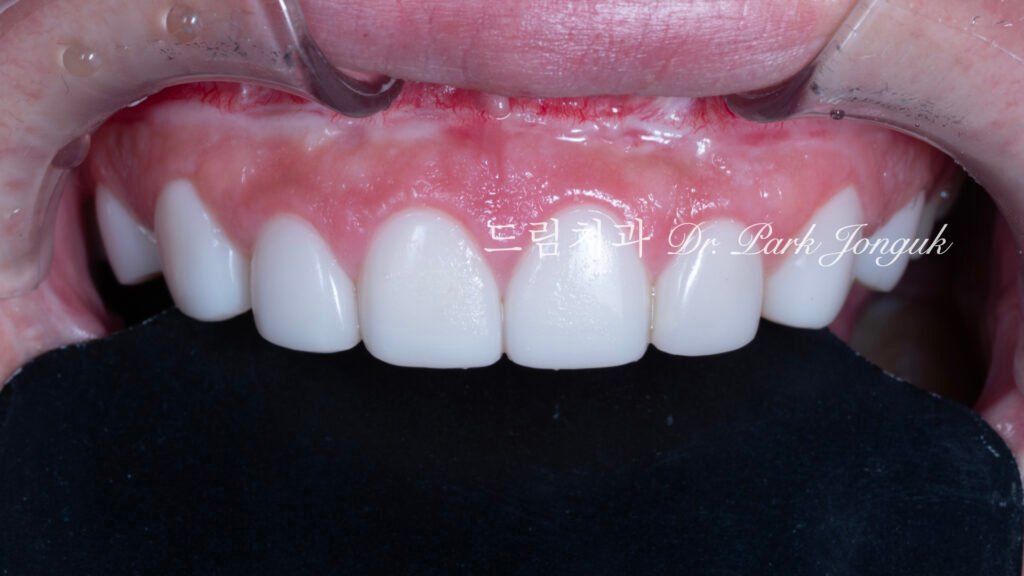
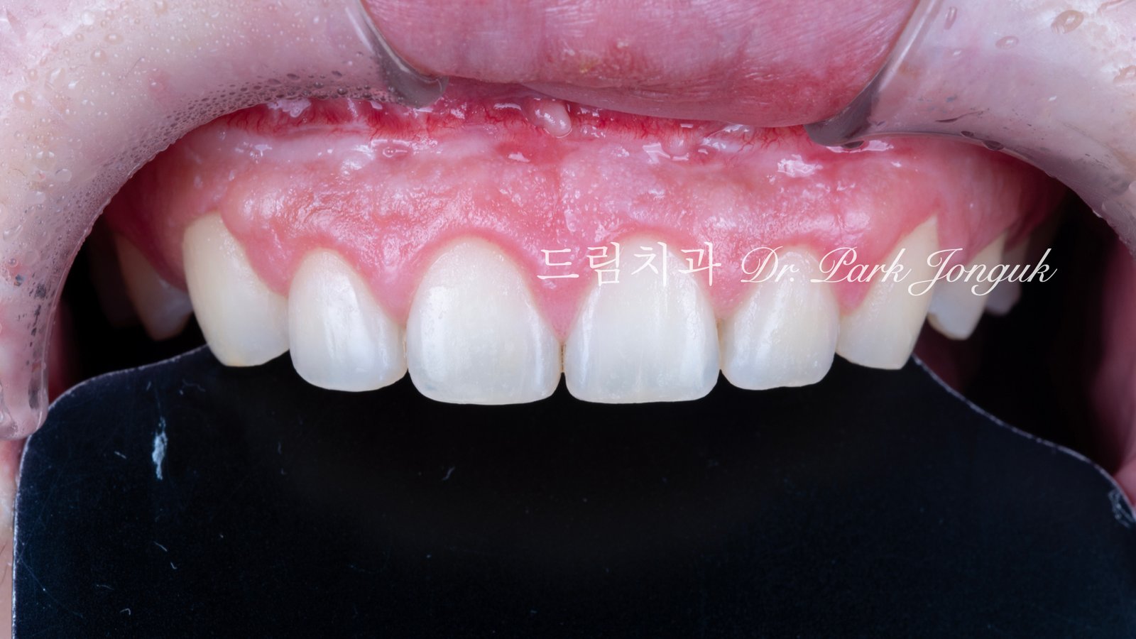
재시술 결과

새로운 라미네이트는
자연스러운 투명감과 색조를 회복했고,
주변 치아와의 조화도 크게 개선되었습니다.
Case 2. 무삭제 라미네이트였지만 인공적인 결과
내원 이유

무삭제 라미네이트를 받았으나
색이 지나치게 하얗고 인공적으로 보여
제거만을 원해 내원한 케이스입니다.
기존 치과에서는
“라미네이트는 제거가 불가능하다”는 설명을 들었다고 합니다.
실제 제거 과정

레이저 제거 후
레진 세멘트만 남은 상태에서
현미경으로 세심하게 제거를 진행했습니다.
제거 후 결과

치아는 손상 없이 깔끔하게 보존되었고,
환자분은 오히려
“자연치아가 더 예쁘다”는 반응을 보였습니다.
이 케이스는
라미네이트 제거가 불가능한 것이 아니라,
방법을 모르면 위험해질 수 있다는 점을 보여줍니다.
라미네이트 재시술에서 제거 방식이 결과를 좌우한다
라미네이트 재시술은
단순히 새로 만드는 기술의 문제가 아닙니다.
- 제거 과정에서 치아가 얼마나 보존되는지
- 잔존 레진을 얼마나 정확히 정리하는지
- 재시술을 위한 기반을 얼마나 건강하게 남기는지
이 모든 요소가
최종 심미 결과와 수명에 직접적인 영향을 미칩니다.
라미네이트 레이저 제거는
치아 보존을 최우선으로 하는 재시술 전략의 핵심입니다.
결론
라미네이트 제거는
“빨리 없애는 과정”이 아니라
“치아를 지키는 과정”이어야 합니다.
라미네이트 재시술을 고려하고 있다면
반드시 다음을 확인해야 합니다.
- 어떤 방식으로 제거하는지
- 치아 손상을 어떻게 최소화하는지
- 제거 이후 재시술까지의 계획이 명확한지
라미네이트는 제거할 수 있습니다.
다만, 제대로 제거해야 합니다.
Q&A
Q1. 모든 라미네이트를 레이저로 제거할 수 있나요?
대부분의 라미네이트에서 적용 가능하지만,
세라믹의 종류와 접착 방식에 따라 접근 방법은 달라질 수 있습니다.
Q2. 레이저 제거가 치아를 손상시키지는 않나요?
레이저는 세라믹을 통과하고 레진 세멘트에 반응하도록 설계됩니다.
이후 현미경으로 레진만 제거하기 때문에
무작정 갈아내는 방식보다 치아 손상 위험을 줄일 수 있습니다.
Q3. 제거 후 바로 라미네이트 재시술이 가능한가요?
치아와 잇몸 상태에 따라 다릅니다.
염증이나 마진 문제 등이 있다면
일정 기간 안정 후 재시술하는 것이 더 좋은 결과로 이어집니다.