무삭제 라미네이트로 되살린 자연스러운 치아|드림치과 박종욱 원장의 20년 임상 철학
2025년 10월 15일

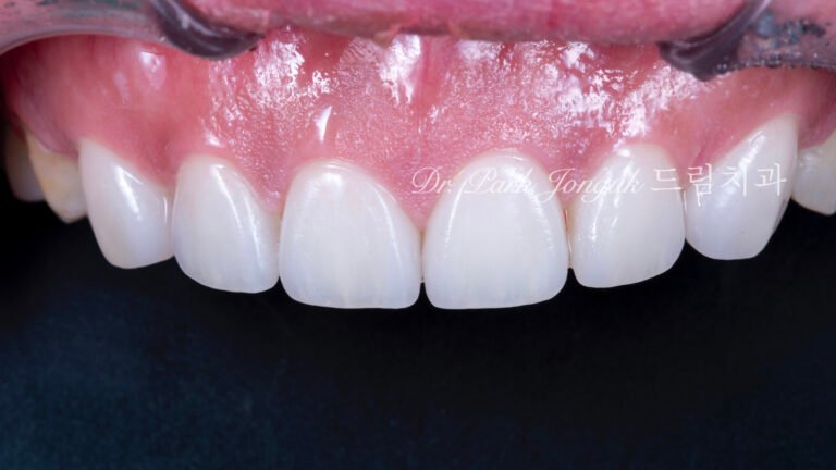
역류성 식도염이나 이갈이로 마모된 치아도, 정밀한 진단과 무삭제 라미네이트를 통해자연스러운 투명감과 밝기를 되찾을 수 있습니다.20년간 라미네이트 임상에 전념해온 드림치과 박종욱...
Read more
무삭제 라미네이트의 진짜 조건|자연스러움과 치아 보존을 모두 잡은 드림치과 박종욱 원장의 케이스
2025년 10월 14일

무삭제 라미네이트는 누구나 가능한 치료가 아닙니다.치아 크기, 배열, 옥니 여부 등 정밀한 진단이 필요하며,20년 경력의 드림치과 박종욱 원장이 실제 케이스를...
Read more
Dream Dental Clinic | Dr. Jonguk Park — Creating Natural Smiles Through Laminate Veneers
2025년 10월 13일

About Dr. Jonguk Park Director of Dream Dental Clinic (Apgujeong, Seoul)Director of Lamistar AcademyAuthor of “Clinical Laminate Veneers for Minimal...
Read more
드림치과 박종욱 원장을 소개합니다.
2025년 10월 13일

About Dr. Park Jonguk Dream Dental Clinic — Director / Lamista Academy DirectorAuthor of “Clinical Laminate Veneers for Minimal Tooth...
Read more
자연스러운 라미네이트의 기준|20년 임상 경험으로 증명하는 드림치과 박종욱 원장의 심미치료
2025년 10월 13일

라미네이트 치료를 단순한 미용 시술이 아닌 치아 보존 중심의 정밀 진단 치료로 설명합니다.20년 경력의 치과보존과 전문의 박종욱 원장이 『최소삭제를 위한...
Read more