라미네이트 제작 방법(Laminate Fabrication Methods): 대량 생산 vs 수작업 빌드업의 심미적 차이

서론: 제작 방법이 결정하는 자연스러움

현대 치과에서 라미네이트 베니어(Laminate veneer)는 가장 대중적인 심미 치료가 되었습니다. 그러나 모든 라미네이트가 동일한 심미적 결과를 제공하는 것은 아닙니다. **라미네이트 제작 방법(Fabrication method)**의 차이가 **자연스러움(Naturalness)**과 **인공성(Artificiality)**을 결정하는 핵심 요인입니다.

본 콘텐츠는 **단일 블록 CAD/CAM 밀링 방식(Monolithic CAD/CAM milling)**과 **수작업 다층 빌드업 방식(Hand-layered multi-build-up)**의 근본적 차이를 설명하고, 왜 대부분의 치과가 전자를 선택하는지, 그리고 후자가 어떻게 자연치아와 구분할 수 없는 결과를 만들어내는지 분석합니다.

압구정에서 20년간 수작업 빌드업 라미네이트만을 고집해온 임상 경험을 바탕으로, 제작 방법의 과학, 심미적 차이, 그리고 진정한 자연스러움의 구현 원리를 설명드리겠습니다.

인공적 라미네이트 vs 자연스러운 라미네이트

인공적 라미네이트의 특징

사진 1, 2는 단일 블록 밀링 방식으로 제작된 인공적 라미네이트입니다.

평면적 표면(Flat surface): 입체감(Three-dimensional characterization)이 결여되어 타일처럼 평면적입니다.

투명감 부재(Lack of translucency): 불투명(Opaque)하여 빛의 투과와 산란이 자연치아와 다릅니다.

단조로운 색상(Monochromatic color): 색상 그라디언트(Color gradient)가 없어 획일적입니다.

생명력 결여(Lack of vitality): 자연치아의 역동적 광학 특성이 재현되지 않았습니다.

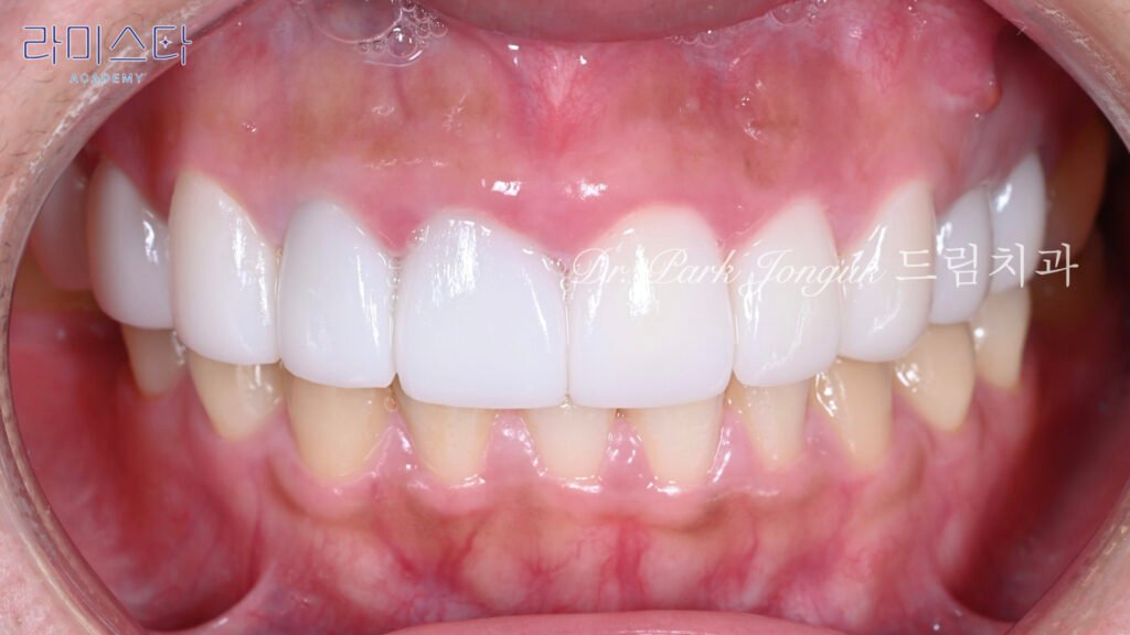
자연스러운 라미네이트의 특징

사진 3, 4는 수작업 다층 빌드업 방식으로 제작된 자연스러운 라미네이트입니다.

입체적 형태(Three-dimensional morphology): 표면에 미묘한 굴곡, 발육엽(Developmental lobe), 미세 텍스처가 재현되었습니다.

투명감 재현(Translucency replication): 절단연(Incisal edge)의 자연스러운 투명감이 구현되었습니다.

색상 그라디언트(Color gradient): 치경부(Cervical area)에서 절단연까지 자연스러운 색상 변화가 있습니다.

깊이감과 생명력(Depth and vitality): 빛이 내부를 투과하며 자연치아와 동일한 광학적 효과를 만듭니다.

우리 치과는 후자, 즉 자연스러운 라미네이트를 만드는 소수의 치과 중 하나입니다.

왜 대부분의 치과가 인공적 라미네이트를 만드는가

경제적 효율성의 추구

요즘 대부분의 치과가 사진 1, 2와 같은 인공적 라미네이트를 제작하는 이유는 심미적 우월성 때문이 아닙니다. 제작이 쉽고, 빠르고, 대량 생산이 가능하며, 제작 비용이 저렴하기 때문입니다.

CAD/CAM 시스템의 보편화

컴퓨터 의한 자동 제작(Computer-automated fabrication): CAD/CAM 시스템이 스캔, 설계, 밀링을 자동으로 수행합니다.

단일 세라믹 블록(Monolithic ceramic block): 미리 소성된 세라믹 블록을 밀링 머신이 깎아냅니다.

빠른 제작 시간(Rapid fabrication): 수 시간 내에 완성 가능하며, “당일 치료(Same-day treatment)”를 마케팅 포인트로 활용합니다.

저렴한 인건비(Low labor cost): 숙련된 세라미스트(Ceramist)의 수작업이 불필요하여 인건비가 절감됩니다.

차별화의 어려움과 마케팅 전략

치과 간 차별화 불가(Lack of differentiation): 동일한 CAD/CAM 시스템을 사용하므로 결과물이 유사합니다.

브랜딩 전략(Branding strategy): 차별화가 안 되므로 “라미네이트”라는 일반 명칭 대신 각자 다른 이름을 붙여서 광고합니다. “○○ 라미네이트”, “△△ 베니어”, “□□ 시스템” 등으로 마케팅합니다.

본질은 동일(Identical essence): 그러나 그냥 다 같은 라미네이트이며, 제작 방법이 간단한 대량 생산 방식입니다.

SPA 브랜드의 비유

옷으로 비유하면 **SPA 브랜드(Fast fashion)**와 같습니다. 빠르고 저렴하게 대량으로 생산하지만, 섬세함, 개성, 고급스러움은 희생됩니다. 표준화된 제품을 효율적으로 생산하는 데 최적화되어 있습니다.

수작업 빌드업: 명품 제작의 철학

장인 정신의 구현

우리 치과가 하는 방식은 명품을 만드는 방식과 같이 수작업으로 제작됩니다. 맞춤 정장을 한 벌씩 재단하고 바느질하듯, 라미네이트도 환자 개개인에 맞춰 하나하나 손으로 만듭니다.

다양한 세라믹의 활용

치아의 다양하고 아름다운 표현을 위해서 다양한 세라믹을 사용해서 제작됩니다.

투명 세라믹(Translucent ceramic): 절단연의 투명감 재현

불투명 세라믹(Opaque ceramic): 덴틴층의 색조와 명도 표현

고명도 세라믹(High-value ceramic): 밝은 부위의 표현

저명도 세라믹(Low-value ceramic): 어두운 부위의 표현

특성화 세라믹(Characterization ceramic): 백색반, 균열선, 표면 텍스처 표현

이러한 다양한 세라믹을 층층이 쌓아 올려(Layer by layer) 자연치아의 복잡한 구조를 재현합니다.

젊은 치아의 핵심: 입체감과 투명감

입체감의 중요성

라미네이트 제작 방법, Laminate Fabrication Methods, 수작업 빌드업, Hand-Layered Build-up, CAD/CAM 밀링, CAD/CAM Milling, E-max 베이스, E-max Base, 자연스러운 라미네이트, Natural Laminate

사진 5는 자연치아의 입체적 표면을 보여줍니다. 치아는 이렇게 입체감이 표현되어야 합니다.

발육엽(Developmental lobes): 치아 표면의 자연스러운 융기

미세 굴곡(Micro-contours): 빛의 반사를 변화시키는 미묘한 굴곡

표면 텍스처(Surface texture): 완벽하게 매끄럽지 않은 자연스러운 불규칙성

평면적인 표면은 인공적으로 보이는 주된 원인입니다.

투명감의 생물학적 의미

라미네이트 제작 방법, Laminate Fabrication Methods, 수작업 빌드업, Hand-Layered Build-up, CAD/CAM 밀링, CAD/CAM Milling, E-max 베이스, E-max Base, 자연스러운 라미네이트, Natural Laminate

사진 6은 절단연의 투명감을 보여줍니다. 치아 끝에는 투명감이 살아 있어야 젊은 치아입니다.

젊은 치아의 특징: 법랑질(Enamel)이 두껍고 투명하여 절단연에서 빛이 투과합니다.

노화의 징후: 나이가 들면서 치아가 불투명해지고 입체감이 없어집니다. 마모(Attrition)와 미네랄 침착(Mineral deposition)으로 투명감이 소실됩니다.

젊은 치아의 표현을 위해서 입체감과 투명감이 중요합니다. 이것이 자연스러운 라미네이트와 인공적 라미네이트의 결정적 차이입니다.

자연치아의 색상 복잡성

많은 사람들이 간과하는 사실이 있습니다. 치아는 부위마다 다 다른 색감을 갖고 있습니다.

색상 그라디언트(Color gradient)

치경부(Cervical area): 황색조(Yellowish hue)가 강하고 명도가 낮습니다. 덴틴의 색상이 더 많이 투과됩니다.

중간 부분(Middle third): 밝은 상아색으로 최고 명도를 보입니다.

절단연(Incisal edge): 투명(Translucent)하여 색조가 약하고 배경색이 투과됩니다.

이러한 **미묘한 색상 변화(Subtle color transition)**가 치아를 자연스럽게 만듭니다. 단일 세라믹 블록으로는 이런 색상 그라디언트를 절대 표현할 수 없습니다.

E-max 베이스 + 빌드업 방식

사진 8, 9, 10, 11은 우리의 제작 시스템을 보여줍니다.

제작 프로토콜

우리 치과는 E-max 베이스에 빌드업이라는 방식으로 라미네이트를 제작합니다.

E-max 코어(E-max core): 리튬 디실리케이트(Lithium disilicate) 세라믹으로 고강도 골격을 형성합니다. 이것이 구조적 강도(Structural strength)를 제공합니다.

다층 빌드업(Multi-layered build-up): E-max 코어 위에 여러 층의 펠드스파 세라믹(Feldspathic ceramic)을 적층합니다.

층별 구성

제1층 – 덴틴층(Dentin layer): 불투명한 덴틴 색상 세라믹으로 기본 색조를 설정합니다.

제2층 – 에나멜층(Enamel layer): 반투명 에나멜 세라믹으로 색상 변화와 깊이를 만듭니다.

제3층 – 투명층(Translucent layer): 절단연에 고투명도 세라믹을 적용하여 자연스러운 투명감을 재현합니다.

제4층 – 특성화층(Characterization layer): 표면에 백색반(White spot), 균열선(Craze line), 미세 텍스처를 표현합니다.

이렇게 여러 겹을 쌓아서 자연치아의 복잡한 광학 구조를 재현합니다.

빌드업 과정: 시간과 예술성

사진 12, 13, 14, 15는 실제 빌드업 과정입니다.

수작업의 정밀성

세라미스트의 손길: 마스터 세라미스트(Master ceramist)가 붓으로 세라믹 파우더를 한 층씩 적층합니다.

층별 소성(Layer-by-layer firing): 각 층마다 고온 가마에서 소성하여 경화시킵니다.

반복적 조정(Iterative refinement): 층을 쌓고, 소성하고, 다듬고, 다시 쌓는 과정을 반복합니다.

시간과 예술성의 투자

시간과 정성이 들어가고 장인과 같은 세라미스트의 손길도 중요합니다.

제작 시간: 컴퓨터로 수 시간에 만드는 것을, 우리는 며칠에 걸쳐 만듭니다.

예술적 판단: 색을 어떻게 섞을지, 어디에 투명감을 줄지, 어떤 미세 특성을 표현할지는 세라미스트의 경험과 예술적 감각에 달려 있습니다.

개별화(Individualization): 각 환자의 고유한 안면 특성, 나이, 성별, 성격에 맞춰 개별화된 심미를 구현합니다.

극명한 차이: 단일 블록 vs 다층 빌드업

단일 블록 밀링의 한계

라미네이트 제작 방법, Laminate Fabrication Methods, 수작업 빌드업, Hand-Layered Build-up, CAD/CAM 밀링, CAD/CAM Milling, E-max 베이스, E-max Base, 자연스러운 라미네이트, Natural Laminate

사진 16은 한 가지 세라믹으로 제작된 인공적 라미네이트입니다.

평면적(Flat): 입체감이 없습니다.

불투명(Opaque): 투명감이 없습니다.

단색(Monochromatic): 색상 그라디언트가 없습니다.

무생명(Lifeless): 생명력과 역동성이 없습니다.

다층 빌드업의 우월성

라미네이트 제작 방법, Laminate Fabrication Methods, 수작업 빌드업, Hand-Layered Build-up, CAD/CAM 밀링, CAD/CAM Milling, E-max 베이스, E-max Base, 자연스러운 라미네이트, Natural Laminate

사진 17은 자연치아의 표현이 듬뿍 들어간 자연스러운 라미네이트입니다.

입체적(Three-dimensional): 발육엽, 굴곡, 텍스처가 재현되었습니다.

투명(Translucent): 절단연의 자연스러운 투명감이 있습니다.

다색(Polychromatic): 치경부에서 절단연까지 색상 변화가 있습니다.

생동감(Vital): 진짜 치아처럼 생명력이 느껴집니다.

이 차이가 바로 제작 방법의 차이입니다.

진정한 라미네이트 전문가를 찾는 법

핵심 질문들

제작 방법 확인: “수작업 빌드업 방식인가요? 아니면 CAD/CAM 밀링 방식인가요?”

실제 케이스 검증: 치료 전후 사진에서 투명감과 입체감을 확인하세요.

치료 기간 현실성: “당일 완성” 또는 “1주일 완성”은 대량 생산 방식의 신호입니다. 제대로 된 빌드업은 최소 2-3주 소요됩니다.

임상 경험: 20년 이상의 심미 보철 전문 경험을 확인하세요.

세라미스트 협업: 동일한 마스터 세라미스트와 장기간 협업하는지 확인하세요. 우리 치과는 20년 이상 같은 세라미스트와 작업합니다.

결론: 효율성 vs 예술성의 선택

라미네이트 제작 방법의 선택은 **효율성(Efficiency)**과 예술성(Artistry) 사이의 선택입니다. 빠르고 저렴한 대량 생산 방식은 경제적 효율성을 제공하지만, 자연스러움과 개별화된 심미는 희생됩니다.

수작업 다층 빌드업은 더 많은 시간과 비용을 요구하지만, 자연치아와 구분할 수 없는 결과를 만들어냅니다. 진정한 심미 치과는 효율성이 아닌 예술성과 개별화를 추구합니다.


자주 묻는 질문 (Frequently Asked Questions)

Q1. 수작업 빌드업 방식이 CAD/CAM 밀링 방식보다 비용이 더 높은가요?

네, 일반적으로 더 높습니다. 수작업 빌드업은 며칠에 걸친 제작 시간, 숙련된 마스터 세라미스트의 인건비, 다양한 세라믹 재료의 사용으로 인해 비용이 증가합니다. 그러나 자연스러움, 개별화, 예술성 면에서 비교할 수 없는 가치를 제공합니다.

Q2. 빌드업 라미네이트의 강도는 단일 블록 밀링과 비교하여 어떤가요?

E-max 코어를 사용하므로 구조적 강도는 충분합니다. 적절한 교합 조정과 함께 10년 이상 안정적으로 사용 가능합니다.

Q3. 왜 현재 대부분의 치과가 CAD/CAM 밀링 방식을 채택하는가?

경제적 효율성 때문입니다. 빠른 제작, 낮은 인건비, 대량 생산 가능성이 비즈니스 모델에 유리합니다. 그러나 진정한 심미 치과는 효율성이 아닌 품질과 예술성을 우선시합니다. 자연스러움은 시간과 정성을 투자해야만 얻을 수 있습니다.


본 콘텐츠는 압구정에서 20년간 수작업 빌드업 라미네이트만을 고집해온 치과의사의 실제 임상 경험을 기반으로 작성되었습니다. 라미스타 아카데미에서 매월 치과의사 대상 수작업 빌드업 기법을 교육하고 있으며, 국내 최초 라미네이트 교과서의 저자입니다.