서론: 치아 보존의 궁극적 형태
**무삭제 라미네이트(No-preparation laminate veneer)**는 치아를 전혀 삭제하지 않고(Zero tooth reduction) 얇은 세라믹을 접착하는 **가장 보존적인 심미 치료(Most conservative esthetic treatment)**입니다. 일반 라미네이트가 0.5-0.7mm의 치아 삭제를 필요로 하는 반면, 무삭제 라미네이트는 0mm 삭제로 건강한 치질을 100% 보존합니다. 그러나 이러한 **극도의 보존성(Extreme conservatism)**은 **엄격한 적응증(Strict indications)**을 요구하며, 모든 환자에게 적용 가능한 것은 아닙니다.
본 케이스는 무삭제 라미네이트의 3대 조건(작은 치아, 고른 치열, 비돌출)을 완벽하게 충족한 이상적 적응증 환자에서, **왁스업 정밀 진단(Diagnostic wax-up), 임시 치아 시연(Provisional trial), 수작업 다층 빌드업(Hand-layered multi-layer build-up)**을 통해 치아를 전혀 삭제하지 않으면서도 자연스럽고 아름다운 심미성을 달성한 사례입니다.
압구정 드림치과 박종욱 원장의 20년간 심미 보철 치료 경험을 바탕으로, 무삭제 라미네이트의 정확한 적응증, 진단의 필수성, 그리고 초박형 세라믹의 광학적 완성도를 설명드리겠습니다.
무삭제 라미네이트의 정의와 장점
정의
무삭제 라미네이트는 치아를 전혀 삭제하지 않고(No tooth preparation) 0.2-0.3mm의 초박형 세라믹 베니어를 법랑질 표면에 직접 접착하는 치료입니다.
핵심 장점
완전한 치질 보존(Complete tooth structure preservation): 건강한 법랑질을 100% 유지합니다.
완전한 가역성(Complete reversibility): 제거 시 원래 치아 상태로 완전 복귀 가능합니다.
치아 민감도 부재(No tooth sensitivity): 상아질 노출이 없어 시린 증상이 발생하지 않습니다.
마취 불필요(No anesthesia required): 삭제가 없으므로 국소 마취가 필요하지 않습니다.
우수한 접착 강도(Superior bonding strength): 법랑질 대 레진 시멘트 접착은 상아질 접착보다 예측 가능하고 강력합니다.
무삭제 라미네이트의 3대 조건
무삭제 라미네이트는 엄격한 적응증을 요구합니다. 세 가지 조건이 모두 충족되어야 합니다.
조건 1: 왜소치 또는 작은 치아 (Small teeth or microdontia)
치아를 증대(Augmentation)시켜야 하므로 삭제가 전혀 필요하지 않습니다. 오히려 순측 방향으로 부가(Addition)하는 치료입니다.
조건 2: 양호한 치열 배열 (Well-aligned dentition)
치아 배열이 가지런하여 위치 보정(Positional correction)이 불필요합니다. 불규칙한 치열은 재배치를 위한 삭제가 필요하므로 무삭제가 불가능합니다.
조건 3: 비돌출 또는 후퇴된 치아 (Non-protrusive or retroclined teeth)
치아가 전방으로 돌출되지 않고 오히려 옥니(Retroclined)처럼 설측으로 경사되어, 순측 방향으로 라미네이트 부착 공간이 충분합니다.
이 세 가지 조건을 모두 충족하면 무삭제 라미네이트의 이상적 케이스입니다.
본 케이스: 완벽한 적응증의 충족

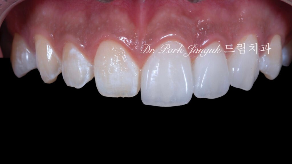
사진 1은 초진 시 구강 내 상태입니다.
조건 완벽 충족
왜소치(Small teeth): 치아 크기가 작아 순측 증축이 필요합니다.
양호한 치열(Well-aligned): 치아 배열이 가지런하고 고릅니다.
옥니(Retroclined): 치아가 설측으로 경사되어 순측 공간이 충분합니다.
이번 환자분은 무삭제 라미네이트의 3대 조건을 완벽하게 충족하여 자신 있게 무삭제로 진행할 수 있었습니다.
무삭제에서도 진단은 필수적
무삭제 라미네이트라고 해서 진단을 생략할 수 없습니다. 오히려 무삭제라도 진단은 꼭 해야 합니다.
왁스업 정밀 진단의 필수성

사진 2는 왁스업 정밀 진단(Diagnostic wax-up) 완료 상태입니다.
최종 형태 예측(Final morphology prediction): 치료 후 최종 모습을 미리 제작하여 예측 가능성을 확보합니다.
비율 최적화(Proportion optimization): 치아 크기, 형태, 중절치-측절치 관계를 정밀하게 설계합니다.
과대 치아 방지(Oversized teeth prevention): 무삭제이므로 치아가 과도하게 커지지 않도록 세심한 주의가 필요합니다. 왁스업을 통해 **안면 조화(Facial harmony)**를 고려한 적절한 크기를 결정합니다.
비율 조절의 중요성: 치아를 증대시키되, 자연스러운 치관 폭/길이 비율, 중절치의 지배성(Dominance), 환자의 안면 특성과의 조화를 유지해야 합니다.
임시 치아를 통한 환자 협의

사진 3은 임시 치아(Provisional restorations) 제작 단계입니다.
임시 치아의 중요성
왁스업 진단을 바탕으로 임시 치아를 제작하여 실제로 입안에 착용합니다. 여기서 환자와 상담이 정말 중요합니다.
환자의 직접 체험
시각적 확인(Visual verification): 거울을 통해 직접 확인합니다.
크기 평가(Size evaluation): 적절한가? 과대하지 않은가?
형태 선호도(Morphology preference): 마음에 드는가?
색상 협의(Color consultation): 어떤 색상을 원하는가?
충분한 소통의 필수성
환자분의 의견을 경청하고 반영합니다. 필요하면 이 단계에서 수정합니다. 완벽할 때까지 조정하는 과정을 거쳐야 최종 만족도가 극대화됩니다.
초박형 세라믹의 제작: 얇음과 표현의 양립



사진 4, 5, 6은 제작 완료된 무삭제 라미네이트입니다.
극도의 박형
0.2-0.3mm의 초박형(Ultra-thin) 세라믹입니다. 거의 콘택트렌즈와 같은 두께로, 빛을 투과할 정도로 얇습니다.
풍부한 내부 표현
놀라운 것은 얇은 세라믹에 다양한 자연치아의 표현이 다 담겨 있다는 점입니다.
절단연 투명감(Incisal translucency): 치아 끝의 자연스러운 투명감
색상 그라디언트(Color gradient): 치경부에서 절단연까지의 미묘한 색상 전이
입체적 형태(Three-dimensional morphology): 발육엽(Developmental lobes), 표면 굴곡(Surface contours), 미세 텍스처(Micro-texture)
수작업 빌드업의 필수성
이러한 복잡한 광학 구조는 수작업 다층 빌드업으로만 가능합니다.
다층 구조(Multi-layered structure):
- 덴틴 코어층: 기본 색조와 불투명도
- 에나멜층: 색상 그라디언트와 깊이감
- 투명층: 절단연 투명감
- 특성화층: 미세 표면 특성
단일 블록의 한계: CAD/CAM 단일 블록 밀링 방식으로는 이러한 복잡한 층 구조와 광학적 특성을 절대 재현할 수 없습니다.
시적 과정: 좌우 비교와 인접면 피개

사진 7은 좌측만 라미네이트를 시적(Try-in)한 상태입니다.
극명한 대조
좌측(시적 완료): 치아가 순측으로 적절히 증축되어 가시성과 심미성 우수
우측(시술 전): 여전히 작고 설측 경사된 상태
차이가 **극적(Dramatic)**이며, 무삭제 라미네이트의 심미적 잠재력을 명확히 보여줍니다.

사진 8은 측면에서 본 시적 상태입니다.
인접면 피개 확인
무삭제 라미네이트가 치아의 순면뿐만 아니라 인접면(Proximal surface)까지 자연스럽게 연장되어 감싸고 있습니다.
옥니의 장점 활용: 치아가 설측으로 경사되어 있어, 라미네이트가 순측으로 증축하면서 자연스럽게 인접면까지 피개할 수 있는 **3차원 공간(Three-dimensional space)**이 확보됩니다.
접착 과정: 정밀한 프로토콜

사진 9는 세팅(Cementation) 준비 단계입니다.
표면 처리
치아 표면 처리(Tooth surface treatment): 법랑질을 산부식(Acid etching)하여 미세 기계적 결합(Micromechanical retention)을 위한 표면 거칠기를 생성합니다.
라미네이트 내면 처리(Laminate internal surface treatment): 불산(Hydrofluoric acid) 에칭과 실란(Silane) 적용으로 세라믹 표면을 활성화합니다.
접착의 중요성
무삭제 라미네이트는 접착이 성공의 핵심입니다. 법랑질에 직접 접착하므로 접착력이 우수하지만, 정확한 프로토콜을 엄격히 준수해야 장기 성공을 보장할 수 있습니다.
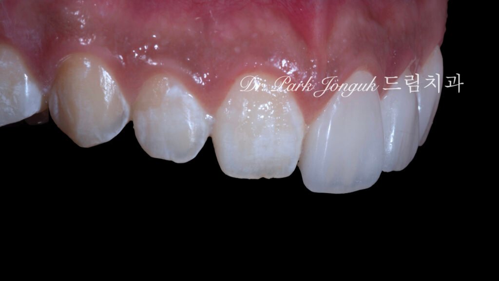
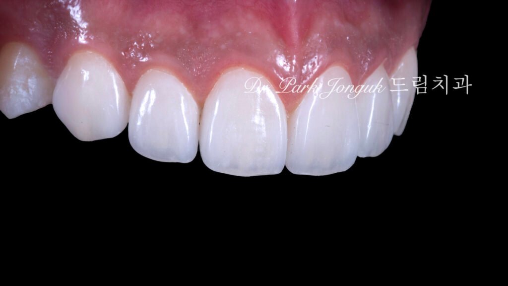
최종 결과: 완벽한 심미적 달성


사진 10, 11은 치료 후 상태입니다.
적절한 크기
치아를 증대시켰지만 과도하지 않습니다. 환자의 안면 특성과 완벽하게 조화를 이루며, 자연스러운 크기입니다.
탁월한 투명감
절단연 투명감이 아름답게 재현되었습니다. 빛이 투과하면서 부드럽게 산란(Light scattering)되어 젊고 건강한 치아의 특징을 보여줍니다.
섬세한 형태
발육엽, 표면 굴곡이 입체적으로 재현되었습니다. 각 치아마다 고유한 특성(Individual characteristics)이 있어 획일적이지 않고 자연스럽습니다.
자연스러운 색상
**치경부의 따뜻한 상아색(Warm ivory at cervical area)**에서 **절단연의 투명 영역(Translucent zone at incisal edge)**까지 자연스러운 색상 그라디언트가 진짜 치아처럼 보이게 만듭니다.

사진 12는 치료 후 환자의 자연스러운 미소입니다.
자신감의 회복
무삭제 라미네이트로 자신감을 되찾으셨습니다. 치아를 전혀 깎지 않았으나(Zero tooth reduction), 결과는 완벽합니다(Perfect outcome).
무삭제 라미네이트 시술 지침
3대 조건의 엄격한 평가
작은 치아: 왜소치 또는 순측 증축이 필요한 경우
고른 치열: 가지런한 배열로 위치 조정 불필요
비돌출: 옥니 또는 적절한 설측 위치
세 가지가 모두 충족되어야 무삭제 적응증입니다.
왁스업 정밀 진단 필수
무삭제라도 왁스업 진단이 필수적입니다. 최종 형태 예측, 비율 최적화, 과대 치아 방지를 위해 반드시 시행해야 합니다.
임시 치아를 통한 환자 협의
실제로 착용하여 크기, 형태, 색상을 평가하고 환자와 충분히 상담하는 과정이 최종 만족도를 좌우합니다.
수작업 빌드업 방식 확인
초박형에서도 자연스러운 광학 특성을 재현하려면 수작업 다층 빌드업이 필수적입니다. 단일 블록 방식으로는 한계가 있습니다.
경험 있는 술자 선택
무삭제 라미네이트는 일반 라미네이트보다 기술적으로 더 어렵습니다. 초박형 세라믹 핸들링, 정밀한 접착 프로토콜, 비율 조절 감각이 요구되므로, 20년 이상의 풍부한 임상 경험이 필수적입니다.
결론: 보존성과 심미성의 완벽한 조화
무삭제 라미네이트는 치아를 전혀 삭제하지 않으면서도 자연스럽고 아름다운 심미성을 달성할 수 있는 궁극의 보존적 치료입니다. 그러나 이는 엄격한 3대 조건 충족, 정밀한 왁스업 진단, 임시 치아를 통한 환자 협의, 수작업 다층 빌드업 기술이 결합될 때만 성공적으로 구현됩니다. 적응증을 정확히 선정하고 체계적 프로토콜을 준수하는 것이 성공의 핵심입니다.
자주 묻는 질문 (Frequently Asked Questions)
Q1. 무삭제 라미네이트는 쉽게 탈락되지 않나요?
전혀 그렇지 않습니다. 적절하게 제작되고 접착 프로토콜을 정확히 준수하면 일반 라미네이트와 동일하게 10년 이상 사용 가능합니다. 오히려 법랑질에 직접 접착하므로 접착 강도가 더 우수할 수 있습니다. 법랑질 대 레진 시멘트의 접착은 치과에서 가장 예측 가능하고 안정적인 접착 방식입니다. 압구정 드림치과 박종욱 원장의 임상 경험에서 적절히 관리된 무삭제 라미네이트는 15년 이상 문제없이 사용되는 경우가 많습니다.
Q2. 무삭제 라미네이트는 두껍거나 부자연스럽지 않나요?
전혀 그렇지 않습니다. 0.2-0.3mm의 초박형으로 제작되어 거의 콘택트렌즈 수준의 두께입니다. 특히 옥니(치아가 설측으로 경사된 경우)의 경우 순측 방향으로 증축하는 공간이 충분하므로 두껍다는 느낌이 전혀 없습니다. 오히려 환자들은 “이렇게 얇은 것이 정말 효과가 있을까?”라고 놀라곤 합니다. 적절한 디자인과 수작업 빌드업으로 제작되면 자연치아와 구분할 수 없을 정도로 자연스럽습니다.
Q3. 누구나 무삭제 라미네이트를 할 수 있나요?
아닙니다. 3가지 조건(작은 치아, 고른 치열, 옥니 또는 비돌출)을 모두 충족해야 합니다. 한 가지 조건이라도 맞지 않으면 무삭제가 어렵거나 불가능하며, 이 경우 최소 삭제 라미네이트(0.3-0.5mm minimal preparation)를 권장합니다. 압구정 드림치과 박종욱 원장의 정밀한 진단을 통해 무삭제 가능 여부를 정확히 판단하고, 각 환자에게 최적의 치료 방법을 제시합니다. 무리하게 무삭제를 시도하면 과대 치아, 부자연스러운 형태 등의 문제가 발생할 수 있으므로, 적응증 선정이 가장 중요합니다.
본 콘텐츠는 압구정 드림치과 박종욱 원장의 20년간 심미 보철 치료 경험을 기반으로 작성되었습니다. 라미스타 아카데미에서 매월 치과의사 대상 무삭제 라미네이트 정밀 프로토콜을 교육하고 있으며, 국내 최초 라미네이트 교과서의 저자입니다.